Кариесом называется патологический процесс, происходящий в тканях зуба.
Вызывают это заболевание бактерии, которые создают в ротовой полости чрезмерно кислую среду.
Причин появления бактерий может быть множество, но все они приводят к одному — зуб постепенно разрушается. Важно предпринять меры по лечению поражённого зуба, чтобы избежать осложнений.
Методы лечения кариеса зубов
Существуют классические и альтернативные методики лечения кариозного процесса. Врач подбирает метод, учитывая возраст пациента, состояние его зубов, а также локализацию повреждения.
Врачи подчеркивают, что своевременное обращение к стоматологу играет ключевую роль в профилактике и лечении кариеса. На ранних стадиях заболевания возможно применение менее инвазивных методов, таких как реминерализация эмали с помощью фторсодержащих препаратов. Это позволяет восстановить минералы и предотвратить дальнейшее разрушение зуба. В случае более запущенных форм кариеса, стоматологи рекомендуют пломбирование, которое помогает сохранить зуб и предотвратить развитие инфекции. Важно помнить, что регулярные осмотры и профессиональная гигиена полости рта значительно снижают риск возникновения кариеса. Врачи настоятельно советуют не игнорировать первые симптомы и заботиться о здоровье зубов с раннего возраста.

Классический способ
В него входит несколько этапов:
- Предварительная диагностика, возможно с применением рентгена.
 - Дезинфекция полости рта, введение антисептика.
 - 
Препарирование зуба с целью удаления поражённых тканей. Врач раскрывает полость зуба, расширяет её и проводит иссечение всех изменённых тканей.
В последнее время появляются новые способы препарирования, например, с помощью лазера.
 - Изоляция полости рта от слюны.
 - Обработка кариозной полости, установление лечебной прокладки.
 - Пломбирование зуба. Многие врачи отдают предпочтение фотополимерным композитным пломбам, так как они наиболее эстетичны, не содержат токсических веществ и плотно прилегают к тканям.
 - Полировка и шлифовка пломбы.
 
Классический метод применяется в основном при глубокой и средней стадии кариеса. Важно, чтобы стоматолог полностью удалил кариозные полости, так как даже небольшое количество поражённого кариесом зуба способно привести к рецидиву заболевания и различным осложнениям.
Неинвазивный
Бесконтактную терапию применяют на начальной стадии заболевания, когда кариес выражен лишь в виде небольших меловых или коричневых пятен. Данные методы отличаются своей быстротой и безболезненностью. Ещё один важное преимущество — врачу не нужно удалять ткани зуба.
Здоровье полости рта напрямую влияет на общее состояние организма, и многие люди осознают важность профилактики заболеваний зубов. Кариес, будучи одним из самых распространенных стоматологических заболеваний, требует своевременного вмешательства. Многие пациенты отмечают, что регулярные визиты к стоматологу и профессиональная чистка зубов помогают предотвратить развитие кариеса.
Существует несколько методов лечения кариеса, включая реминерализацию, пломбирование и, в более сложных случаях, корневое лечение. Реминерализация, основанная на использовании фторсодержащих препаратов, позволяет восстановить минералы в эмали на ранних стадиях кариеса. Пломбирование же эффективно устраняет поврежденные участки и восстанавливает функциональность зуба.
Люди также подчеркивают важность домашней гигиены: регулярная чистка зубов, использование зубной нити и ополаскивателей помогают поддерживать здоровье полости рта. В конечном итоге, осведомленность о методах профилактики и лечения кариеса способствует сохранению красивой улыбки и здоровья на долгие годы.

Реминерализующая терапия
Реминерализация применяется при появлении на эмали пятен.
В результате развития кариозного процесса меняется состав эмали, минералов становится значительно меньше, ослабевают её защитные функции, что приводит к пигментации.
Процедура проводится путём нанесения на эмаль аппликаций с содержанием ионов фтора.
Стоматолог делает процедуру поэтапно, предварительно очищая поражённый зуб от камня и налёта, а затем наносит на него специальный состав. Важно проводить реминерализацию комплексом из 5–10 процедур, чтобы получить выраженный эффект.
Технология Icon
Одна из современных технологий, предлагающая лечение зубов без препарирования. Процедура также помогает укрепить эмаль и защитить её от дальнейшего воздействия вредоносных микроорганизмов, при этом здоровые участки зуба не подвергаются дополнительной нагрузке, что происходит при стандартной методике лечения. Технология проводится очень быстро, отсутствует боль, что позволяет применять её в лечении детей.
Важно! Icon применяют лишь при поверхностном кариесе в виде пятен, в остальных случаях проведение процедуры бесполезно.

Art-методика
Атравматическое восстановительное лечение подходит для лечения кариеса на начальной или средней стадии. Суть методики состоит в отсутствии препарирования.
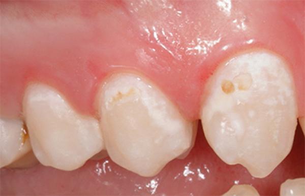
Фото 1. Снимок зубов взрослого человека с прогрессирующим на них кариесом начальной стадии.
Полость рта предварительно обрабатывают, затем удаляют поражённую эмаль и дентин с помощью лекарственных препаратов с особым химическим составом, кондиционируют с помощью специальных материалов, наносят и моделируют пломбу. При этом пломба наносится таким образом, чтобы она не требовала дополнительной шлифовки.
Внимание! Art-методика имеет множество преимуществ перед классическим способом лечения. Это отсутствие необходимости удаления тканей зуба, в том числе здоровых, безболезненность, долговременное выделение составом фтора, которое обеспечивает защиту от кариеса для окружающих тканей.
Лазерная терапия
Лечение кариеса проводится с помощью специального лазера, имеющего определённую длину волны. Лазерный луч нагревает и разрушает поражённые ткани, при этом не затрагивая здоровые. Данный метод отличается быстротой, эффективностью и стерильностью, имеет минимальный риск осложнений.
Об отсутствии болевых ощущений нельзя сказать однозначно, ведь лазер нагревает ткани зуба. При обработке эмали это происходит почти незаметно для пациента, но если лазером удаляется кариес с дентина, то без небольших болезненных ощущений не обойтись.
Метод отлично подходит для лечения начального или среднего кариеса. Эффективность доказана при лечении взрослых и детей.
Лечение озоном
Озонотерапия является отличной современной альтернативой классическому методу лечения. Перед проведением терапии врач определяет степень поражения зуба, проводит гигиеническую чистку полости рта. Если кариозные поражения затрагивают не только эмаль, но и дентин, то требуется их предварительное удаление.
Фото 2. Пример лечения патологии полости рта взрослому человеку методом с использованием озона.
Затем на поражённый зуб надевается специальная накладка из силикона, из-под которой откачивается воздух. Врач подаёт озон с помощью особого аппарата, время подачи составляет от 20 до 40 секунд. В конце терапии на поверхность зуба наносят реминерализирующие препараты.
Справка! чем раньше вы обратились с проблемой к стоматологу, тем выше эффективность озонотерапии. Так, при лечении кариеса в стадии мелового пятна успех процедуры составляет 100%.
Бесконтактный воздушно-абразивный
Способ помогает удалить кариозные поражения без использования бормашины, а с помощью сильной струи воздуха. Врач предварительно очищает полость рта от налёта и других отложений, а затем на зуб направляется поток воздуха, который вымывает поражённые ткани. В качестве абразива стоматологи используют диоксид алюминия. Процедура не вызывает болевых ощущений, проходит бесшумно, может использоваться на любой стадии кариеса.
Важно! из недостатков можно отметить, что после лечения данным методом возможно повышение чувствительности эмали. А также метод не подходит для труднодоступных участков.
Ультразвуком
Лечение зубов ультразвуком помогает удалить образования на эмали, обеспечить стерильность полости рта и даже отбелить эмаль на несколько тонов.
С помощью прибора возможно удаление налёта, камней, кариеса в начальной стадии даже в самых труднодоступных местах.
Процедура не вызывает боли, проводится достаточно быстро.
Но существует и значительный ряд противопоказаний:
- беременность;
 - чувствительность эмали;
 - возраст до 18 лет;
 - хронический бронхит;
 - наличие имплантов;
 - дыхательные заболевания;
 - сахарный диабет в острой стадии.
 
Фторирование и использование гелей с фтором
Гели от кариеса применяются, только если заболевание имеет начальную стадию, выраженную в виде меловых или коричневых пятен. Такие пятна появляются, когда в полости рта создаётся излишне кислая среда, что приводит к вымыванию минералов из эмали. Использование гелей возможно и в домашних условиях. В составе таких препаратов обычно содержатся фтор, кальций, фосфор, которые оказывают реминерализирующий эффект. Можно применять гели в детском возрасте.
Полезное видео
На видео подробно рассказывается о всех существующих методах лечения кариеса и их особенностях.
Какие современные профилактические меры следует соблюдать?
Даже после лечения кариеса важно соблюдать профилактические меры для дальнейшего предотвращения болезни. К таким мерам относят чистку зубов не менее 2 раз в день, причём с использованием не только щётки, но и зубной нити, ополаскивателя. А также необходимо следить за рационом, постараться свести к минимуму сахар, мучное, сладкие и газированные напитки, добавить в меню продукты с высоким содержанием фосфора, кальция, магния.
Вопрос-ответ
Как можно предотвратить развитие кариеса?
Для предотвращения развития кариеса важно соблюдать регулярную гигиену полости рта, включая чистку зубов дважды в день с фторсодержащей пастой и использование зубной нити. Также рекомендуется ограничить потребление сахара и кислых продуктов, регулярно посещать стоматолога для профессиональной чистки и осмотров, а также использовать фторированные средства для полоскания рта.
Какие профилактические меры помогают избежать развития заболеваний полости рта?
Регулярная гигиена полости рта. Регулярное и тщательное удаление зубного налета – ключ к предотвращению большинства заболеваний полости рта. Использование зубной щетки, зубной пасты и зубной нити должно стать ежедневным ритуалом: зубная щетка. Используйте щетку с мягкой щетиной, чтобы не повредить десны.
Какие есть методы лечения кариеса?
Методы лечения кариеса включают реминерализацию (использование фторсодержащих препаратов для восстановления эмали), пломбирование (удаление пораженной ткани и заполнение полости пломбой), а также более сложные процедуры, такие как коронка или эндодонтическое лечение (лечение корневых каналов) в случае глубокого кариеса. Важно также проводить профилактические меры, такие как регулярная гигиена полости рта и посещение стоматолога.
Как можно предотвратить или остановить процесс кариеса?
Употребляйте фтор — минерал, который может предотвратить развитие кариеса и даже обратить вспять или остановить его раннюю стадию. Фтор можно получить следующими способами: чистя зубы фторсодержащей зубной пастой, употребляя водопроводную воду, содержащую фтор.
Советы
СОВЕТ №1
Регулярно посещайте стоматолога для профилактических осмотров. Это поможет выявить кариес на ранних стадиях, когда его легче лечить, и предотвратить дальнейшее развитие патологии.
СОВЕТ №2
Поддерживайте правильную гигиену полости рта. Чистите зубы дважды в день с использованием фторсодержащей зубной пасты и не забывайте о зубной нити для удаления остатков пищи между зубами.
СОВЕТ №3
Сократите потребление сахара и кислых продуктов, которые способствуют развитию кариеса. Вместо этого выбирайте здоровые закуски, такие как фрукты и овощи, которые не только полезны, но и помогают очищать зубы.
СОВЕТ №4
Используйте фторсодержащие ополаскиватели для рта. Они помогают укрепить эмаль зубов и снизить риск развития кариеса, особенно если у вас есть предрасположенность к этому заболеванию.





