Периодонтит в зависимости от степени тяжести заболевания сопровождается болью при жевании и употреблении пищи. В случаях запущенной стадии болезни может наблюдаться повышение температуры тела, сильная головная боль, лихорадка, лицо приобретает асимметричность и появляется ощущение увеличения зуба из-за гнойных процессов в месте поражения, а также происходит общая интоксикации организма.
Одной из наиболее частых причин развития заболевания является запущенный пульпит и кариес. Когда обильно скапливается жидкость, наблюдается отечность и характерно выражена гиперемия слизистых оболочек полости рта – такой вид периодонтита называют серозный. В некоторых случаях причинами боли и отека после лечения периодонтита может быть врачебная ошибка. Лечение должно происходить в несколько этапов, пациенту выписывают противовоспалительные препараты, после терапии производят временное пломбирование каналов и после 60-90 дней устанавливают постоянное пломбирование если не было выявлено никаких осложнений.
Самопроизвольная болезненность — одно из характерных проявлений периодонтита. Боль при периодонтите обычно острая и «стучащая». В момент обострения она нарастает и как бы пульсирует. Место, где болит, зависит от локализации инфекции. Наиболее часто зубная боль при периодонтите ограничена пределом 1-2 зубов. Болевые ощущения усиливаются при пальпации и от воздействия теплоты. Холод обычно снижает болезненность. Часто пациенты описывают свои ощущения, как увеличение зуба. Это связано с гнойными процессами в месте поражения. Зуб может шататься, часто он кариозный. Лицо часто приобретает асимметричность, температура сильно повышается. Иногда доходит до лихорадки и бреда. Почти всегда бывает головная боль. В хронической форме она появляется и исчезает. В острой стадии боль в голове становится практически нестерпимой.
Симптомы периодонтита
У этого заболевания есть симптоматика, характерная для любой формы периодонтита.
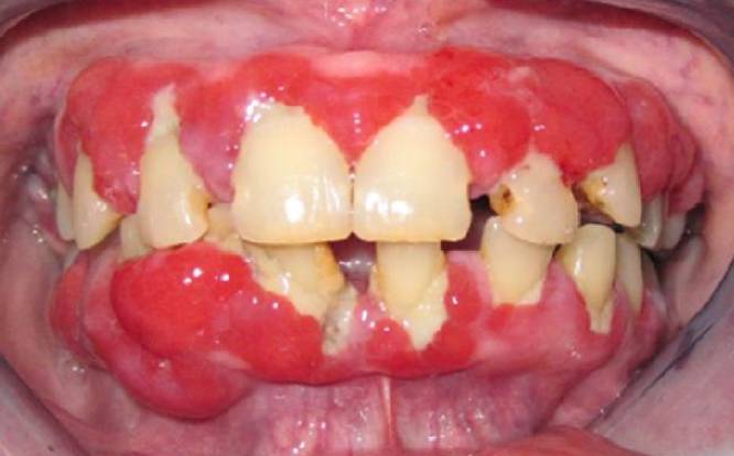
- Десны раздражены, постоянно кровоточат (без травмы).
 - Больно кушать и, иногда, чистить зубы.
 - Запах изо рта.
 - Зуб или даже несколько шатаются.
 - От теплой или горячей пищи болезненность усиливается.
 
Имеются также симптомы, характерные только при определенной форме заболевания.
Врачи отмечают, что зубная боль при периодонтите является одним из самых распространенных симптомов этого заболевания. Периодонтит, воспаление тканей, окружающих зуб, может вызывать интенсивные болевые ощущения, которые часто иррадиируют в соседние области. Специалисты подчеркивают, что боль может быть как острой, так и хронической, что затрудняет диагностику и лечение. Важно отметить, что игнорирование симптомов может привести к серьезным осложнениям, включая потерю зуба. Врачи рекомендуют не откладывать визит к стоматологу при первых признаках дискомфорта, так как раннее вмешательство значительно увеличивает шансы на успешное лечение и восстановление здоровья зубов. Профилактика и регулярные осмотры также играют ключевую роль в предотвращении развития периодонтита и связанных с ним болей.

Симптомы острого периодонтита
- Сильная болезненность в определенном месте.
 - Надавливание в воспаленной точке увеличивают болезненность.
 - Обычно бывает флюс.
 - Резкое повышение температуры до 38°C и выше.
 - Отсутствие аппетита.
 - Сильно выражена асимметрия лица.
 
Симптомы хронического периодонтита
- Если пища попадает на зуб — острая боль при периодонтите.
 - При пальпации болезненность слабая.
 - На десне могут присутствовать свищи.
 - Может выделяться гной из свища.
 - Может присутствовать киста на корне.
 - При обострении этой хронической стадии — болезненность периодически усиливается. Появляется реакция на горячее. Свищи и гной усиливаются. Температура тела слегка повышена. Вытекания гноя успокаивает болезненность. Старый свищ может зарубцеваться, но образуется новый.
 
Зубная боль при периодонтите — это одна из самых неприятных и мучительных проблем, с которой сталкиваются многие люди. Пациенты описывают её как резкую, пульсирующую боль, которая может усиливаться при жевании или даже в состоянии покоя. Часто боль сопровождается отёком десен и повышенной чувствительностью зубов. Люди отмечают, что даже простое прикосновение к поражённому участку вызывает дискомфорт. Многие ищут облегчение в обезболивающих средствах, но временное облегчение не решает основную проблему. Важно понимать, что зубная боль — это сигнал организма о наличии воспалительного процесса, и игнорировать её нельзя. Регулярные визиты к стоматологу и своевременное лечение помогут избежать осложнений и сохранить здоровье зубов.

Боль при периодонтите
Не заметит заболевание совершенно невозможно. Все благодаря болевому синдрому. Иногда пациент не в состоянии дотронуться до лица — так больно. Прием пищи принимает мучительный характер. Шатание зуба дополняет страдания. Присутствуют признаки интоксикации организма. В поисках как снять боль при периодонтите прибегают к холоду. Это обезболивает, но злоупотреблять холодом нельзя. Сильно болит голова, распухшие лимфоузлы — это признаки воспаления.
Иногда в начале процесса болезненность может быть малозаметной и периодической. Если в это время не заняться лечением, наступает острая фаза. Болевые муки становятся невыносимыми. Могут быть и другие неприятные последствия. Самое страшное из них — сепсис. По статистике он бывает примерно в 6% случаев. Врачи рекомендуют не затягивать с лечением — финал может быть летальным.
Серозный периодонтит
При обильном скоплении жидкости наблюдается особый вид периодонтита. Он характерен гиперемией слизистых оболочек ротовой полости. Может наблюдаться отечность. Причина развития заболевания — невылеченный пульпит. Характер боли при остром серозном периодонтите постоянный, ноющий. Цвет зуба меняется, любое прикасание становится нестерпимым. Пациент может четко сказать, какой зуб больной. Есть в наличии кариес, исследование полости не вызывает дискомфорта. Прощупывание десны болезненно. Увеличения лимфоузлов нет. Рентген не регистрируют патологии верхушки корня.

Боли после и во время лечения
Иногда возникают проблемы и боли при лечении периодонтита. Человек приходит домой от стоматолога и обнаруживает через время отек. В чем причина такого явления? Иногда это происходит закономерно. Бывает, что есть вина врача, который допустил ошибки в работе. Это заболевание требует строгого соблюдения стандартов при лечении. При малейшем отклонении от нормы, возникают разнообразные осложнения.
То, что пациент чувствует во время лечения — нормально. Но какие стандарты нарушает стоматолог, раз зуб продолжает болеть?
- Лечение должно проводиться в несколько приемов.
 - Нужно назначить терапевтическое лечение. Выписываются противовоспалительные медикаменты.
 - Временное пломбирование каналов проводится с лечебной целью. Временные пломбы должны стоять 60-90 дней. Если инфекция подавлена, то можно ставить постоянную пломбу. Также за это время должна восстановиться костная ткань в области корней.
 - Постоянное пломбирование проводится до самой верхушки зуба. При несоблюдении этого условия инфекция проникает в зуб.
 
Если врач нарушил хотя бы одно правило — возникают боли и припухлости. Это видно на контрольной рентгенографии.
- Стоматолог недопломбировал или слишком запломбировал каналы.
 - В канале корня зуба остался обломок стоматологического инструмента.
 - Доктор допустил перфорацию зуба. В стенке зуба при механической обработке образовалась дырочка. В нее проникают микроорганизмы, инфицируя зуб.
 
Если контрольный рентген показывает недоработку врача, требуется новое лечение. Оно проводится за счет клиники, врач которой ошибся. С припухлостями борются путем назначения антибиотиков. При недостаточном пломбировании пломбу вынимают и делают все заново. Если была избыточная пломбировка — делается резекция материала. При перфорации дырочка заделывается дорогостоящим материалом. Лечение периодонтита требует высокой квалификации стоматолога.
Вопрос-ответ
Как болит зуб с периодонтитом?
Острый периодонтит имеет следующие симптомы: постоянные резкие, давящие или рвущие боли в области причинного зуба, которые обязательно усиливаются от прикосновения, нажатия или постукивания по нему. Возникает чувство выросшего зуба.
Сколько длится острая фаза периодонтита?
Острый периодонтит может длиться до 2 недель. В первые 2-3 дня нарастает уровень токсинов (интоксикация), может проявляться болью зуба, особенно при механической нагрузке, и болевым синдромом ноющего характера средней интенсивности, без изменения внешнего вида десны.
Можно ли спасти зуб при периодонтите?
Чем больше очаг воспаления, тем меньше шансов спасти зуб. Если зуб с периодонтитом все же приходится удалять, то на его место в костную ткань можно установить имплантат. Но чем больше костной ткани разрушится кистой или гранулемой, тем проблематичнее потом будет имплантация в этой области.
Советы
СОВЕТ №1
Обратитесь к стоматологу как можно скорее. Периодонтит требует профессионального лечения, и только врач сможет правильно оценить состояние ваших зубов и десен, а также назначить необходимую терапию.
СОВЕТ №2
Применяйте теплые солевые полоскания. Это поможет уменьшить воспаление и облегчить боль. Растворите половину чайной ложки соли в стакане теплой воды и полощите рот несколько раз в день.
СОВЕТ №3
Избегайте жесткой пищи и горячих напитков. Это может усугубить боль и раздражение десен. Старайтесь употреблять мягкую и прохладную пищу, чтобы минимизировать дискомфорт.
СОВЕТ №4
Следите за гигиеной полости рта. Чистите зубы дважды в день и используйте зубную нить, чтобы удалить остатки пищи и налет, что поможет предотвратить дальнейшее развитие заболевания.

