Одноэтапная имплантация — процедура, которая позволяет восстановить внешний вид зубного ряда и жевательные функции за один день.
Особенность одномоментной имплантации в том, что временную коронку в некоторых случаях делают в тот же день, что и имплантат. Операцию проводят сразу после удаления дефектного зуба.
Одномоментная (моментальная, однофазная) имплантация зубов — операция, которая идёт на смену классическому приживлению.
Как проходит однофазное протезирование
Традиционно в десну внедряют имплантат и зашивают её. Ко второму этапу приступают после того, как протез приживётся в полости рта. На это уходит несколько месяцев.
Затем десну разрезают, в имплантат ввинчивают формирователь десны — временную конструкцию, формирующую правильный контур и защищающую мягкие ткани от инфекций либо абатмент — постоянную структуру, которая служит опорой для коронки. И только после этого устанавливают коронку.
Справка! Имплантацией называется способ протезирования зубов, при котором на место корня утраченного зуба в кость вживляется винт (протез). На него устанавливается коронка.
Моментальное протезирование, или одноэтапная имплантация зубов, вызывает все больше интереса как у пациентов, так и у стоматологов. Врачи отмечают, что этот метод позволяет значительно сократить время лечения, так как установка импланта и протезирование происходят в один визит. Однако специалисты подчеркивают, что не всем пациентам подходит такая процедура. Важно учитывать состояние костной ткани и общее здоровье пациента. Врачи рекомендуют предварительное обследование и консультацию, чтобы исключить возможные осложнения. При правильном подходе моментальное протезирование может стать отличным решением для восстановления улыбки и улучшения качества жизни. Тем не менее, пациенты должны быть готовы к соблюдению рекомендаций стоматолога для достижения наилучших результатов.

Этапы
- удаление зуба, не подлежащего лечению;
 - вживление имлантата;
 - установка временной коронки;
 - установка постоянной коронки.
 
Методы одноэтапной имплантации
Существует три разновидности одномоментной имплантации. Объединяет их то, что имплантат вживляют сразу после удаления зуба. Далее, возможны три сценария:
- Десну ушивают, дожидаются, пока она заживёт, и только затем, как и при классической имплантации, выполняют остальные процедуры.
 - Для придания десне нужной формы сразу после установки стержня на него крепят формирователь десны: металлический цилиндр, который ввинчивается в имплантат, и спустя некоторое время устанавливают коронку.
 - И, наконец, наиболее привлекательный вариант — временную коронку ставят на только что внедрённый имплантат, и пациент, пришедший на приём с непоправимо разрушенным зубом или вовсе без него, выходит из кабинета стоматолога с восстановленным зубом.
 
Внимание! Как правило, в первый день устанавливается временная коронка, которую спустя несколько месяцев заменяют на постоянную. Но сразу после операции человек сможет принимать пищу, которая раньше была не по зубам.
Моментальное протезирование, или одноэтапная имплантация зубов, становится все более популярным среди пациентов, стремящихся восстановить улыбку в кратчайшие сроки. Люди отмечают, что этот метод позволяет избежать длительного ожидания, так как зубы устанавливаются сразу после удаления поврежденных. Многие пациенты подчеркивают, что процедура проходит быстро и с минимальным дискомфортом, что делает ее привлекательной для тех, кто ценит свое время.
Однако важно помнить, что не всем подходит данный метод. Специалисты рекомендуют предварительно пройти полное обследование, чтобы оценить состояние челюсти и десен. Некоторые пациенты выражают опасения по поводу долговечности таких имплантов, но большинство стоматологов уверяют, что при правильном уходе они могут служить долго. В целом, моментальное протезирование открывает новые горизонты в стоматологии, позволяя людям возвращать уверенность в себе и радость общения.

Плюсы и минусы установки моментальных имплантов
Такая операция по эффективности не уступает классической, и обладает рядом преимуществ.
Преимущества
- быстрота и удобство — повторной операции не требуется;
 - высокая устойчивость имплантата;
 - исключён воспалительный процесс на месте протезирования;
 - незначительные потери костной ткани и быстрая регенерация.
 

Недостатки
- день, проведённый в клинике, может стать стрессом для организма;
 - необходимость оплатить полную стоимость имплантации за один раз.
 
Протезирование всех зубов за один день
Даже при потере всех зубов есть возможность восстановить их за один день. Однако предварительно придётся несколько раз посетить кабинет врача для консультации, диагностики и, возможно, лечения заболеваний полости рта, при которых имплантация — как классическая, так и одномоментная — противопоказана.
Фото 1. Пример восстановления нижнего зубного ряда путем установки одиночного импланта и зубного моста.
Далее, создаётся трёхмерная модель зубного ряда, а на её основе — шаблон для имплантата и протеза. Только после этого назначается операция. Пациент приходит в клинику утром, поскольку процедура займёт целый день. Сначала вживляются имплантаты, затем изготавливается слепок. Несъемную конструкцию, созданную на основе слепка, устанавливают ближе к вечеру.
Существует три метода имплантации зубов за один день, которые используются при потере всех зубов или большей их части:
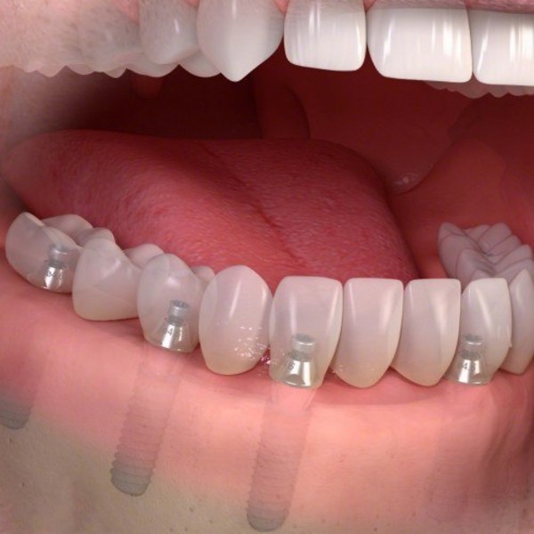
- Технология all-on-4. В верхнюю и в нижнюю челюсть вживляют по 4 имплантата — по 2 спереди и ещё по 2 в боковую область, рядом с лунками удалённых зубов. В имплантаты устанавливают абатменты, на которых фиксируют протез. Этот метод нельзя применять при пародонтите, пародонтозе и потере костной ткани. Операция довольно травматична, после неё возможны осложнения. Это дешёвый способ имплантации всех зубов за один день.
 - Технология all-on-6. Усовершенствованный вариант предыдущего метода. В верхнюю и нижнюю челюсть в этом случае вживляют по 6 имплантатов — по 2 спереди и по 4 сбоку, непосредственно в лунки удалённых зубов. Если в технологии all-on-4 применялись абатменты, то здесь используется односоставная конструкция. Операция не травмирует ткани, риск осложнений минимален. Допускается при средней степени потери кости и воспалительных процессах в дёснах (пародонтоз, пародонтит). Стоит процедура дороже.
 - Технология базальной имплантации. В каждую челюсть устанавливают по 8—12 имплантатов, также в лунки удалённых зубов. Место установки выбирается врачом индивидуально при помощи компьютерных технологий. Этот метод — выход для пациентов, у которых имеются сильные утраты костной ткани. Пародонтоз и пародонтит не являются противопоказаниями. Наиболее дорогая из процедур имплантации всех зубов за 1 день.
 
Фото 2. Технология all-on-6. Вживлены два импланта спереди и по два сбоков с использованием односоставной конструкции.
Как утверждают врачи, покинув клинику, пациент может сразу зайти в кафе и заказать бифштекс. Нагрузка на челюсти восстанавливает циркуляцию крови, возобновляет обменные процессы и регенерирует кости. На полное приживление имплантата уйдёт полгода, после чего временный протез, который прослужит несколько лет, заменяют постоянным, рассчитанным на десятилетия.
Какая имплантация лучше: одномоментная или классическая
Как уже говорилось, одномоментная имплантация более комфортна и менее болезненна для пациента, чем классическая. По эффективности эти две процедуры равнозначны. Если человек готов провести целый день в клинике и заплатить всю сумму за один раз, то моментальная имплантация — оптимальный выбор. Однако при атрофии тканей рекомендуется прибегнуть к классическому приживлению.
Любой вид имплантации категорически противопоказан в следующих случаях:
- заболевания сердечно-сосудистой, нервной и эндокринной систем (в частности, диабет);
 - нарушения свёртываемости крови;
 - онкология;
 - проблемы с иммунной системой;
 - аллергия на обезболивающие средства;
 - алкоголизм, наркомания;
 - болезни костной ткани;
 - психические пороки.
 
Принимая решение об имплантации, обязательно посещают терапевта и других специалистов.
Важно! Прежде чем приступать к лечению, дожидаются окончания периода беременности и грудного вскармливания. Организм не должен быть истощён или находиться в состоянии сильного стресса. Поэтому не желательно вживлять имплантаты, например, сразу после развода или переезда. Если у человека уже установлены имплантаты, обязательно сообщают об этом врачу.
Полезное видео
Посмотрите видео, в котором подробно разобраны одноэтапная и классическая имплантация зубов и дано их сравнение.
Напоследок о важном
Будущее зубного протезирования за моментальной имплантацией. Процедура позволяет быстро, эффективно и относительно безболезненно решить проблему, даже если зубной ряд полностью утрачен. Но выбор всегда остаётся за пациентом.
Вопрос-ответ
Каковы особенности протезирования при одноэтапной методике имплантации?
Это вид несъемного протезирования, при котором после установки имплантов не нужно выжидать продолжительное время, а можно практически сразу установить коронки и вернуться к полноценной жизни. Имплантат внедряют через небольшой прокол в десне, часто – сразу после удаления зуба.
Сколько приживается имплант при одномоментной имплантации?
Обычно имплант приживается за три месяца. Однако возможно, что пациенту потребуется больше времени для приживления импланта. Врачи Дантистофф подберут протокол имплантации конкретно под пациента.
Как долго можно носить временные протезы на имплантах?
Сколько времени нужно носить временную коронку на импланте? Временные коронки используются на период приживления имплантатов. На нижней челюсти процесс остеоинтеграции обычно занимает около 4 месяцев, тогда как на верхней челюсти этот процесс может длиться до 6 месяцев.
Советы
СОВЕТ №1
Перед процедурой моментального протезирования обязательно проконсультируйтесь с опытным стоматологом. Он поможет оценить состояние ваших зубов и десен, а также определит, подходит ли вам одноэтапная имплантация.
СОВЕТ №2
Обратите внимание на выбор клиники и специалиста. Изучите отзывы пациентов, узнайте о квалификации врачей и наличии современного оборудования, чтобы быть уверенными в высоком качестве предоставляемых услуг.
СОВЕТ №3
Подготовьтесь к процедуре заранее. Соблюдайте рекомендации врача по уходу за полостью рта, а также следуйте указаниям по диете и образу жизни, чтобы минимизировать риски и ускорить процесс заживления.
СОВЕТ №4
После имплантации внимательно следите за состоянием зубов и десен. Регулярно посещайте стоматолога для контроля и профилактики возможных осложнений, а также соблюдайте гигиену полости рта.





