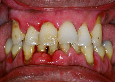
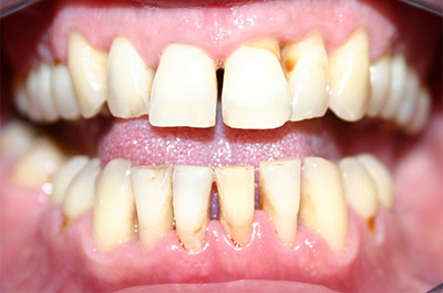
Пародонтит — инфекционное заболевание, поражающее мягкие и костные ткани пародонта. При болезни опорного аппарата зуба воспаление распространяется с дёсен на все ткани, фиксирующие зуб в челюстной кости.
В результате происходит отделение зуба от десны, что может привести к потере последнего. В запущенном состоянии или в острый период заболевание влияет на уровень сахара в крови и отрицательно сказывается на состоянии беременных женщин.
Терапия пародонтита не имеет единого алгоритма, так как причины заболевания бывают совершенно разные. Для начала выясняется и лечится первопричина болезни, если бороться только с симптомами, они вернутся через некоторое время. Комплексное лечение, включающее терапевтические, ортопедические и хирургические способы, является максимально эффективным.
Как проходит диагностика при помощи формалиновой пробы
Диагностические мероприятия начинают с выяснения состояния зубов и дёсен, наличия аномалий, изменения цвета тканей, окружающих зубы.
Сначала прощупывают подчелюстные лимфоузлы, при наличии патологии они болезненные и увеличенные. Осматривают ротовую полость на наличие признаков заболевания:
- отёка и красноты дёсен;
 - рыхлых краёв десны;
 - карманов между десной и зубом;
 - большого количества зубных отложений;
 - расхождения между резцами;
 - подвижности и открытых корней.
 
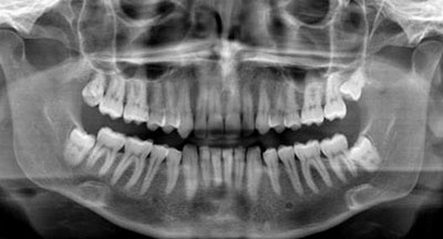
Врач назначает анализы, рентген или компьютерную томографию зубов. Рентгенография отображает, насколько разрушены межзубные перегородки. Томография даёт трёхмерное изображение костной структуры.
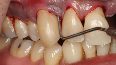
Обязательно измеряют глубину зазора между десной и зубом. Такая несложная процедура помогает определить масштаб поражения. Для этого применяют пародонтальную пробу, которая помещается между зубом и десной. Таким способом обследуют каждый зуб, а совокупность результатов даёт пародонтограмму.
Для проведения диагностических исследований используют различные пробы, так как некоторые процедуры довольно болезненны, их не рекомендуют применять при лечении детей.
К таким относится формалиновая проба, которая помогает выявить наличие язв в патологическом кармане.
Когда каплю раствора с содержанием формалина вносят в нездоровый зубодесневой карман, возникает резкая боль, при наличии там язв. В диагностике применяют также пробу Шиллера-Писарева, пробу по Кулаженко, пробу Парма.
Современные методы лечения пародонтита вызывают положительные отзывы среди врачей-стоматологов. Специалисты подчеркивают важность комплексного подхода, который включает как профессиональную гигиену полости рта, так и использование инновационных технологий. Одной из таких процедур является ультразвуковая чистка, которая эффективно удаляет зубной камень и налет, минимизируя травмы десен. Врачи также рекомендуют лазерную терапию, которая способствует заживлению тканей и снижает воспаление. Кроме того, применение регенеративных методов, таких как PRP-терапия, помогает восстановить утраченные ткани. Важно, чтобы пациенты регулярно посещали стоматолога для контроля состояния десен и своевременного вмешательства.

Способы лечения
Современная медицина предлагает различные методы борьбы с этим заболеванием.
Местное медикаментозное локальной формы
Подобная терапия является самым распространённым и изученным способом. Лечение включает применение антибактериальных и противовоспалительных препаратов, настоев и отваров лекарственных трав, мазей.
Первое, что делает врач — удаляет зубные отложения. Современные аппараты для чистки хорошо справляются с этой задачей. Затем следует полировка и шлифовка очищенной области. Далее, проводится обработка антисептиком.
Фото 1. Стоматологический гель Холисал, 15 г, от производителя ООО Валеант.
На начальной стадии и при лечении локального пародонтита воспаление купируется достаточно быстро. После очистки на поражённую область накладывают повязку с лекарством, иногда хватает аппликаций с мазями и гелями (Асепта, Холисал, Камистад). Если присутствует острая боль и пародонтальный карман глубокий, назначают антибиотики. В качестве антибактериальных средств применяют метронидазол, сангвиритрин, йдонол, левомицетин, левомиколь, скуммамед и др.
Широко распространено применение отваров из ромашки, календулы, коры дуба, а также полоскания раствором фурацилина. Подобные ванночки и полоскания оказывают противовоспалительное, антибактериальное и вяжущее действие.
Многие люди, столкнувшиеся с пародонтитом, отмечают, что современные методы лечения значительно улучшили их состояние. В первую очередь, пациенты упоминают о профессиональной чистке зубов, которая помогает удалить зубной налет и камень, способствующие воспалению десен. Также популярны процедуры, такие как лазерная терапия, которая минимизирует дискомфорт и ускоряет заживление.
Некоторые пациенты делятся положительным опытом применения регенеративных методов, таких как использование мембран и костных трансплантатов, которые способствуют восстановлению утраченных тканей. Важно отметить, что комплексный подход, включающий регулярные визиты к стоматологу и соблюдение гигиенических рекомендаций, играет ключевую роль в успешном лечении. Люди также подчеркивают, что осведомленность о заболевании и активное участие в процессе лечения помогают им справиться с проблемой и вернуть здоровье десен.

Хирургическое
Когда болезнь прогрессирует и купировать проблему медикаментами не удаётся, прибегают к хирургическому методу с использованием:
- 
Котеража. Выскабливают глубокие отложения и патологические ткани под дёснами с помощью ручных инструментов (кюретов, крючков, экскаваторов). При этом иногда вскрывают десну (если глубина кармана больше 4 мм).
 - Лоскутных операций. Десну разрезают у края, часть (лоскут) отодвигают в сторону, удаляют инфицированные ткани, тщательно обрабатывают корни зубов, костные карманы и внутреннюю поверхность лоскута. После ликвидации пародонтального кармана разрез зашивают.
 - Гингивотомии. Делают вертикальный разрез от края десны до переходной складки и удаляют твёрдые образования на корне зуба, гипертрофированные ткани, воспалённый край десны или десневого сосочка. Способ эффективно ликвидирует очаг инфекции. Процедуру используют также в косметических целях. Хирургические методы подразумевают использование анестезии.
 
Ортопедический способ при очаговогой форме
Этот вид терапии применяют, чтобы избавиться от хронического генерализованного пародонтита, если у пациента отсутствуют некоторые зубы или уже есть зубные протезы. Ортопедическое лечение нацелено на восстановление жевательной функции, ликвидацию повышенных нагрузок на пародонт, предотвращение смещения зубов. Вид терапии зависит от прикуса, состояния зубов, количества отсутствующих.
Фото 2. На зубах применен метод временного шинирования, чтобы не допустить их смещения.
Ортопедический метод включает:
- временное или постоянное шинирование;
 - протезирование;
 - частичное пришлифовывание;
 - ортодонтическую терапию.
 
Очаговый пародонтит лечится комплексным способом. Местная терапия снимает воспаление, а ортопедическая ликвидирует факторы, провоцирующие его.
Стоматолог снимает некачественные коронки, заменяет неправильно изготовленные пломбы, инспектирует протезы.
Для лечения применяются каппы, съёмные протезы с накладками, ортодонтическая техника. При этом конструкция лечебных аппаратов разрабатывается таким образом, чтобы снять травматизм от жевательного давления, обездвижить шатающиеся зубы, восстановить зубные ряды и их анатомическую форму.
Важно! Если часть зубного ряда достигла полной атрофии, используют протезирование.

Физиотерапия
Для снятия воспалительного процесса при болезнях пародонта комплексная терапия включает применение физиотерапевтических процедур. При физиотерапии улучшается местное кровоснабжение, происходит обновление тканей, выводятся продукты распада.
Данный метод включает в себя вибрационный массаж, дарсонвализацию, вакуумную терапию, аэротерапию, электрофорез. Лечение осуществляется с помощью специальных аппаратов.
Массаж делается на более лёгких стадиях патологии, дарсонвализация (с применением высокочастотного тока) подходит, когда присутствуют гнойные выделения из зубодесневых карманов.
Фото 3. Женщина на физиопроцедуре у стоматолога, чтобы улучшить кровообращение десен, укрепить зубы.
Вакуумную терапию назначают, если течение болезни воспалительно-дистрофическое, лечение заключается в отрицательном давлении на поверхность дёсен и пробуждении защитной реакции организма на стресс.
Аэротерапия является самым безболезненным вариантом, воздух, ионизированный отрицательными частицами, очень полезен для тканей пародонта. Применение курса такой терапии улучшает не только состояние дёсен, но и значительно обогащает состав крови полезными веществами.
Общая терапия
Такое лечение заключается в общем укреплении организма, повышении регенеративной способности тканей. Сюда входит приём витаминов, фитопрепаратов, антигистаминных веществ. Проводятся консультации у невропсихолога. А также возможно лечение побочных фоновых инфекций, которые являются источником болезни дёсен.
Как лечат дёсны в стоматологии
Пародонтит в стоматологии лечат с помощью хирургических и нехирургических методов. Современные стоматологические клиники предлагают клиентам, в зависимости от степени тяжести заболевания:
- профессиональную чистку зубного камня и налёта;
 - избавление от отложений на коронках;
 - полировку;
 - лечение зубодесневых карманов медикаментами;
 - реминерализацию эмали;
 - хирургические операции со вскрытием десны и без оного;
 - антибактериальное лечение;
 - при обширном разрушении зубов и костных тканей челюсти, используют трансплантаты, выступающие основой для образования здоровой костной ткани.
 
Широко распространённым стало лечение ультразвуковыми вибрациями на аппарате Vector. Бесконтактное и безболезненное лечение позволяет улучшить состояние зубов и десен и провести чистку на глубине до 11 мм. Противопоказаний по применению практически нет.
Тяжёлая степень
На самых тяжёлых степенях, приходится прибегать к хирургическим методам.
Показателями такого состояния являются обильная кровоточивость дёсен, выраженная подвижность зубов и гнойные выделения из карманов. Лечение обычно занимает не меньше месяца.
Для начала проводят осмотр полости рта, при глубоких зубодесневых карманах (8 мм) удаляют зубы, планируют протезирование, пришлифовывание, шинирование и др. Обязательно назначают антибиотики (метронидазол, линкомицин). Одновременно применяют физиотерапевтические процедуры, полоскания.
В таких случаях приходится делать лоскутные операции для глубокой очистки, основная цель которых — ликвидация пародонтальных карманов. Выписываются противоотечные препараты и другие лекарства общего воздействия.
Внимание! К сожалению, в тяжёлых стадиях патологии даже применение комплексной терапии не даёт стойкой ремиссии, поэтому пародонтит стараются выявлять и лечить, когда состояние зубов и дёсен некритическое.
План общего комплексного лечения зубов
Общее лечение пародонтита зубов заключается в очистке, шлифовке и полировке зуба, мероприятиях по восстановлению эмали, местном медикаментозном лечении, в которое входит хирургическое удаление зуба, замена коронок.
При этом очень важно соблюдать правила гигиены ротовой полости и проводить профилактику пародонтита.
Очень часто причиной патологии выступает неправильный прикус, получение травмы зуба, некачественный протез, и, как результат, кариес.
Поэтому пародонтит зубов часто включает применение ортопедического метода.
Какие ошибки и осложнения могут возникнуть
На любом этапе лечения — при диагностике, планировании лечебного плана, фиксировании и съёме медицинской аппаратуры — возможно возникновение ошибок, и, как следствие, осложнений. Ошибки диагностики связаны с недостаточным исследованием проблемы, пренебрежением рентгеном, некорректным снятием оттисков и др.
Неправильный диагноз влечёт за собой несоответствующее назначение и неверный подбор методов лечения. Врачебные ошибки приводят к осложнениям:
- аллергические реакции и отеки;
 - травмы слизистой рта механическими аппаратами;
 - новые патологии вследствие неконтролируемого расширения зубного ряда;
 - из-за неправильного закрепления брекетов возникает оголение корня и шейки зуба;
 - разрушение эмали;
 - рецидив, повторное воспаление и абсцесс.
 
Современные методы терапии у детей
Обычно пародонтит встречается у детей не раньше 9–10 лет, причиной становится неправильный прикус или короткая уздечка верхней губы. Чтобы лечение было эффективным, устраняют первопричину.
Терапия включает применения комплекса из противовоспалительных препаратов, промывания, полоскания, физиотерапии.
Дополнительно назначаются витамины, минералы, иммуностимуляторы и противоаллергические средства.
Как избавиться от недуга при беременности
Лечение во время беременности имеет свои особенности:
- Зубодесневые отложения удаляют только ручными инструментами, так как появляются противопоказания к ультразвуку.
 - Полировку выполняют щётками и пастой.
 - Воспаление снимают с помощью полосканий, аппликаций, гелей. Все препараты согласовывают с лечащим гинекологом. Обычно используют растворы и настои, не содержащие спирт.
 
Важно! Все процедуры применяют, учитывая состояние женщины, особое место уделяют профилактике. Беременным рекомендуется использовать травяные зубные пасты, следить, чтобы после еды, между зубов не оставалось остатков пищи, использовать зубную нить, регулярно делать полоскания.
Эффективное избавление от пародонтита дёсен
Кроме очистки и ликвидации патологических тканей, при лечении дёсен основные задачи — купировать воспаление и нормализовать функций ткани десны. Широко используют концентрированные мази и гели в виде аппликаций, которые закладывают в пародонтальные карманы или втирают в десна.
Фото 4. Гель Метрогил Дента, 20 г, от производителя Unique Pharmaceutical Laboratories.
Среди них можно выделить Холисал, Метрогил Дента, Камистад, Дентамед, Пароидиум, Асепта гель. Препараты обладают не только антисептическим действием, но оказывают и противовоспалительный, и обезболивающий, и регенерирующий эффект.
При лечении дёсен показаны массажи и физиотерапия. Массажи делают аппаратным методом и вручную, несколько раз в день. В физиотерапии часто применяется электрофорез с лекарством.
Обострения
Обострение патологии характеризуется острой болью, повышением температуры, недомоганием. Этому сопутствует большое количество отложений на зубах, отёк дёсен, увеличение размера зубодесневых карманов до 5–6 мм.
Первостепенная задача врачей – перевести болезнь из острой стадии в хроническую.
Для этого используют противовоспалительные и обезболивающие препараты, а также сорбенты, которые выводят из организма токсины, микробные клетки и атрофические ткани.
После снятия острого воспаления тщательно вычищают или выскабливают карманы, удаляют грануляции. При острых состояниях любое вмешательство в структуру десны проводится под анестезией.
Причиной воспаления при пародонтите является инфекция, поэтому врачи в первую очередь воздействуют на её очаг. Назначаются антибиотики и вводятся лекарства прямо в пародонтальный карман. Кроме того, при обострении патологии резко ухудшается иммунитет, поэтому обязательно назначаются иммуномодуляторы.
Питание
При пародонтите необходимо заниматься укреплением дёсен, потому твёрдая пища, а именно морковь, яблоки, огурцы, груши просто незаменима.
Польза такого питания не только в массажном эффекте, но и в обилии витаминов и полезных микроэлементов.
Патология подразумевает, что в организме наблюдается острая нехватка полезных веществ и витамина С, восполнять баланс рекомендуют смородиной, лимонами, апельсинами. Полезно также жевать соты с мёдом.
Важно! Если заболевание прогрессирует, сопровождается болезненностью дёсен и подвижностью зубов, то от твёрдой пищи придётся отказаться. Чтобы пополнить организм витаминами, из свежих овощей и фруктов делают пюре или выжимают сок.
На время болезни отказываются от сладкого, газировки, кофе и чёрного чая. В рацион обязательно вводится кальциесодержащая пища: молоко, творог, кефир, сыр.
Полезное видео
Из видео можно узнать мнение стоматолога о том, почему для предотвращения пародонтита важно следить за здоровьем десен.
Комплексная терапия – лучшая
При лечении пародонтита необходимо выполнять все рекомендации врача. Обычно план лечения, составленный после проведения обследования, содержит комплекс мероприятий. Такой комплексный подход позволяет достичь максимальной эффективности в борьбе с этим недугом.

Вопрос-ответ
Какие методы лечения используют при пародонтите?
Физиотерапия – ультразвук, массаж десен при остром и хроническом пародонтите, шинирование зубов – установка специальных конструкций, фиксирующих зубной ряд, хирургическое лечение в тяжелых случаях – лоскутные операции по пересадке мягкой ткани, костная пластика. Современное лечение с применением лазерных технологий.
Каковы новейшие методы лечения пародонтита?
Хирургическое лечение. При запущенном пародонтите вам может потребоваться стоматологическая операция, например: лоскутная операция, также называемая операцией по уменьшению десневых карманов. Пародонтолог делает надрезы в деснах, чтобы аккуратно отогнуть ткань. Это обнажает корни зубов для более эффективного удаления зубного камня и выравнивания поверхности корней.
Самое эффективное лекарство от пародонтита?
Самое эффективное лечение пародонтита включает комплексный подход, состоящий из профессиональной гигиены полости рта, удаления зубного камня и налета, а также применения антисептических растворов и антибиотиков при необходимости. Важно также соблюдать регулярные визиты к стоматологу и поддерживать хорошую гигиену полости рта. Однако конкретное “лекарство” может варьироваться в зависимости от степени заболевания и индивидуальных особенностей пациента, поэтому консультация с врачом является обязательной.
Какой физиотерапевтический метод лечения показан при лечении пародонтоза?
Лазерная терапия в комплексном подходе к лечению пародонтита. Методы лазерной терапии включают локальное облучение десен и лазерное уведомление. Лазер способствует ускорению процессов заживления и восстановлению пораженных тканей, также доказана его эффективность в качестве антимикробной терапии.
Советы
СОВЕТ №1
Регулярно посещайте стоматолога для профессиональной чистки зубов. Это поможет удалить зубной налет и камень, которые способствуют развитию пародонтита. Специалист также сможет оценить состояние ваших десен и предложить индивидуальный план лечения.
СОВЕТ №2
Обратите внимание на свою гигиену полости рта. Чистите зубы не менее двух раз в день и используйте зубную нить или интердентальные щетки для удаления остатков пищи между зубами. Это поможет предотвратить воспаление десен и дальнейшее развитие пародонтита.
СОВЕТ №3
Рассмотрите возможность использования антисептических ополаскивателей для рта. Они могут помочь снизить количество бактерий в полости рта и уменьшить воспаление десен. Выбирайте средства, содержащие хлоргексидин или другие активные компоненты, рекомендованные стоматологом.
СОВЕТ №4
Следите за своим питанием. Увеличьте потребление витаминов и минералов, особенно витамина C и кальция, которые способствуют укреплению десен. Избегайте сахара и обработанных продуктов, которые могут способствовать развитию бактерий в полости рта.














