Предпосылок для экстракции коренных зубов не так много, так как с зубами, которые появляются после выпавших молочных, человек проживает всю свою жизнь.
К ним относятся: сильные повреждения зуба, когда он не подлежит реставрации, кариес, воспалительные процессы. А также причиной является установка ортодонтических аппаратов, исправляющих прикус, установка коронок и зубных имплантов.
Показания к экстракции в стоматологии, особенности процедуры
По Международной классификации болезней полости рта (МКБ-10) удалению присужден код К08.1 — потеря зубов вследствие несчастного случая, удаления или локализованного пародонтита. Если после экстракции зуба возникает кровотечение из образовавшейся лунки, присуждается код R58 — кровотечение, не классифицированное в других рубриках или тот же самый код K08.1.
Показания к экстракции:
- сильное разрушение зуба;
 - запущенный пульпит;
 - перелом коронки;
 - образование кисты на верхушке корня;
 - полная или частичная ретенция, то есть невозможность прорезывания;
 - неправильное расположение зуба;
 - установка брекет-системы, протезов, мостов;
 - опухоль.
 
Противопоказания:
- воспаление десен;
 - обострение хронических заболеваний;
 - высокая температура;
 - расстройство нервной системы;
 - беременность (особенно в I триместре и в последнем месяце).
 
Положительные стороны операции:
- исчезновение острой боли, при ее наличии;
 - возможность установить брекеты, коронки, мост (если зуб мешал проведению процедуры).
 
Отрицательные стороны:
- неэстетичный вид ротовой полости, если вырванный зуб находился в зоне улыбки;
 - после удаления часто возникают кровотечения, лунка долго затягивается;
 - появляется нарушение речи;
 - затруднения во время приема пищи.
 
Удаление зуба из десны — это процедура, с которой может столкнуться каждый человек. Врачи подчеркивают, что перед операцией важно провести тщательную диагностику, чтобы определить состояние зуба и окружающих тканей. На первом этапе пациенту обычно делают анестезию, что позволяет избежать боли во время процедуры. Затем стоматолог аккуратно отделяет десну от зуба, используя специальные инструменты.
В зависимости от сложности удаления, может потребоваться применение различных техник, таких как экстракция с помощью щипцов или хирургическое вмешательство. После удаления зуба врач обязательно очищает лунку и, при необходимости, накладывает швы. Важно следовать рекомендациям врача в послеоперационный период, чтобы избежать осложнений и обеспечить быстрое заживление. Своевременное обращение к специалисту и соблюдение всех этапов процедуры помогут сохранить здоровье полости рта.

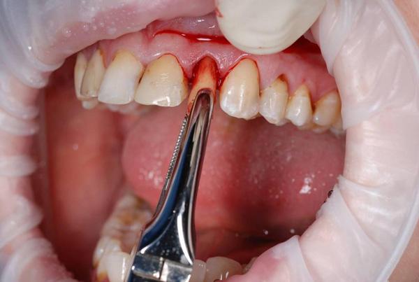
Фото
Фото 1. Простое удаление. Зачастую в данном случае удаляется шатающийся зуб, доступно расположенный для стоматолога.
Фото 2. Сложная экстракция зуба мудрости. Так как он лишь слегка виден на поверхности, то хирургу сперва приходится разрезать десну, а затем извлекать по частям.
Фото 3. Атравматичное удаление без боли и длительного заживления. Благодаря данному способу становится возможным сохранение естественного рельефа десны.
Виды техник удаления коренных зубов из десны у взрослого
Всего известно 4 техники удаления зубов: простое и сложное (хирургическое), по показаниям ортодонта и атравматичный способ.
Удаление зуба из десны — это процедура, которая вызывает у многих страх и беспокойство. Однако, по словам пациентов, правильная подготовка и понимание этапов операции значительно облегчают процесс. Врачи отмечают, что первое, что важно сделать, — это провести тщательную диагностику, чтобы определить состояние зуба и окружающих тканей.
Во время самой процедуры используется анестезия, что позволяет избежать боли. Многие пациенты отмечают, что ощущают лишь легкое давление. После удаления зуба важно следовать рекомендациям врача по уходу за раной, чтобы избежать осложнений.
Люди также подчеркивают важность выбора квалифицированного специалиста, который сможет провести операцию быстро и без лишнего стресса. В целом, большинство пациентов отмечают, что страх перед удалением зуба часто оказывается гораздо хуже самой процедуры.

Простое
Два наиболее распространенных способа экстракции коренных зубов: простой и хирургический. Первый используется для удаления видимых зубов. Это наименее травматичный вариант, когда зуб захватывается щипцами, немного расшатывается и извлекается.
Хирургическое
Хирургический способ применяется, когда необходимо удалить труднодоступные зубы. Применяется в основном при проблемах с прорезыванием и сильном разрушении зубов.
При хирургическом вмешательстве одними щипцами не обойтись, и врач прибегает к скальпелю, производя рассечение слизистой оболочки и надкостницы.
Минус данной методики: операция может трудно переноситься, долго заживает ранка. Плюсы: удаляются труднодоступные зубы, с кистами, сильно разрушенные.

Атравматичное: современный способ экстракции
Атравматичное удаление — современный метод, позволяющий провести процедуру экстракции зуба быстро и безболезненно. Проводится без использования щипцов под местной анестезией с применением препаратов последнего поколения, которые полностью лишают десну чувствительности.
Минус процедуры: высокая стоимость.
Плюсы:
- безболезненность;
 - сокращается риск попадания инфекции в лунку;
 - сокращается риск возникновения кровотечения;
 - сохраняется естественный рельеф десны, так как межкорневая пластина остается нетронутой.
 
Ортодонтическое
Такой вид экстракции применяется во время ортодонтического лечения (исправление прикуса, постановка коронок). Решение о необходимости удаления здоровых коренных зубов принимает специалист после нескольких консультаций и рентгеновских снимков. Удаление может производиться с использованием как щипцов, так и скальпеля.
Удаление пульпы, разрушенного моляра и клыков
Для разных зубов свои особенности экстракции. Удаление пульпы (внутренней зубной полости) производится одним из двух способов:
- Ампутация, то есть удаление лишь коронковой части пульпы. Ампутации подвергаются только многокорневые зубы с корнями правильной формы.
 - Экстирпация, то есть полное удаление пульпы.
 
Важно! Депульпированный зуб лишается нерва и не может болеть, но некоторые пациенты жалуются на ноющие боли в области зуба, подвергшегося лечению. По мнению специалистов, боль может держаться около двух месяцев. Если болевые ощущения продолжаются свыше двух месяцев, пациенту рекомендуется обратиться к врачу.
Удаление разрушенного постоянного зуба производится либо простым, либо хирургическим способом. Особенность процедуры заключается в том, что зубы на верхней челюсти удалить сложнее, чем на нижней, так как на верхней челюсти стенки лунок длиннее и толще.
Клыки являются самыми мощными зубами. Экстракция клыков производится только при сильном разрушении. Сложности возникают из-за того, что верхние клыки имеют длинные массивные корни часто с искривленной верхушкой.
После удаления передних зубов у пациентов отмечаются сильные болевые ощущения в области челюсти, головные боли. Экстракция передних зубов — сложная и высокотравматичная операция, которая проводится только при наличии серьезных показаний и при невозможности сохранить зуб. Зубы удаляются щипцами. После удаления возможно возникновение кровотечения и альвеолита (воспаления образовавшейся лунки в десне).
Справка! Одни коренные зубы удаляются проще, а другие — сложнее. В отличие от резцов и клыков, которые имеют по одному корню и легко поддаются удалению, моляры и премоляры, например, вырвать не так просто, потому что они имеют по два корня (длинные, часто неправильной формы), а иногда и больше, крепятся глубоко в костной ткани.
Как происходит подготовка и какой стоматолог удаляет зубы?
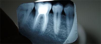
Процедуру удаления зуба назначает и проводит врач, который называется стоматолог-хирург. Перед проведением всех манипуляций хирург просматривает рентгеновские снимки челюсти больного, объясняет ему сложности проведения процедуры, информирует о противопоказаниях и последствиях.
Как подготовиться: что нужно делать перед операцией?
Перед процедурой пациенту потребуется:
- сделать рентгеновские снимки зуба и показать их своему стоматологу-хирургу;
 - провести антибактериальную профилактику, если в ротовой полости имеются воспалительные процессы;
 - проконсультироваться с хирургом по поводу обезболивающих средств, которые будут применяться во время процедуры (чтобы избежать аллергической реакции на препараты).
 
Стадии правильной экстракции: насколько долго длится по времени?
Этапы:
- Введение обезболивающего средства.
 - Антисептическая обработка ротовой полости.
 - Отделение десны.
 - Наложение щипцов к альвеолярной лунке.
 - Выполнение качательных и круговых движений (зуб расшатывается).
 - Извлечение зуба из лунки.
 - Осмотр лунки на наличие остатков корня.
 
Время, которое займет операция, зависит от сложности случая. Анестезия начинает действовать примерно через 20 минут после введения препарата. Само удаление занимает от 15—20 минут до часа и более. В некоторых случаях возникают осложнения, увеличивающие время проведения манипуляции: удаленный зуб может раскрошиться, корень остаться в десне.
Во время операции положение врача зависит от того, на какой челюсти пациента проводится манипуляция, верхней или нижней. При работе с верхней челюстью хирург находится справа и спереди от пациента. При работе с нижней челюстью врач становится таким образом, чтобы нижняя челюсть пациента находилась на уровне локтевого сустава опущенной руки хирурга.
Заключительный этап
После удаления зуба специалист проводит кровоостанавливающие процедуры. При необходимости на ранку накладываются швы. Кровотечение останавливается примерно через 20—30 минут.
Внимание! Через некоторое время после экстракции зуба может возникнуть острая боль, появиться отек, подняться высокая температура. Если такие симптомы не проходят в течение несколько дней, нужно обратиться за консультацией к специалисту.
Ответы на популярные вопросы
Здесь приведены наиболее часто задаваемые вопросы касательно процедуры и состояния после нее, а также даны развернутые ответы.
Имеет право зубной врач удалять зубы или нет и в каких случаях?
Удалением зубов занимается стоматолог-хирург. Операцию может проводить только специалист с медицинской лицензией в соответствующем санитарным нормам кабинете.
Что больнее всего удалять? Ощущения после операции
Наиболее болезненными ощущениями сопровождается удаление клыков и передних зубов. Клыки имеют самые крупные, иногда искривленные, корни. Экстракция передних зубов провоцирует возникновение болевых ощущений во всей челюсти и голове.
Стоит ли принимать успокоительное
Некоторые люди тяжело переносят удаление зубов, и им требуются успокоительные средства и до, и после процедуры, чтобы справиться с переживаниями. Такие препараты снижают чувства обеспокоенности. Одно из самых распространенных успокоительных — Валиум.
Важно! Перед тем как принять успокоительное, рекомендуется проконсультироваться по поводу дозировки и времени приема средства с врачом, который будет проводить операцию по удалению зуба, или со своим терапевтом.
Считается ли это операцией или нет, будет ли больничный?
Удаление коренного зуба — операция. Встречаются случаи, когда после этой процедуры у пациента возникают осложнения, в результате чего он может претендовать на получение больничного листа.
Больничный лист выдают при возникновении:
- врачебной ошибки во время проведения процедуры;
 - сложностей в процессе проведения процедуры (сверление костной ткани);
 - аллергической реакции на анестетик;
 - заражения тканей вокруг зуба;
 - плохого самочувствия после процедуры (высокая температура, отеки).
 
Рекомендации: описание способов, направленных на скорейшее заживление
- Если тампон, закрывающий лунку, не был убран в кабинете врача, его необходимо удалить в течение 15—20 минут, чтобы не спровоцировать возникновение воспалительного процесса.
 - Нельзя есть и пить в течение 2 часов.
 - Пережевывать пищу некоторое время придется на противоположной стороне, чтобы не нагружать десну.
 - Нельзя заниматься тяжелым физическим трудом в течение нескольких суток.
 - Требуется осторожно чистить зубы вокруг ранки.
 - Запрещается курить, пить из бутылки с узким горлышком.
 - Нельзя ковырять ранку посторонними предметами, прощупывать языком, трогать руками.
 - Рекомендуется проводить обработку рта антисептиками (Мирамистин, Хлоргексидин).
 - Нельзя в первые два дня активно полоскать рот. Через день—два рекомендуется начать проводить ротовые ванночки (набрать в рот лечебный раствор или отвар целебных трав и подержать его там несколько минут, затем выплюнуть).
 - Нельзя принимать горячую ванну, ходить в баню, делать теплый компресс на щеку (это может привести к развитию воспаления, к кровотечению). При возникновении боли можно приложить лед или принять обезболивающие препараты.
 
Полезное видео
Посмотрите видео, в котором наглядно демонстрируется вся процедура удаления зуба мудрости.
Почему так важно соблюдать правила ухода
Удаление зуба считается одной из самых неприятных и сложных стоматологических процедур, после которой часто появляются неприятные последствия в виде кровотечения, высокой температуры, отеков. Лунка, образующаяся после операции, полностью заживает только спустя 3—4 месяца. Это место требует тщательного ухода во избежание заражения. Чтобы быстро восстановиться после процедуры и избежать осложнений, рекомендуется четко выполнять все предписания врача, следить за своим самочувствием, соблюдать гигиену ротовой полости.





Вопрос-ответ
Какова последовательность удаления зубов?
Анестезия – местная анестезия полностью обезболивает пораженную область. В сложных случаях может быть также доступна седация. Расшатывание зуба – для осторожного покачивания зуба и расширения лунки используются элеваторы. Удаление – в простых случаях зуб удаляется целиком.
Как удаляют зуб из десны?
На десне создается надрез для полноценного доступа к зубу. Создается углубление в костной ткани с помощью сверла. Используя специальные инструменты, извлекается проблемный зуб. Из лунки десны проводится извлечение обломков зуба.
Советы
СОВЕТ №1
Перед удалением зуба обязательно проконсультируйтесь с стоматологом. Он проведет необходимую диагностику, чтобы определить, действительно ли требуется удаление, и предложит альтернативные варианты лечения, если это возможно.
СОВЕТ №2
Обязательно сообщите врачу о всех принимаемых вами лекарствах и наличии хронических заболеваний. Это поможет избежать возможных осложнений во время и после процедуры удаления зуба.
СОВЕТ №3
После удаления зуба следуйте рекомендациям стоматолога по уходу за полостью рта. Это включает в себя избегание горячей пищи и напитков, а также соблюдение гигиенических процедур, чтобы предотвратить инфекцию и ускорить заживление.
СОВЕТ №4
Не забывайте о контроле боли после процедуры. Используйте рекомендованные обезболивающие средства и обращайтесь к врачу, если боль становится невыносимой или появляются другие настораживающие симптомы.













