Зуб мудрости – 8-й зуб в ряду, или 3-й моляр. Он прорезается позже остальных, чаще всего в возрасте 20 – 23 лет.
Этот зуб является рудиментом, доставшимся людям от предков, челюсть которых была значительно шире.
Поэтому восьмёрки, так называют в просторечие зубы мудрости, вызывают много проблем при прорезывании. Часто они имеют неправильное направление роста, что приводит к их удалению, но такая операция никогда не бывает простой.
Последствия удаления зуба мудрости, 8 снизу
Кажется, что удаление зуба решит все проблемы. Но это не всегда так, потому что подобная операция может привести к неприятным последствиям.
Удаление зубов мудрости — это распространенная стоматологическая процедура, которая может вызвать различные последствия и осложнения. Врачи отмечают, что после операции пациенты часто испытывают отек и болезненность в области челюсти, что является нормальной реакцией организма на вмешательство. Однако, в некоторых случаях могут возникнуть более серьезные осложнения, такие как инфекция, повреждение соседних зубов или нервов, а также образование кист. Врачи подчеркивают важность соблюдения рекомендаций по уходу после удаления, включая регулярное полоскание рта и прием назначенных лекарств. Это поможет минимизировать риск осложнений и ускорить процесс восстановления. В целом, при правильном подходе и квалифицированной помощи удаление зубов мудрости проходит успешно, и большинство пациентов возвращаются к обычной жизни в короткие сроки.

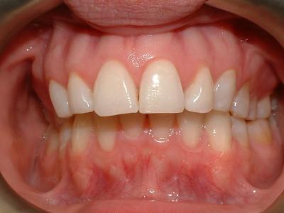
Изменение прикуса, расходятся нижняя и верхняя челюсти
Чаще всего после удаления восьмёрки остальные зубы начинают «расходиться» и «раздвигаться», что приводит к изменению прикуса.
Если деформация прикуса происходит после удаления верхних восьмёрок, это можно определить по следующим симптомам:
- нижняя челюсть выпирает вперёд;
- между верхними зубами увеличивается пространство;
- верхние клыки не совпадают с нижними при смыкании зубов;
- отсутствует возможность комфортно закрыть рот.
Деформация прикуса при удалении нижних восьмёрок проявляется следующим образом:
- чрезмерное выдвижение вперёд верхней челюсти;
- увеличение пространства между нижними зубами;
- при пережёвывании пищи появляется дискомфорт из-за того, что моляры и премоляры не могут правильно сомкнуться;
- нижние клыки не совпадают с верхними.
Последствия изменения прикуса:
- сколы на эмали из-за неравномерной нагрузки на зубы;
- появление кариеса;
- трудности при глотании пищи;
- травмирование внутренних поверхностей щёк и языка при жевании;
- пародонтит;
- смещение челюстных суставов;
- проблемы с дикцией.
Тем не менее не всегда удаление восьмёрок грозит изменением прикуса.
Чтобы точно избежать неприятных последствий этой операции, нужно минимизировать нагрузку на челюсть, и отказаться от твёрдой пищи, курения и пережёвывания на больной стороне на несколько дней после операции.
Важно! Если вы заметили изменение прикуса, стоит тут же обратиться к врачу. На ранних стадиях с этой проблемой справиться гораздо проще.
Меняется овал лица после экстракции, симптомы
Удаление восьмёрок может привести к изменению овала лица. Чтобы заметить признаки этого процесса, стоит начать с того, как должно выглядеть лицо до удаления зубов:
- подбородок и верхняя часть лица смотрятся пропорционально по отношению друг к другу;
- лицо выглядит пропорционально по отношению к телу;
- если провести вертикальную линию по центру лица, обе его половины будут симметричны по отношению друг к другу.
Если же овал лица начал меняться после удаления зубов мудрости, можно заметить следующие признаки:
- опущение уголков рта;
- уменьшение подбородка;
- визуальное уменьшение лица;
- «тяжёлый» подбородок;
- впалые щёки.
В дальнейшем это может привести к следующим последствиям:
- гипотонус или гипертонус мышц лица;
- птоз (обвисшая кожа);
- преждевременное старение кожи лица.
Внимание! От неприятных последствий возможно избавиться, исправив прикус. Для этого используют брекеты, ретейнеры, капы, лазерную коррекцию или хирургическое вмешательство.
Удаление зубов мудрости — это процедура, о которой многие имеют свои мнения и переживания. Некоторые пациенты отмечают, что процесс проходит достаточно быстро и безболезненно благодаря анестезии. Однако, после операции многие сталкиваются с неприятными последствиями, такими как отек, боль и ограниченная подвижность челюсти. Важно отметить, что восстановление может занять от нескольких дней до недели, и в этот период необходимо соблюдать рекомендации врача.
Некоторые люди сообщают о возможных осложнениях, таких как инфекция или повреждение соседних зубов. Поэтому важно выбирать опытного стоматолога и следовать всем предписаниям. Несмотря на возможные трудности, многие отмечают, что после удаления зубов мудрости улучшается общее состояние полости рта, и исчезают проблемы с прорезыванием.

Чувствительность: ощущение, что они чешутся, разъедутся
Если после удаления восьмёрки, остальные зубы стали чувствительны к высоким и низким температурам, появилось ощущение зуда, это может быть симптомом неврологической патологии или воспаления дёсен и костной ткани.
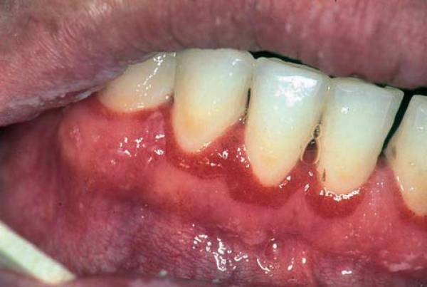
Фото 1. Воспаление десен – причиной может стать распространение бактерий от больных зубов во время операции.
В первом случае, во время операции по удаления зуба, врач мог случайно повредить нервное окончание или оставить в ранке осколок зуба. Если это произошло, рекомендуется повторно обратиться в больницу, для обнаружения точной причины неприятного последствия. Для устранения проблемы придётся прибегнуть к оперативному вмешательству.
Если причиной зуда и чувствительности стало воспаление слизистой, значит рядом с опустевшей лункой находится зуб, поражённый кариесом. Во время операции по удалению восьмёрки врач обязательно санирует полость рта, но это не даёт гарантии того, что болезнетворные бактерии не попадут в ранку.
Важно! Чтобы избежать этой проблемы, после операции нужно как можно тщательней следить за чистотой полости рта.
Появление отёка
Такое последствие не приносит вреда здоровью, а создаёт только временный косметический дефект. Отёк или гематома возникает при использовании во время операции седации, безопасной альтернативы наркозу. В этот момент у больного может понизиться эластичность капилляров, что приведет к их разрыву. Внешний вид лица вернётся к своему первоначальному состоянию спустя 4 – 5 дней.
Справка! Чтобы ускорить этот процесс, рекомендуют использовать холодные компрессы и мази, способствующие рассасыванию гематом.

Кровотечение
Если операция по удалению зуба мудрости была несложной, швы не накладывались, кровотечения возникнуть не должно. В этом случае в пустой лунке формируется кровяной сгусток, который там и остаётся.
Если в процессе операции врач наложил швы, то может появиться незначительное кровотечение, которое продолжается не дольше суток.
Чаще всего это зависит от индивидуальных особенностей организма больного. Беспокоиться нужно только в случае сильного кровотечения.
Когда операция по удалению восьмёрки проходит особенно тяжело, врач может наложить швы только на часть раны. Делается это, чтобы сукровице было проще отходить. Первые пару дней из-под шва может выделяться свежая кровь, что считается нормальным. Всё оставшееся время заживления из ранки будет выделяться только сукровица.
Чтобы не провоцировать кровотечение, в первые два дня важно избегать:
- курения;
- приёма горячей ванны, похода в сауну и баню;
- повышенной физической активности;
- употребления продуктов и лекарств, разжижающих кровь.
Если кровотечение началось, есть несколько способ его остановить:
- Принять вертикальное положение и аккуратно приложить к щеке холодный компресс. Для этого можно взять пакет с замороженными овощами, и обернуть его полотенцем.
- Можно развести перекись водорода с водой в пропорции 1:1, и аккуратно прополоскать ранку, при этом стараться не сплёвывать с усилием.
Плохое самочувствие после операции: тошнота, неприятный привкус
Удаление восьмёрки – это трудный процесс, который может тяжело переноситься организмом пациента. Поэтому не исключено появление таких симптомов, как тошнота, головокружение и слабость.
После завершения операции врач рассказывает о том, чего не стоит делать в ближайшие пару дней и как ухаживать за ранкой, чтобы не появилось неприятных последствий.
Но даже соблюдение всех рекомендаций не гарантирует отсутствия вышеописанных симптомов. В таком случае нужно как можно скорее показаться врачу, который проводил операцию.
Последствия удаления ретинированного зуба мудрости
Если зуб мудрости прорезался не полностью, или его положение неверно по отношению к другим зубам (восьмёрка может расти в щёку или в соседний зуб), его называют ретинированным зубом. В таком случае операция по удалению может оказаться особенно сложной, и иметь неприятные последствия:
- повреждение нервов и сосудов;
- повреждение соседних зубов;
- откол части альвеолярного отростка;
- вывих или перелом челюсти;
- повреждение гайморовой пазухи.
Удаление зачатков зубов мудрости у детей
При удалении зачатков восьмёрки у детей, как и у взрослых, возникают схожие неприятные последствия:
- боль, которая длится несколько часов после операции;
- отёчность и гематома;
- повышение температуры до 38 °C;
- болевые ощущения при глотании;
- трудности при открывании рта;
- головная боль.
Все эти симптомы временные, и проходят в течение 1 – 2 суток. Возможно возникновение и более сложных последствий:
- спустя сутки после удаления может возникнуть повторное кровотечение, которое трудно остановить;
- в лунке может начаться воспаление, которое приведёт к появлению гноя, такое происходит, если в ранке остались частички корня зуба;
- альвеолит – появляется сильная боль, серый налёт на слизистой и неприятный запах изо рта;
- парестезия – в этом случае у ребёнка происходит онемение губ, языка и подбородка. Это происходит из-за повреждения лицевого нерва. Такое случается крайне редко и проходит в течение месяца.
Как избежать неприятных последствий
Главное, что может сделать пациент, это строго следовать всем рекомендациям врача.
В первые пару дней не рекомендуется подвергать организм сильной физической нагрузке и ходить в сауну или баню.
Отложите сигареты на несколько дней, если не хотите спровоцировать повторное кровотечение. Все процедуры, назначенные врачом, важно проводить с соблюдением правильного режима.
Если врач сказал прийти на осмотр на следующий день после операции, обязательно сделайте это. Даже если вам кажется, что всё в порядке, стоит посетить больницу. Только так можно избежать появления осложнений после удаления зуба мудрости.
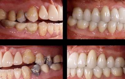
Фото до и после
Фото 2. Слева – фото до процедуры по удалению зуба, справа видны последствия – изменение прикуса.
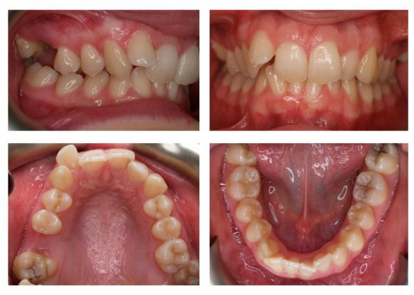
Фото 3. На фото видны изменения, к которым привели зубы мудрости, при этом остальные начали сдвигаться, торчать в разные стороны.
Фото 4. На фото видно, что нижние зубы мудрости растут в неправильном положении, в такой ситуации один из резцов ушел внутрь челюсти.
Полезное видео
Посмотрите видео, в котором расскажут о зубах мудрости, нужно ли их удалять и когда.
В заключение
Операция по удалению восьмёрки – сложная процедура, и нельзя точно спрогнозировать, как она закончится. Те или иные неприятные последствия часто спровоцированы индивидуальными особенностями организма. Лучшее, что вы можете сделать – внимательно слушать лечащего врача, который даст необходимые рекомендации для скорейшего заживления раны.
Вопрос-ответ
Чем может быть опасно удаление зуба мудрости?
Осложнения. После операции по удалению зуба мудрости иногда возникают осложнения — сразу или через время. Во время процедуры может отколоться кусок кости, возникнуть кровотечение. При некомпетентной работе врача может быть травмирован соседний зуб, произойти разрыв слизистой.
Какой самый тяжелый день после удаления зуба мудрости?
У некоторых пациентов десна болит два-три дня, затем боль постепенно ослабевает и проходит. Если во время операции пришлось сделать разрез, либо было гнойное воспаление десны, боль может беспокоить 5-7 дней. Общий период заживления раны после удаления зуба мудрости составляет 7-10 дней.
Советы
СОВЕТ №1
Перед удалением зуба мудрости обязательно проконсультируйтесь с опытным стоматологом. Он проведет необходимые обследования, такие как рентген, чтобы оценить положение зуба и возможные риски, связанные с его удалением.
СОВЕТ №2
Подготовьтесь к процедуре заранее. Изучите информацию о процессе удаления зуба мудрости, возможных последствиях и осложнениях. Это поможет вам быть более уверенным и снизит уровень стресса перед операцией.
СОВЕТ №3
После удаления зуба мудрости следуйте всем рекомендациям врача по уходу за полостью рта. Это включает в себя правильное применение обезболивающих, соблюдение диеты и регулярное полоскание рта, чтобы избежать инфекций и ускорить процесс заживления.
СОВЕТ №4
Обратите внимание на любые необычные симптомы после удаления, такие как сильная боль, отек или гнойные выделения. Если вы заметили что-то подобное, немедленно обратитесь к врачу для предотвращения возможных осложнений.












