Многие считают, что проводят профилактику заболеваний зубов дома. Но их удивляет тот факт, что кариес, все -таки, появляется. Уход за зубами в домашних условиях – не гарантия профилактики кариеса. Чтобы не допустить осложнений необходима помощь врача-стоматолога.
Все слышали о людях, которые испытывают страх перед стоматологами. Проверка зубов у врача становится для них пыткой. Когда возникает боль и кариес, часто люди терпят до последнего. А это – верный путь к осложнениям и основательному заболеванию зубов. Усугубление ситуации и осложнения быстро могут приобрести хроническую форму.
Инфекционный процесс, поражающий зубную ткань – это кариес. Причинами возникновения болезни являются следующие факторы:
- гиповитаминоз;
- снижение местного иммунитета, провоцирующее активное размножение кариесогенной микрофлоры;
- нарушение химической структуры слюны;
- недостаточное содержание в пище таких микроэлементов, как кальций и фтор;
- сенсибилизация организма;
- системные заболевания;
- лучевая болезнь;
- патологии в строении зубочелюстной системы и т. д.
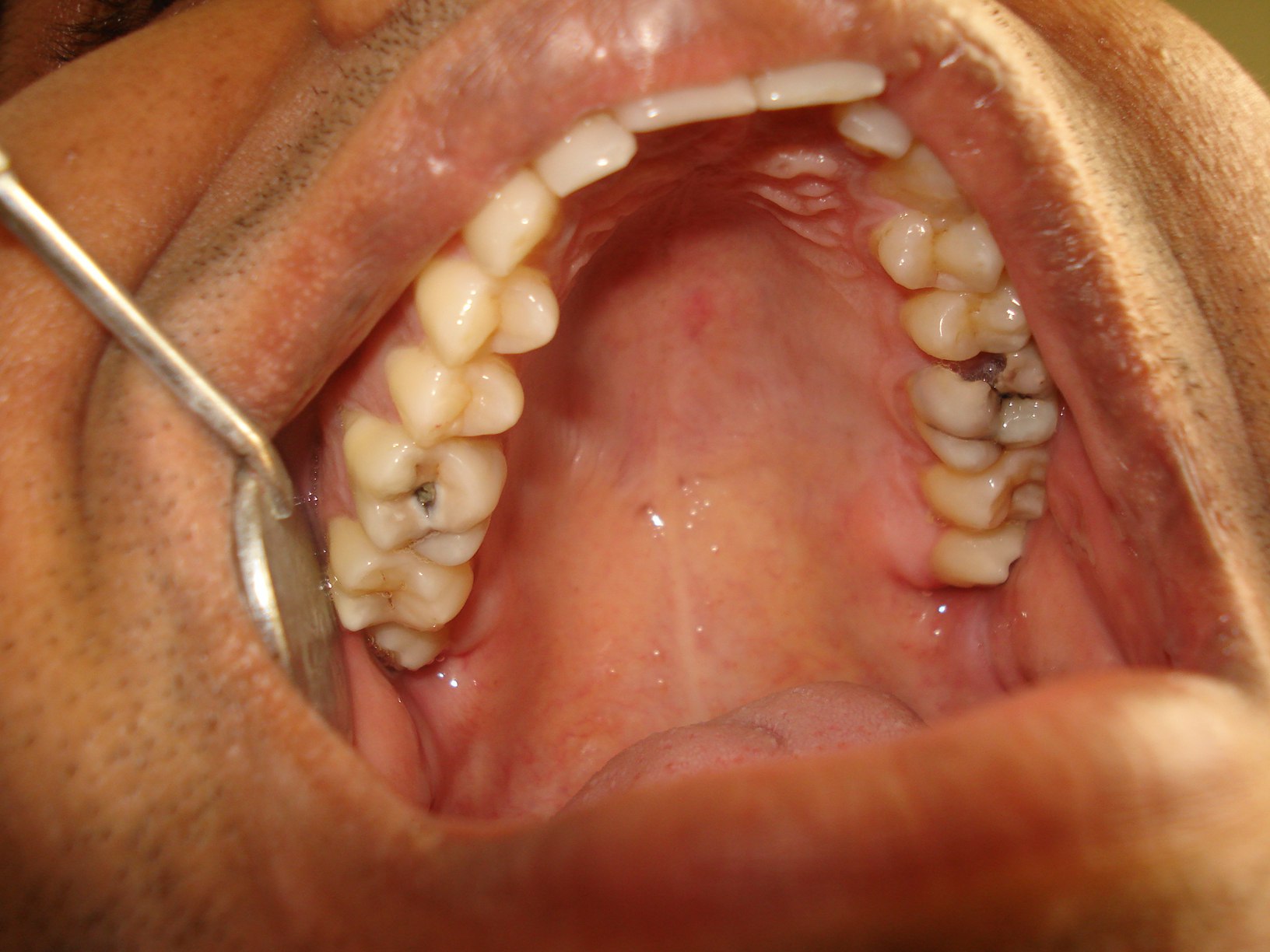
На фотографии показан осмотр зубов с помощью стоматологического зеркала с начальными стадиями кариеса.
Осложнения кариеса
Запущенный кариес чреват серьезными последствиями, которые могут привести к тотальной потере зубного ряда. Запущенная стадия заболевания характеризуется сильно болью, так как деструкционный процесс распространяется не только на дентин, но также на пульпу и околозубную ткань.
На картинке представлены этапы развития внутреннего кариеса.
Очень часто больные заглушают резкую зубную боль различными обезболивающими препаратами, вследствие чего полностью отмирает нерв пораженного зуба, начинается процесс разложения тканей и в кариозной полости скапливается гной.
Гнойный процесс может привести к развитию сильных аллергических реакций и интоксикации организма. Кроме того, иммунитет больного начинает самостоятельно бороться с осложнением болезни, в результате чего образуется гранулема, которая может перерасти в кисту.
Игнорирование или затягивание обращения к врачу – гарантия появления заболевания зубов. Кариес, образовавшийся на зубе, может возникнуть и на соседних зубах. А это – опасная возможность потери зубного ряда. Поэтому, нужно срочно прибегнуть к лечению поврежденного зуба.
В противном случае, кариес перерастет в острые заболевания:
- пульпит;
- периодонтит;
- гранулема;
- киста.
Рассмотрим запущенные формы заболевания кариеса подробнее.
На фотографии показаны этапы очистки зуба от гнойного пульпита: до и после.
Кариес, как считают многие стоматологи, является не только распространенной, но и опасной проблемой, которая может привести к серьезным осложнениям. Врачи подчеркивают, что запущенный кариес может вызвать пульпит — воспаление зубного нерва, что, в свою очередь, приводит к сильной боли и необходимости в более сложном лечении. Кроме того, инфекция может распространиться на околозубные ткани, вызывая периодонтит, что требует хирургического вмешательства.
Стоматологи также отмечают, что кариес может стать причиной системных заболеваний. Бактерии, попадая в кровь, могут спровоцировать воспалительные процессы в других органах, таких как сердце и легкие. Таким образом, игнорирование кариеса может привести не только к потере зуба, но и к серьезным проблемам со здоровьем. Регулярные осмотры у стоматолога и своевременное лечение кариеса — важные меры для предотвращения этих осложнений.

Пульпит
Пульпит возникает, когда инфекционные бактерии проникают через зубные твердые ткани. Инфекция попадает в зубной нерв (пульпу) и воспаляет его. Внутри зуба бактерии размножаются. Это является причиной сдавливания вен и возникновению отечности. Отек сдавливает окончания нерва, что становится причиной резкой боли.
На картинке изображены стадии перерастания кариеса в пульпит.
Признаки пульпита:
- При потреблении холодной, горячей, кислой пищи, возникает резкий болевой импульс. Он длиться менее пяти минут.
- Боль появляется и при прикусывании на больной зуб. Также возникает болевое ощущение и в ночное время суток.
- Независимо от употребления пищи, возникает боль, охватывающая весь зубной ряд. Также, болевой импульс отдает и в ушную полость. Часто, даже сложно определить, какой именно зуб является причиной боли.
- Головная боль в определенной части головы со стороны болезненного зуба.
Существует два способа лечения пульпита: биологический и хирургический. При биологическом (консервативном), пораженный нерв сохраняется. В случае хирургического вмешательства, пульпу удаляют, а пустую полость – пломбируют.
Осложнение кариеса характеризуется зубной болью, которая носит острый характер. Пульпит возникает в результате поражения пульпы кариесогенными микроорганизмами и продуктами их жизнедеятельности. Зубная боль возникает самопроизвольно и носит приступообразный характер. Болевые ощущения чувствуются не только в области пораженного зуба, так как иррадиируют по всем ветвям тройничного нерва, отдают в челюсть, висок и ухо. Отличить пульпит от невралгии можно по усиливающейся зубной боли в ночное время, а также при горизонтальном положении больного.
Если пульпит носит не острый, а хронический характер, то болевые ощущения могут возникать под воздействием химических, механических и термических раздражителей. При этом боль долго не затухает даже после ликвидации раздражителей. При зондировании кариозной полости пациент ощущает резкую простреливающую боль.
Если развивается острая форма гнойного пульпита, то больной ощущает непрерывную пульсирующую зубную боль, усиливающуюся при тепловом воздействии. Приступы продолжительны, а обезболивающие препараты купируют болевые ощущения на непродолжительный период времени.
Пульпит требует срочного стоматологического лечения, которое не исключает оперативного вмешательства.
Периодонтит
Воспаление тканей, окружающих корень зуба, называется периодонтитом. Как правило, болезнь протекает остро, зубная боль усиливается при механическом раздражении пораженного зуба, возникает отек десны, а в области больного зуба может образоваться гнойник. Заболевание сопровождается сильной интоксикацией организма, которая проявляется тошнотой, повышением температуры тела, головными болями, слабостью, рвотой. Лечение гнойной формы периодонтита требует срочного оперативного вмешательства, которое заключается в оттоке гноя и купировании воспалительного процесса. Очень часто для того чтобы избежать возможных осложнений прибегают к удалению пораженного зуба.
Возникновение периодонтита могут вызвать несколько причин:
- пародонтит. Воспаление десен может стать одной из причин развития периодонтита;
- зубная травма механического характера;
- нехватка организму витаминов, макро- и микроэлементов;
- заболевания хронической формы (сахарный диабет, болезни сердечно-сосудистой системы);
- вредные привычки.
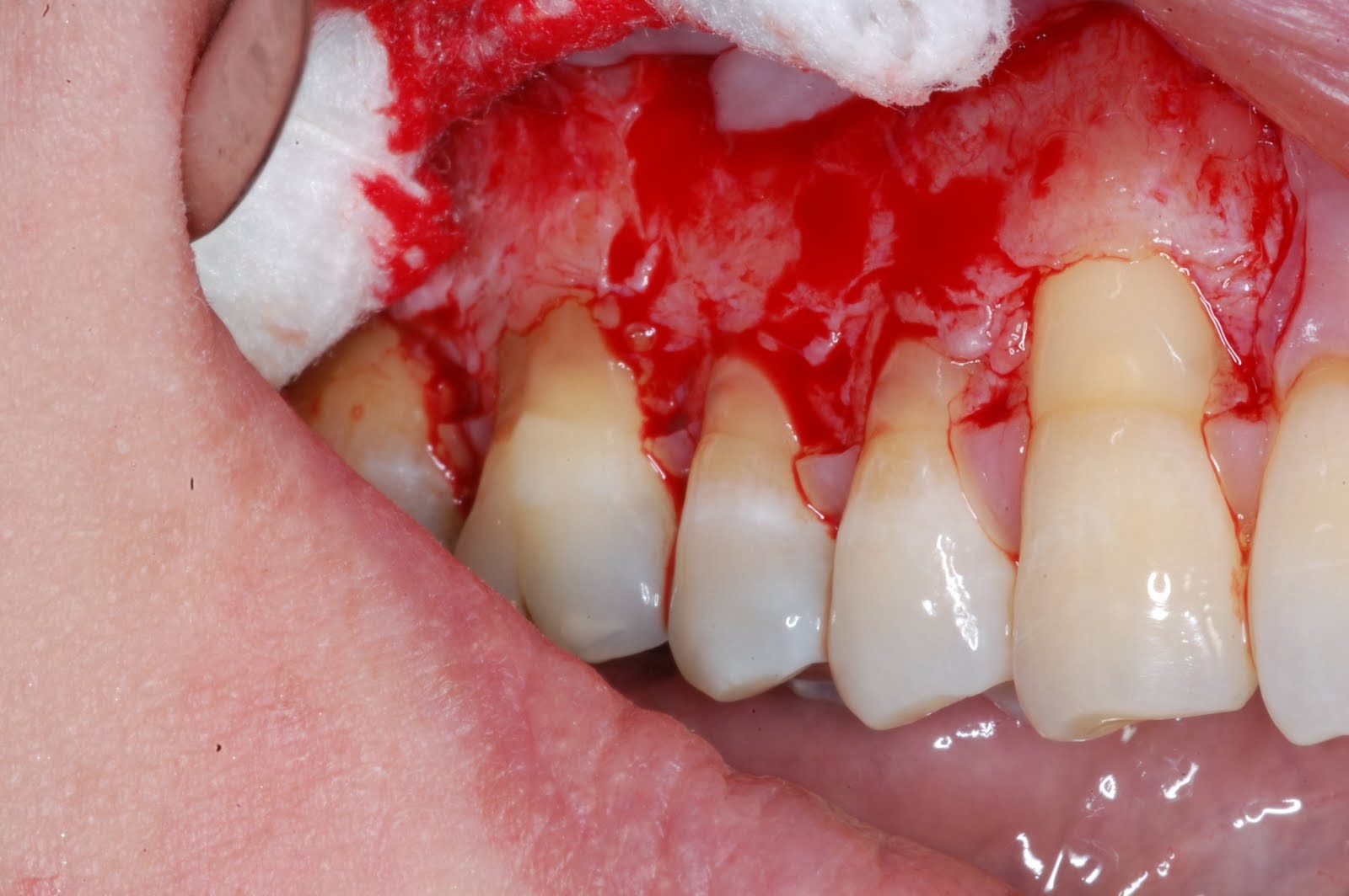
Симптомами первого предупреждения о возникновении периодонтита является кровоточивость десен. Также, характерно появление неприятного запаха изо рта.
На фотографии продемонстрирована тяжелая форма периодонтита с кровоточащими деснами.
Периодонтит различают двух типов – хронический и острый. При остром периодонтите зуб охватывает болью. При нажатии на него, боль усиливается. Также, болевой импульс появляется от приема горячей пищи. При употреблении продуктов питания в холодном виде, наоборот, – утихает. Наблюдается отечность десен вокруг пораженного зуба. Также, возможно появление гнойного образования возле него. Периодонтит сопровождается повышенной температурой, чувством тошноты, рвотой. Периодонтит характеризуется чувством слабости и интоксикации организма в целом.
Периодонтит в гнойной форме требует неотложного оперативного вмешательства. В случае негнойной формы периодонтита, больной зуб еще можно вылечить. При этом, не прибегая к его ликвидации. Существует вариант классического лечения. Если не обратиться к врачу вовремя, зуб придется удалять. Возможно улучшения состояния зуба и уменьшения симптомной картины. Но спустя 1-1,5 недели, периодонтит обретет хронический характер. Это повлечет высокую подвижность зубного ряда, образование щелей между зубами. Если проблему не устранить, бактерии приведут к заболеванию суставов, сердца, почек. Периодонтит может перерасти в гранулему.
Мнение стоматолога.
Негнойная форма периодонтита протекает с менее выраженными симптомами, и лечить ее можно консервативными методами (расширении и пломбировании зубного канала).
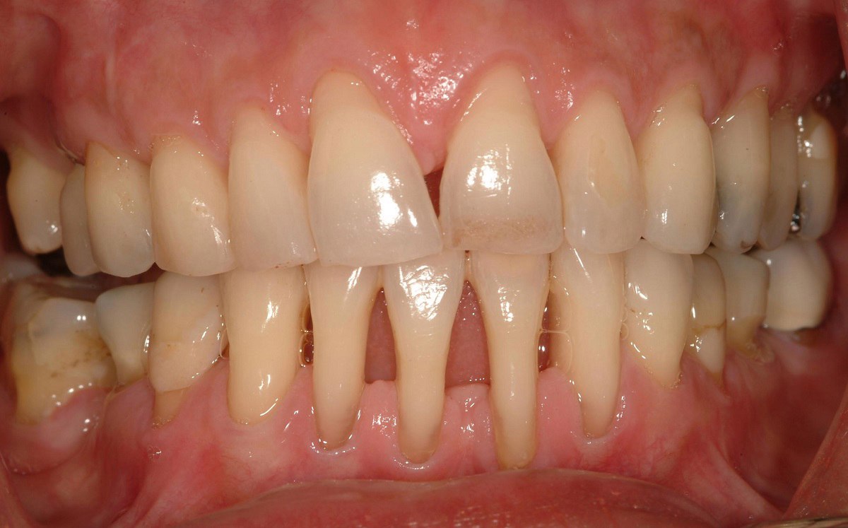
На фотографии показана тяжелая форма периодонтита с серьезной рецессией костной ткани и десен.
Кариес — это не просто эстетическая проблема, но и серьезное заболевание, которое может привести к множеству осложнений. Люди часто недооценивают его последствия, считая, что достаточно просто удалить пораженный зуб. Однако кариес может вызвать воспаление десен, пульпит и даже абсцесс, что требует более сложного и дорогостоящего лечения. Кроме того, инфекция может распространиться на другие участки организма, вызывая системные заболевания. Многие отмечают, что игнорирование первых симптомов, таких как чувствительность зубов или боль, приводит к более серьезным проблемам в будущем. Профилактика, регулярные осмотры у стоматолога и правильная гигиена полости рта — ключевые факторы в борьбе с кариесом и его осложнениями.
Гранулема
Гранулемой называют запущенный периодонтит. Ей характерно наличие гнойного образования у основания зуба. Диагностировать его можно только с помощью рентгенографии. Гранулема может не подавать никаких признаков, но однажды может воспалиться. Ощущается сильная боль пульсирующего характера. Зубная эмаль темнеет и появляются гнойные выделения. Лечение гранулемы консервативным методом не всегда позволяет сохранить поврежденный зуб. Если гранулема переросла в кисту, хирургическое вмешательство – единственный вариант лечения. По своей сути, гранулема является очагом инфекции. Она способна вызвать заболевания внутренних органов.
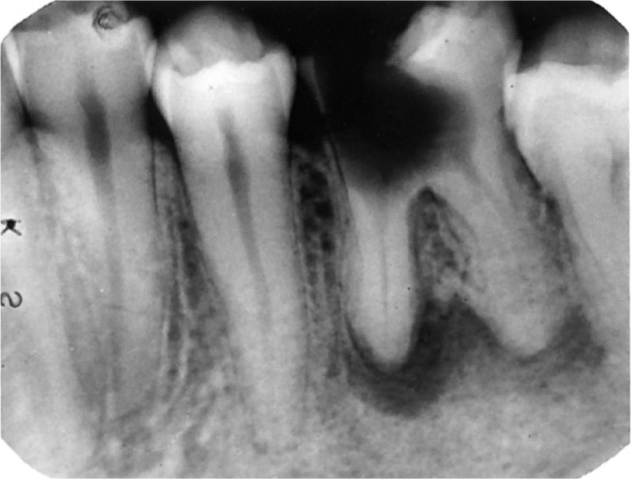
На фотографии показан рентген зуба с гранулемой вдоль корня моляра.
Диагностировать гранулему можно при помощи рентгенографического исследования, она возникает постепенно и является следствием такого кариозного осложнения, как периодонтит. Постепенно увеличиваясь, гранулема проявляется в виде припухлости десны и ее болезненности при пальпации. Если в гранулеме развевается гнойный процесс, то пациент ощущает пульсирующую зубную боль, зубная эмаль темнеет, появляются гнойные выделения.
Хроническое течение заболевания может быть бессимптомным, а в процессе прогрессирования болезни гранулема трансформируется в кисту. Гранулема является очагом хронической инфекции в организме и помимо потери зуба может дать серьезные осложнения на органы респираторного тракта и сердечно-сосудистую систему.
Консервативные методы терапии гранулемы не всегда позволяют сохранить зуб, при трансформировании ее в кисту чаще всего прибегают к хирургическому вмешательству.
На изображении показано расположение гранулемы у корня зуба.
Профилактика осложнений кариеса
К профилактическим мероприятиям осложнений кариеса относят раннюю диагностику и своевременное лечение кариеса, проведение профессиональной чистки ротовой полости, ортопедическое лечение, позволяющие равномерно распределить нагрузку и восстановить зубной ряд.
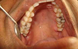
На фотографии продемонстрирован осмотр зубной полости с помощью стоматологического зеркала и зонда.
Как бороться с осложнениями кариеса? Существуют профилактические методы борьбы с осложнениями кариеса. Среди таких:
- Соблюдение правил личной гигиены зубов.
- Регулярная проверка состояния зубов у стоматолога (2-3 раза в год).
- Ранняя диагностика и своевременное лечение возникшей проблемы с зубами.
- Профессиональная чистка полости рта и зубного ряда.
- Услуги ортопеда. Лечение поможет распределить нагрузку на зубы равномерно.
На фотографии демонстрируется уход за зубами при помощи зубной нити.
Как бороться с кариесом и его осложнениями? Регулярная профилактика и увеличенное внимание за гигиеной полости рта. Также, контроль состояния зубов и ликвидация кариеса на начальном этапе. Вот лучший способ предотвратить проблемы и осложнения кариеса.
Видео: Опасное заболевание зуба – пульпит.

В видеоролике подробно рассказывается о характере воспалительного заболевания зубного нерва, его симптомах, причинах появления и возможных последствиях.
Видео: Лечение периодонтита.

Видео состоит из схематичной демонстрации последовательных манипуляций, которые производятся для лечения периодонтита. Под картинкой каждый этап кратко описывается.
Вопрос-ответ
Чем опасен кариес для организма?
Какие проблемы может вызвать кариес? Бактерии, размножающиеся в тканях, которые окружают больной зуб, попадают в кровоток, вызывают воспалительные процессы в сосудах и провоцируют образование тромбов. Невылеченный кариес может стать причиной развития воспаления надкостницы, то есть периостита.
Какие проблемы со здоровьем возникают из-за кариеса?
Боль, которая затрудняет повседневную жизнь. Потеря веса или проблемы с питанием, связанные с болью или трудностями при приеме пищи или жевании. Потеря зубов, которая может повлиять на вашу внешность, уверенность в себе и самооценку. В редких случаях – абсцесс зуба, который может привести к более серьезным или даже опасным для жизни инфекциям.
Советы
СОВЕТ №1
Регулярно посещайте стоматолога для профилактических осмотров. Это поможет выявить кариес на ранних стадиях и предотвратить его развитие, что снизит риск осложнений.
СОВЕТ №2
Следите за гигиеной полости рта: чистите зубы дважды в день и используйте зубную нить. Это поможет удалить налет и остатки пищи, которые могут способствовать образованию кариеса.
СОВЕТ №3
Сократите потребление сахара и кислых продуктов, которые могут способствовать разрушению зубной эмали. Вместо этого выбирайте здоровые перекусы, такие как фрукты и овощи.
СОВЕТ №4
Используйте фторсодержащие зубные пасты и ополаскиватели, чтобы укрепить зубную эмаль и снизить риск развития кариеса. Фтор помогает реминерализовать поврежденные участки зубов.











