Флюороз зубов — болезнь, вызванная длительным поступлением в организм фтора, который является причиной интоксикации. Заболевание системное.
Его проявление — беловатые вкрапления, сменяющиеся жёлтыми и коричневыми деструктивными и эрозивными изменениями эмали.
Наблюдается нарушение целостности зубов.
Флюороза: что это такое, причины возникновения. Код по МКБ 10
Код заболевания по МКБ 10 — К00.30.
Появление патологии напрямую связано с употребляемой водой. В регионах с жарким климатом поражение зубных тканей фтором встречается гораздо чаще. Оптимальное соотношение фтора и воды 1 мг/л.
При употреблении 2 мг/л развивается заболевание в лёгкой степени. Также на развитие недуга влияет питание. Однако недостаток этого вещества может вызвать зубной кариес.
Часто болезнь появляется при прорезывании постоянных зубов у детей, проживающих в местности с повышенным содержанием фторидов в воде. Появление патологии у взрослых наблюдается при концентрации фтора 6 мг/л. Тяжесть формы зависит от индивидуальной чувствительности организма и его способности противостоять воздействию этого вещества.
Справка! Существует профессиональный вид флюороза, возникающий у работников предприятий, где повышено содержание фтора в воздухе.
Врачи отмечают, что флюороз зубов является серьезной проблемой, вызванной избыточным потреблением фтора. Это состояние возникает, когда уровень фтора в организме превышает допустимые нормы, что может произойти как из-за чрезмерного употребления фторсодержащих продуктов, так и из-за высоких концентраций фтора в питьевой воде. Специалисты подчеркивают, что особенно уязвимы дети, чьи зубы еще формируются. Врачи предупреждают, что флюороз проявляется в виде белых пятен или коричневых полос на эмали, что не только ухудшает эстетический вид зубов, но и может привести к их разрушению. Профилактика включает контроль за уровнем фтора в рационе и регулярные стоматологические осмотры, что позволяет избежать серьезных последствий для здоровья зубов.

Классификация
В стоматологии выделяют профессиональный и эндемический виды, которые делятся по причинам возникновения.
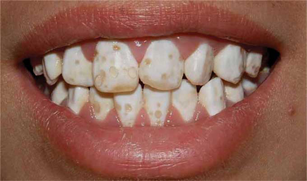
Также существует 5 форм заболевания, отличающиеся клиническими проявлениями: штриховая, пятнистая, меловидно-крапчатая, деструктивная и эрозивная.
Первые две формы относятся к лёгкой степени патологии, последние — к тяжёлой. Меловидно-крапчатая является средней степенью.
Часто у пациентов различные группы зубов повержены разным видам флюороза. Возникшая форма заболевания сохраняется у человека на всю жизнь, и, как правило, не трансформируется в другую форму.
Формы флюороза зубов
- Штриховая: на эмали образуются полоски и штрихи определённого беловатого цвета.
- Пятнистая: на поверхности образуются пятна сероватого или беловатого цвета. Пятна могут сливаться и образовывать одно большое. Поверхность гладкая и блестящая, отсутствуют чёткие границы, они плавно переходят в здоровые участки.
- Эрозивная: на зубах располагаются ямки, эмаль особо истончена на жевательной поверхности.
- Меловидно-крапчатая: дефекты располагаются на твёрдой зубной ткани, имеют коричневый или серый цвет. Поверхность эмали матовая.
- Деструктивная — форма, при которой наблюдается нарушение коронок из-за эрозивных разрушений и стирания твёрдых тканей зуба.
Флюороз зубов — это заболевание, вызванное избыточным потреблением фтора в период формирования зубной эмали. Многие люди не осознают, что фтор, который часто добавляют в зубные пасты и питьевую воду, может быть опасен в больших дозах. В результате чрезмерного воздействия этого элемента на организм, особенно у детей, возникают характерные белые пятна и полосы на зубах.
Специалисты подчеркивают, что флюороз может развиваться не только из-за высоких концентраций фтора в воде, но и из-за неправильного использования фторсодержащих продуктов. Например, дети, которые проглатывают зубную пасту, могут подвергаться риску. Обсуждая эту проблему, стоматологи рекомендуют родителям следить за количеством фтора, которое получают их дети, и выбирать безопасные продукты. Важно помнить, что профилактика флюороза начинается с осознанного подхода к гигиене полости рта и внимательного отношения к здоровью зубов.

Разновидности по причинам формирования болезни
-
Эндемический — связан с повышенным содержанием фтора в питьевой воде.
- Профессиональный — появление такого флюороза связано с профессиональной деятельностью, от чего работник вдыхает воздух, содержащий большое количество фторидов (производство суперфосфата, криолита).
В отличие от эндемической формы, не вызывает патологию зубов.
- «Соседский» — появляется у людей, проживающих длительное время около производственных предприятий, заводов по переработке промышленной продукции.
- Ятрогенный — возникновение такой формы связано с передозировкой фторсодержащих веществ, например, таблеток, имеющих в составе этот химический элемент.
Разновидности по степени тяжести
- Лёгкая: наличие небольших пятен, которые имеют слабый изменённый оттенок.
- Умеренная: наличие пятен и полосок до 25% от всех зубов. Полосы распространены, как правило, на половину эмали.
- Среднетяжёлая: дефекты на зубе с серым дном, округлой формы. Наличие коричневых и жёлтых пятен.
- Тяжёлая: вся эмаль окрашена в жёлтый или коричневый цвет. Твёрдая часть зуба поражена ямками.

Диагностика
Используемые методы диагностики заболевания — осмотр и опрос.
Осматривают зубы внимательно, иногда с лупой.
Если врач заметил пятно, он использует витальное окрашивание раствором метиленового синего, область поражения при патологии не окрашивается.
Дифференциальная
Патологию дифференцируют от кариеса, для которого характерна определённая область поражений: контактная поверхность, пришеечная область. При флюорозе поражения располагаются на язычной и вестибулярных поверхностях. При кариесе изменения на эмали единичны, а при флюорозе — множественные.
Также заболевание начинает проявляться с начала прорезывания зубов, как правило, не прогрессирует со временем, в отличие от кариеса.
Важно! При флюорозе на эмали множество повреждений: клиновидного дефекта, эрозий, средний и поверхностный кариес.
Симптомы заболевания эмали
- Штриховая. Появление штрихов, полосок.
-
Пятнистая. Появление множества пятен, без полосок, гладкая эмаль рядом с пятном.
- Эрозивная. Наличие пигментных пятен, множественных эрозий на поверхности зуба.
- Деструктивная. Истирание эмали, нарушение формы коронки из-за эрозий.
- Меловидно-крапчатая. Матовая эмаль, чёткие пигментированные крапинки-пятна, дно пятен коричневое или серое.
Различия
Состоят в наличии или отсутствии пятен, штрихов, эрозий, нарушении целостности коронковой части зуба, характера пигментных пятен, степени поражения эмали.
Методы лечения
Способ терапии зависит от степени тяжести заболевания и от его формы. Подобрать правильный метод может только врач:
- При лёгкой форме назначают реминерализующую терапию и отбеливание зубной поверхности. Главное действующее вещество терапии — гидроксиапатит, укрепляющий и питающий ткани.
-
Твёрдые ткани укрепляются с помощью назначения сеансов электрофореза, при котором применяют растворы фторида натрия и кальция.
- Одно из эффективных средств лечения заболевания — Ремодент, препарат, состоящий из костной ткани животных. Он попадает на эмаль, укрепляет её и восстанавливает структуру.
- Для терапии используют эстетическую реставрацию: изготовление накладных протезов — виниров или люминиров, реставрирование с помощью композитов, восстановление повреждённых частей с помощью коронок.
Способы профилактики и прогноз заболевания
Любой недуг легче предупредить, чем лечить. Для профилактики патологии:
- Сдайте пробу воды из водопровода.
- При помощи специального фильтра очищайте воду от фтора.
- Употребляйте большее количество молочных продуктов, овощей и фруктов.
- Принимайте препараты кальция.
- При работе с фтором и его производными надевайте респиратор, придерживайтесь диеты.
- Замените пасту с содержанием фтора на другую.
Важно! При невозможности смены воды используйте бутилированную либо размороженную. Для этого заморозьте обычную воду в морозильнике, а потом дайте ей отстояться.
Несмотря на опасность заболевания, прогноз благоприятный, при условии, что лечение начато на ранних стадиях. При запущенной форме справиться с поражением тяжелее, но если соблюдать рекомендации врача, то можно уменьшить негативные проявления.
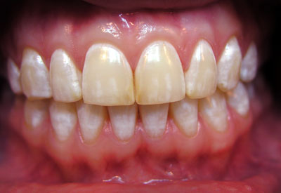
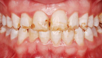
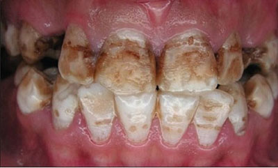
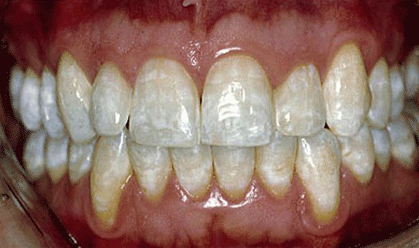
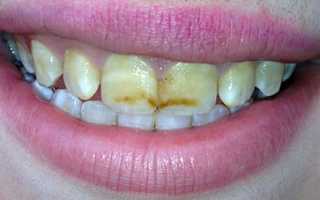
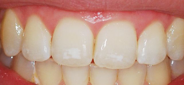
Фото эрозивной, эндемической, штриховой формы
Фото 1. Эрозивная форма флюороза, эмаль значительно истончена, на ней наблюдаются ямки.
Фото 2. Эндемическая форма флюороза, равивается по причине повышенного содержания фтора в питьевой воде.
Фото 3. Штриховая форма флюороза, эмаль слегка пятнистая, с несильно выраженными бороздками.
Полезное видео
Посмотрев видео, можно узнать о некоторых причинах появления флюороза у детей и взрослых.
Итог
Таким образом, флюороз зубов — заболевание, вызванное попаданием в организм большого количества фтора, нарушающее целостность зубной поверхности и вызывающее пигментацию эмали. Лечение зависит от тяжести недуга, включает в себя как отбеливание, так и реставрирование зубов.
Вопрос-ответ
Причиной развития флюороза является?
Основная причина флюороза – большое содержание в питьевой воде фтора. Оптимальная концентрация фтора в воде составляет 1 мг/л. При превышении указанного значения развивается флюороз. В детском возрасте даже небольшое увеличение содержания фтора приводит к резкому росту случаев заболевания.
Почему развивается флюороз?
Флюороз — патология, поражающая зубную эмаль временного или постоянного прикуса человека. Заболевание развивается на фоне попадания в организм ребенка или взрослого избыточного количества фтора или его соединений.
Какова причина флюороза зубов?
Главной и чаще всего основной причиной образования флюороза зубов является переизбыток микроэлемента фтора в эмали, поступление фтора в организм в таких количествах, которые сам организм не способен принять. Будьте внимательны, любое заболевание следует обязательно лечить.
При недостаточности фтора в организме развивается флюороз?
При недостаточности фтора в организме развивается кариес, а в случае с флюорозом все наоборот. Избыток микроэлемента, вызывающий флюороз зубов, должен быть постоянным, продолжительным. Нормативный предел концентрации фтора в питьевой воде – 1-1,5 мг/л.
Советы
СОВЕТ №1
Изучите уровень фтора в вашей питьевой воде. Если вы живете в районе с высоким содержанием фтора, рассмотрите возможность использования фильтров для воды или перехода на бутилированную воду, чтобы снизить риск флюороза.
СОВЕТ №2
Ограничьте использование зубных паст и ополаскивателей, содержащих фтор, особенно для детей. Выбирайте продукты с низким содержанием фтора и следите за тем, чтобы дети не глотали зубную пасту во время чистки зубов.
СОВЕТ №3
Регулярно посещайте стоматолога для профилактических осмотров. Стоматолог сможет оценить состояние ваших зубов и дать рекомендации по уходу, а также выявить ранние признаки флюороза.
СОВЕТ №4
Обратите внимание на диету. Увеличьте потребление продуктов, богатых кальцием и витаминами, которые способствуют здоровью зубов, таких как молочные продукты, овощи и фрукты, чтобы снизить риск повреждения зубной эмали.









