Зубной камень — затвердевшая смесь солей, органических веществ, бактерий и пищевых частиц. На ранней стадии накопления эта смесь мягкая, но со временем она твердеет и плотно связывается с зубными тканями.
Камни вызывают воспаление и кровоточивость десен, а также гнилостный запах изо рта.
Как выглядит зубной камень у людей и что это такое, как отличить от кариеса
Если на зубах образовались желтоватые наросты, которые не удаляются щеткой и пастой — это наддесневые камни. У курильщиков их цвет коричневый, почти черный.
Поддесневые отложения внешне не видны. Бывают заметны в виде черного осадка на корне, под уровнем десны.
Важно! Сложно отличить небольшой камень и начальный пришеечный кариес. Оба заболевания выглядят как потемнение у десны. При обнаружении изменения цвета зуба не надо ставить диагноз самостоятельно, мазать пятно йодом, красителями (это затруднит диагностику и подбор цвета пломбы). Требуется пройти осмотр у стоматолога.
Зубной камень представляет собой твердые отложения, образующиеся на зубах в результате минерализации зубного налета. Врачи подчеркивают, что он может возникать как у взрослых, так и у детей, хотя у последних это происходит реже из-за особенностей питания и гигиенических привычек. Внешний вид зубного камня варьируется от желтоватого до коричневого цвета, и его можно заметить на поверхности зубов, особенно в области десен. Врачи отмечают, что наличие зубного камня может привести к различным стоматологическим проблемам, таким как кариес и заболевания десен. Поэтому регулярные визиты к стоматологу и качественная гигиена полости рта являются важными мерами для предотвращения его образования.

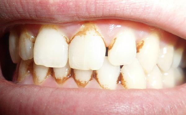
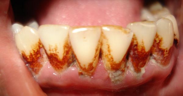
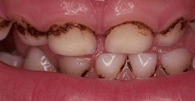
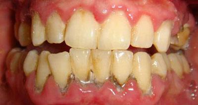
Фото огромных отложений черного цвета на передних зубах у взрослого человека и у детей
Фото 1. Иногда поддесневой и наддесневой тип возникают вместе, точнее один вид зубного камня переходит в другой.
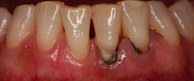
Фото 2. Сильные отложения наддесневого типа. Такие плотные наросты невозможно очистить самостоятельно.
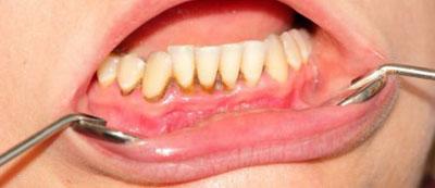
Фото 3. Так выглядят отложения черного цвета в легкой стадии. Несмотря на легкую форму все равно требуется посещение стоматолога.
В чем отличия от налета
Мягкий налет всегда светлый, липкий. Он редко вызывает серьезные воспаления десен. Легко счищается щеткой.
Камень обычно твердый, имеет цвет от желтого до черного. Провоцирует кровоточивость и даже гноетечение десны. Убирается только в кабинете стоматолога.
Зубной камень — это твердые отложения, образующиеся на зубах в результате минерализации зубного налета. Он может быть как желтоватым, так и коричневым, а у детей часто имеет светлые оттенки. Люди отмечают, что наличие зубного камня может привести к различным стоматологическим проблемам, таким как кариес и заболевания десен. Взрослые чаще сталкиваются с этой проблемой из-за неправильной гигиены полости рта и употребления определенных продуктов. У детей зубной камень может образовываться быстрее, если не следить за чисткой зубов. Многие стоматологи рекомендуют регулярные профилактические осмотры и профессиональную чистку, чтобы избежать накопления зубного камня и сохранить здоровье зубов.

Из чего состоит: состав камня
Отложения на зубах — смесь из неорганических и органических компонентов. Неорганическая часть представлена солями кальция, фосфора, железа, пигментами, частицами пищевых красителей, другими химическими элементами.
Органическая часть состоит из остатков пищи, бактерий и их продуктов жизнедеятельности, лейкоцитов, грибов, отмерших клеток эпителия.
Виды и симптомы, картинки болезни
Существует два вида твердых отложений, которые различаются по своему положению.

Поддесневой
Наиболее опасны твердые скопления под десной, проникшие в узкое пространство между корнем и костью. В норме это место заполнено связкой, на которой зуб держится в челюсти. Камни разрушают эту связку, появляется подвижность зуба.
Признаки:
- десна синюшная, кровоточит, но зубы выглядят чистыми;
 - лечебные мази, отвары трав не помогают;
 - зубы подвижны;
 - в запущенных случаях при нажатии на десну выделяется гной.
 
Убрать глубокие поддесневые отложения сложно. Иногда их удаляют только после хирургического отслоения десны от корня.
Наддесневой
Эти образования расположены выше десневого края. Больше всего их находят на внутренней поверхности нижних и на внешней поверхности верхних задних моляров.
Признаки:
- по краю десны появляются светлые, плотные наросты, несчищаемые щеткой;
 - зубная нить не проходит в межзубные промежутки, рвется;
 - десна воспаляется, кровоточит, но сильной подвижности зубов нет.
 
Снимают зубные отложения стоматологи-терапевты и гигиенисты. Сложными случаями занимается врач-пародонтолог.
Как образуется между зубами
В полости рта обитает более 700 видов микроорганизмов. Часть их живет на зубах. Для своего питания они используют остатки пищи «хозяина». Через пару часов после еды колонии бактерий разрастаются и покрывают зубы липкой, желтоватой массой. Больше всего их становится на границе с десной. Это мягкий зубной налет.
Если мягкий налет не счистили, он впитывает в себя соли из слюны и уплотняется. Образуется зубная бляшка. Она плотно приклеена к эмали, но еще поддается чистке щеткой.
Далее, бляшка минерализуется, иногда до состояния застывшего цемента. Это и есть зубной камень. Снимают его только специальными устройствами (лазер, ультразвук).
Справка! У взрослых формирование твердых зубных отложений из мягкого налета происходит обычно за 2-3 месяца.
У детей и подростков появление твердых зубных отложений часто проходит быстрее. Причина этого в большем употреблении сладкой и мягкой пищи, плохой гигиене полости рта.
Что бывает в запущенных случаях
Камни долгое время безболезненны. Поэтому у тех, кто ходит к стоматологу только при острой боли, они разрастаются и достигают огромных размеров. Бывает, что камни полностью «замуровывают» все зубы.
К стоматологу необходимо обратиться, если десна кровоточит, язык стал «цеплять» какие-то наросты, а зубная щетка эти образования не убирает. Не надо пытаться снять огромные камни самостоятельно. В лучшем случае отвалится верхняя часть. Глубокая и самая опасная останется и продолжит разрушать десну.
Справка! При снятии массивных зубных отложений под ними часто обнаруживаются пролежни — зона некроза десны, вызванная долгим на нее давлением. Лечится эта проблема сложно.
Под застарелыми твердыми отложениями может возникнуть кариес.
Если камни внедрились в промежутки между передними зубами, это серьезно ухудшает эстетику.
В норме эти пространства заполнены десневыми сосочками. Камни разрушают эти сосочки. Тогда после чистки между зубами остаются треугольные пустоты. Десна восстанавливается, но только после длительного лечения и при условии идеальной гигиены.
Эстетика сильно страдает, если отложения черного цвета. Это происходит у курильщиков, любителей кофе и у тех, кто принимает большие дозы препаратов железа.
Что делать, если камень отвалился или откололся
Разросшиеся, массивные зубные отложения иногда отваливаются сами. Толчком этому служит твердая пища, прием одновременно холодной и горячей пищи.
Если камень отвалился, во рту внезапно обнаруживается кусок твердой «субстанции», а язык ощущает выемку. Это похоже на выпавшую пломбу или сломанный зуб. Пациент идет к стоматологу, где узнает, что зуб цел, но необходима профессиональная гигиена.
Важно! Отвалившийся камень — «крик» зуба и десны о необходимости срочного снятия зубных отложений.
Домашняя стоматология: методы профилактики, как предотвратить образование
Предотвратить появление болезни помогут следующие рекомендации:
- Регулярно и грамотно чистите зубы, дважды в день. Если налет остается — запишитесь к гигиенисту для индивидуального подбора средств ухода за зубами и деснами.
 - Ограничьте употребление сладкой, крахмалистой, мягкой пищи. Не заканчивайте прием пищи десертом и сладким чаем — прополощите рот чистой водой.
 - Ешьте жесткую пищу.
 - Желательно выровнять зубы при их скученности.
 - Не применяйте абразивные и кислотные средства (соду, сок лимона) для «домашнего отбеливания». На исцарапанной и пористой эмали налет скапливается быстрее.
 - Не злоупотребляйте процедурой Air Flow с дешевыми порошками на основе соды. Это грубый абразив с крупным размером частиц. Его можно использовать только на здоровой эмали и не чаще двух раз в год. Не наносит вред порошком на основе глицина.
 - Откажитесь от курения.
 
Важно! Регулярно проводите профессиональную чистку зубов у грамотного специалиста.
Полезное видео
Посмотрите видео, в котором наглядно демонстрируется весь процесс удаления зубного камня.
Почему как можно раньше обратиться к врачу
Длительно лежащие на зубах и десне твердые отложения вызывают гингивит, пародонтит, оголение корней и резорбцию (разрушение) кости вокруг корня. Доказана связь воспаления десен и заболеваний сердца, суставов. При своевременном обнаружении и удалении камни не успевают причинить вред здоровью.
Как снимают
Зубной камень — это твердые отложения на зубной эмали, которые располагаются вблизи десен и состоят из отмерших клеток, минералов, бактерий и остатков еды.
Самолечение
Этиология

Вопрос-ответ
Что такое зубной камень и как он выглядит?
Зубной камень представляет собой желтоватый или коричневый слой минеральных твёрдых отложений на поверхности зубов, образовавшийся благодаря затвердевшему зубному налёту. В норме на зубах практически всегда присутствует зубная бляшка, представляющая слущенный эпителий и остатки пищи. Она трудно заметна.
Как можно избавиться от зубного камня в домашних условиях?
Сделайте смесь из пищевой соды, соли и воды, нанесите на зубную щетку и тщательно почистите зубы. Такая процедура смягчит зубной камень. Справиться с ним впоследствии можете обычной зубочисткой. В финале этой процедуры необходимо прополоскать рот каким-нибудь антисептическим (противомикробным) средством!
От чего появляется зубной камень у человека?
Причины образования зубного камня. Менее очевидной причиной является отсутствие твердой пищи, обеспечивающей естественное очищение зубов. У людей, злоупотребляющих кофе и курением, а также с неправильным прикусом, зубной налет и камень встречаются гораздо чаще.
Советы
СОВЕТ №1
Регулярно посещайте стоматолога для профессиональной чистки зубов. Это поможет предотвратить образование зубного камня и сохранить здоровье полости рта.
СОВЕТ №2
Обратите внимание на свою гигиену полости рта. Чистите зубы дважды в день и используйте зубную нить, чтобы удалить остатки пищи и налет, которые могут привести к образованию зубного камня.
СОВЕТ №3
Следите за своим рационом. Ограничьте потребление сладостей и кислых продуктов, которые могут способствовать образованию налета и зубного камня. Включите в свой рацион больше овощей и фруктов, которые способствуют естественной чистке зубов.
СОВЕТ №4
Обучите детей правильной гигиене полости рта с раннего возраста. Используйте игровые методы и специальные детские зубные щетки, чтобы сделать процесс чистки зубов интересным и увлекательным.









