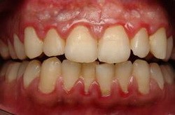
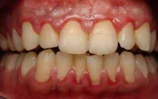
Пародонтит – воспалительный процесс в околозубной ткани. По степени тяжести пародонтит разделяют на три основные формы – легкую (начальную), среднюю и тяжелую.
При легкой степени тяжести симптомы маловыраженные и пациент может не сразу заметить наличие заболевания, поэтому стоматологи рекомендуют систематически проходить осмотр зубной полости. Характерными симптомами пародонтита легкой степени является покраснение десневой ткани, дискомфорт при употреблении твердой пищи, зуд десен а также ослабление зубной связки. Пошатывание зубов и смещение зубного ряда характерен при средней степени тяжести пародонтита, а также появляется неприятный (гнойный) запах изо рта, образуются гнойники в пораженной десневой ткани, отек и кровоточивость десен. При тяжелой стадии заболевания появляется апатия, потеря аппетита, общая слабость, синюшность десен, повышение температуры тела, а также боль при приеме пищи и разговоре.
Хронический воспалительный процесс, протекающий в пародонте, называется пародонтитом. Это заболевание присутствует практически у 80% населения земли. В зависимости от степени тяжести болезнь классифицируют на три формы:
- легкую или начальную;
 - среднюю;
 - тяжелую.
 
Легкая стадия пародонтита
Легкая стадия болезни характеризуется маловыраженными симптомами, которые не доставляют существенного дискомфорта больному. Деструкционный процесс развивается преимущественно в костной ткани, не затрагивая десенную ткань.
Легкая степень пародонтита генерализованного типа может возникнуть в результате нарушений в работе эндокринной или иммунной системы, как следствие частых стрессов или нервных перенапряжений.
Легкая степень пародонтита не развивается самостоятельно, а возникает как одно из осложнений катарального гингивита. Прогрессируя, легкая форма пародонтита приводит к образованию зубодесневых карманов и гнойных абсцессов в десневой ткани.
Основным симптомом пародонтита, протекающего в легкой форме, является кровоточивость и рыхлость десен. Десны отекают, а кровоточивость возникает при употреблении твердой пищи и механическом раздражении, например, при чистке зубов. Вторым признаком наличия воспалительного процесса в околозубной ткани является гнойный запах изо рта также ускоряется образование над- и поддесневого зубного камня. Если вовремя не начать лечение, то воспалительный процесс прогрессирует, и появляются такие симптомы, как пошатывание зубов, увеличение межзубных щелей и углубление пародонтальных карманов.
Характерными симптомами парадонтита легкой степени также являются:
- покраснением десневой ткани;
 - зудом десен;
 - дискомфортом при жевании твердой пищи;
 - ослаблением зубной связки.
 
Начальная стадия болезни может иметь хроническое течение или же быстро прогрессировать, перетекая в следующие степени тяжести. Своевременно начатое лечение, заключающееся в профессиональной чистке ротовой полости, обработке пораженных участков пародонта антисептическими растворами, применение фармакологических препаратов, подавляющих грамм-отрицательные микроорганизмы, и комплекс физиотерапевтических процедур позволят победить болезнь или добиться ее стойкой ремиссии.
Врачи отмечают, что степени различных заболеваний играют ключевую роль в определении подхода к лечению и прогнозу. Например, в онкологии различают стадии рака, что позволяет врачам выбрать наиболее эффективные методы терапии. На ранних стадиях заболевания шансы на выздоровление значительно выше, чем на поздних. Специалисты подчеркивают важность ранней диагностики, так как это может существенно повлиять на исход лечения. Кроме того, степень тяжести заболеваний, таких как диабет или гипертония, помогает врачам корректировать режим лечения и назначать необходимые препараты. В итоге, понимание степеней заболеваний способствует более точной и индивидуализированной медицинской помощи.

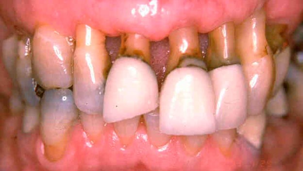
Пародонтит средней степени тяжести
Средняя тяжесть воспалительного процесса в околозубной ткани характеризуется ярко выраженной клинической картиной. Пародонтит средней степени характеризуется разрушением костной ткани и аппарата зуба, наличием глубоких зубодесневых карманов, в которых скапливается мягкий бактериальный налет и зубной камень. Грамм-отрицательная микрофлора, размножаясь в пародонтальных карманах, выделяет токсины, постепенно разрушающие пародонт.
К основным симптомам пародонтита средней степени относят:
- пошатывание зубов;
 - смещение зубного ряда;
 - образование гнойников в пораженной десневой ткани;
 - кровоточивость десен при их механическом раздражении;
 - отек и синюшность десен;
 - боль при жевании и разговоре;
 - гнойный запах изо рта;
 - гноетечение из зубодесневых карманов.
 
Как правило, болезнь носит хронический характер, обостряясь при общем ослаблении организма больного, вследствие перенесенных инфекционных болезней, сезонного авитаминоза, дисфункции эндокринной, сердечно-сосудистой и нервной системы. Предпосылками к развитию пародонтита средней тяжести в околозубной ткани могут стать и некачественно оказанные стоматологические услуги: установка протезов, коронок, некорректное лечение пломбирование зубов. Генетические факторы также могут снижать местный иммунитет и провоцировать развитие пародонтита.
Лечение заключается в купировании воспалительного процесса при помощи антибиотикосодержащих препаратов и антисептических растворов, санации и профессиональной чистке зубного ряда, удалении бактериального налета из зубодесневых карманов. Помимо консервативного лечения больному назначаются препараты, стимулирующие выработку коллагена и ускоряющие процесс регенерации околозубной ткани (иммуномодуляторы, витамины). Эффект от фармакологического лечения усиливается при помощи физиотерапии.
Степени — это тема, которая вызывает множество мнений и обсуждений. Многие люди считают, что наличие высшего образования открывает двери к лучшим карьерным возможностям и повышает уровень дохода. Однако есть и те, кто утверждает, что практический опыт и навыки важнее, чем диплом. В социальных сетях часто можно встретить споры о том, стоит ли тратить время и деньги на учебу, если можно быстро освоить профессию самостоятельно.
Некоторые отмечают, что степень помогает развивать критическое мышление и расширяет кругозор, в то время как другие подчеркивают, что система образования устарела и не всегда соответствует требованиям современного рынка труда. В конечном итоге, мнения о значимости степеней разнообразны, и каждый выбирает свой путь в зависимости от личных целей и обстоятельств.
Тяжелая степень пародонтита
Заболевание, характеризующееся тяжелой степенью поражения околозубной ткани, крайне редко развивается как самостоятельная болезнь. Причинами болезни является некорректное лечение легкой или средней стадии болезни. Лечение воспалительного процесса тяжелой степени очень длительное и болезненное. Максимум чего удается добиться — это наступления периода стойкой ремиссии и сохранения целостности зубного ряда.
К симптомам болезни относят:
- кровоточивость десен в результате химического, механического или термического воздействия;
 - стойкий гнилостный запах изо рта;
 - боль при жевании и разговоре;
 - синюшность десен;
 - смещение зубного ряда;
 - гноеточивость;
 - пародонтальные абсцессы;
 - повышение температуры тела;
 - быстрое образование под- и наддесневых отложений;
 - апатия;
 - потеря аппетита;
 - общая слабость.
 
Воспалительный процесс в ротовой полости может провоцировать различные хронические заболевания. Особо запущенный пародонтит может характеризовать полной деструкцией костной ткани.
Лечение заболевания включает в себя общую и местную терапию, направленную на подавление грамм-отрицательных микроорганизмов, укрепление иммунитета больного, санацию ротовой полости и обработку пораженных тканей антисептическими растворами. Помимо интенсивного местного лечения осуществляются процедуры, направленные на устранение подвижности зубов и смещения зубного ряда: шинирование, протезирование, прошлифовывание шеек и корней зубов. Эффективность от местной и общей терапии усиливается при помощи физиотерапевтических процедур. При значительно деструкции костной ткани прибегают к оперативному вмешательству.

Вопрос-ответ
Сколько 2 в 3 степени?
То есть 2 в кубе равно восьми. Записывается это так: 2^3 = 8.

Что такое степень?
Величина, полученная умножением другой величины, называемой основанием, самой на себя определенное число раз, называемое показателем, также сам показатель при такой операции — возведение в степень.
Сколько будет 2 в 10 степени?
210 = 1 024.
Что означает 4 степень?
Четвёртая степень (алгебра) — число, равное произведению четырёх одинаковых чисел.
Советы
СОВЕТ №1
Изучите основные правила возведения в степень. Понимание свойств степеней, таких как произведение и частное степеней, а также степень степени, поможет вам решать более сложные задачи.
СОВЕТ №2
Практикуйтесь на примерах. Решение различных задач на возведение в степень и использование степеней в уравнениях поможет закрепить материал и повысить уверенность в своих знаниях.
СОВЕТ №3
Используйте визуальные материалы. Графики и диаграммы могут помочь лучше понять, как степени влияют на рост и поведение функций, что особенно полезно при изучении более сложных тем, таких как экспоненциальный рост.
СОВЕТ №4
Не забывайте о приложениях степеней в реальной жизни. Изучение того, как степени используются в науке, технике и финансах, может сделать материал более интересным и актуальным.

