Глубокий прикус представляет собой группу аномалий смыкания зубных рядов, при которой верхние зубы значительно перекрывают нижние. Заболевание распространенно среди пациентов 3-16 лет. Стоматологи различают два варианта патологии: нейтральный и дистальный глубокий прикус.
Терапия подобной аномалии смыкания челюстей включает: расширение зубных дуг, коррекцию расположения отдельных зубов и исправление глубокого прикуса. Подбор метода лечения врач проводит индивидуально для каждого человека. При этом он учитывает возраст пациента и сопутствующие патологии развития зубной системы. Глубокий прикус зубов подвергается исправлению с помощью съемных или несъемных ортодонтических конструкций. При своевременной терапии врачи достигают полного восстановления функции зубочелюстной системы. Глубокий прикус, лечение которого было несвоевременным, оказывает эстетический дискомфорт и жевательную дисфункцию
Что такое глубокий прикус?
Глубокий прикус зубов характеризируется обширным перекрытием коронковой части нижних зубов верхними и отсутствием контакта между ними. Если межбугорковый контакт сохраняется, то глубокий прикус
По статистике у 20% детей и подростков диагностируется глубокий прикус, лечение которого проводит стоматолог-ортодонт.
Глубокий прикус, симптомы которого проявляются внешними изменениями нижней трети лица и атипичным соотношением зубных рядов, корректируется с помощью съемных и постоянных аппаратов. Глубокий прикус у взрослых устраняется посредством брекетов.
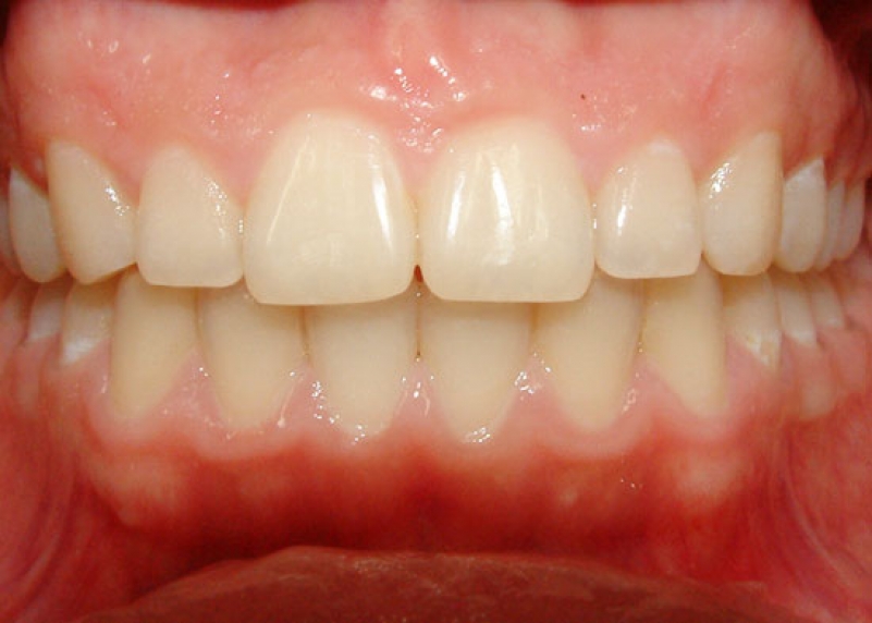
Фото 1. Яркий пример глубокого неправильного прикуса.
Глубокий прикус является одной из распространенных аномалий прикуса, и врачи-ортодонты выделяют несколько его характерных особенностей. Во-первых, при этом типе прикуса верхние резцы значительно перекрывают нижние, что может привести к неправильному распределению жевательной нагрузки. Это, в свою очередь, может вызвать дискомфорт и даже болевые ощущения в области челюстей. Во-вторых, глубокий прикус часто сопровождается изменениями в эстетике лица, что может негативно сказаться на самооценке пациента. Врачи также отмечают, что такая аномалия может привести к преждевременному износу зубов и проблемам с деснами. Поэтому своевременная диагностика и коррекция глубокого прикуса являются важными аспектами стоматологической практики, позволяющими избежать более серьезных последствий в будущем.

Симптомы глубокого прикуса
По клинической картине и характеру взаимодействия зубных рядов специалисты различают два вида патологии смыкания зубов.
Главные симптомы заболевания включают:
- незначительное уменьшение размера подбородка;
- углубление подбородочной складки и сохранение формы подбородка;
- полное перекрытие передними зубами нижних.
У пациентов с глубоким приступом также происходит травматизация слизистой оболочки полости рта. Во время смыкания зубных рядов режущие края нижних резцов повреждают десна верхних зубов с небной стороны. В результате развивается гингивит и стоматит.
Фото 2. Глубокий прикус опасен тем, что может привести к более серьёзным болезням как полости рта, так и организма в целом.
Признаки глубокого дистального прикуса
Клиническая картина проявляется следующими симптомами:
- существенное укорочение нижней части лица;
- углубление надподбородочной складки;
- подбородок может сохранять нормальный размер или быть скошенным;
- во время улыбки у пациента заметна вся поверхность верхних резцов;
- при смыкании челюстей верхние зубы полностью закрывают нижние.
В отдельных случаях чрезмерно развитая верхняя челюсть и ее альвеолярный отросток перекрывают нижние резцы. Тогда режущие края верхних зубов контактируют с переходной складкой в нижней части преддверья ротовой полости.
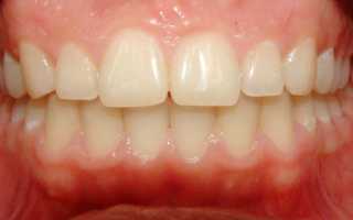
Фото 3. Глубокий прикус искажает природный овал лица, поэтому лечение неправильного прикуса также несет эстетическую пользу.
Глубокий прикус — это состояние, при котором верхние зубы значительно перекрывают нижние. Многие люди отмечают, что такая аномалия может вызывать не только эстетические, но и функциональные проблемы. Например, пациенты часто жалуются на трудности при жевании и повышенную нагрузку на челюстные суставы. Некоторые замечают, что глубокий прикус может приводить к преждевременному износу зубов, а также к головным болям из-за неправильного распределения нагрузки.
Кроме того, многие отмечают, что глубокий прикус влияет на речь, затрудняя произношение некоторых звуков. Важно также учитывать, что такая аномалия может быть наследственной, и в семьях с подобными проблемами чаще встречаются случаи глубокого прикуса. Люди, столкнувшиеся с этой проблемой, часто советуют не откладывать визит к ортодонту, так как своевременное лечение может значительно улучшить качество жизни и предотвратить дальнейшие осложнения.

Варианты расположения верхних передних зубов при глубоком прикусе
Дефект фронтальных зубов верхней челюсти при глубоком прикусе бывает в следующих вариантах:
- коронки наклонены в сторону преддверья рта (орально), в зубной дуге отсутствует место на первые премоляры;
- оральное расположение резцов и недостаток места для клыков;
- центральные зубы и клыки находятся в пределах зубных рядов, а вторые резцы выдвинуты вперед;
- боковые зубы и клыки в норме, только центральные резцы наклонены вестибулярно и развернуты вдоль собственной оси.
Причины возникновения
На развитие глубокого прикуса влияют следующие факторы:
- Предрасположенность к генетическим мутациям. Особенности строения зубочелюстного аппарата и некоторые деформации с лицевыми костями передаются от родителей к ребенку.
- Беременность, которая сопровождается токсикозами, механическими травмами, гипоксией и внутриутробной инфекцией.
- Наличие у ребенка вредных привычек в виде сосания пальца, пустышки и закусывания губы.
- Неправильное расположение молочных и постоянных зубов;
- Острые травмы челюстно-лицевой области.
Фото 4. Кариозные поражения зубов и их ранняя потеря могут стать причиной развития глубокого прикуса.
Диагностика патологии
Определение у пациента глубокого прикуса проводит врач-ортодонт на основании изучения жалоб больного, внешнего осмотра и инструментального обследования ротовой полости.
Осматривая пациента, врач просит его открыть рот и следит, делает ли человек это зигзагообразными движениями. Если да, значит, мышечное волоконце изменило позицию, чтобы скомпенсировать какое-то нарушение. Наша задача — снять напряжение мышц и провести диагностику. Сначала делаем рентген суставов, записываем с помощью аппаратуры движения челюсти, а потом индивидуально подбираем лечение. Кроме ортодонта пациентом занимаются хирурги, ортопеды, гнатологи (специалисты, ответственные за зубочелюстной аппарат в целом).
Более тщательная диагностика включает следующие мероприятия:
- Изучение диагностических моделей зубочелюстного аппарата. Для этого врач снимает слепки зубных рядов с помощью альгинатной массы. Затем в зуботехнической лаборатории отливают макет зубочелюстной системы.
- Измерение пропорций и соотношений лицевого скелета по фотографиям, сделанным в анфас и профиль.
- Рентгенологическое исследование. В подобных случаях ортопантомограмма или обзорная рентгенография верхней и нижней челюсти показывает расположение и соотношение всех групп зубов. При необходимости стоматолог назначает прицельное рентгенологическое исследование фронтальных зубов.
Фото 5. Опытный врач-стоматолог точно определит наличие глубокого прикуса.
Используемые методы лечения
Терапия заболевания осуществляется с учетом вида аномалии соотношения челюстей и возраста пациента. Лечебный план нейтрального глубокого прикуса включает:
- нивелирование (выравнивание) прикуса – вертикальный вариант;
- расширение зубных дуг (недостаточное развитие костей);
- устранение атипичного наклона коронок с помощью ортодонтических конструкций.
Фото 6. Установка брекетов является самым эффективным методом борьбы с глубоким прикусом.
Для решения этих вопросов врачи применяют следующие методы:
| Метод | Описание |
| Миотерапия | Суть заключается в проведении ребенком специальных упражнений: выдвижение нижнечелюстных зубов вперед до полного соприкасания с верхними резцами, задержка челюсти в этой стадии, периодическое постукивание режущими краями верхней и нижней зубов. |
| Накусочные пластинки | Накусочные пластинки с фиксированием с помощью кламмеров Адамса (металлическая дуга, охватывающая зуб со всех сторон). Данный вид лечения допускается у пациентов старше 2,5-3 лет. Применение накусочной плоскости позволяет повысить высоту прикуса до 1,5 см. |
| Съемные аппараты с накусочной поверхностью | Съемные аппараты с накусочной поверхностью, которые могут дополнительно снабжаться резцовым винтом для расширения челюсти, губной дугой и пружиной Коффина. Коррекция аппарата проводится 1-2 раза в месяц и включает послойное увеличение толщины накусочной площадки. В результате специалист добивается разобщения жевательных зубов, что способствует вертикальному выравниванию фронтальных зубов. |
| Брекеты | Установление несъёмной ортодонтической конструкции рекомендуется для пациентов старше 14-16 лет, когда закончилось формирование челюстей. Суть метода заключается фиксации на передних поверхностях зубов металлической дуги. Периодическое регулирование натяжения аппарата позволяет смещать целые группы зубов. Брекеты – это относительно дешевый и эффективный способ исправления атипичного соотношения зубных рядов. Аппарат может быть полностью незаметен при использовании керамических и сапфировых материалов для его изготовления. |
В таблице представлены используемые методы лечения глубокого прикуса и их описания.
После достижения позитивного результата больному устанавливают специальный ретенционный аппарат для стабилизации зубов.
Фото 7. Для коррекции глубокого прикуса прибегают к комплексу специальных упражнений – миотерапии или миогимнастике.
Лечение дистального глубокого прикуса более сложное и включает следующие направления:
- расширение размера альвеолярных частей челюстей;
- коррекция положения передних верхних зубов;
- устранение атипичного прикуса;
- выравнивание положения нижней челюсти, которое показано при сочетании глубокого прикуса и прогении.
Фото 8. Методы современной стоматологии эффективно справляются с глубоким прикусом.
Используемые методы исправляют аномалии прикуса в течение 12-24 месяцев.
Последствия глубокого прикуса
Осложнения болезни характеризируются:
- затруднением жевания, эффективность которого снижается на 20-25%;
- чрезмерной нагрузкой на переднюю группу зубов, что вызывает повышенную их стираемость;
- незначительными дефектами речи, выраженность которых зависит от формы аномалии прикуса;
- травматическим смыканием зубов и как результат потеря зубов;
- неудовлетворительный внешний вид человека из-за укороченной нижней трети лица.
Фото 9. Отказ от лечения глубокого прикуса чреват возникновением неприятного хруста и щелчков челюсти.
В отдаленной перспективе повышенная стертость зубных поверхностей при глубоком прикусе провоцирует резкое изменение тонуса жевательных мышц. В результате пациент жалуется на хруст и щёлканье в области височно-нижнечелюстного сустава и приступы головной боли.
Меры профилактики глубокого прикуса
Профилактические мероприятия, предотвращающие образование глубокого прикуса, включают:
- постоянное наблюдение за грудным ребенком при его вскармливании;
- контролирование правильного положения тела младенца во время сна;
- борьба со вредными привычками в виде сосания пальца, воротника, игрушек и других предметов;
- постепенное формирование правильной осанки;
- своевременное устранение очагов хронической инфекции в полости рта, что может закончиться преждевременной потерей зуба;
- полноценное и сбалансированное питание, которое насыщает организм витаминами и микроэлементами.
Профилактика аномалии прикуса также заключается в регулярном стоматологическом осмотре ребенка. Частота обследования составляет 1-2 раза в год.
Фото 10. Для профилактики возникновения неправильного прикуса стоит отказаться от использования сосок-пустышек.
Видео: Глубокий прикус. Этапы лечения

Вопрос-ответ
Как отличить глубокий прикус?
Признаки глубокого прикуса: быстрая истираемость эмали на внутренней стороне передних резцов, воспаление слизистых ротовой полости, «птичий» профиль, когда подбородок скошен назад, и нижняя часть лица выглядит меньше, десневая улыбка, при которой почти полностью обнажается десна над верхними зубами, а нижние не видны.
В чем разница между глубоким прикусом и перекусом?
Что такое перекус? Глубокий прикус, также известный как перекус, — это нарушение прикуса, при котором верхние зубы чрезмерно перекрывают нижние. Однако не следует путать глубокий прикус с небольшим частичным перекрытием нижних зубов, что можно считать нормой.
Чем отличаются глубокий и дистальный прикус?
Важно уметь отличать дистальный прикус от глубокого. Специфика обеих аномалий похожа – в обоих случаях верхние зубы выдаются вперед. Но в случае с глубоким прикусом верхние зубы закрывают нижние на треть и более. При дистальном прикусе такого сильного перекрытия не происходит.
Как выглядят люди с глубоким прикусом?
Как меняется лицо при глубоком прикусе: нижняя часть слишком узкая и слабо развита. Верхняя губа нависает над нижней, а рот постоянно приоткрыт. Подбородок немного скошен. При улыбке видны все зубы верхнего фронтального ряда до шейки.
Советы
СОВЕТ №1
Обратитесь к стоматологу для диагностики. Если вы подозреваете, что у вас глубокий прикус, важно получить профессиональную оценку. Стоматолог сможет определить степень проблемы и предложить подходящее лечение.
СОВЕТ №2
Следите за состоянием зубов и десен. Глубокий прикус может привести к неправильному распределению нагрузки на зубы, что может вызвать их износ или заболевания десен. Регулярные осмотры помогут выявить проблемы на ранней стадии.
СОВЕТ №3
Изучите варианты ортодонтического лечения. В зависимости от степени глубокого прикуса, вам могут предложить различные методы коррекции, такие как брекеты или капы. Узнайте о возможностях и выберите наиболее подходящий вариант для вас.
СОВЕТ №4
Обратите внимание на привычки, которые могут усугубить проблему. Например, привычка прикусывать губы или ногти может негативно сказаться на состоянии прикуса. Постарайтесь избегать таких действий и следите за своим поведением.









