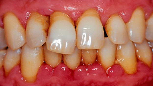
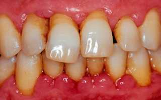
Пародонтит это воспалительный процесс в околозубной ткани. Характерными симптомами пародонтита являются отек и кровоточивость десен, увеличение межзубных щелей, рыхлость десен, образование пародонтальных карманов, пошатывание зубов, а также зловонный (гнойный) запах из ротовой полости. Довольно часто подобное заболевание возникает у детей, связано это с гормональными изменениями растущего организма. У взрослых возникновение пародонтита может быть связанно со стрессами и нервными потрясениями, эндокринным или гормональным нарушением, а также наличием следующих заболеваний: сахарный диабет, псориаз, ревматизм и вегетососудистая дистония.
Фармакологические средства для лечения пародонтита можно разделить на три группы: антибактериальные, противовоспалительные препараты и иммуномодуляторы. В статье ниже более подробно рассмотрены основные препараты для лечение и профилактики пародонтита.
Воспалительный процесс в околозубной ткани или пародонтит коварен тем, что развивается скачкообразно, то есть больной может и не подозревать о наличии заболевания до периода его обострения. Характерными симптомами являются:
- отек и кровоточивость десен;
 - зловонный запах из ротовой полости;
 - рыхлость десен;
 - пошатывание зубов;
 - образование пародонтальных карманов;
 - увеличение межзубных щелей.
 
В группе риска находятся люди, имеющие системные заболевания, такие как сахарный диабет, ревматизма, вегето-сосудистая дистония, псориаз и т.д. а также дети. Эндокринные и гормональные нарушения также могут спровоцировать развитие пародонтита. Кроме того, воспалительный процесс может возникнуть в результате нервных потрясений и стрессов.
Фармакологическое лечение пародонтита
Средства, которые применяются для терапии заболевания, можно разделить на три группы:
- антибактериальные препараты: противогрибковые средства, антибиотики, антисептики;
 - противовоспалительные препараты: стероидные и нестероидные лекарственные средства, ферменты;
 - иммуномодуляторы: гормоны, витамины, иммуностимулирующие препараты.
 
Врачи-стоматологи единодушны в том, что лечение пародонтита требует комплексного подхода. Основное внимание уделяется не только устранению симптомов, но и восстановлению здоровья десен. Специалисты рекомендуют использовать антисептические средства, такие как хлоргексидин, для снижения воспаления и предотвращения инфекции. Также важны гели и пасты с противовоспалительными компонентами, которые способствуют заживлению тканей. Врачи подчеркивают, что регулярные профессиональные чистки зубов и контроль за состоянием полости рта являются ключевыми факторами в борьбе с пародонтитом. Кроме того, они советуют пациентам обратить внимание на изменение образа жизни, включая правильное питание и отказ от курения, что также положительно сказывается на здоровье десен.

Антибактериальные средства
Так как основными возбудителями воспалительного процесса в пародонте являются бактерии, то в основе фармакологического лечения болезни лежат антисептические средства и антибактериальные препараты.
Для лечения пародонтита чаще всего применяют средства:
- Полиминирол. Это эффективный антисептик, который угнетает размножение патологической микрофлоры и снижает негативное действие токсинов, предотвращая развитие деструктивного процесса в околозубной ткани.
 - Линкомицина гидрохлорид. Средство оказывает эффективное воздействие на стрептококковую и стафилококковую микрофлору, предотвращает развитие воспаления в костной ткани. Назначают в виде инъекций или таблеток.
 - Эритромицин. Применяется для терапии пародонта второй степени тяжести, когда наблюдается выделение серозного отделяемого. Средство эффективно тормозит гнойно-воспалительные процессы в околозубной ткани.
 - Левомицетин применяют для лечения гноеточивого пародонтита. Препарат купирует процесс абсцедирования десен. Средство выпускается в виде таблеток, спиртовых растворов и мазей для местного применения (Левомеколь, Олазоль. Левосин, Левовинизоль, Фулевил).
 - Суммамед — антибиотик, подавляющий патогенную микрофлору. Антибиотик назначают в период обострения пародонтита, а также для купирования воспаления непосредственно перед оперативным вмешательством.
 - Ваготил. Препарат оказывает местное бактерицидное воздействие на патогенные микроорганизмы. Средство нормализует микроциркуляцию ткани, снижает проницаемость капилляров, уменьшает интоксикацию околозубной ткани.
 
Параллельно с антибактериальным лечением необходимо предотвратить распространение инфекции, то есть осуществить профессиональную чистку ротовой полости больного, а также исключить факторы, дополнительно травмирующие пародонт, таки как зубные протезы, выступающие пломбы, некачественно установленные коронки и т.д.
Помимо антибактериального лечения больному также предписывают физиотерапию: дарсонвализацию, электрофорез, лазеротерапию, аппарат Вектор и т.д.
Противовоспалительные препараты от пародонтита
Для снятия отека десен и уменьшения болевых ощущений назначают следующие препараты:
- Гепариновая мазь, которая снимает отек десен и оказывает противовоспалительное действие. Помимо противовоспалительного воздействия гепарин нормализует микроциркуляцию крови в тканях пародонта и повышает стойкость капилляров.
 - Мараславин. Помимо противовоспалительного воздействия препарат улучшает регенерацию околозубной ткани, обладает обезболивающим и противоаллергическим эффектом.
 - Троксевазин. Гель, предназначенный для местного применения, обладает противоотечным действием. Снижает болевые ощущения и снижает ломкость капилляров.
 - Элюгель и Эльгифлуор — гели, действующим веществом которых является хлоргексидин. Местные ингибиторы оказывают противовоспалительное действие, снижают ломкость капилляров и улучшают регенерацию тканей.
 - Полифепан применяется в виде криогеля, который вводится в пародонтальные карманы. Препарат купирует воспалительный процесс за счет сорбции продуктов жизнедеятельности патогенной микрофлоры (токсинов).
 
Мнения людей о средствах от пародонтита варьируются в зависимости от личного опыта и результатов использования. Многие отмечают, что регулярное применение специализированных зубных паст и ополаскивателей помогает снизить воспаление и улучшить состояние десен. Пользователи часто делятся положительными отзывами о натуральных средствах, таких как масла чайного дерева и экстракты трав, которые, по их словам, способствуют заживлению и укреплению десен. Однако некоторые выражают недовольство, указывая на то, что не все продукты работают одинаково эффективно, и иногда требуется комплексный подход, включая профессиональную чистку у стоматолога. Важно помнить, что индивидуальные результаты могут различаться, и консультация со специалистом остается ключевым шагом в борьбе с пародонтитом.

Иммуномодуляторы для лечения пародонтита
Препараты, средства стимулирующие регенерацию пародонта также широко используются для терапии пародонтита. Чаще всего применяют следующие средства:
- Картиноли-М. Антиоксидант, способствующий укреплению организма и повышающий его резистентность к патогенной микрофлоре. Препарат оказывает комплексное воздействие и применяется в качестве одной из составляющих фармакологического лечения.
 - Гепон и Имудон. Иммуномодулирующие препараты, стимулирующие выработку интерферона. Назначаются для комплексной терапии воспалительного процесса в тканях пародонта, укрепляют организм и оказывают противовоспалительное воздействие.
 - Ретинол ацетата. Витамин А нормализует секрецию слюнных желез, тем самым повышает защитные функции десневой ткани.
 - Витамин D. Применяется для комплексного лечения пародонтита, стимулирует отложение кальция в дентине и костной ткани.
 - Токоферол. Сильный антиоксидант, который способствует нейтрализации токсинов, купирует воспалительный процесс.
 - Викасол — водорастворимый аналог витамина К, используется для лечения кровоточивости десен, способствует повышению свертываемости крови.
 - Витамины группы В широко применяются при комплексной терапии пародонтита, нормализуют обменные процессы и восстанавливают нормальную циркуляцию крови в пародонте.
 
Иммуномодуляторы являются одной из составляющих лечения воспалительного процесса в околозубной ткани.
Фармакологическое лечение, а также минимально эффективные дозы приема назначаются в зависимости от индивидуальных особенностей организма больного, а также степени пародонтита. Перед назначением тех или иных препаратов может понадобиться консультация таких специалистов, как терапевт, эндокринолог, иммунолог, аллерголог и других.
Вопрос-ответ

Чем лучше лечить пародонтит?
При пародонтите применимы терапия антибиотиками, но только после профессиональной чистки зубов от камней и полной санации полости рта. Источник воспаления должен быть убран. В некоторых случаях назначают курс инъекций с Траумелем, Линкомицином, а также плазмолифтинг.
Какие таблетки принимать при пародонтите?
Рассмотрим, какие именно антибиотики чаще всего применяются при лечении пародонтита. В большинстве случаев для лечения антибиотиками применяется тетрациклин. Также может использоваться рондомицин и доксициклин. В качестве антибиотиков широкого спектра действия могут применяться линкомицин, клиндамицин или рулид.
Можно ли вылечить пародонтит в домашних условиях?
Справиться с пародонтитом самостоятельно в домашних условиях невозможно! Никакие чудодейственные зубные пасты, волшебные зубные щетки и даже инъекции не помогут, если не устранить главную причину воспаления – бактериальный налет и зубной камень.
Советы
СОВЕТ №1
Регулярно посещайте стоматолога для профилактических осмотров и профессиональной чистки зубов. Это поможет выявить проблемы на ранних стадиях и предотвратить развитие пародонтита.
СОВЕТ №2
Следите за гигиеной полости рта: чистите зубы дважды в день и используйте зубную нить. Это поможет удалить налет и остатки пищи, которые могут способствовать воспалению десен.
СОВЕТ №3
Обратите внимание на свой рацион. Употребление продуктов, богатых витаминами C и D, а также кальцием, может укрепить десны и улучшить общее состояние полости рта.
СОВЕТ №4
Избегайте курения и чрезмерного потребления алкоголя, так как эти факторы могут усугубить состояние десен и увеличить риск развития пародонтита.


