Неправильный прикус характеризуется смещением верхнего или нижнего зубного ряда, что приводит к патологиям при смыкании челюстей.
Согласно МКБ-10 cмена прикуса классифицируется в подгруппе болезней полости рта, слюнных желез и челюстей в разделе челюстно-лицевые аномалии под кодом К.07.
Если брать в расчет статистические данные, то каждый 8-й житель планеты сталкивался или продолжает сталкиваться с этим недугом.
Заболевание характеризуется не только визуальным и эстетическими недостатками — отсутствие лечения приводит к дестабилизации работы внутренних органов.
Что значит неправильный прикус и почему исправление его аномалий у человека необходимо?
Проблемы с прикусом приносят не только эстетический дискомфорт, но и негативно отражаются на здоровье полости рта, а впоследствии и органов пищеварения.
Аномалии прикуса — это потенциально опасная медицинская проблема, которая чревата нарушениями в работе органов слуха, головной болью, травмированием челюсти, затруднением дыхания и увеличением нагрузки на соседние зубы, способным оканчиваться серьезными недугами.
Для патологии характерны:
- значительное ухудшение дикции;
 - повышенный риск развития стоматологических заболеваний;
 - стираемость эмали, сопровождающаяся рецессией;
 - изменения осанки.
 
Важно! Консультация и лечение у квалифицированного врача-ортодонта снижает динамику заболевания. Внимания требуют случаи, сопровождающиеся потерей или деструкцией зубов, так как изменение челюстной архитектуры приводит к их движению и смещению.
Врачи-ортодонты уверены, что неправильный прикус — это не приговор. Современные методы исправления челюсти позволяют добиться отличных результатов в любом возрасте. Специалисты отмечают, что ранняя диагностика и своевременное обращение к врачу значительно упрощают процесс лечения. Использование брекетов, элайнеров и других ортодонтических аппаратов помогает не только улучшить эстетику улыбки, но и восстановить правильную функцию жевания. Врачи подчеркивают, что исправление прикуса может положительно сказаться на здоровье зубов и десен, а также на общем состоянии организма. Главное — следовать рекомендациям специалиста и не откладывать визит к ортодонту.

Показания к регистрации такого недуга
Наличие следующих признаков говорит о необходимости врачебного вмешательства:
- лицевая асимметрия;
 - затруднение при глотании;
 - затруднительное пережевывание и кусание;
 - нарушения дикции;
 - врожденная патология челюстного развития;
 - неспособность к смыканию губ;
 - черепные аномалии;
 - изменение формы подбородка;
 - тяжелые лицевые и челюстные травмы.
 
Справка! Ортодонтическая терапия одинаково результативна независимо от возрастной категории больного. Положительные результаты отмечаются и у пациентов, в 30—40 летнем возрасте. Однако продолжительность лечения с возрастом увеличивается.
Методы современной ортодонтии помогают эффективно справиться с устранением дефекта прикуса, где смещены клыки. С применением брекетов длительность терапии составляет порядка 1,5—2 года. Какой способ подойдет в том или ином случае определит специалист, проведя диагностику клинической картины.
Что делать, если у взрослых неправильный прикусной шаблон?
У взрослых пациентов челюстное развитие уже прекратилось, а черепная и зубная архитектура сформированы. Длительность терапии обусловлена замедленной трансформацией зубов по причине сниженного кровообращения в мягких тканях. Установка брекет-систем — распространенный способ выравнивания прикуса зубов у взрослых пациентов.
Ввиду обширного спектра показаний брекеты эффективно справляются с большинством аномалий. В менее запущенных случаях используются капы или элайнеры. Для коррекции работы жевательных мышц и костей устанавливаются пластины. В тяжелых случаях пациенту назначают хирургическую терапию.
Справка! С возрастом список противопоказаний для установки брекетов расширяется.
Многие люди сталкиваются с проблемами неправильного прикуса, и это может вызывать не только эстетические, но и функциональные неудобства. Однако, по мнению специалистов, исправление челюсти — это вполне решаемая задача. Современные методы ортодонтии предлагают широкий спектр решений, от брекетов до прозрачных капп, которые позволяют корректировать прикус без значительных неудобств.
Пациенты отмечают, что процесс исправления не так болезнен, как они ожидали, а результаты часто превосходят все ожидания. Улучшение внешнего вида, повышение уверенности в себе и облегчение жевания — это лишь некоторые из преимуществ, которые получают люди после лечения. Многие делятся положительным опытом и рекомендуют не откладывать визит к ортодонту, ведь здоровье зубов и челюсти напрямую влияет на качество жизни.

Исправление прикуса в стоматологии или студии
На первых этапах терапии пациенту проводят диагностику и обследуют полость рта. Для детального изучения аномалии прикуса предназначены такие предварительные процедуры:
- получение панорамного рентгеновского снимка либо телерентгенограммы;
 - снятие слепка;
 - наблюдение за движением челюсти в артикуляторе;
 - 3-D моделирование результата терапии (в некоторых клиниках).
 
В зависимости от состояния полости рта в ряде случаев пациенту предварительно потребуются:
- профессиональная гигиена полости рта;
 - удаление зубных камней;
 - реминерализация эмали;
 - очищение кариеса;
 - первичная установка либо переустановка пломб.
 
Справка! Оценивая состояние полости рта, в некоторых случаях ортодонт приходит к заключению о необходимости посещения узких специалистов. Дополнительные процедуры требуют оплаты, что приводит к увеличению стоимости терапии.
При легкой форме недуга длительность диагностики составляет порядка 2 часов. В запущенных случаях на составление плана терапии уходят недели.
Выравнивание челюсти с помощью брекетов в клинике
Устранение аномалии прикуса с помощью брекетов достигается путем установки усиливающей металлической конструкции. Скобы оказывают постоянное давление, что приводит к перемещению зубов в нужном направлении. Процесс заключается в ремоделировании кости, происходит ее усиление в ответ на устойчивую нагрузку.
Брекет-системы не только устраняют неровности зубов, но и приводят в соответствие аномалии прикуса, когда нижняя и верхняя челюсть занимают правильную позицию.

Плюсы и минусы лечения
Плюсы:
- Расширенная область применения.
 - Высокая эффективность.
 - Относительно быстрое лечение.
 - Невысокая стоимость.
 - Солидный опыт применения.
 
Минусы:
- Эстетический дискомфорт.
 - Требовательны в уходе.
 - Способны натирать и травмировать слизистую.
 - Иногда приводят к стиранию эмали.
 - Увеличивают риск возникновения кариеса.
 - Появляются ограничения в диете.
 
Фото до и после
Фото 1. Снимок профиля человека в профиль с неправильным прикусом (слева) и результатом после лечения (справа).
Фото 2. Пример исправления аномалий прикуса взрослого человека из состояния до (слева), к тому, что получилось после (справа).
Фото 3. Результат правильного лечения прикусного шаблона и кривизны зубов, при помощи брекет системы.
Технологии ALF для коррекции аномалий прикуса
ALF (Advanced Lightwire Functionals) — это метод, используемый в нетрадиционной ортодонтии, заключается в установке легкой проволочной конструкции на нёбо пациента.
В основе лежит принцип краниальной остеопатии, лечение прикуса происходит через исключение катализирующего фактора. Принцип действия основан на устранении дестабилизации краниальных черепных костей, вследствие чего они занимают свое естественное положение.
К основным преимуществам ALF относят невидимость конструкции, а также отсутствие дискомфорта и болевых ощущений при носке. Аппарат способен положительно воздействовать на дыхательные пути, предотвращая развитие ночного храпа и апноэ.
Фото 4. Различные виды челюстных аномалий, заключающихся в наличии неправильного прикуса у взрослого человека.
Помимо этого, конструкция ALF не усложняет гигиенические процедуры, а также предупреждает развитие осложнений и рецидивов, так как воздействует на первоисточник заболевания.
Недостатки технологии заключаются в ее низкой распространенности и относительно небольшом опыте применения.
Хирургическое изменение
В тяжелых и специфических случаях, когда консервативное лечение не в состоянии справиться с недугом и пациенту необходимо вывести зуб в правильное положение, на помощь приходит хирургия.
Такой метод устранения аномалии прикуса распространен при значительных деформациях, когда кости выражают существенную асимметрию, скошены, больному диагностированы мезиальный, дистальный или открытый прикус.
Хирургическое вмешательство проходит с применением общей анестезии. Положительный эффект достигается путем распиливания и хирургической реконструкции челюстной кости. Операция в среднем длится 5—6 часов.
Затем пациенту на протяжении нескольких дней показано стационарное наблюдение. Полное выздоровление наступает по прошествии нескольких недель.
Стоит ли выровнять прикус таким путем
В случае с тяжелыми аномалиями прикуса хирургический метод представлен как единственный и эффективный способ лечения.
Для многих пациентов такая процедура необходима, так как наличие недуга существенно сказывается на качестве жизни. Операция безболезненна, а на лице не остается шрамов или рубцов.
Однако подобная процедура предполагает более длительную подготовку и включает последующую реабилитацию. После операции пациент столкнется с неприятными ощущениями, вызванными синяками, болью при открытии рта, затруднением при приеме пищи и разговоре. Симптомы проходят по истечении нескольких дней в условиях стационарного наблюдения.
Важно! В послеоперационный период важно строго соблюдать предписания врача.
Как выравнивать аномалии винирами и люминирами
Виниры представляют из себя слой фарфорового или композитного материала, который размещают на поверхности зуба. В основном приспособления используются в косметической стоматологии для улучшения эстетики, а также для защиты эмали от повреждений.
Виниры не приводят зубы в движение, но способны исправить незначительную кривизну.Основное отличие люминиров заключается в том, что их толщина не превосходит 0,3 мм, что допускает их установку без предварительной обточки зубов.
Изделия так же, как и виниры призваны скрыть визуальные дефекты эмали: потемнения, пятна, неровности и внешние возрастные изменения. Однако ввиду того что технология предполагает применение сверхтонкого фарфора, они не справляются с существенными изъянами, которые просвечивают сквозь пластину.
При незначительных аномалиях виниры и люминиры корректируют кривизну и неровности прикуса, оказывая небольшое давление на единицу зуба и выравнивая его по форме пластины.
Плюсы и минусы
Плюсы:
- Эстетичность и естественный внешний вид.
 - Защита эмали от внешних повреждений.
 - Длительный срок службы.
 - Достоинство люминиров заключается в том, что они не требуют предварительной обточки зуба.
 
Минусы:
- Перед установкой виниров эмаль обтачивают.
 - Люминиры не скрывают значительные дефекты.
 - Не исправляют прикус, а маскируют визуальный дефект.
 - Высокая стоимость.
 - Длительное изготовление.
 
Поднятие прикуса: как изменяют?
Нередко потеря боковых зубов, а также патологическая стираемость эмали оканчивается снижением прикуса. При терапии больному необходимо его поднять, тем самым ему возмещают высоту и форму зубов путем установки на них коронок из различных материалов. После этого между зубами помещают специальный валик, который удерживает прикус на необходимой высоте.
Для того, чтобы его поднимать, используются металлические, керамические, фарфоровые и пластмассовые коронки. В более тяжелых случаях процедура проводится в 2 этапа, сначала пациент несколько недель носит специальные каппы, а затем направляется на протезирование.
Справка! Процедура проводится с целью предотвращения дальнейшего стирания эмали и выравнивания прикуса.
Можно ли исправить самостоятельно?
Поднятие прикуса происходит только путем пломбирования либо протезирования уязвимых зубов.
Гимнастические упражнения в домашних условиях приносят пользу в профилактических целях, но не исправляют проблему.
Патологическое влияние на прикус оказывает повышенная стираемость эмали, образующаяся под влиянием различных факторов.
Устранение патологии предполагает искоренение причины заболевания при его предварительной диагностике.
Важно! Лечение патологической стираемости зубов возможно после консультации квалифицированного врача-стоматолога.
Как лечить неправильный прикус в домашних условиях?
Устранение неправильного прикуса в домашних условиях предполагает применение съемных систем, которые назначает ортодонт после квалифицированной диагностики. Перечень таких технологий:
- каппы;
 - эллайнеры;
 - трейнеры;
 - пластины.
 
В дополнение к перечисленным методам специалисты иногда рекомендуют комплекс миогимнастических упражнений, которые способствуют ускоренному достижению положительного результата, но не эффективны в качестве самостоятельной терапии у взрослых пациентов.
Важно! Самолечение нередко приводит к усугублению симптомов и осложнению болезни. Каждый недуг требует индивидуального подхода и диагностики. Определить подходящий метод лечения прикуса способен только компетентный специалист.
Выпрямление капами и элайнерами: стоит или нет?
В отличие от металлических брекетов каппы или элайнеры не используют утяжеляющую конструкцию для влияния на прикус. Это легкие и прозрачные насадки из твердого полимера, которые при регулярной и правильной носке производят комплексное смещение зубов. Область применения капп и элайнеров ограничена, так как они не подходят для устранения серьезных патологий.
Достоинства и недостатки
Плюсы:
- Изделия прозрачны и незаметны на зубах.
 - Упрощенная гигиена полости рта;
 - Комплексное смещение зубного ряда за счет полного обхвата.
 - Изделия не травмируют десны и слизистую, не стирают эмаль.
 - Не ухудшают дикцию.
 - Пониженный риск развития стоматологических заболеваний.
 - Предварительное трехмерное моделирование конечного результата.
 
Минусы:
- Высокая стоимость.
 - Относительно низкая эффективность.
 - Узкий круг применения: подходят только в легких случаях.
 - Требовательны в уходе.
 - Существует риск утери.
 - Длительное лечение.
 
Как выровнять с помощью трейнеров?
Трейнеры представляют собой съемную силиконовую шину, которая, подобно чехлу, устанавливается на зубы. Технология создания включает применение мягких и эластичных материалов, благодаря чему они быстро и эффективно принимают форму челюсти.
Трейнеры захватывают нижнюю и верхнюю челюсть, фиксируя прикус в необходимом положении. Они снимают давление с мышц, фиксируют правильное положение языка и воздействуют на носовое дыхание. Помогают избавиться от храпа.
Справка! Трейнеры редко назначают в качестве самостоятельной процедуры, когда речь идет о терапии для взрослых. В основном они выступают как вспомогательный инструмент в дополнение к брекетам.
Плюсы:
- Невысокая стоимость.
 - Неприхотливы в уходе.
 - Универсальны.
 - Не травматичны и не громоздки.
 - Способствуют комплексному улучшению дикции.
 - Нет противопоказаний.
 
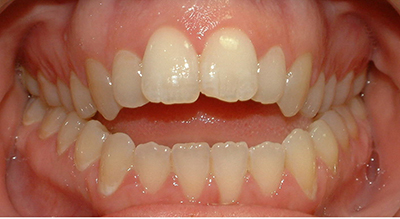
Фото 5. Снимок полости рта с наличием неправильного прикуса прямого вида у взрослого человека.
Минусы:
- Длительное применение.
 - После установки нельзя принимать пищу и напитки.
 - В них нельзя разговаривать.
 - Не справляются со значительными аномалиями прикуса.
 
Получится ли изменить прикус у взрослых с помощью пластин?
Особенность пластин заключается в том, что они не оказывают воздействия на смещение или движение зубов, а призваны удерживать их в необходимом положении. В основном используются в качестве дополнительного и закрепляющего инструмента после длительного ношения брекетов.
Аппарат держится на пластиковом основании, на которое крепятся металлические дуги и пружины. После установки на зубы, конструкция оказывает непрерывное давление, формируя правильный прикус. По мере регуляции положения пластин, путем подкручивания винтов конструкции, терапия приводит к смещению зубов в нужном направлении.
Нужно учесть при выборе
Плюсы:
- Наличие выбора между съемными и несъемными пластинами.
 - Неприхотливы в уходе.
 - Приемлемая стоимость.
 
Минусы:
- Узкая область применения.
 - Требует постоянного контроля.
 - Длительное лечение.
 - Влияют только на единицу зубного ряда.
 
Методы лечения прикуса миогимнастикой
Миогимнастика — это специальный комплекс упражнений для челюстных мышц, разработанный специалистами. Гимнастика для исправления аномалий прикуса включает в себя ряд физических упражнений, которые оказывают комплексное воздействие и восстанавливают мышечную функциональность.
Способ применяется в нескольких случаях: как подготовительная мера перед ортодонтическим лечением; как самостоятельный способ лечения у детей и подростков; как дополнительная мера в процессе основной терапии; в профилактических или поддерживающих целях после лечения.
Важно! Не рекомендуется прибегать к миогимнастике без предварительной консультации со специалистом, так как выбор комплекса упражнений связан с характером недуга. Для взрослых пациентов миогимнастика эффективна в качестве дополнительной поддержки.
С возрастом продолжительность лечения будет увеличиваться, поэтому для взрослых пациентов миогимнастика эффективна в качестве дополнительной поддержки. В некоторых случаях ввиду окончательно сформировавшегося прикуса у взрослых такая терапия не оказывает никакого эффекта.
Полезное видео
На видео рассказывается о классификации аномалий прикуса.
Чем лучше лечить аномалию прикуса?
Ортодонтическая терапия предоставляет обширный перечень методик, позволяющих исправить аномальный прикус у взрослых. Наибольшую эффективность предполагает установка брекет-систем, но наилучший результат приносит комплексная терапия. Провести точную диагностику и назначить правильное лечение способен только квалифицированный стоматолог-ортодонт.
Вопрос-ответ
Какой прикус легче всего исправить?
Прогнозы и сроки лечения. У детей лечение проходит быстрее: челюсть растет, поэтому легче поддается коррекции — на лечение понадобится примерно от года до двух лет.
Как меняется лицо при исправлении прикуса?
После исправления глубокого прикуса лицо кажется длиннее. Когда верхние зубы перестают перекрывать нижние, линия смыкания переносится вверх, а это увеличивает высоту средней части лица. Носогубные складки становятся менее выраженными. В юном возрасте они вызываются асимметрией лица.
Как неправильный прикус влияет на челюсть?
Неправильный прикус может провоцировать изменения положения нижней челюсти, что, в свою очередь, приводит к изменению положения головы. Когда голова выдвинута вперёд, позвоночник испытывает избыточную нагрузку, что приводит к нарушению осанки. После коррекции прикуса пациенты часто отмечают улучшение осанки.
В каком возрасте поздно исправлять прикус?
С 7 месяцев начинает формироваться молочный прикус, становление которого заканчивается в 2-3 года. С 3 до 6 лет временный прикус сохраняет стабильность, с 6 до 12 лет – молочные зубы выпадают, а на их месте растут постоянные, которые остаются на всю жизнь.
Советы
СОВЕТ №1
Обратитесь к специалисту. Первым шагом в исправлении неправильного прикуса является консультация с ортодонтом. Он проведет необходимые обследования и предложит оптимальный план лечения, учитывая индивидуальные особенности вашей челюсти.
СОВЕТ №2
Не откладывайте лечение. Чем раньше вы начнете исправление прикуса, тем легче и быстрее пройдет процесс. Раннее вмешательство может предотвратить более серьезные проблемы в будущем, такие как заболевания десен или неправильное распределение нагрузки на зубы.
СОВЕТ №3
Следите за гигиеной полости рта. При ношении брекетов или других ортодонтических аппаратов важно уделять особое внимание чистке зубов. Используйте специальные щетки и нити, чтобы избежать накопления налета и развития кариеса.
СОВЕТ №4
Будьте терпеливы и следуйте рекомендациям врача. Исправление прикуса — это процесс, который требует времени. Следуйте всем указаниям ортодонта, посещайте плановые осмотры и не забывайте о регулярных проверках, чтобы достичь наилучшего результата.














