Зубной камень представляет собой твёрдые отложения, формирующиеся на поверхности зубной эмали.
Эти отложения образуются из мягкого бактериального налёта, если он не был своевременно удалён. В его состав входят как органические, так и неорганические компоненты.
К органическим веществам относят бактерии и продукты жизнедеятельности, которые они выделяют, различные белковые соединения, лейкоциты и отмершие клетки. Неорганические элементы – минеральные соли, содержащиеся в составе слюны.
Виды и формы налёта у человека
Налёт формируется постепенно. Изначально он представляет собой мягкую субстанцию, откладывающуюся на зубной эмали. С течением времени толщина её слоя увеличивается, происходят процессы минерализации. В слюне у людей содержится большое количество минеральных солей, которыми пропитывается мягкий налёт, что приводит к его затвердеванию. Длительность этого процесса может быть различной. Все зависит от гигиены, состава слюны человека, продуктов, входящих в его меню.
В зависимости от локализации твёрдых отложений, выделяют наддесневой и поддесневой зубной камень.
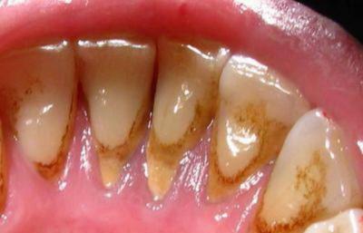
Фото 1. Изображение наддесневого (справа) и поддесневого (слева) зубного камня. Отложения расположенные ниже уровня десны вызывают воспаление мягких тканей и могут привести к потере зуба.
Наддесневой камень всегда располагается выше уровня десны. Его можно заметить невооружённым взглядом даже в домашних условиях. Отложения могут иметь различный оттенок, в зависимости от давности их формирования. Так, свежий камень имеет жёлтый цвет, более давние отложения приобретают темно-коричневый оттенок.
Важно! В домашних условиях возможно удалить только свежий зубной камень, расположенный над дёснами. Все другие случаи требуют визита в стоматологическую клинику.
Поддесневой камень располагается ниже края десны, поэтому заметить его в ходе осмотра довольно проблематично. При наличии твёрдых отложений, расположенных под дёснами, меняется внешний вид десны, она становится отёчной, приобретает синюшный цвет, формируются десневые карманы, из которых иногда можно наблюдать незначительные гнойные выделения.
Мнение врачей о возможности удаления зубного камня в домашних условиях разделяется. Многие стоматологи подчеркивают, что профессиональная чистка зубов является необходимой процедурой для поддержания здоровья полости рта. Зубной камень, образующийся из-за налета, может привести к серьезным проблемам, таким как кариес и заболевания десен. Врачи предупреждают, что попытки удалить камень самостоятельно с помощью подручных средств могут быть не только неэффективными, но и опасными. Неправильные действия могут повредить эмаль зубов или вызвать травмы десен. В то же время некоторые специалисты допускают использование специальных средств для ухода за зубами в домашних условиях, но только как дополнение к регулярным визитам к стоматологу. В конечном итоге, для сохранения здоровья зубов и десен лучше довериться профессионалам.

Зубной камень: удаление в домашних условиях
Дома самостоятельно можно вылечить только зубной камень, сформировавшийся недавно.
Такие отложения имеют более рыхлую структуру, а значит, лучше поддаются различным воздействиям.
Существует несколько способов очищения эмали от твёрдых отложений.
Плюсы:
- доступность процедур,
- отсутствие необходимости в посещении стоматолога.
Минусы: невозможность снятия полностью затвердевших отложений, а также зубного камня, локализующегося ниже края десны.
Осторожно! При попытке самостоятельно удалить твёрдый налёт можно повредить зубную эмаль, что в дальнейшем приведёт к развитию более серьёзных проблем, таких как кариес.
Как убрать с помощью щётки
Для удаления твёрдого налёта с поверхности эмали используют специальные зубные щётки. Это может быть электрическое устройство со встроенным ультразвуковым генератором.
Волны ультразвука негативно действуют на структуру полузатвердевшего зубного камня, разрушая её, а щетинки позволяют окончательно удалить отложения с поверхности зубов.
А также для этих целей применяют специальные щётки с вращающейся головкой. Их щетинки способны проникнуть в труднодоступные места, очищая от мягкого и полутвердого налёта.
Многие люди задаются вопросом, можно ли обойтись без стоматолога для удаления зубного камня. В интернете можно найти множество советов и рекомендаций по домашним методам, однако стоит помнить, что профессиональная помощь всегда предпочтительнее. Некоторые утверждают, что использование натуральных средств, таких как сода или уксус, может помочь в борьбе с зубным налетом. Однако такие методы могут быть неэффективными и даже вредными, если применять их неправильно.
Стоматологи предупреждают, что неправильное удаление зубного камня может привести к повреждению эмали и десен, что в итоге усугубит проблему. Регулярные визиты к стоматологу не только помогают поддерживать здоровье зубов, но и позволяют выявить возможные проблемы на ранних стадиях. Поэтому, несмотря на соблазн сэкономить время и деньги, лучше доверить уход за полостью рта профессионалам.

Пасты для зубов
Продукт содержит абразивные элементы, ферментные и химические вещества, разрушающие структуру отложений. Ферменты способствуют расщеплению твёрдых отложений, химические вещества размягчают их, абразивы – удаляют с поверхности зуба. Часто такие пасты используют совместно со специальными щётками против зубного камня, о которых говорилось выше.
Внимание! Применять такие составы каждый день нельзя, так как их использование приводит к повреждению эмали, нарушению ее целостности, и, как следствие, к развитию проблем с зубами.
Как удалить ирригатором
Ирригатор представляет собой аппарат для тщательной чистки дёсен и других участков полости рта. В устройство заливают воду или ополаскиватель для зубов (выбор жидкости зависит от модели прибора). Жидкость, выделяемая под большим давлением, воздействует на выбранный участок, эффективно очищая его. Устройство можно использовать и для очищения труднодоступных участков. В ирригатор нельзя заливать холодную жидкость или воду из водопровода. А также запрещено использовать прибор при наличии язв во рту.
Фото 2. Ирригатор используется после чистки зубов щёткой в качестве дополнительной меры избавления от налёта.

Как быстро избавиться народными методами
Удалить рыхлый зубной камень можно и при помощи более доступных средств, которые всегда под рукой.
Лечение зубного камня редькой
Редьку измельчить, добавить в неё 1 ч. л. лимонного сока. Полученное средство разжёвывать в течение нескольких минут, после чего выплюнуть, прополоскать рот кипячёной водой. Процедуру проводят на ночь, после вечерней гигиены полости рта. Сок лимона позволяет размягчить налёт, а кусочки редьки оказывают химическое и абразивное действие.
Чистка содой дома
Немного соды разбавляют водой до получения консистенции зубной пасты. Пасту наносят на зубы, оставляют на 2 – 3 минуты, прополаскивают рот водой.
Фото 3. Соду можно наносить на зубы мягкой щеткой, чтобы равномерно распределить состав. Но не стоит при этом активно счищать налёт щетиной, так как в этом случае будет повреждаться эмаль зубов.
Можно ли очистить зубы перекисью водорода?
Необходимо взять 1 ч. л. перекиси, растворить её в стакане кипячёной тёплой воды. Полученным эликсиром полоскать рот в течение 2 минут, после чего полость рта дополнительно поласкают обычной питьевой водой.
Как снять отложения мёдом?
Считается, что использование мёда позволяет размягчить зубной камень.
Важно! Специалисты скептически относятся к этому способу лечения, считая его малоэффективным. Стоматологи утверждают, что большую пользу для полости рта принесёт включение продукта в свой ежедневный рацион, чем попытка растворить им зубной налёт.
Для проведения процедуры необходимо 1 ст. л. мёда развести в 0.5 стакана кипячёной воды, полученным средством на протяжении нескольких минут полоскать рот. Проводить процедуру лучше всего на ночь.
Кора грецкого ореха как один из методов
Для приготовления средства используют кору грецкого ореха и молодые ветки растения.
Их тщательно промывают, высушивают, измельчают, 100 гр. полученного сырья заливают стаканом кипятка, после чего нагревают 15 минут на водяной бане.
В этом отваре смачивают зубную щётку, которой затем чистят зубы.
Другие способы почистить эмаль
Чтобы сделать твёрдый налёт более рыхлым, можно использовать различные народные средства. Прежде всего, это сок цитрусовых. В его состав входит большое количество фруктовых кислот, растворяющих отложения на поверхности зубной эмали. Применять средство довольно просто. Для этого необходимо разжевать кусочек фрукта, либо обработать зубы его цедрой (в этом случае поверхность очищается ещё и механическим способом).
Отвары трав также могут быть полезны, например, отвар полевого хвоща. Для его приготовления 2 ст. л. сырья заливают стаканом кипятка, настаивают. Полученным средством поласкают рот.
Отвар коры дуба способствует размягчению налёта, очищению полости рта, укреплению дёсен. Чтобы приготовить отвар, необходимо взять 2 – 3 ст. л. сырья, залить его 0,5 л кипятка, нагревать на водяной бане. Средством несколько раз в день обрабатывают полость рта.
Очищение протезов
Этапы:
- Приготовление уксусного раствора. Для этого белый уксус в равных пропорциях смешивают с водой.
- Замачивание протеза. В полученном уксусном растворе протезы замачивают, оставляя на ночь.
- После этого необходимо визуально осмотреть конструкцию, и при обнаружении остатков налёта, почистить её щёткой, ополоснуть проточной водой.
Уход за несъёмными протезами предполагает ежедневное очищение конструкции при помощи зубной пасты и щётки, использование ирригатора, который позволит удалить загрязнения из труднодоступных участков.
Внимание! Для очищения протезов каждый раз необходимо готовить новый раствор.
Правила очистки
Процедуре чистки необходимо уделять не менее 3 – 5 минут 2 раза в день. При этом зубная щётка должна двигаться по поверхности зубов сверху вниз, как бы выметая остатки пищи и налёта. А также важно очищать и внутреннюю поверхность зубов, язык, участки, на которых тоже накапливаются бактерии. После чистки необходимо использовать ополаскиватели для полости рта.
Полезное видео
Ознакомьтесь с видео, в котором показаны самые лучшие способы удаления и предотвращения образования твёрдого зубного налёта.
Всегда ли возможно самостоятельно удалить отложения
Самостоятельно лечить можно только свежий зубной камень, которые имеет ещё не очень плотную структуру. Если же на поверхности эмали присутствуют твёрдые, полностью кристаллизовавшиеся тёмные отложения, необходимо обратиться к специалисту. Удалить их в домашних условиях невозможно.
А также похода в стоматологическую клинику требуют ситуации, когда значительно меняется состояние дёсен. Эти изменения нередко свидетельствуют о формировании поддесневых твёрдых отложений, удалить которые может только специалист.
Вопрос-ответ
Как избавиться от зубного камня без стоматолога?
Используйте зубную нить и ирригатор – щётка не проникает в межзубные промежутки, а там скапливается 90 % налёта. Полощите рот после еды – даже обычная вода помогает удалить остатки пищи. Следите за питанием – яблоки и морковь помогают очищать зубы, а кофе, сладости и газировка, наоборот, ускоряют образование налёта.
Что будет, если самостоятельно убрать зубной камень?
Можно ли удалить зубной камень самостоятельно? Избавиться от застарелых зубных отложений в домашних условиях невозможно и может быть опасно для зубов. Народные методы в лучшем случае неэффективны, в худшем – приводят к необратимым последствиям.
Можно ли удалить зубной налет без стоматолога?
Хотя налёт можно удалить с помощью домашней чистки, после того как он затвердеет и превратится в зубной камень, удалить его сможет только стоматолог, например, наши стоматологи из Ноттингема. Другими словами, удалить зубной камень самостоятельно невозможно.
Можно ли пользоваться ультразвуковым скалером дома?
Ультразвуковым стоматологическим скалером для домашнего использования запрещено пользоваться без орошения. В данном случае имеется высокий риск перегрева клыков, моляров, премоляров. Существует большой риск травмирования слизистой.
Советы
СОВЕТ №1
Используйте специальные зубные пасты и ополаскиватели, содержащие компоненты, способствующие удалению зубного камня. Обратите внимание на продукты с содержанием фторида и экстрактов трав, которые могут помочь в борьбе с налетом.
СОВЕТ №2
Регулярно чистите зубы не менее двух раз в день, используя зубную щетку с мягкой щетиной и зубную нить. Это поможет предотвратить накопление зубного камня и поддерживать здоровье десен.
СОВЕТ №3
Попробуйте использовать натуральные средства, такие как сода и лимонный сок, для создания пасты, которая может помочь в удалении налета. Однако будьте осторожны, чтобы не повредить эмаль зубов, и не используйте такие методы слишком часто.
СОВЕТ №4
Не забывайте о регулярных профилактических осмотрах у стоматолога. Даже если вы пытаетесь ухаживать за зубами в домашних условиях, профессиональная чистка зубов поможет удалить зубной камень, который невозможно удалить самостоятельно.







