Брекет-система (брекеты) — широко распространённая, эффективная, несъёмная стоматологическая конструкция, помогающая скорректировать неправильную позицию зубов, исправить прикус.
В современном обществе большинство людей избавилось от стереотипов, что «брекеты выглядят некрасиво и портят внешность», «брекеты — это неудобно», ведь системы не громоздкие, а комфорту в стоматологии уделяется немалое внимание.
Статья расскажет вам всё, что нужно знать о брекетах: из чего они состоят, принцип действия, виды.
Как брекеты в стоматологии выравнивают зубы
Установка брекетов — безболезненный процесс без применения хирургии, длящийся около 2 часов. Первым делом стоматологом в соответствии с особенностями случая составляется план траектории движения каждого зуба.
Брекет-система делает возможным перемещение зуба в любом направлении.
Далее специалист крепит индивидуальный для отдельного зуба брекет при помощи ортодонтического клея, вставляет дугу в находящуюся в теле брекета выемку и фиксирует её с помощью лигатур или микрозамков.
Суть работы брекетов заключается в следующем: дуга стремится принять правильную форму и давит на зубы. Зубы постепенно перемещаются и фиксируются в правильном положении за счет изменения костной ткани и напряжения зубных связок.
Внимание! На протяжении лечения дугу периодически меняют, так как для каждого этапа разработан конкретный вид дуг. В начале процедуры исправления дуги эластичные и тонкие, но, по мере продолжения процесса, заменяются более жёсткими.
Многие люди считают, что брекеты делают улыбку непривлекательной, однако мнение врачей по этому поводу отличается. Специалисты утверждают, что брекеты — это не только способ исправления прикуса, но и важный шаг к здоровью зубов. Визуально они могут показаться громоздкими, но современные технологии предлагают множество вариантов, включая прозрачные и лингвальные брекеты, которые практически незаметны. Врачи отмечают, что временные неудобства и эстетические недостатки с лихвой компенсируются результатом — красивой и здоровой улыбкой. Кроме того, многие пациенты отмечают, что окружающие воспринимают их с брекетами вполне положительно, а иногда даже с интересом. Таким образом, мнение врачей подчеркивает, что брекеты — это не только необходимость, но и шаг к уверенности в себе.

Устройство зубных ортодонтических изделий для выравнивания улыбки
Брекет-система состоит из 3 основных частей, каждая из которых играет важную роль в выравнивании зубного ряда:
- самих брекетов — маленьких замочков;
 - ортодонтической дуги — главного элемента, который объединяет все брекеты, перемещает и выравнивает зубы;
 - лигатур — ортодонтических колец, выполняющих функцию закрепления и удержания дуги.
 
Справка. Интересно, что самые первые брекеты в мире были изобретены более двухсот лет назад, в 1776 году, французским хирургом Фошаром Пьером.
Виды изделий: всё о них, картинки
Большое количество видов брекетов помогает подобрать подходящие для любого человека. Пациентам, чтобы определиться с выбором брекет-систем, необходимо знать их виды. Они классифицируются по разным критериям:
- по размеру (в зависимости от возраста клиента);
 - по методу крепления;
 - по расположению;
 - по материалам.
 
Многие люди, особенно подростки, часто беспокоятся о своей внешности, и брекеты становятся предметом обсуждения. Существует мнение, что они делают улыбку менее привлекательной, однако это далеко от истины. На самом деле, брекеты – это временное решение, которое в будущем приведет к красивой и ровной улыбке. В социальных сетях можно найти множество фотографий до и после лечения, которые наглядно демонстрируют, как меняется внешний вид. Многие пользователи делятся своими положительными впечатлениями, отмечая, что уверенность в себе возрастает с каждым днем. Кроме того, современные брекеты бывают разных видов – от классических металлических до невидимых элайнеров, что позволяет выбрать наиболее подходящий вариант. Важно помнить, что красота – это не только внешность, но и уверенность в себе, которую можно обрести, заботясь о здоровье своих зубов.

По материалу
Бывают металлические, керамические, пластмассовые, сапфировые брекеты. Все они отличаются по цене, а также по-разному выглядят на зубах. Конечно, когда неосведомлённые люди слышат слово «брекеты», в их головах сразу всплывает образ металлических скоб.
Но немногие знают, что используются также «прозрачные» брекеты, которые практически незаметны благодаря материалу, не отличающемуся от зубной эмали — стоматологической керамике.
Или же, например, пластмассовые, цвет скоб и замков которых подбирается в точности под цвет зубов лечащегося.
Утончённые сапфировые брекет-системы тоже фактически неприметны, хоть и переливаются при определённом свете.
Первые брекеты были изготовлены из металла.
Металлические брекеты — самые популярные. У них есть свои плюсы и минусы.
К плюсам относят то, что металлические брекеты имеют прочный вид, шанс поломки минимален. Скорость восстановления правильного положения зубов самая высокая из всех видов брекетов. Ощущения пациента при замене дуг относительно безболезненны. Брекеты, произведённые из металла, отличаются демократичной ценой. Из минусов выделяются возможное раздражение ротовой полости и большое количество времени, которое занимает чистка металлических брекетов.
Теперь постараемся дать объективную оценку брекет-системам из пластика.
Материал, из которого они изготовлены, обеспечивает этим брекетам незаметный вид, эстетичность. Они подойдут при наличии аллергии на металлы. Ещё одна положительная сторона — пластиковые брекеты недороги. Однако, неустойчивы к красителям некоторых продуктов и не особо прочны.
Керамические брекеты также имеют свои положительные и отрицательные характеристики.
Они гипоаллергенны и эстетичны, при использовании риск травмировать слизистую оболочку губ очень мал. Благодаря свойствам керамического материала, брекеты долгое время не изменяют первоначальный вид.
Но при этом требуют от носителя высокого уровня зубной гигиены. Брекеты из керамики — дорогой вид, срок выпрямления зубов дольше, чем при металлических.
Сапфировые брекеты — наиболее изящный вид брекетов, но вместе с тем и наиболее дорогой.
Характеризуются относительной стойкостью к пищевым красителям; незаметностью, не нарушают дикцию пациента и не вызывают аллергии. Вместе с тем брекеты из кристаллов сапфира хрупкие, и при ношении нуждаются в тщательном уходе.
В зависимости от расположения
Брекеты подразделяются на вестибулярные и лингвальные. Этот вид разделения появился относительно недавно, так как лингвальные брекеты стали применяться лишь с 1997 года. Они отличаются от вестибулярных тем, что крепятся на внутреннюю сторону зубов, и подойдут тем людям, которые не приемлют классического вида брекетов.

Вестибулярные
Они более распространены, чем внутренние скобы, так как значимый плюс такой брекет-системы — умеренная цена. Вестибулярные брекеты отличаются прочностью, удобством и надёжностью. Вопреки мифу, они не портят зубы, а выравнивают их без какого-либо негативного влияния. Вы заметите первый результат через 2—3 месяца, но в целом они носятся ещё не менее 2 лет.
Фото 1. Процесс установки брекетов вестибулярного типа. Изделия крепятся на внешнюю часть зубного ряда.
Лингвальные
Этот вид изготавливается индивидуально для каждого пациента и способен исправить даже тяжёлые нарушения зубного ряда. Их ещё называют «невидимыми». Поскольку при использовании таких брекетов зубы станут ровными и красивыми незаметно, без того, чтоб долгое время носить сложные конструкции на передней части зубов.
Однако у лингвальных брекетов, как и у остальных видов, есть недостатки: высокая цена, плохая дикция в первое время ношения, повышенные затраты денег и времени на гигиену зубов, так как требуются специальные щётки. К преимуществам также относится то, что результат виден практически сразу, да и срок ношения снижается примерно до полутора лет.
В зависимости от конструкции
Ортодонтические брекеты делятся на лигатурные и безлигатурные. Рассмотрим устройство, плюсы и минусы каждой категории.
Лигатурные
Такие брекет-системы называют лигатурными, так как в основе их механизма лежат лигатуры — эластичные кольца, связки, с помощью которых к зубам крепится дуга. Лигатуры применяют цветные, которые так нравятся детям, прозрачные, которые почти незаметны. Среди возможных вариантов присутствуют и металлические, которые используются редко и подходят для более поздних стадий лечения.
Лигатурные брекеты универсальны, продаются по приемлемой цене. А вот минусом является потребность в регулярной замене лигатур — у них есть свойство изнашиваться, рваться.
Также эластичные резинки и металлические проволоки часто раздражают слизистую рта, слишком плотно закрепляют дугу, что снижает быстроту перемещения зубов.
Безлигатурные
Главное отличие самолигирующих брекетов от лигатурных систем в том, что дуга в таком случае фиксируется с помощью маленьких замочков, встроенных в брекеты. Безлигатурный вид брекетов более эстетичен, компактен. Их замена и коррекция осуществляется значительно быстрее, чем у конструкций с лигатурами. Они также подойдут людям с особой чувствительностью дёсен. Их устройство удобно, привыкание занимает мало времени, а срок ношения меньше, чем срок лигатурных. Но они могут не справиться с серьёзным нарушением прикуса, поэтому подходят лишь тем, у кого обычный, классический вид проблемы.
Когда видны первые результаты
В зависимости от конкретного клинического случая и вида используемых брекетов первые видимые результаты проявляются в течение 3 месяцев. Но процесс коррекции зубного ряда и формирования правильного прикуса должен продолжиться. Окончательный вид зубной ряд достигнет только спустя 1,5—2 года. Поэтому не прислушивайтесь к некомпетентному мнению окружающих людей о том, что в аппарате уже нет необходимости.
Как выглядят брекеты выглядят на зубах: фото
Фото 2. Брекеты металлического типа для выравнивания зубного ряда. Они довольно сильно выделяются на зубах.
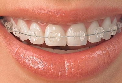
Фото 3. Сапфировые брекеты с белой дугой. Изделия прозрачные, практически незаметны на зубах.
Фото 4. Необычные брекеты с замочками, выполненными в форме мастей карт. Изделия выглядят как модный аксессуар.
Полезное видео
Посмотрите видео, в котором рассказывается о принципе действия брекетов.
Модно ли это?
Подытоживая, к выбору брекет-систем подходят вдумчиво и тщательно, учитывая наличие заболеваний и особенности организма, такие как аллергическая реакция на некоторые виды материалов и индивидуальный болевой порог. Совет: выберите, что для вас значимее — внешний вид, стоимость или скорость лечения. И не стоит расстраиваться из-за длительности срока лечения, так как носить брекеты — модно, а результат обязательно оправдает ожидание.
Лечение
Для того чтобы стать обладателем идеальной улыбки следует приложить некоторые усилия, которые обеспечат вам достижение целевого результата. Лечение брекетами позволит исправить неровные зубы без вреда для вашего здоровья.

Лечить зубные ряды брекетами — не быстрый, но эффективный способ. Как же исправлять зубы, оставаясь привлекательным для противоположного пола? Выход есть.






Вопрос-ответ
Ношение брекетов выглядит непривлекательно?
Делают ли вас брекеты непривлекательными? Да, окружающие могут приковать к себе взгляды, особенно когда вы разговариваете (люди не могут не заметить металлический блеск :P), но даже они привыкают к вашему лицу с брекетами через несколько дней. Брекеты со временем улучшат вашу внешность.
Как меняется внешность при брекетах?
Брекет-система постоянно давит на зубы, постепенно смещает их. Параллельно увеличивает длину связок, меняет мышечный тонус, перестраивает костную и соединительную ткань. Так как челюсть и лицо — это единая система, уже через 8 месяцев ношения ортодонтической конструкции меняются пропорции скул, подбородка, губ.
Какие брекеты не видны?
Керамические и сапфировые системы являются основными представителями невидимых брекетов, которые сохраняют эстетику улыбки. Устанавливаются на внешнюю поверхность зубов, бывают лигатурными и безлигатурными.
Сколько стоит 1 брекет на 1 зуб?
Лингвальные брекеты (1 челюсть). Цена 200000 руб. Лингвальные брекеты (1 челюсть) позволяют эффективно исправить неправильный прикус, искривление отдельных зубов и прочие стоматологические проблемы при помощи внутренних брекет-систем.
Советы
СОВЕТ №1
Не бойтесь экспериментировать с цветами резинок для брекетов. Многие ортодонты предлагают разнообразные оттенки, которые могут подчеркнуть вашу индивидуальность и сделать брекеты менее заметными.
СОВЕТ №2
Обратите внимание на уход за полостью рта. Правильная гигиена зубов с брекетами поможет избежать неприятных последствий и сделает вашу улыбку более привлекательной. Используйте специальные щетки и нити для чистки между брекетами.
СОВЕТ №3
Не забывайте о регулярных визитах к ортодонту. Это поможет контролировать процесс исправления прикуса и обеспечит вам уверенность в том, что результат будет именно таким, каким вы его хотите видеть.
СОВЕТ №4
Смотрите на брекеты как на временное решение. Постарайтесь сосредоточиться на конечном результате — красивой и ровной улыбке. Это поможет вам легче переносить период ношения брекетов.









