Внутриканальное отбеливание зубов
Белоснежная улыбка – показатель здоровья и успешности. Она делает человека более уверенным в себе, помогая достигать новых вершин в работе и взаимоотношениях. Но что делать, если зубы начинают темнеть, окрашиваясь в серые и коричневые тона? К тому же темнеет корень зуба и создается эффект «посиневшей десны». Еще совсем недавно эту проблему можно было решить только, препарировав зуб и установив коронку. Но эстетическая стоматология не стоит на месте и на помощь приходит – эндоотбеливание зубов.
Внутриканальное отбеливание зуба (эндоотбеливание) – инновационная процедура, позволяющая восстановить естественный окрас депульпированного зуба. Эта технология применяется в том случае, если поверхностная чистка и отбеливание не дают ожидаемых результатов. Почему темнеют зубы? Как проходит процедура эндоотбеливание зубов? И какие имеет преимущества и недостатки? Попробуем разобраться.
Внутриканальное отбеливание зубов
Эндоотбеливание зубов — методика при которой осуществляется введение в корневые каналы осветляющих веществ. Для того чтобы улучшилась эстетика улыбки процедуру проводят в современных стоматологиях.
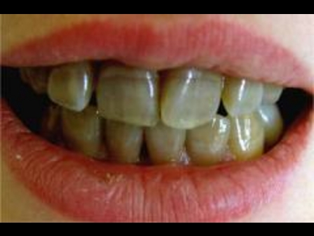
Фото 1. Внутриканальное отбеливание зубов
С внедрением новых технологий, произошел прорыв в стоматологических услугах, удовлетворяющий эстетические запросы пациентов. Различные методики отбеливания дают отличный результат на витальных зубах. Чего не скажешь про отбеливание невитальных зубов, так как результат не всегда получается таким каким его ожидают. Первое отбеливания невитальных зубов давно описано, еще в 1864 году. Но добились желаемых результатов совсем недавно.
В 1960-х годах для осуществления процедуры – эндо отбеливание внутриканальное, начали применять перборат натрия с водой. До этого отбеливающие агенты, применяемые в разные годы в качестве самостоятельных препаратов и их комбинаций, постоянно менялись. Использовали и соединения хлора, перборат натрия и гипохлорит натрия с тепловой активацией и без нее.
Современная методика внутриканального отбеливания изменилась и для сильнейшего эффекта отбеливания воду заменили пероксидом водорода. Но и сегодня при внутриканальном отбеливании используют препараты в состав которых входит натрия перборат. Именно этот отбеливающий агент лучше других зарекомендовал себя в эндоотбеливании зубов.
Фото 2. Процесс эндоотбеливания зубов
Врачи-стоматологи отмечают, что внутриканальное отбеливание зубов является эффективным методом восстановления эстетики зубного ряда после эндодонтического лечения. Этот процесс позволяет осветлить зубы, которые потемнели из-за разрушения тканей или воздействия пульпита. Специалисты подчеркивают, что процедура должна проводиться только квалифицированным стоматологом, так как неправильное применение отбеливающих агентов может привести к повреждению зубной эмали или возникновению осложнений. Важно также учитывать индивидуальные особенности пациента, такие как состояние зубов и десен. Врачи рекомендуют проводить предварительную диагностику и обсуждать все возможные риски и преимущества с пациентом, чтобы достичь наилучшего результата и сохранить здоровье зубов.

Потемнение зубов и его причины
Дисколорит — разного рода изменения цвета зубов. Проявиться дисколорит может по причине внешнего воздействия на поверхность зуба и внутренних проблем со здоровьем. Дисколорит зубов может быть еще обусловлен действиями стоматолога.
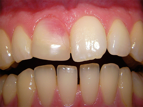
Фото 3. Потемнение зубов
Дисколорит и внешние причины его возникновения
Частое употребление кофе, черного чая, красного вина относится к внешним факторам, влияющим на цвет зубов. Темная эмаль с желтым оттенком появляется под воздействием никотина. Потемнение зубов происходит и в следствии нерегулярной чистки зубов.
Все эти факторы конечно же портят внешний вид зубов. Помимо потемнения теряется здоровый блеск зубов и налет провоцирует возникновение различных заболеваний. Но пути решения такого рода дисколорита достаточно просты, необходимо отказаться от любимых привычек провоцирующих потемнение зубов. Больше времени уделять гигиене полости рта и осуществлять регулярную чистку зубов. Все это будет способствовать улучшению внешнего вида поверхности зубной эмали.
Фото 4. Внешние признаки потемнения зубов
Дисколорит и внутренние причины его возникновения
- Некроз пульпы. Проникновение продуктов распада пульпы в дентинные канальцы способствует окрашиванию тканей зуба. Глубина проникновения некротических масс зависит от длительности существования самого некроза пульпы. Такой тип дисколоритов эффективное решение и устраняется эндоотбеливанием.
 - Кровоизлияние в пульпу. Это самая распространенная причина по которой темнеют зубы изнутри. Сульфиты железа входящие в состав крови способны пропитать дентинные канальца, что приведет к изменениям внешнего вида зуба. Дисколорит станет более выраженным если пульпа погибнет. В случае если нормализуется общее состояние пульпы, цвет зуба может вернуться к исходному. При таком дисколорите также успешно применяется внутриканальное отбеливание зубов.
 - Гиперкальцификация дентина. В случае если заместительный дентин формируется в полости зуба избыточно, наблюдается медленное снижение прозрачности коронки. Вследствие чего увеличивается интенсивность потемнения зуба. Изначальным способом лечения будет внешнее отбеливание. Но иногда все-таки необходимо эндодонтическое лечение и введение в корневые каналы осветляющих препаратов.
 - Возраст. С возрастом цвет зубов изменяется и обусловлено это истончением эмали и изменениями в оптических характеристиках. По причине возникновения трещин эмали еда и напитки способствуют большему окрашиванию зубов. К тому же в структуре эмали и подлежащем дентине происходят возрастные изменения.
 
Фото 5. Некроз пульпы
Внутриканальное отбеливание зубов вызывает множество мнений среди пациентов и стоматологов. Многие отмечают его эффективность, особенно в случаях, когда зубы потемнели после лечения корневых каналов. Процедура позволяет добиться значительного улучшения цвета, что радует тех, кто стремится к идеальной улыбке. Однако не все так однозначно: некоторые пациенты выражают опасения по поводу возможных осложнений и чувствительности зубов после процедуры. Стоматологи подчеркивают важность предварительной диагностики и индивидуального подхода, чтобы минимизировать риски. В целом, отзывы о внутриканальном отбеливании варьируются от восторженных до осторожных, что делает эту тему актуальной для обсуждения среди тех, кто задумывается о коррекции цвета зубов.

Дисколорит обусловленный действиями стоматолога
- Остатки пульпы после проведения эндодонтического лечения. Окрашивающие вещества выделяются в итоге распада оставленной в полости зуба ткани пульпы.
 - Внутрикоронковые материалы. В случае внесения в корневые каналы некоторых материалов (йод и других материалов на основе фенола), происходит медленное окрашивание дентина и зуб темнеет.
 - Пломбировочные материалы. Потемнение зуба возможно по причине не полностью удаленного из пульповой камеры пломбировочного материала.
 
Фото 6. Пломбирование зубов
Опасно использовать отбеливающий состав при эндоотбеливании более четырех раз, могут быть разрушены ткани изнутри
Процедура внутриканального отбеливания зубов
- Диагностика. Для начала врач назначает рентгенологическое обследование, позволяющее более точно изучить особенности предварительных методов лечения. Очень часто пациенту может требоваться эндодонтическое лечение. К тому же могут иметься признаки воспаления нервов зуба. В такой ситуации стоматолог из корневых каналов удаляет воспаленные ткани.
 - Зуб тщательно очищается.
 - Определяется оттенок зуба.
 - Счищаются старые реставрации, пломба и удаляются поврежденные или потемневшие изнутри части коронки.
 - Изолируются устья корневых каналов, для того чтобы избежать проникновения активных компонентов, в момент проведения отбеливания. Если обнаруживается кариес на невитальном зубе, обязательно проводится его удаление перед процедурой отбеливания.
 - Для того чтобы сохранить герметичность корневого канала, наносится слой стеклоиономерного цемента.
 - Образовавшуюся полость заполняют отбеливающим гелем. А камеру герметизируют временной пломбой. Планируются визиты пациента примерно раз в неделю. Чаще всего необходимо повторить от 2 до 4 процедур, чтобы достичь желаемого результата.
 - Когда желаемый оттенок будет достигнут, выполняется реставрация композитным материалом.
 - Рекомендуется раз в год делать рентгеновский снимок невитального зуба.
 
Весь процесс абсолютно безболезненный, так как нервы у депульпированных зубов отсутствуют.
Фото 7. Процедура эндоотбеливания зубов
Процедуру необходимо повторить в случае если желаемый результат не достигнут. Количество процедур внутриканального отбеливания не должно превышать 5 раз. Отбеливающие препараты по-разному действует на каждый зуб. Для того чтобы осветлить ткань одного зуба достаточно одной процедуры, с другим стоматолог может работать в течении пяти сеансов. Внутриканальное отбеливание зубов всегда требует индивидуального подхода. Эффективность и длительность сохранения результата также индивидуальны.
Показания к внутриканальному отбеливанию зубов:
- Зуб потемнел изнутри и это изменение цвета является не поддающимся внешним способам отбеливания.
 - Зуб травмирован и произошло кровоизлияние в пульповую камеру.
 - Каналы зуба подвергались пломбированию красящими пастами. К примеру, использовали резорцин-формалиновый метод и корень с коронкой приобрели розовый оттенок.
 - Гибель пульпы, которая в свою очередь возникла при осложнении кариеса — пульпите и периодонтите. «Мертвый» зуб с годами темнеет.
 - Окрасился дентин, при проникновении красящих веществ входящих в состав кофе, чая и табака, через микротрещины в эмали.
 
Фото 8. Кровоизлияние в пульпу зуба
Противопоказания к внутриканальному отбеливанию зубов:
- Возраст до 16 лет;
 - Аллергия, в первую очередь на перекись водорода;
 - Беременность и грудное вскармливание;
 - Кариес;
 - Сильная чувствительность зубов;
 - Воспалительные процессы в полости рта;
 - Сахарный диабет;
 - Заболевания щитовидной железы.
 
Фото 9. Противопоказания к внутриканальному отбеливанию зубов
Преимущества и недостатки внутриканального отбеливания зубов
К достоинствам этого метода можно отнести:
- Отсутствие необходимости в обточке зуба;
 - Безболезненность;
 - В случае отсутствия противопоказаний метод абсолютно безопасен;
 - Возможность обработать один зуб, не воздействуя на соседние;
 - Относительно низкая стоимость;
 - Высокая эффективность процедуры.
 
К недостаткам можно отнести повышение хрупкости депульпированного зуба после процедуры. Если отбеливание зуба будет проводиться многократно, существует риск его разрушения.
Следует понимать, что внутриканальное отбеливание зубов — это медицинское вмешательство в полость зуба. И для эффективного и безопасного отбеливания необходим врач с высокой квалификацией. При профессиональном подходе можно избавиться от нежелательного оттенка и потемнения эмали без осложнений.
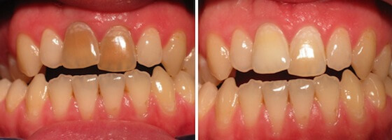
Фото 10. Зубы до и после эндоотбеливания
Многие пациенты уже оценили эффективность и безопасность этой методики, способной восстановить эстетику проблемного зуба. Отзывы о процедуре эндоотбеливания чаще всего положительные. Но не все стоматологические клиники могут предложить услугу восстановления цвета депульпированному зубу.
Таблица 1. Причины потемнения зубов
| 
 Причины  | 
 Описание  | 
| 
 Депульпирование моляра  | 
 При удалении пульпы ради исключения воспалительного процесса и образования пульпита, из-за отсутствия специального вещества (наполнителя) зуб может потемнеть  | 
| 
 Мумификация нерва  | 
 Потемнение тканей зуба возможно после удаления (отмирания) нерва зуба  | 
| 
 Поражение эмали  | 
 Глубокие трещины способствуют прониканию красящих веществ от напитков, пищи, курения в структуру зуба, отчего зуб темнеет  | 
Видео: Внутриканальное отбеливание зубов

Вопрос-ответ
Что такое внутриканальное отбеливание?
Это методика, в ходе которой активное вещество вводится в полость зуба и корневые каналы, чем и обеспечивается необходимый результат: осветление цвета эмали. Показания к проведению внутриканального отбеливания зубов носят эстетический характер. К нему обращаются, если наружные методики оказываются неэффективными.
Какой вид отбеливания зубов самый эффективный?
Более эффективным методом считается ультразвуковое отбеливание зубов. Оно подходит для подростков и взрослых. Так же как и технология Air Flow, ультразвуковой метод является профессиональной чисткой зубов, в результате которой достигается отбеливающий эффект.
Советы
СОВЕТ №1
Перед проведением внутриканального отбеливания обязательно проконсультируйтесь с квалифицированным стоматологом. Он поможет оценить состояние зуба и определить, подходит ли вам данная процедура.
СОВЕТ №2
Обратите внимание на выбор материалов для отбеливания. Используйте только качественные и проверенные средства, чтобы избежать повреждения зубной эмали и десен.
СОВЕТ №3
После процедуры следите за гигиеной полости рта. Регулярная чистка зубов и использование ополаскивателей помогут сохранить результат отбеливания и предотвратить появление новых пятен.
СОВЕТ №4
Не забывайте о регулярных визитах к стоматологу для профилактических осмотров. Это поможет выявить возможные проблемы на ранней стадии и сохранить здоровье зубов после отбеливания.









