Кариес у детей — распространённая проблема. Практически 70% ребят дошкольного возраста сталкиваются с заболеванием в той или иной стадии его развития.
Отсутствие терапии приводит к печальным последствиям, поражение молочных зубов негативно сказывается и на состоянии коренных, которые ещё даже не прорезались.
У ребёнка могут появляться постоянные единицы, уже поражённые заболеванием. Кариес детских зубов развивается постепенно, изначально повреждается эмаль, затем очаг поражения охватывает и глубокие участки зуба. Развивается выраженная симптоматика, появляется сильная боль, которая значительно ухудшает общее состояние ребёнка.
Кариес зубов у детей и код по МКБ 10
Бактерии вырабатывают большое количество агрессивных веществ, разрушающих эмаль. Она теряет свою прочность, становится тонкой.
Постепенно на поверхности зуба формируется видимое повреждение, развивается кариозная полость, которая становится всё более глубокой, поражает дентин, пульпу, и тогда патология приобретает сложную форму течения.
Справка! Кариес представляет собой патологию бактериального характера, при которой патогенная микрофлора, активно размножающаяся в полости рта ребёнка, губительно действует на развитие его зубов.
К развитию кариеса у детей приводят неблагоприятные факторы:
- Неправильное питание.
 - Отсутствие полноценного ухода за полостью рта: многие родители не уделяют должного внимания гигиене молочных зубов ребёнка, считая, что они всё равно выпадут.
 - Механическое повреждение: малыш, исследуя окружающий мир, тянет в рот различные предметы, некоторые из них оказываются твёрдыми и повреждают эмаль.
 - Генетическая предрасположенность.
 - Ослабленный иммунитет.
 - Патологии внутренних органов, оказывающие влияние на состав и структуру слюны.
 
Код по МКБ — К 02.
Кариес у детей является серьезной проблемой, требующей немедленного внимания стоматолога. Врачи подчеркивают, что раннее вмешательство может предотвратить развитие более сложных заболеваний зубов и десен. Кариес, если его не лечить, может привести к болям, инфекциям и даже потере зубов, что негативно сказывается на общем здоровье ребенка. Кроме того, стоматологи отмечают, что наличие кариеса может повлиять на качество жизни ребенка, затрудняя жевание и речь. Профилактика и регулярные осмотры у стоматолога помогают выявить проблему на ранней стадии, что значительно упрощает лечение и снижает риск осложнений. Поэтому важно не откладывать визит к специалисту при первых признаках кариеса.

Механизм развития
При воздействии определённых факторов в полости рта повышается численность возбудителя заболевания — бактерии из рода стрептококков, а также активизируются и другие формы патогенной микрофлоры. Изначально болезнетворные микроорганизмы вырабатывают плотные вещества, из которых на поверхности зубов формируются специфические бляшки, накапливающие бактерии.
В процессе своей жизнедеятельности они вырабатывают большое количество кислотных элементов, поражающих зубную эмаль. Так развивается начало патологического процесса.
Постепенно эмаль повреждается всё больше, формируется кариозная полость. При отсутствии терапии она становится глубокой, охватывает мягкие ткани зуба, расположенные под эмалью.
Внимание! Важно понимать в какой среде происходит размножение микробов. Благоприятные условия для развития патогенной микрофлоры — повышенная кислотность в полости рта.
Такая ситуация развивается при отсутствии гигиены, когда остатки пищи, застрявшие между зубами, начинают разлагаться. Эти частички являются источником питания для болезнетворных микроорганизмов. А повышенная влажность и температура в ротовой полости только способствуют размножению бактерий.
Стадии
Заболевание развивается постепенно.
Кариес у детей — это не просто проблема с зубами, а сигнал о необходимости немедленного обращения к стоматологу. Многие родители недооценивают серьезность ситуации, полагая, что молочные зубы не так важны. Однако кариес может привести к болям, инфекциям и даже повлиять на развитие постоянных зубов. Стоматологи подчеркивают, что раннее лечение кариеса помогает избежать более серьезных проблем в будущем. Кроме того, здоровье зубов напрямую связано с общим состоянием организма ребенка. Регулярные визиты к стоматологу не только позволяют выявить кариес на ранней стадии, но и формируют у детей правильное отношение к уходу за зубами. Заботясь о здоровье зубов, родители закладывают основу для уверенной улыбки своих детей в будущем.

Ранний в стадии пятна
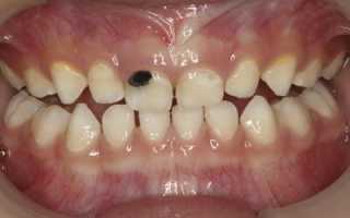
Кариес в стадии пятна. Характерно образование на поверхности эмали специфических точек. Изначально появляются матовые белые участки, имеющие шероховатую поверхность. Постепенно белые пятна разрастаются, приобретают тёмный оттенок (от светло-коричневого до чёрного). На этом этапе другие симптомы заболевания отсутствуют. Ребёнок не чувствует боли, но может развиваться повышенная чувствительность зубов, проявляющаяся в виде ощущений дискомфорта во время приёма пищи.
Поверхностный
С течением времени на месте пятен появляются значительные повреждения в форме микротрещин и маленьких кариозных участков. Однако, глубокие ткани остаются незатронутыми.
Основной симптом — непродолжительная боль. Кариозные области уже заметны невооружённым взглядом, ребёнок может почувствовать их, прикасаясь языком к поражённому зубу.

Средняя форма
Очаг поражения охватывает не только зубную эмаль, но и верхние участки дентина, расположенные под ней. Кариозная полость становится глубже, приобретает форму канала (дупла). Там скапливаются остатки пищи, бактерии, размягчённый дентин, который теперь окрашивается в тёмный оттенок.
При среднем кариесе симптоматика становится более выраженной, боль приобретает интенсивный характер, повышается чувствительность повреждённого зуба. Чаще всего кариозные повреждения формируются в области фиссур, в придесневой области, на поверхности зубов, соприкасающихся между собой.
Сильный кариес
Такая стадия является наиболее тяжёлой и опасной. При сильном кариесе повреждаются глубокие слои дентина, нередко очаг поражения охватывает и пульпу, появляется острая и сильная боль, длящаяся продолжительное время. Возникают неприятные ощущения при приёме пищи, во время разговора, смыкания челюстей.
Характер болевых ощущений
Так, на начальной стадии, когда на поверхности зубной эмали ещё нет различимых повреждений (за исключением пятен), боль может отсутствовать вовсе.
При поверхностном кариесе такие ощущения носят умеренный и непродолжительный характер. Для средней формы характерны интенсивные боли, которые возникают при воздействии на зуб, но в состоянии покоя она быстро проходит.
Справка! В зависимости от стадии развития патологии, характер боли при кариесе различный.
Если же у ребёнка сильно болит зуб из-за кариеса, это свидетельствует о глубокой форме патологического процесса, наличии обширных повреждений. Боль является долговременной, её удаётся снять с помощью обезболивающих препаратов, но через некоторое время она появляется вновь, причём возникает и без какого-либо воздействия.
Формы развития патологии
В зависимости от локализации очага поражения выделяют следующие разновидности кариозного процесса:
- Кариес эмали характеризуется образованием повреждений только на поверхностных твёрдых слоях зуба, поражается эмаль, другие участки остаются неизменными.
 - При кариесе дентина полость становится глубокая, повреждается зубная эмаль и мягкие участки, расположенные под ней (дентин). В зависимости от глубины полости, кариес дентина может иметь среднюю, когда очаг поражения охватывает поверхностные участки дентина, или глубокую форму — повреждения припульпарного дентина.
 - Для кариеса цемента характерно специфическое расположение кариозной полости, которая образуется в поддесневой области и поражает зубной корень. Для этой формы характерно стремительное развитие, выраженная клиническая картина, частые осложнения, приводящие иногда к утрате больного зуба.
 
Виды заболевания
В зависимости от локализации повреждений, выделяют разновидности патологии у детей.
Фото 1. Четыре стадии развития кариеса: начальная (появление пятен), поверхностная, средняя и глубокая.
На передних зубах
Распространённая форма, для которой характерно расположение кариозных полостей на поверхности передних зубов. Патология доставляет ребёнку немало страданий, причём не только физических, но и эмоциональных, ведь чёрные пятна на видимых участках заметно портят улыбку, заставляя малыша стесняться своей внешности.
Заболевание постоянных коренных
Первые коренные зубы у детей появляются в возрасте 5–7 лет. При этом сразу же после их прорезывания на поверхности могут появляться признаки кариозного поражения. Часто это происходит при отсутствии терапии патологии молочных зубов. Для такой формы заболевания характерна выраженная клиническая картина, особенно если речь идёт о глубоком кариесе.
Множественный кариес
Распространённая проблема в детском возрасте. Эмаль зубов у ребёнка более тонкая и хрупкая, чем у взрослого, она больше подвержена повреждениям. Малыш ещё не может самостоятельно ухаживать за полостью рта, соблюдать все условия полноценной гигиены. Всё это приводит к развитию патологии. Речь идёт о множественной форме заболевания.
Детский врач Комаровский о том, почему болят зубы у самых маленьких
Известный детский врач Е. О. Комаровский считает, что кариес — это патология, с которой сталкивается всё больше детей.
Как он объясняет, основная причина развития недуга — неумение полноценно чистить зубы. Ребёнок, в силу своего возраста, не уделяет должное внимание данному процессу, не понимая всей его важности.
Кроме того, малыш ведёт очень активный образ жизни и в процессе подвижных игр он может упасть, повредить зуб.
А также к развитию кариеса приводит неправильное питание. Бактерия-возбудитель активно размножается при употреблении большого количества сладких продуктов, которые являются питательной средой для микроорганизмов. Важно учитывать и режим питания. Ребёнок грудного возраста должен получать не только материнское молоко, но и достаточное количество жидкости. Это необходимо для поддержания нормальной влажности ротовой полости, стимуляции выработки слюны, которая препятствует размножению бактерий.
Кроме того, оказывает влияние и увлажнённость полости рта. Так, если речь идёт о кариесе молочных зубов у детей самого младшего возраста, важен момент их прорезывания. Например, если первые зубки у малыша прорезываются в весеннее время, когда имеет место повышенная влажность воздуха, риск развития кариеса снижается. Если же момент появления зубов приходится на зимнее время, когда влажность воздуха снижена, появляется сухость во рту, что становится причиной развития кариеса.
Полезное видео
На видео ниже детский врач высшей категории Евгений Комаровский расскажет об опасности возникновения кариеса молочных зубов у детей.
Как вовремя распознать патологию и предотвратить её развитие?
Кариес на начальной стадии самостоятельно обнаружить удаётся не всегда, если повреждения расположены в труднодоступных участках. Поэтому родители должны помнить, что необходимо минимум 2 раза в год посещать с ребёнком стоматологическую клинику для профилактического осмотра. Это позволит вовремя выявить заболевание и приступить к лечению, которое на ранних стадиях является максимально безболезненным.
Внимание! Важно вовремя выявить проблему, и сделать это необходимо как можно раньше, до появления видимых разрушений.
Если же проблема перешла в запущенную стадию, терапия будет сложной, в процессе лечения ребёнок может испытывать боль, что приводит к развитию устойчивого страха перед стоматологом. А это чревато возникновением сложностей в будущем.

Вопрос-ответ
Каковы причины кариеса у детей?
Кариес у детей возникает в результате сочетания нескольких факторов: недостаточной гигиены полости рта, потребления сладкой пищи и напитков, а также недостатка фтора. Бактерии, обитающие в зубном налете, перерабатывают сахара и производят кислоты, которые разрушают зубную эмаль. Кроме того, недостаточное количество слюны, которая помогает нейтрализовать кислоты и очищать зубы, также способствует развитию кариеса.
Какие причины появления кариеса?
Кариес возникает в результате взаимодействия бактерий, содержащихся в зубном налете, с углеводами из пищи, что приводит к образованию кислот, разрушающих зубную эмаль. Основные причины его появления включают недостаточную гигиену полости рта, высокое потребление сахара, недостаток фтора, а также генетическую предрасположенность и определенные заболевания, влияющие на состояние зубов.
Факторы риска возникновения кариеса зубов у детей?
Основные факторы риска возникновения кариеса: 1. Увеличенное количество рафинированных углеводов в рационе питания; 2. Неудовлетворительная гигиена полости рта и, как следствие, наличие зубного налета и снижение кариесрезистентности эмали.
Чего не хватает в организме, если появляется кариес?
Состояние зубов тесно связано с состоянием здоровья, и некоторые общие системные заболевания могут быть причиной частого кариеса: дефицит минералов и витаминов. Риск деминерализации эмали возрастает при недостатке кальция, фтора, фосфора, нарушении обмена веществ и усвояемости микронутриентов.
Советы
СОВЕТ №1
Регулярно проводите осмотры у стоматолога. Посещение стоматолога каждые 6 месяцев поможет выявить кариес на ранней стадии и предотвратить его развитие.
СОВЕТ №2
Обратите внимание на гигиену полости рта. Обучите детей правильной технике чистки зубов и следите за тем, чтобы они чистили зубы дважды в день с использованием фторсодержащей зубной пасты.
СОВЕТ №3
Сократите потребление сладостей и кислых напитков. Ограничение сахара в рационе поможет снизить риск развития кариеса, так как бактерии, вызывающие его, питаются сахаром.
СОВЕТ №4
Используйте фторсодержащие продукты. Фтор помогает укрепить зубную эмаль и делает зубы более устойчивыми к кариесу, поэтому выбирайте зубные пасты и ополаскиватели, содержащие фтор.






