Гингивит – воспалительный процесс при котором происходит патологическое изменение тканей десен. Намного чаще гингивит появляется у детей, чем у взрослых. Связано это с активно протекающими биологическими процессами в организме растущего ребенка (прорезывание зубов, становление прикуса, гормональный всплеск). Ткани десен реагируют на малейшие изменения в гормональном фоне, поэтому риск развития гингивита возрастает, также при некачественной гигиене полости рта шанс получить воспаление десен увеличивается, причем в этом случае не только у детей, но и у взрослых.
Причинные факторы возникновения гингивита у детей бывают как локальными, так и местными. К местным фактором относят – неправильный прикус, скопление бактериального налета, кариес и смещение зубного ряда. Инфекции, аллергические реакции, а также системные болезни, гиповитаминоз или сбой в иммунной, эндокринной, нервной, кровеносной и других системах – относят к общим факторам возникновения гингивита. Выделяют четыре формы заболевания: катаральную, гипертрофическую, атрофическую и язвенную. Определить наличие гингивита у ребенка можно по кровоточивости и отечности десен, зуду, жжению и болях при приеме пищи.
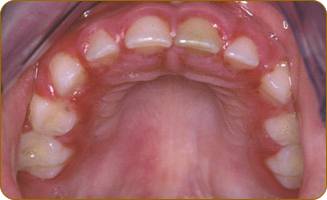
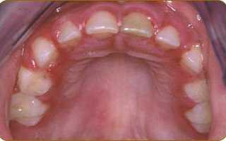
Детский гингивит — это патологические изменения десневой ткани, которые характеризуются наличием воспалительного процесса, имеющего генерализованную или локализованную форму. Наиболее часто у детей диагностируют катаральную форму болезни, которая возникает в результате наличия бактериального налета и неправильного ухода за полостью рта. Стоматолог определяет наличие воспалительного процесса в результате визуального осмотра, а форма гингивита определяется путем сбора анамнеза заболевания и проведении ряда диагностических исследований.
Дети особенно подвержены различным стоматологическим заболеваниям, так как в тканях пародонта активно протекают различные биологические процессы, например, прорезывание зубов или становление прикуса. Околозубная ткань также сильно реагирует на малейшие изменения гормонального фона, поэтому риск развития гингивита существенно возрастает в препубертатный и пубертатный период.
Этиология детского гингивита
Около 80% всех случаев возникновения детского гингивита спровоцированы патогенными бактериями. Патогенные микроорганизмы, размножаясь в зубном налете, вызывают воспаление десневой ткани, то есть некачественный уход за ротовой полостью ребенка является основной причиной развития детского гингивита.
Выделяют следующие местные факторы, влияющие на возникновение детского гингивита:
- неправильная нагрузка на зубочелюстную систему и, как следствие, на весь пародонтальный комплекс (смещение зубного ряда, неправильный прикус, аномалии в строении уздечек, мелкое преддверье);
 - некачественное ортодонтическое лечение;
 - скопление бактериального налета;
 - кариес;
 - хронические аутотравмы.
 
К общим факторам, провоцирующим гингивит у детей, относят:
- инфекционные болезни;
 - аллергические реакции;
 - системные болезни;
 - гиповитаминоз;
 - сбои в работе иммунной, эндокринной, пищеварительной, нервной, кровеносной и сердечно-сосудистой систем.
 
Врачи отмечают, что здоровье детей требует особого внимания и заботы. Педиатры подчеркивают важность регулярных осмотров, которые помогают выявить возможные проблемы на ранних стадиях. Они также акцентируют внимание на значении сбалансированного питания и физической активности для правильного развития ребенка. Специалисты предупреждают о растущей угрозе психических расстройств, связанных с современными технологиями и социальными сетями. Врачи рекомендуют родителям активно участвовать в жизни своих детей, поддерживать открытое общение и создавать комфортную атмосферу для обсуждения любых проблем. Таким образом, комплексный подход к здоровью детей, включая физическое, эмоциональное и социальное благополучие, является ключевым для их гармоничного развития.

Классификация детского гингивита
По характеру течения выделяют острую и хроническую формы заболевания, которые могут иметь как ограниченную локализацию (локализованный гингивит), так и затрагивать большую часть десны (генрализованный гингивит). От характера воспалительного процесса зависит форма гингивита. Всего выделяют 4 формы заболевания:
- катаральную;
 - язвенную;
 - атрофическую
 - гипертрофическую.
 
Глубина поражения десневой ткани определяет степень тяжести болезни. Всего выделяют три степени: легкую или начальную, среднюю и тяжелую.
Симптоматика детского гингивита
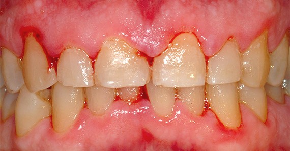
Симптоматика гингивита варьируется в зависимости от его формы. Общими признаками заболевания является:
- кровоточивость десен;
 - гиперемия, сопровождающаяся отечностью и рыхлостью десневой ткани;
 - болезненность при механическом и термическом раздражении;
 - зуд и жжение в деснах.
 
Дети — это удивительные создания, способные вдохновлять и удивлять. Многие взрослые отмечают, что общение с детьми наполняет их жизнь радостью и свежими эмоциями. Люди часто говорят о том, как дети умеют видеть мир по-другому, находя красоту в простых вещах. Их искренность и непосредственность вызывают восхищение, а порой и ностальгию по беззаботному детству.
Некоторые родители делятся, что наблюдение за развитием ребенка — это настоящее чудо. Каждый новый шаг, слово или умение становятся важными вехами, которые наполняют жизнь смыслом. Дети учат нас быть терпеливыми и внимательными, а также напоминают о важности игры и творчества.
Однако, с радостью приходит и ответственность. Взрослые часто говорят о том, как важно создать для детей безопасную и поддерживающую среду, где они смогут расти и развиваться. В конечном итоге, дети — это не только наше будущее, но и источник вдохновения и любви в настоящем.

Особенности протекания у детей и характерные симптомы катаральной формы гингивита
Возникновение катарального воспаления в ротовой полости ребенка, как правило, связано с наличием общесоматических патологий, инфекционными болезнями, прорезыванием или сменой зубного ряда. Симптомами катарального воспалительного процесса у детей является извращение вкуса, гнилостный запах изо рта, зуд, рыхлость и жжение десен, их кровоточивость. Больные также отмечают возникновение болевых ощущений при механическом или термическом раздражении десен.
При обострении катаральной формы воспалительного процесса у детей может отмечаться ухудшение самочувствия, наличие субфебрильной температуры, апатия, слабость. При хроническом течении болезни состояние больного остается стабильным. Распознать катаральную форму болезни можно по выраженной гиперемии десен, их рыхлостью и появлению цианотичного оттенка.
Гипертрофическая форма: симптомы и особенности течения у детей
Полиферативные явления, которые возникают в результате наличия воспалительного процесса в десневой ткани, являются характерным симптомом гипертрофического гингивита. В зависимости от типа полиферативных изменений выделяют две формы: отечную и фиброзную.
Воспалительная или отечная форма гингивита у детей характеризуется сильным зудом и болью, возникающей при механическом раздражении. Кровоточивость десен усиливается при контакте околозубной ткани с частичками пищи. Фиброзный гингивит характеризуется изменением внешнего вида десны, разрастанием межзубных сосочков, образование ложных зубодесневых карманов.
Возникновение гипертрофического гингивита чаще всего наблюдается в период полового созревания и связано с изменением гормонального фона.

Язвенный гингивит у детей
Язвенный гингивит развивается вследствие не долеченного воспалительного процесса катарального типа. Заболевание характеризуется язвенными образованиями, которые локализуются на десневом крае, на которых оседает серо-зеленый налет. При язвенном гингивите резко увеличивается вязкость слюны и появляется гнилостный запах из ротовой полости. При остром течении болезни у детей наблюдаются симптомы выраженной интоксикации организма, такие как нарушение сна, слабость, вялость, тошнота, апатия, нарушение аппетита, повышение температуры тела.
Атрофия десенной ткани у детей
Атрофический гингивит может возникнуть в результате воздействия наследственных факторов (неправильный прикус, аномалии в строении уздечки, мелкое преддверье), а также в результате неадекватного ортодонтического лечения. Деструкционный процесс не имеет ярко выраженных симптомов, при визуальном осмотре можно обнаружить обнажение зубных шеек, также больного могут беспокоить неприятные ощущения, возникающие в результате воздействия температурных раздражителей. Вылечить атрофический гингивит можно при помощи гингивопластики.
Вопрос-ответ
Как проявляется УО у детей?
Наиболее частые признаки – задержка речевого развития (ЗРР), бесстрашие, проблемы с моторными функциями. Наличие этих трех симптомов одновременно дает возможность определять легкую умственную отсталость до наступления школьного возраста, провести своевременную коррекцию и лечение.
Как выглядит сыпь при аллергии у детей?
Может быть в виде как мелких точек, так и крупных волдырей. Кроме них нередко бывают корочки, эрозии и серозные колодца (язвочки, из которых сочится жидкость). Высыпания точечные, в большое пятно не «сливаются». Лицо (лоб, щеки, подбородок).
Какие признаки дистрофии у детей?
Наиболее частые симптомы: адинамия, апатия, снижение эластичности и тургора кожи, истончение подкожной клетчатки, снижение тонуса скелетной мускулатуры и отставание в психофизическом развитии.
Что такое паратрофия у детей?
Паратрофия у детей – это заболевание, которое протекает в хронической форме. Такие дети быстро набирают массу тела, их вес превышает норму на 10%. Обычно эта патология диагностируется у малышей. У ребенка наблюдается чрезмерное накопление жира, что может вызвать осложнения.
Советы
СОВЕТ №1
Создайте безопасную и стимулирующую среду для игры. Убедитесь, что в доме нет острых предметов и опасных веществ, а игрушки соответствуют возрасту ребенка. Это поможет развивать его креативность и уверенность в себе.
СОВЕТ №2
Регулярно общайтесь с детьми и слушайте их. Задавайте открытые вопросы и проявляйте интерес к их мыслям и чувствам. Это укрепит вашу связь и поможет ребенку развивать навыки общения.
СОВЕТ №3
Поощряйте физическую активность. Убедитесь, что у ребенка есть возможность заниматься спортом или просто играть на свежем воздухе. Это не только полезно для здоровья, но и способствует развитию социальных навыков.
СОВЕТ №4
Устанавливайте распорядок дня. Регулярное время для сна, еды и игр помогает детям чувствовать себя в безопасности и учит их организованности. Это также способствует лучшему поведению и успеваемости в школе.

