Зубная боль – одно из самых сильных, испытываемых человеком, болевых ощущений.
Внутри зуба расположена область, в которой сконцентрированы кровеносные сосуды и нервные окончания. Это область называется пульпа.
Она крайне чувствительная и реагирует на внешние раздражители: холодное, горячее, сладкое.
В разрушенном зубе обнажаются нервные окончания, которые подвергаются воздействию, в результате, возникает нестерпимая боль. В такой ситуации требуется удаление нерва, что приводит к омертвению зуба.
При правильно проведённой процедуре и качественном пломбировании, такой зуб может прослужить ещё долгие годы. Однако он теряет чувствительность и уже не реагирует на раздражители острой болью.
Причины боли после удаления нерва
После процедуры депульпирования в некоторых случаях пациенты чувствуют лёгкую боль в области вылеченного зуба. Это связано, как правило, с повреждением мягких тканей.
Во время подготовки к операции можно невольно травмировать десну и т. п. Болевые ощущения выражены неярко и проходят через 5—7 дней после процедуры. Постпломбировочные боли укладываются в рамки нормы.
Другое дело — резкая боль при нажатии на зуб или надкусывании. Если после удаления нерва, вылеченный зуб реагирует на холодное или горячее, ноет без явных воздействий на него (например, в ночное время), значит, вероятно, во время операции депульпирования были допущены какие-то ошибки, которые мешают полному заживлению.
Справка! Причиной непроходящей боли после удаления нерва может быть, как врачебная ошибка, так и особенность реакции организма на вмешательство.
Врачи подчеркивают, что терпение в вопросах здоровья не всегда является добродетелью, особенно когда речь идет о зубной боли после удаления нерва. Обычно дискомфорт может сохраняться от нескольких дней до недели, и его интенсивность зависит от индивидуальных особенностей пациента и сложности процедуры. Однако, если боль становится невыносимой или сопровождается отеком, это может указывать на развитие осложнений, таких как инфекция или воспаление. В таких случаях медлить с обращением к стоматологу крайне опасно, так как запущенные проблемы могут привести к более серьезным последствиям, включая потерю зуба. Врачи настоятельно рекомендуют не игнорировать симптомы и своевременно обращаться за помощью, чтобы избежать дальнейших осложнений и обеспечить быстрое восстановление.

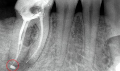
Выход пломбировочной пасты за апекс корня зуба
Апекс корня — его вершина. Иногда, при ошибках, допущенных стоматологом, пломбировочный материал выходит за пределы корня в область костей челюсти, вызывая воспаление мягких тканей.
Воспалительный процесс развивается из-за того, что пломбу — инородное тело организм пытается отторгнуть. Чтобы таких последствий не возникло, врач с помощью специальных приборов, измеряет длину канала.
Если зуб имеет несколько корней, то измеряется каждый канал. С помощью рентгена проверяется качество выполненной работы. Благодаря развитию медицины, приборы точно показывают, вышел ли пломбировочный материал за допустимые пределы. При обнаружении такого недочёта, врач должен снять пломбу и заново провести процедуру.
Каналы закрылись не полностью
В таком случае пломбировочный материал не выходит за пределы, а закрывает канал не полностью из-за того, что его просто недостаточно. Необработанная полость становится очагом развития инфекции, возникает воспалительный процесс, вызывающий болевые ощущения. В этом случае ошибка врача заключается в неверной оценке длины каналов или равнодушии к неудовлетворительным результатам, ведь как упоминалось ранее, приборы способны показать, появились ли недочёты после операции.
Лечение заключается в распломбировании канала, чистке, снятии воспаления и проведении процедуры пломбировки заново.
После удаления нерва зуба многие пациенты сталкиваются с неприятными ощущениями и болевыми симптомами. В первые дни после процедуры боль может быть интенсивной, что связано с воспалением тканей и реакцией организма на вмешательство. Некоторые люди отмечают, что дискомфорт сохраняется до недели, и это вызывает беспокойство. Важно помнить, что терпение в данном случае может быть не добродетелью, а необходимостью.
Если боль не утихает или усиливается, это может свидетельствовать о развитии осложнений, таких как инфекция или воспаление. В таких ситуациях лучше не откладывать визит к стоматологу. Игнорирование симптомов может привести к более серьезным проблемам, включая потерю зуба или распространение инфекции. Поэтому важно внимательно следить за состоянием и не стесняться обращаться за помощью, если что-то идет не так. Забота о здоровье всегда должна быть на первом месте.

Пустоты в корне зуба после пломбирования
Пломба должна плотно закрывать каналы, но если процедура проведена некачественно, после затвердевания лекарственного вещества остаются пустые зоны в корне зуба.
Пломбирование проходит, как правило, в три этапа: удаление нерва, повторная чистка каналов и установка постоянной пломбы. Поспешность и несоблюдение технологии пломбирования приводят к неприятным последствиям. Для лечения также потребуется повторно установить новую пломбу.
Попадание слюны во время операции по удалению нерва
Если врач не полностью изолировал зуб от слюны, в процессе пломбирования вместе с ней в каналы могут попасть болезнетворные бактерии, вызывающие воспаление. Методика лечения заключается в снятии этого воспаления.

Сколько дней болит, если кариес удалён не до конца?
Кариес — отличная среда для развития бактерий. Окончательное избавление от этой патологии возможно при полном удалении поражённых тканей. К тому же кариес способен поражать и соседние зубы. Если боль не проходит после удаления нерва, рекомендуется проверить, не осталось ли поражённых участков. Боль из-за кариеса может возникнуть даже через несколько недель или месяцев и решение проблемы одно — распломбирование и чистка.
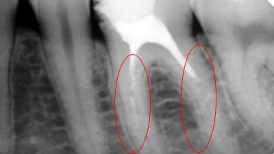
Разветвление каналов при нестандартном строении корневой системы
Встречаются случаи, когда каналов в зубе больше, чем корней. Задача стоматолога — провести полную диагностику, выявить и заполнить все существующие каналы. При упущении даже одного, возникает воспаление. Такие ситуации встречаются нечасто и зависят от квалификации специалиста.
Фото 1. Рентгеновский снимок зуба с сильно искривлёнными каналами во время и после лечения.
Повреждение стенки корня после чистки каналов
При высверливании кариеса может произойти механическое разрушение стенки корня и образоваться отверстие с выходом на челюстную кость. Выявить такой недочёт поможет рентген или КТ зуба. Боль, как правило, появляется сразу после операции и плохо поддаётся воздействию обезболивающих препаратов.
Случаи, когда болит не из-за ошибки врача
- Невралгия тройничкового нерва. Некоторые пациенты предрасположены к такому недугу и ошибки врача здесь нет. Это просто реакция организма на вмешательство. Диагностика довольно сложная и специалист в большей степени опирается на сопутствующие симптомы: онемение кожи лица, отдача болевых ощущений в височную часть и т. д. Для лечения проводится комплекс мер с применением медикаментов и физиопроцедур.
- Аллергия. Пломбировочный материал – химическое соединение. Иногда, боль после удаления нерва связана с реакцией организма на компоненты пломбы.
Справка! Таким образом, можно отметить, что даже после удаления нерва, фактически убив зуб, он подвержен болевым ощущениям. Все ошибки поправимы, если вовремя обратиться к специалисту.
Как долго держится болевой синдром?
В зависимости от качества проведённых работ, от регенерации организма и его индивидуальных особенностей, болевые ощущения способны сохраняться в течение 2 – 3 дней. Нормой постпломбировочных болей принято считать 5 – 7 дней.
За это время происходит заживление повреждённых тканей. А также не стоит паниковать, если болит 2 – 3 недели, но при условии, что с каждой неделей интенсивность боли снижается.
Важно! При подозрениях на воспалительные процессы, лучше проконсультироваться с доктором.
Если болит долго: когда необходимо срочно обратиться к врачу?
К врачу рекомендуется обращаться как при возникновении болевых ощущений, так и для профилактики, во избежание развития более серьёзных проблем. Однако многие до последнего терпят боль в надежде, что она сама пройдёт.
Срочный визит к стоматологу показан, если:
- болит несколько дней, не даёт уснуть или просто принять положение лёжа;
- боль не прекращается в течение длительного времени после лечения;
- острая боль возникает через несколько дней или недель после лечения;
- ухудшается общее самочувствие организма;
- ощущается наличие инородных предметов.
Внимание! Одной из причин не проходящего болевого синдрома, может быть обломок инструмента стоматолога, оставшийся в канале.
Полезное видео
В этом видео обсуждаются возможные осложнения при лечении корня зуба с удалением нерва.
Профилактика кариеса поможет избежать удаление нерва
Удаление нерва из корня зуба — эффективное избавление от неприятных ощущений, а процедура депульпации проводится опытными мастерами с соблюдением всех технологий. В случае успешно проведённой операции, неприятные ощущения или лёгкая боль после удаления нерва, могут держаться от 2 до 7 дней.
Если же болевой синдром не проходит в течение нескольких недель, и никаких улучшений нет, то стоит обратиться к специалисту для определения причин патологии и своевременного лечения. Профилактика кариеса помогает избежать крайних мер, поэтому посещать стоматолога рекомендуется не реже двух раз в год.
Вопрос-ответ
Что делать, если удалили нерв, а зуб все равно болит?
После вмешательства возможны несильные болевые ощущения – это считается нормой. Но если болит зуб после удаления нерва по окончании этого срока, лучше обратиться к стоматологу, который устранит причину проблемы. Пульпа или нерв в зубе – тонкий пучок, состоящий из кровеносных сосудов, связок и нервов.
Сколько в норме должен болеть зуб после удаления нерва?
Боль может длиться от нескольких дней до недели. Если она не утихает или усиливается, необходимо обратиться к стоматологу. Что делать, если зуб болит после удаления нерва? Рекомендуется принимать обезболивающие средства, прописанные врачом, и избегать жесткой пищи.
Как понять, что не до конца удалили нерв?
Если нерв удален не до конца, со временем неизбежно придется столкнуться с болевыми ощущениями и самыми разными осложнениями. Кстати, если у пациента ярко выражена реакция зуба на холодное или горячее, скорее всего, дело именно в не до конца удаленном нерве. Некачественная пломбировка после депульпирования.
Почему ноет зуб после чистки каналов?
Работа специалиста предполагает удаление всех поврежденных элементов. Поэтому могут слегка травмироваться окружающие ткани, что вызывает болевые ощущения. Такая боль довольно быстро утихает.
Советы
СОВЕТ №1
Не откладывайте визит к стоматологу, если боль после удаления нерва не утихает в течение нескольких дней. Это может быть признаком инфекции или других осложнений, требующих немедленного вмешательства.
СОВЕТ №2
Следите за симптомами: если помимо боли вы замечаете отек, покраснение или выделения из десны, обязательно сообщите об этом врачу. Эти признаки могут указывать на серьезные проблемы, которые нужно решать как можно скорее.
СОВЕТ №3
Используйте обезболивающие средства только по рекомендации врача. Самолечение может усугубить ситуацию и скрыть симптомы, что затруднит диагностику и лечение.
СОВЕТ №4
Обратите внимание на гигиену полости рта после процедуры. Регулярная чистка зубов и использование антисептических ополаскивателей помогут предотвратить инфекции и ускорить процесс заживления.






