Белые зубы давно перестали быть предметом роскоши. Красивая улыбка считается показателем красоты и здоровья человека. Убрать желтизну и осветлить зубы на несколько тонов поможет профессиональное отбеливание.
Это курс мероприятий, направленных на многократное осветление зубов пациента. Проводится процедура в стенах клиники и под контролем специалиста. Отбеливание является самой популярной процедурой по косметическому лечению зубов.
Современные способы отбеливания зубов в стоматологии: какие виды самые лучшие
Способов профессионального отбеливания достаточно много. Подобрать более удобный и доступный вариант процедуры не составляет труда. Изменить цвет эмали можно при помощи профессиональной чистки или более серьёзных процедур.
Справка. Наиболее популярными процедурами являются: профессиональная механическая чистка ультразвуком, аэро фло, химическое и лазерное отбеливание.
Принцип заключается в нанесении специальной смеси на зубы, избегая дёсны.
Дальнейшее воздействие происходит ультразвуком, лазером или другими лампами. Некоторые виды отбеливания происходят за счёт закрывания настоящего зуба белыми пластинами.
При осветлении с помощью профессиональных систем используется вещества на основе пероксида карбамида, пербората натрия, перекиси водорода. Эти вещества дают ярко выраженный эффект, осветляя эмаль на несколько тонов. Эффект достигается без повреждения зубной эмали и сохраняется на долгое время.
Внимание! Следует помнить, что к отбеливанию невосприимчивы результаты реставрации зубов. Такие как пломбы, коронки, виниры. Наличие брекетов будет противопоказанием, так как воздействие отбеливающих веществ вызывает окисление металла.
Запрещено проводить профессиональное отбеливание если присутствует кариес, трещины и сколы, а также беременным и кормящим женщинам. Почти все виды отбеливающих процедур запрещены до 18 лет.
Врачи-стоматологи утверждают, что белоснежная улыбка — это не только признак здоровья, но и важный аспект привлекательности. Для достижения желаемого результата специалисты рекомендуют несколько эффективных методов отбеливания зубов. Одним из самых популярных является профессиональное отбеливание в клинике, которое обеспечивает быстрый и заметный эффект. Врач использует специальные гели и лампы, что позволяет добиться значительного осветления эмали.
Кроме того, стоматологи советуют обратить внимание на домашние средства, такие как отбеливающие пасты и полоски. Они могут быть менее агрессивными, но требуют регулярного применения для достижения результатов. Важно помнить, что перед началом любых процедур стоит проконсультироваться с врачом, чтобы избежать повреждения эмали и десен. Также врачи подчеркивают, что поддержание гигиены полости рта и регулярные визиты к стоматологу играют ключевую роль в сохранении белизны зубов.

Реставрационное
Относится к косметическим методам. Его принцип работы основан на перекрытии потемневшей эмали специальными материалами белого цвета.
Этапы:
- Сначала производится очистка зубов от камня и налёта.
 - При необходимости лечат кариес и меняют пломбы.
 - Поверхность полируют мягкими средствами, покрывают антибактериальным составом.
 - При помощи специального клея пластинки фиксируют на поверхности зубов.
 - Накладки полируют и создают микрорельеф для придания им абсолютного сходства с зубной эмалью.
 
Важно! Такое отбеливание не осветляет натуральные зубы, а замещает эмаль белыми пластинками. Подходит в том случае, если натуральные зубы имеют маленькие трещинки, небольшие сколы или пигментные пятна.
Плюсы:
- процесс не вредит эмали, так как её не шлифуют;
 - пациент сам выбирает оттенок;
 - процедура безболезненная;
 - снять пластинки можно без вреда для эмали тогда, когда пациент этого захочет;
 - требования к очищению зубов не меняются, покрытые пластинами зубы необходимо также чистить, как и до процедуры;
 - нет необходимости в белой диете, так как природная эмаль не подвергается обесцвечиванию;
 - нет повышенной чувствительности.
 
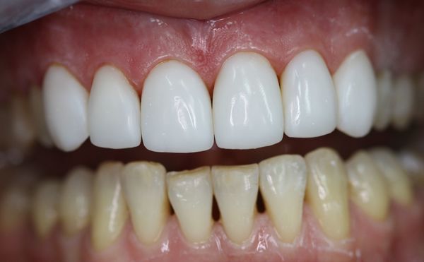
Фото 1. Зубы, отбеленные при помощи реставрационного метода. Пластинки установлены только на верхней челюсти.
Минусы:
- пластинки прикрепляют только на переднюю сторону зубов. Все остальные стороны остаются прежнего цвета;
 - процедура подойдёт только если эмаль в хорошем состоянии;
 - необходимо посещать стоматолога раз в полгода.
 
Использование виниров
Виниры — тонкие накладки толщиной не более 0,5 мм, предназначенные для покрытия внешней зубной поверхности.
Процесс установки:
- Зубную эмаль обтачивают до определённой глубины. Крупные зубы неправильной формы подвергаются обтачиванию в большей степени.
 - Врач делает слепок обточенных зубов.
 - После изготовления накладок происходит их фиксация на зубную поверхность.
 
В отличие от реставрационного способа, установка виниров более сложная и требует изготовления самой накладки по индивидуальному слепку. Эмаль подвергается обточке, что отрицательно сказывается на зубах. Установка может быть небыстрой, так как требуется время для изготовления пластинок. В то время как при использовании реставрационной методики ждать не нужно.
Фото 2. Зубы при отбеливании с помощи виниров до процедуры (сверху) и после неё (снизу).
Улыбка — это мощный инструмент, способный привлечь внимание и создать положительное впечатление. Многие люди стремятся к идеальному белоснежному цвету зубов, и существует множество способов достичь этого. Одним из самых популярных методов является профессиональное отбеливание в стоматологической клинике. Специалисты используют специальные гели и лампы, которые обеспечивают быстрый и заметный результат.
Однако не все готовы тратить время и деньги на процедуры. В этом случае на помощь приходят домашние средства: отбеливающие пасты, полоски и даже натуральные ингредиенты, такие как сода и лимонный сок. Важно помнить, что регулярная гигиена полости рта и отказ от курения также играют ключевую роль в поддержании белизны зубов.
Люди отмечают, что уверенность в себе, возникающая благодаря красивой улыбке, открывает новые горизонты в общении и личной жизни. Поэтому стоит уделить внимание уходу за зубами и выбрать подходящий метод отбеливания, чтобы сиять на все 100%.

Метод Air flow, оборудование для него
Аир флоу — процедура по осветлению, в которой стоматолог использует пескоструйный аппарат. В аппарате находится лечебная смесь, которая состоит из воды и абразивного средства. Раствор под давлением подаётся на поверхность зуба, тем самым очищая его. Основой смеси является пищевая сода. Она не наносит вреда за счёт мелких кристаллов, неспособных поранить эмаль.
Процесс:
- Процедура не требует подготовки. Специалист сразу приступает к распылению смеси.
 - По завершении очистки зубы покрывают слоем специального лака.
 
Процесс осветления зубной эмали происходит за счёт удаления зубного налёта и камня. При этом эмаль не только становится более белой, но и выравнивается, приобретает гладкость.
Внимание! На момент процедуры в полости рта не должно быть воспалений, обострения кариеса или других проблем. Так как воздействие чистящих веществ может нанести вред поражённым участкам.
В течение трёх часов после осветления эмали рекомендуется соблюдать белую диету и не курить.
Плюсы:
- эмаль не травмируется, процедура полностью безболезненна;
 - происходит полное очищение зубов и промежутков между ними от налёта и камня;
 - быстрота результата — от начала и до конца отбеливания проходит около получаса.
 
Минусы: зубы приобретут естественный оттенок, а не станут белыми. Если родной оттенок жёлтый или серый, аир флоу его не поменяет.
Лазерное
Этот метод предполагает использование лазерного катализатора. Процедура не вызывает болезненных ощущений и считается безопасной, так как слизистые ткани полости рта изолированы, а глаза защищены специальными очками.
Процесс:
- Убирается налёт и зубной камень.
 - Оценивается исходный цвет.
 - На каждый зубик наносится слой специального геля, который содержит окислитель.
 - Производится воздействие на гель лазером. При взаимодействии с ним, окислитель активизируется и выделяется кислород. Он проникает в глубокие слои эмали, тем самым удаляя пигмент. Луч обрабатывает все зубы по очереди, а не одновременно.
 - Использованный гель снимают, полость рта промывают.
 - Оценивается результат.
 
В отличие от света лампы, луч лазера воздействует локально на каждый участок. Воздействие импульсивно, что позволяет избежать поражения слизистой ткани. Пациент не испытывает дискомфорт.
Плюсы:
- быстрый результат — белые зубы можно получить уже через сорок минут;
 - эмаль не травмируется;
 - отсутствие повышенной чувствительности;
 - под воздействием лазера погибают бактерии, вызывающие кариес.
 
Минусы:
- довольно дорогостоящий способ;
 - требует первоначальной профессиональной чистки зубов.
 
Существуют два вида лазеров, которые применяются — диодный и зелёный лазер. Какой лазер необходимо использовать решает только специалист. Выбор зависит от преобладающего типа пигмента. Пигменты от коричневого до темно-жёлтого удаляют диодным, а светло-жёлтые и сероватые тона — зелёным.

Кислородное
Выделяют два вида кислородного отбеливания: Luma Cool и By Light. Принцип их действия основан на использовании специального геля, в котором содержится перекись карбамида, перекись водорода. Что важно, гель содержит полезные вещества для эмали, которые позволяют её укрепить — ксилитол, фториды и калий.
После того как специалист нанёс гель, начинается воздействие светом. Под специальным светом, гель активизируется, выделяется кислород. Кислород глубоко проникает в ткань эмали, постепенно осветляя её.
Фото 3. Отбеливание при помощи метода Luma Cool. Во время процедуры используется специальная лампа.
При методиках Luma Cool и By Light используют диодные лампы, дающие холодное излучение. Luma Cool осветляет зубы на 6—11 тонов, а By Light на 4—6. По продолжительности, Luma Cool немного выигрывает. Получить красивые зубы можно уже за 30 минут, притом, что By Light обещает результат через час.
Плюсы:
- используется холодный свет — риск ожога слизистой оболочки равен нулю;
 - эффект длится как минимум два-три года;
 - быстрый результат;
 - эмаль становится крепче;
 - не повышается чувствительность.
 
Минусы:
- требует предварительной профессиональной чистки, это помогает отбелить зубы в равной степени и на большее количество тонов;
 - зубы должны быть здоровыми, кариес вылечен.
 
Согласно статистике, из двух видов кислородного отбеливания, большинство пациентов выбирают Luma Cool. Эта процедура обещает быстрое отбеливание как минимум на шесть тонов. By Light недостаточно известна, возможно именно с этим связан пониженный спрос.
Использование ультрафиолета
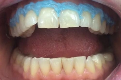
В основе лежит нанесение на эмаль осветляющего геля и его активация при помощи специальной лампы. Под воздействием света из препарата выделяется кислород, который обесцвечивает въевшиеся в зубные ткани пигменты.
Фото 4. Отбеливание с использованием ультрафиолетовой лампы. Во время процедуры на пациента надевают защитные очки.
Отличие от других методов в том, что в процессе отбеливания выделяется значительное количество тепла и зубы нагреваются. Не подходит людям до 18 лет и в случае, если зубы подвержены кариесу или присутствуют проблемы с дёснами. Желательно избегать отбеливания ультрафиолетом пациентам, у которых зубные сколы и трещины.
Плюсы:
- быстрый эффект;
 - успешно ликвидируются пожелтение в результате курения, приёма антибиотиков, злоупотребления цветными напитками;
 - осветление равномерное, даже если есть пигментные пятна;
 - исключена вероятность ожога мягких тканей, так как луч направляется только на зубы;
 - интенсивность светового воздействия регулируется с учётом состояния полости рта пациента.
 
Минусы:
- делать процедуру можно только на вылеченные зубы;
 - не запечатывает и не отбеливает промежутки в трещинах и сколах зубов;
 - эмаль не укрепляется.
 
Фотоотбеливание
При таком способе, зубы «просвечиваются» галогеновыми, ультрафиолетовыми или светодиодными лампами. Перед этим на них наносится специальный гель с высоким содержанием перекиси водорода.
Этапы:
- Стоматолог определяет цвет эмали пациента при помощи стандартизированной шкалы VITA.
 - Устанавливает щёчный ретрактор, который позволяет получить доступ ко всем зубам.
 - На десна наносят защитный состав, а зубы покрывают отбеливающим гелем.
 - Зубы подвергаются облучению в течение пятнадцати — тридцати минут.
 - Гель смывают. Наносят новый. И процедура повторяется.
 - Оценивается результат с помощью той же шкалы.
 
Важно! Фотоотбеливание гарантирует осветление зубов на несколько тонов. Какой именно будет оттенок после процедуры зависит от индивидуальных особенностей.
Такая методика вызывает чувствительность зубов, возможны болезненные ощущения во время и после процедуры. Чаще всего пациенты жалуются на ломоту в зубах, которую сложно выдержать. Эмаль при этом истончается, появляются микротрещинки. Поэтому очень важно соблюдать белую диету и не пренебрегать гигиеническими процедурами.
Zoom
Метод предполагает использование УФ-лампы. Лампа излучает ультрафиолет, который воздействует на предварительно нанесённый на эмаль гель. Который, в свою очередь, с помощью химической реакции, вызванной действием ультрафиолетовых лучей, осветляет эмаль.
Этапы:
- Специалист оценивает исходный цвет зубов.
 - Врач использует защиту для дёсен и других слизистых оболочек.
 - Наносится специальный гель на зубы.
 - Производится воздействие лампой, которая активирует гель.
 - После процедуры гель смывается.
 - Оценивается результат.
 
Внимание! Использовать отбеливание Zoom запрещено беременным и кормящим мамам. А также людям, имеющим проблемы с онкологией, болеющим сахарным диабетом и другими серьёзными заболеваниями.
Как и все методы, Zoom имеет плюсы и минусы.
Плюсы:
- быстро достигается результат;
 - белый цвет зубов держится примерно пять лет.
 
Минусы:
- так как процедура проводится с помощью ультрафиолета, возможен риск ожога слизистой;
 - невозможность использование этого метода если присутствует кариес и воспаления в ротовой полости;
 - возможны болезненные ощущения, ломота в зубах;
 - повышенная чувствительность;
 - довольно высокая стоимость.
 
Klox или офисное отбеливание
Этот метод — аналог офисного отбеливания Zoom. Процедура очень похожа. Происходит изоляция мягких тканей, на отбеливаемую область наносят специальный гель, активируют гель при помощи лампы.
Воздействие геля на зубы приводит к отбеливанию.
Активация отбеливающего геля происходит при помощи обычной полимеризационной лампы, что на порядок снижает себестоимость процедуры. Перед и после процедуры специалист оценивает цвет зубов по специальной шкале.
Плюсы метода Клокс:
- безболезненность;
 - отсутствие повышенной чувствительности;
 - низкая стоимость;
 - процедура длится всего полчаса;
 - соблюдение белой диеты всего в течение часа.
 
Минусов у этой процедуры не обнаружено.
Внутреннее
Когда приходится отбеливать мёртвые, депульпированные зубы, применяют технологию внутреннего отбеливания. В таком случае отбелить зуб внешне не всегда получается.
Фото 5. Внутреннее отбеливание. В полость зуба заливают специальное вещество, при помощи которого он отбеливается.
Это метод отбеливания изнутри каналов или коронки. При таком методе зубная полость заполняется специальным отбеливающим гелем.
Этапы:
- Для начала из зубов убираются все пломбировочные материалы.
 - В полость зуба вводится специальный гель.
 - Полость закрывается временной пломбой.
 - Процедура повторяется примерно через три дня.
 - После процедуры зубы закрываются постоянной пломбой.
 
Справка. Внутреннее отбеливание показано, когда меняется цвет одного или нескольких зубов в результате травмы или удаления нерва.
Плюсы:
- возможность отбелить депульпированный зуб.
 
Минусы:
- прочность зуба снижается, повышается риск разрушения коронки;
 - отбеливание будет незначительным, осветление на 2—4 тона, при этом цвет зуба, который подвергся отбеливанию, не будет белее чем остальные.
 
Косметологическое
К процедуре предъявляется два требования: сохранение здоровой десневой ткани и зубной эмали, а также осветление тона зубов.
Особенностью косметического отбеливания является то, что в нём используется минимальное количество перекиси водорода.
Если при агрессивном воздействии обесцвечивающих веществ содержание перекиси составляет от 35%, то при косметическом всего 10—12%.
Может быть применён в качестве пробного варианта и количество процедур варьируется в зависимости от желаемого оттенка.
Brilliant smile
Отбеливание «Бриллиант смайл» проводится гелем с низким содержанием перекиси водорода. Активируется гель под воздействием специальной лампы.
Этапы:
- Определяется исходный цвет зубов.
 - Специальной салфеткой удаляется налёт и влага.
 - На зубы в зоне улыбки наносится отбеливающий гель.
 - Включается лампа, активирующая гель.
 - Процедура длится 15 минут. Можно повторить ещё раз.
 - Определяется новый цвет зубов.
 
Такой метод позволяет отбелить зубы на четыре тона. При необходимости процедуру можно повторить через два месяца.
Плюсы:
- разрешено к использованию с 14 лет;
 - эмаль не повреждается;
 - отсутствие болезненных ощущений;
 - по сравнению с другими довольно низкая стоимость.
 
Минусы:
- в случае, если первая процедура не принесёт желаемого результата, нужно ждать до следующей два месяца.
 
В процессе отбеливания пациент может ощущать покалывание и пузырение на зубах. Это явление считается нормальным, так как является следствием выделения кислорода. А значит процесс обесцвечивания пигмента начинается.
Химическое
В таком отбеливании применяются химические реагенты на основе перекиси водорода и перекиси карбамида.
Процесс заключается в нанесение на зубы специального геля. В отличие от других методов, в химическом не проводится воздействия лампами или лучами.
Эффективный Opalescence boost
Опалесценс — процедура по отбеливанию, которую проводят специальным гелем. Гель наносится на зубы в среднем на 15—30 минут. Все это время врач внимательно следит за пациентом. Если после удаления геля желаемый эффект ещё не достигнут, процедуру можно сразу же повторить, при условии, что пациент не чувствует дискомфорта, но не более одного раза.
Фото 6. Так выглядят зубы пациента до отбеливания (сверху) и после процедуры Opalescence boost (снизу).
Этапы отбеливания:
- Сначала стоматолог проводит осмотр. Определяет исходный цвет зубов.
 - Осуществляется защита слизистых оболочек.
 - Наносят подготовительное средство на зубы.
 - Смешивают два раствора системы Опалеценс. Обрабатывают им зубы.
 - После процедуры зубы очищают, оценивают результат. При необходимости процедуру можно повторить.
 - По окончании отбеливания полностью удаляются остатки действующего вещества. Полость рта хорошо промывают, а на зубы наносят специальный укрепляющий состав.
 
Важно! Если есть кариес, налет или другие стоматологические проблемы, показано их предварительное устранение. Процедура не проводится если присутствуют сильные сколы или трещины на эмали.
Плюсы:
- отсутствие нагревания, а следовательно, нет риска перегрева тканей;
 - быстрый результат;
 - эффект длится достаточно долго;
 - поскольку наносимый на зубы гель обладает нейтральным pH, он не вызывает изменений структуры эмали;
 - опалесценс содержит калий и фтор, что позволяет во время процедуры укрепить зубы, снизить риск появления кариеса.
 
Минусы:
- возможен ожог десны, так как используют концентрированные химические реагенты;
 - повышение чувствительности зубов;
 - возможна аллергия на составляющие геля.
 
Метод химического отбеливания не подходит зубам с истончённой эмалью, а также если есть трещинки или сколы. Из-за негативного влияния на состояние зубной эмали и риска ожогов, химическое отбеливание постепенно вытесняют более щадящие процедуры.
Полезное видео
Посмотрите видеоотрывок из передачи «Жить здорово», в котором рассказывается о способах отбеливания зубов.
Какой метод лучше выбрать
В современном мире способов отбелить зубы достаточно много. Согласно статистике, две из трёх новых разработок в области средств по уходу за полостью рта — отбеливающие системы. Подбирать подходящий способ нужно по индивидуальным особенностям, оценивая продолжительность процедуры, результат и влияние отбеливания на зубную эмаль. Перед выбором процедуры обязательно нужно посетить стоматолога, чтобы убедиться в здоровье полости рта и отсутствии противопоказаний.
Вопрос-ответ
Какой самый эффективный способ отбелить зубы?
Более эффективным методом считается ультразвуковое отбеливание зубов. Оно подходит для подростков и взрослых. Так же как и технология Air Flow, ультразвуковой метод является профессиональной чисткой зубов, в результате которой достигается отбеливающий эффект.
Как добиться 100% белизны зубов?
Создайте эффективную, но мягкую отбеливающую пасту, смешав пищевую соду с перекисью водорода. Сода действует как мягкий абразив, а перекись водорода обладает отбеливающими свойствами. Смешайте небольшое количество каждого из компонентов до образования пасты, затем почистите зубы этой смесью в течение нескольких минут, а затем тщательно прополощите рот.
Что моментально отбеливает зубы?
Использование пищевой соды и активированного угля. Пищевая сода — одно из наиболее распространенных средств для домашнего отбеливания зубов. Пищевая сода (бикарбонат натрия) имеет слабоабразивные свойства, что позволяет эффективно удалять налет на зубах, придавая им более светлый оттенок.
Какая система отбеливания зубов самая лучшая?
Стоматологи считают, что самое лучшее отбеливание зубов – это лазерное. Во время процедуры врач может корректировать воздействие на каждый зуб в отдельности, за счет чего достигается равномерный красивый цвет зубной эмали.
Советы
СОВЕТ №1
Выбирайте натуральные методы отбеливания, такие как использование пищевой соды или активированного угля. Эти ингредиенты могут помочь удалить поверхностные пятна, не повреждая эмаль зубов. Однако используйте их с осторожностью и не чаще одного раза в неделю.
СОВЕТ №2
Регулярно посещайте стоматолога для профессиональной чистки зубов. Это не только поможет избавиться от налета и пятен, но и позволит выявить возможные проблемы с зубами на ранней стадии, что в свою очередь способствует здоровой улыбке.
СОВЕТ №3
Обратите внимание на свой рацион. Избегайте продуктов и напитков, которые могут окрашивать зубы, таких как кофе, красное вино и черника. Вместо этого выбирайте свежие фрукты и овощи, которые способствуют естественному очищению зубов.
СОВЕТ №4
Используйте отбеливающие зубные пасты, содержащие специальные абразивные частицы или химические компоненты, которые помогают осветлить зубы. Однако выбирайте пасты с умеренной абразивностью, чтобы не повредить эмаль.
















