Врачи-стоматологи к числу самых сложно поддающихся исправлению зубочелюстных патологий относят мезиальный прикус, или прогению, или антериальный (прогенический) прикус. Искривление относят к III классу смыкания по Энглю и к числу самых непривлекательных отклонений развития. Массивная явно выступающая нижняя челюсть (выступающий подбородок) — мезиальный прикус, признаки (вторичные) которого зависят от типа зубочелюстного искривления. Много столетий людей с такой аномалией сторонились и считали недоразвитыми, слабоумными. Даже сегодня мезиальный прикус, лечение которого уже давно найдено, доставляет немалый дискомфорт человеку.
Но эта окклюзия дает не только эстетический дефект. Она повышает риск развития многих заболеваний у человека с этой патологией. Если своевременно не выполнить исправление мезиального прикуса, он станет причиной парадонтоза, болезней ЖКТ, пародонтита, рассеянного внимания, бессонницы, вызывает головные боли и пр. Неэстетичные внешние данные становятся причиной социальной замкнутости, психологических и эмоциональных проблем. Не пролеченный мезиальный прикус у взрослых со временем искажает геометрию лица. Каковы особенности прогенического прикуса? Как его лечить?
Что такое мезиальный прикус?
Прогения — термин, использующийся специалистами для описания нескольких подобных зубочелюстных патологий. Главная отличительная черта — выступающая вперед массивная нижняя челюсть. Чтобы без последствий исправить мезиальный прикус, операция или профилактика должна проводиться в период формирования (младший детский и подростковый возраст — до 14 лет) костно-мышечного аппарата. Хотя многие врачи считают, что профилактика мезиального прикуса будет результативной только в младенческом возрасте — до 3-5 лет.
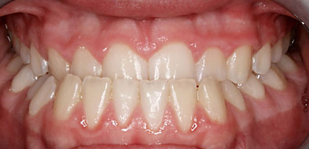
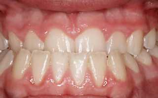
 Фото 1. Пример прогении.
Ортодонты и стоматологи диагностируют три формы патологии:
- Истинная. Наблюдается явное недоразвитие верхнего зубочелюстного ряда. При этом нижняя челюсть оптимально развита. Дефект имеет как внешние явные признаки, так и внешние.
 - Ложная. Дефект внешне может быть незаметен. То есть габариты челюстей зачастую лишь немного не попадают в таблицу норм — фас и профиль пациента эстетичен, поэтому по внешним признакам проблему не видно.
 - Комбинированная. Сочетает в себе признаки обеих форм прогении.
 
| Лицевые | Внутриротовые | 
  | 
  | 
В таблице перечислены основные признаки мезиального прикуса.
Также врачи-стоматологи называют и типы мезиального прикуса — перекрестный, открытый и глубокий.
Мезиальный прикус, характеризующийся смещением верхних зубов вперед относительно нижних, может привести к различным стоматологическим проблемам. Врачи отмечают, что его обнаружение часто происходит на этапе профилактических осмотров, когда пациенту проводится комплексная диагностика. Основные признаки включают неправильное смыкание зубов, дискомфорт при жевании и эстетические недостатки.
Для лечения мезиального прикуса специалисты рекомендуют ортодонтические методы, такие как установка брекетов или кап. Важно, чтобы лечение проводилось под контролем опытного ортодонта, который сможет подобрать индивидуальный план коррекции. Врачи подчеркивают, что раннее обращение за помощью значительно увеличивает шансы на успешное исправление прикуса и предотвращение осложнений в будущем. Регулярные консультации и соблюдение рекомендаций врача играют ключевую роль в процессе лечения.

Симптомы мезиального прикуса
Внешние эстетические симптомы зубочелюстного искривления описаны выше. Помимо массивности и выдвижения нижней челюсти выделяют и другие симптомы:
- «вогнутый» профиль лица;
 - слышны щелчки и хруст (височно-челюстной сустав) при жевании, открывании рта, разговоре и глотании;
 - резцы нижнего зубочелюстного ряда располагаются во время смыкания зубов впереди верхних резцов;
 - боли в суставах и мышцах лица;
 - верхняя губа сильно или слегка западает, расширена;
 - дефекты дикции (больной шепелявит), неразборчивая речь и т.д.;
 - процесс жевания сопровождают дискомфорт и болевые ощущения;
 - проблемы при откусывании пищи.
 
 Фото 2. Хруст челюсти и дискомфорт во время жевания могут быть признаком мезиального прикуса.
Отсутствие квалифицированного лечения мезиального прикуса у взрослых мужчин и женщин приводит не только к тому, что скелет лица изменяется, но и к сложностям при восстановлении зубных единиц (затруднена имплантация, протезирование). Проблемы с зубами начинаются из-за повышенной нагрузки, которую испытывает нижний зубочелюстной ряд. Патологическое и усиленное истирание эмали верхних зубов, травмирование мягких тканей, ведущих к возникновению гингивита и других болезней ротовой полости. Поэтому лечение мезиального прикуса ортодонты рекомендуют начинать с малых лет.
В большинстве своем люди, которые страдают прогенией, к достижению зрелого возраста привыкают к неудобствам, вызванным изменениями строения челюстного аппарата, и почти перестают их замечать. Однако стоит все же задуматься о посещении специалиста-ортодонта.
 Фото 3. «Вогнутый» профиль лица – частый спутник мезиального прикуса.
Причины возникновения антериального прикуса
Истинная прогения в 47% случаев — врожденная проблема (наследственное заболевание). Она может развиться в результате тяжелого течения беременности или сложных (проблемы с прохождением плода по родовым каналам) родов. Диагностируется истинная форма патологии прикуса в первые месяцы-годы жизни ребенка. Постановка диагноза не вызывает у специалиста затруднений.
Но при этой зубочелюстной патологии стоит говорить не только о наследственности, ведь патология может быть и приобретенная. Причин развития мезиального прикуса множество:
- болезни верхнего зубочелюстного ряда;
 - слишком ранняя или поздняя смена молочных единиц на постоянные зубы (в том числе и при потере зубов в результате травмы);
 - вредные привычки в детстве и подростковом возрасте: сосание пальцев, длительное сосание пустышки и пр.;
 - некорректное положение малыша во время ночного и дневного отдыха, сидения за столом (например, подпирание подбородка кулаком);
 - травма черепа (включая родовую);
 - короткая уздечка языка;
 - рахит и другие недуги, связанные с развитием и ростом костной ткани;
 - искусственное вскармливание малыша;
 - заболевания ЛОР (сильное искривление перегородки носа и др.);
 - недоразвитие зубочелюстного ряда и пр.
 
Причиной может стать и специфический гормон, который влияет на правильное формирование зубочелюстного ряда. При его повышенном синтезе может наблюдаться сдерживание роста челюсти.
 Фото 4. Сосание пальца – привычка, которая может стать причиной возникновения мезиального прикуса.
Мезиальный прикус — это состояние, при котором верхние зубы располагаются слишком впереди по отношению к нижним. Многие люди не осознают, что у них есть эта проблема, пока не заметят изменения в прикусе или не почувствуют дискомфорт. Часто мезиальный прикус проявляется в виде неправильного смыкания зубов, трудностей при жевании и даже болей в челюсти.
Чтобы обнаружить мезиальный прикус, стоит обратить внимание на симметрию лица и линии прикуса. Если верхние зубы перекрывают нижние более чем на одну треть, это может быть признаком проблемы. Визит к стоматологу или ортодонту поможет точно диагностировать состояние и предложить варианты лечения.
Лечение может включать использование брекетов, кап или других ортодонтических аппаратов, которые помогут исправить положение зубов. Важно не откладывать визит к специалисту, так как запущенные случаи могут привести к более серьезным проблемам с зубами и деснами. Правильное лечение мезиального прикуса не только улучшает эстетику улыбки, но и способствует здоровью всей челюстно-лицевой системы.

Особенности диагностики патологии
В первую очередь ортодон или стоматолог проводит осмотр в фас и профиль пациента. При истинной форме окклюзии у взрослых этого бывает достаточно. Если речь идет о ложной или комбинированной форме искривления, а также об осмотре ребенка до 14-16 лет, тогда для подтверждения наличия мезиального прикуса и назначения лечения врач проводит ряд дополнительных исследований:
- взятие антропометрических данных;
 - оценка степени окклюзии — смещение оценивается при помощи прикусных валиков;
 - взятие функциональной пробы;
 - рентгенография, ортопантомография и прочие исследования.
 
 Фото 5. Работа с логопедом – обязательный этап в диагностике мезиального прикуса.
Пациенту могут назначить осмотр у ряда специалистов — логопед, ЛОР и т.д. Обязательно проводятся работа с жевательным аппаратом — снятие электромиографии лицевых мышц (жевательные, височные). Только после проведения всех перечисленных анализов и тестов врач ставит диагноз.
Дополнительно проводят рентгенографию зубов и челюстей, с помощью обзорного снимка врач может оценить состояние костных структур и взаимное расположение челюстей, зубных единиц. В настоящее время широко используется компьютерная томография для оценки состояния зубочелюстной системы. С помощью данных мероприятий удается провести полную диагностику прикуса, в результате чего возможно выбрать наиболее эффективную схему коррекции и лечения.
Методы лечения прогении у взрослых
Эффективной будет та терапия исправления мезиального прикуса, которая разработана с учетом возраста пациента и его индивидуальных антропометрических данных. Процедура лечения взрослых пациентов намного продолжительнее и сложнее, поскольку их скелет лица и жевательный аппарат уже сформировались. Изменения внести будет проблематично, поэтому в 7 из 10 случаев требуется хирургическое вмешательство — быстрый и всегда положительный результат.
 Фото 6. Хирургическое лечение мезиального прикуса требует тщательной подготовки.
Если пациенту для устранения мезиального прикуса назначают операцию, то врач проводит дополнительные тесты. Современные клиники, специализирующиеся на челюстно-лицевой хирургии, проводят предварительную 3D пластику, выполняют замеры и тесты. Это позволяет избежать неблагоприятных последствий. После пластики пациенту предстоит длительный (от 1 месяца до 2 месяцев) восстановительный период.
Операция не является гарантом у взрослых пациентов, что исправленная ротовая щель снова не деформируется. Рецидивы — довольно частое явление. Чтобы их избежать, ортодонты назначают специальные ортопедические устройства. Если человеку с зубочелюстной патологией нельзя проводить операцию или он против хирургического вмешательства, тогда врач назначает ношение брекет-систем или каппы. Результат при таком методе лечения мезиального прикуса может быть незначительным, а сама процедура исправления затянется на годы — в среднем от 3,5 до 4,5 лет.
 Фото 7. Использование брекетов – один из наиболее эффективных методов лечения мезиального прикуса.
Методы лечения прогении у детей
Легко и быстро зубочелюстная окклюзия исправляется у детей до 10-12 лет. До этого возраста скелет, включая челюстную систему, еще формируется, а потому хорошо поддается коррекции. Чем раньше начать лечение, тем безопаснее и эффективнее будет процесс. При постановке ребенку диагноза мезиальный прикус врачом назначается:
- Миогимнастика. Эффективна только с детьми в возрасте от 3 до 4-5 лет. Суть гимнастики — стимуляция правильного развития зубочелюстных рядов. Ребенок выполняет 10 минутные несложные упражнения 2-3 раза в день.
 - Ношение капп, трейнеров и пластин. Каждому ребенку индивидуально изготавливают приспособление для коррекции. Их надевают на 1,5-2,5 года. Процедура безболезненная, но требует более тщательного ухода за полостью рта и зубами. А также психологической поддержки, поскольку металлические устройства на зубах 8 детям из 10 доставляют эмоционально-психологический дискомфорт. В последние годы ортодонты прибегают к использованию прозрачных материалов для производства брекет-систем и пластин для коррекции прикуса.
 - Массаж. Как и гимнастика, массаж эффективен лишь в раннем возрасте или при незначительной окклюзии.
 - Пластика уздечки хирургическим путем. Рекомендована при сильных отклонениях и в старшем возрасте — после 12 лет.
 - Пластинки на челюсть — вестибулярные изделия, помогающие малышу или подростку избавиться от вредных (сосание пальца, игрушек, языка и т.д.) привычек.
 
 Фото 8. Съемные аппараты для коррекции прикуса.
У детей до 5 лет с мезиальным прикусом ортодонтическое лечение совмещают с походами к логопеду. Так малыш не будет отставать в речевом развитии и не замкнется в себе. Врачи будут использовать комплексный подход и все доступные неинвазивные способы исправления зубочелюстной патологии. И только убедившись в том, что они бессильны, назначат хирургическое вмешательство. Операцию ребенку до 12-14 лет делают в крайних случаях.
 Фото 9. Периодические визиты к стоматологу с детства станут основой здоровья зубов.
Профилактика заболевания
Проводя профилактику мезиального прикуса, можно избежать развития окклюзии у ребенка или (и) снизить степень ее внешних проявлений при генетической расположенности, родовой травме. Врачи рекомендуют с первых лет жизни малыша придерживать в его воспитании следующих правил:
- своевременное лечение и профилактика ЛОР заболеваний;
 - контроль положения тела ребенка во время отдыха и игры;
 - проверка развития челюстно-лицевого аппарата;
 - коррекция осанки и развития скелета;
 - грудное вскармливание ребенка;
 - отучение от вредных привычек и соски;
 - контроль смены молочных единиц на постоянные.
 
Для профилактики мезиального прикуса разработано логопедами и ортодонтами немало упражнений. Их регулярное выполнение стимулирует корректное развитие челюстно-лицевого аппарата ребенка. Главное помнить, что этот вид окклюзии эффективно поддается лечению и профилактике.
 Фото 10. Правильная процедура кормления благоприятно влияет на формирование прикуса.
Видео: Лечение мезиального прикуса. Лицевая маска.

Вопрос-ответ
Можно ли вылечить мезиальный прикус?
Не волнуйтесь: мезиальный прикус возможно вылечить не только у детей — во взрослом возрасте это тоже возможно. Способ лечения мезиального прикуса зависит от двух факторов: возраста пациента и степени тяжести проблемы.
Можно ли исправить мезиальный прикус без брекетов?
Исправить прикус у взрослых сегодня можно не только брекетами, но и более эстетичной и удобной ортодонтической аппаратурой. Альтернативой брекетам у взрослых являются элайнеры – прозрачные капы, которые выравнивают зубы и корректируют прикус.
Как исправить сильный мезиальный прикус?
Мезиальный прикус — это одна из самых сильных и заметных челюстных патологий. Подобный характер нарушения прикуса характеризуется неправильным соотношением зубных рядов при полностью сомкнутых губах. Отличительной особенностью проблемы мезиального прикуса является выступающая вперед нижняя челюсть.
Советы
СОВЕТ №1
Обратите внимание на симптомы: если вы замечаете, что ваши зубы не смыкаются правильно, или у вас возникают трудности с жеванием, это может быть признаком мезиального прикуса. Регулярно проверяйте свое состояние и не игнорируйте дискомфорт.
СОВЕТ №2
Посетите ортодонта: если у вас есть подозрения на мезиальный прикус, запишитесь на консультацию к специалисту. Ортодонт сможет провести необходимые обследования и предложить оптимальные варианты лечения.
СОВЕТ №3
Следите за гигиеной полости рта: при мезиальном прикусе может увеличиваться риск кариеса и заболеваний десен. Убедитесь, что вы чистите зубы дважды в день и используете зубную нить для поддержания здоровья зубов и десен.
СОВЕТ №4
Изучите варианты лечения: существуют различные методы коррекции мезиального прикуса, включая брекеты, капы и хирургическое вмешательство. Обсудите с вашим ортодонтом все доступные варианты и выберите тот, который подходит именно вам.









