Гипертрофический гингивит это воспалительный процесс в деснах сопровождающий за собой разрастание десневой ткани. Причины возникновения как и в случае с обычным гингивитом являются как общие так и локальные факторы. К локальным подкатегориям развития заболевания относятся микробные, механические термические и химические факторы. Инфекции, генетика, эндокринные нарушения связанные с гормональным фоном, системные заболевания и нарушение обмена веществ относят к общим причинам возникновения гипертрофического гингивита.
Гипертрофический гингивит бывает двух форм – фиброзный и гранулирующий. Гранулирующая форма гипертрофического гингивита, как правило, является генерализованной – поражение распространяется на ткань десен охватывая большую часть зубов. Изменяется цвет и рельеф десен, они разрастаются и приобретают ярко-красный оттенок. В случае с фиброзной формой уплотняются края десен, болевые ощущения отсутствуют, цвет десен не меняется, к искажению контура приводит отечность околозубной ткани.
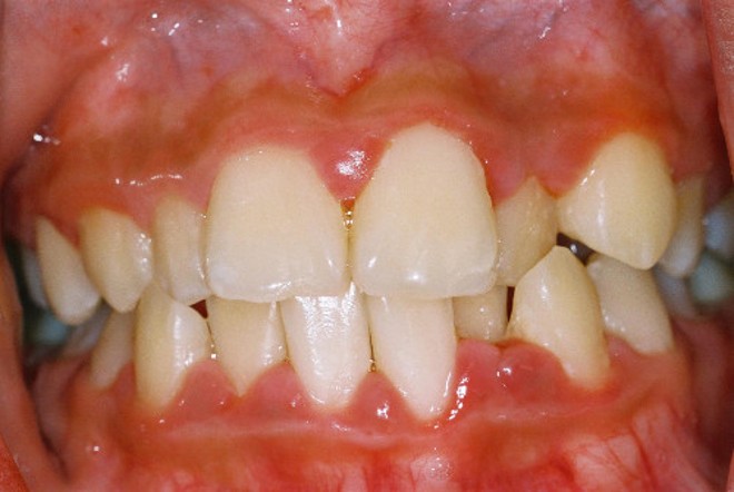
Если воспалительный процесс в десневой ткани сопровождается ее разрастанием, то такую форму гингивита называют гипертрофической. Гипертрофическая форма чаще всего развивается у детей в препубертатном и пубертатном периодах, так как вследствие изменения гормонального фона увеличивается восприимчивость десневой ткани к продуктам жизнедеятельности патогенных микроорганизмов. Болезнь может сопровождаться функциональными расстройствами, течение гипертрофического гингивита, как правило, очень длительное. Причинами возникновения гипертрофического процесса могут быть факторы как общего, так и местного характера.
Этиология болезни
Провоцировать развитие воспалительного процесса могут местные раздражители, к которым относят:
- термические;
 - химические;
 - микробные;
 - механические факторы.
 
К общим факторам, участвующим в развитии гипертрофического воспалительного процесса, относят:
- эндокринные нарушения, связанные с изменением гормонального фона (менопауза, половое созревание, беременность) и недостаточное функционирование щитовидных желез;
 - нарушение углеводного обмена веществ;
 - изменение витаминного баланса (дефицит витаминов группы В, токоферола, витамина С, К и Р);
 - врожденные или приобретенные аномалии в строении зубочелюстной системы;
 - системные заболевания (сахарный диабет, болезни крови, ревматизм) и аллергические реакции;
 - инфекционные болезни.
 
Гипертрофический гингивит не вызывает разрушения межзубных перегородок и зубодесневых соединений.
Гипертрофический гингивит представляет собой воспаление десен, характеризующееся их увеличением и отечностью. Врачи отмечают, что основными причинами данного состояния являются плохая гигиена полости рта, наличие зубного камня и инфекционные агенты. Симптоматика включает покраснение, кровоточивость десен и неприятный запах изо рта. Специалисты подчеркивают важность своевременной диагностики и лечения, чтобы избежать осложнений. Методы терапии варьируются от профессиональной чистки зубов до назначения антисептических растворов и противовоспалительных препаратов. В некоторых случаях может потребоваться хирургическое вмешательство для удаления избыточной ткани. Врачи рекомендуют регулярные осмотры у стоматолога и соблюдение правил гигиены для профилактики данного заболевания.

Симптоматика гингивита
В зависимости от клинической картины выделяют две формы гипертрофического поражения десневой ткани: фиброзную и гранулирующую. Каждая из форм заболевания характеризуется своими симптомами.
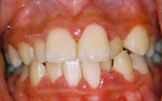
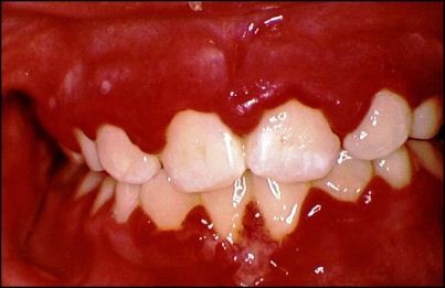
Гранулирующая форма болезни характеризуется существенным разрастанием десневой ткани, вследствие чего изменяется рельеф десны и наблюдается увеличение ее размеров. Изменяется и цвет десен, они приобретают ярко-красный оттенок. В результате отека и разрастания десневой ткани образуются ложные пародонтальные карманы, из которых может выделяться экссудат. При пальпации десны пациент отмечает болезненность ткани. Кровоточивость десен возникает при малейшем механическом, а изредка и при термическом, раздражении. Болезненность десен и их кровоточивость затрудняют прием пищи. Гранулирующая форма гипертрофического гингивита, как правило, является генерализованной, то есть поражение распространяется на десневую ткань, охватывающую большую группу зубов.
Гранулирующая форма, сопровождающаяся исчезновением эпителия в области зубодесневых сосочков и десневого края, называется десквамативным гингивитом. Характерным признаком десквамативного гингивита является обнажение слизистой десен. При визуальном осмотре пациента пораженные участки имеют вид ярко-красных углублений. Обнаженные участки отличаются высокой болезненностью, что затрудняет процесс жевания. Кровоточивость возникает внезапно, больной ощущает постоянное чувство жжения десен в области очагов поражения.
Фиброзная форма болезни также характеризуется уплотнением края десны, но при пальпации болевые ощущения отсутствуют. Цвет десен не меняется, а кровоточивость может полностью отсутствовать. Отечность десен приводит к искажению их контура, а течение фиброзного гипертрофического гингивита малоизменчивое.
Степени гипертрофического гингивита
Гипертрофический гингивит принято классифицировать по трем степеням, каждая из которых определяется в соответствии со степенью разрастания десневой ткани.
Для первой степени характерно наличие валикообразного утолщения, которое наблюдается на протяжении всего зубного ряда и несколько выступает в преддверие рта.
Вторая степень заболевания характеризуется наплыванием десневого края на коронки зуба, при этом коронка зуба может покрываться десневой тканью вплоть до ½ от своей высоты. Межзубные сосочки существенно увеличены, десневой край приподнят, а валикообразное утолщение тянется вдоль всего зубного ряда.
Разрастание десневой ткани, характерное для третьей степени, достигает критических размеров, десневой край нависает над жевательной поверхностью зубов и их режущим краем. Изменяется рельеф десны, нарушается ее целостность. Поверхность десны покрывается кровоточащими грануляциями, которые очень болезненны и могут гноиться. Межзубные сосочки существенно увеличиваются в размерах и приобретают овальную форму.
Гипертрофический гингивит — это воспаление десен, которое проявляется в их увеличении и отечности. Люди часто отмечают, что причиной этого состояния могут быть не только плохая гигиена полости рта, но и гормональные изменения, стресс или некоторые медикаменты. Симптоматика включает покраснение, кровоточивость десен и неприятный запах изо рта. Многие пациенты жалуются на дискомфорт при жевании и чистке зубов. В лечении важна комплексность подхода: это и профессиональная гигиена, и использование антисептических средств, и коррекция рациона. В некоторых случаях может потребоваться хирургическое вмешательство для удаления избыточной ткани. Регулярные визиты к стоматологу помогут предотвратить рецидивы и поддерживать здоровье десен.

Методы лечения гипертрофического воспалительного процесса
Для лечения гипертрофического гингивита проводят антибактериальную, противовоспалительную и иммуностимулирующую терапию. Сныть кровоточивость десен помогает прием витаминных комплексов и аппликации с Викасолом. Применяют препараты, обладающие капилляроукрепляющими свойствами, а также лекарственные средства, ускоряющие регенерацию десневой ткани.
Гранулирующую форму заболевания лечат при помощи прижигающих средств — пиоцидотерапия и диатермокоагуляция. Использование Пиоцида эффективно для лечения гингивита первой и второй степени тяжести. Деструктивные методы терапии не применяют для лечения гингивита фиброзной формы.
Восстановить гипертрофированную десну можно при помощи парафинотерапи. По сравнению с диатермокоагуляцией и пиоцидотерапией парафинотерапия не оказывает грубого травматического вмешательства, так как лечебный эффект основывается на механическом и термическом воздействии парафина. Парафинотерапия эффективна при лечении начальной стадии гранулирующей формы гингивита. Фиброзную форму болезни лечат при помощи оперативного вмешательства. Завершающим этапом терапии являются систематические полоскания ротовой полости и массаж десен.
Гипертрофический гингивит относится к рецидивирующим стоматологическим заболеваниям, поэтому после ликвидации разросшейся десневой ткани необходимо определить и устранить причину, провоцирующую развитие гипертрофического воспалительного процесса.
Вопрос-ответ

Как лечить гипертрофический гингивит?
Лечение гипертрофического гингивита включает в себя профессиональную чистку зубов для удаления зубного налета и камня, а также регулярную гигиену полости рта. Важно использовать антисептические растворы для полоскания, а при необходимости — противовоспалительные препараты и антибиотики, назначенные врачом. В некоторых случаях может потребоваться хирургическое вмешательство для удаления избыточной ткани десен. Регулярные визиты к стоматологу помогут предотвратить рецидивы.
Как лечить гипертрофию десны?
Фиброматоз десен. Лечение заключается в иссечении всех гиперплазированных тканей при помощи лазера или скальпеля. Пациенты и специалисты отдают предпочтение все же лазеру. Операция проводится под местной анестезией и длится не более часа.
Сколько форм имеет гипертрофический гингивит?
Классификация гипертрофического гингивита. В зависимости от типа гиперпластических процессов гипертрофический гингивит может протекать в отечной (воспалительной) и фиброзной (гранулирующей) форме.
Советы
СОВЕТ №1
Регулярно посещайте стоматолога для профилактических осмотров. Это поможет выявить гипертрофический гингивит на ранних стадиях и предотвратить его развитие.
СОВЕТ №2
Обратите внимание на свою гигиену полости рта. Чистите зубы не менее двух раз в день и используйте зубную нить, чтобы удалить остатки пищи и налет, которые могут способствовать воспалению десен.
СОВЕТ №3
Следите за своим питанием. Увеличьте потребление витаминов, особенно витамина C, который способствует здоровью десен, и избегайте слишком сладкой или кислой пищи, которая может усугубить состояние.
СОВЕТ №4
Если у вас уже диагностирован гипертрофический гингивит, следуйте рекомендациям врача и не пренебрегайте назначенным лечением, включая использование антисептических растворов и противовоспалительных средств.

