Пародонтоз (на латыни Alveolysis, код по МКБ-10 — К05.4) — серьёзное стоматологическое заболевание, которое диагностируется всего в 8% обращений.
Пародонтозом называют последнюю стадию воспаления дёсен, и обнаруживается она, как правило, у пожилых людей.
Почему это происходит, до сих пор непонятно: врачи называют несколько причин развития пародонтоза (наследственность, проблемы с ЖКТ, сахарный диабет), но к единому мнению так и не пришли.
Пародонтоза и пародонтита: что это такое, отличия
Люди, далёкие от медицины, и, к сожалению, новоиспечённые врачи часто путают между собой два совершенно разных диагноза. Объединяет их только то, что оба заболевания связаны с воспалением тканей, удерживающих зуб в кости.
Отличия:
- Если пародонтоз — диагноз не утешающий, и встречается всего в нескольких процентах случаев, то пародонтитом страдают около 95% взрослого населения.
 - Пародонтит развивается стремительно и часто беспокоит человека, в то время как второе заболевание может прогрессировать долгие годы и не выдавать себя явными симптомами.
 - Причины пародонтита известны и их легко определить, в то время как этиология пародонтоза до конца не выявлена.
 - Пародонтоз всегда поражает все зубы обеих челюстей, а при пародонтите может пострадать как один зуб, так и несколько или все.
 - Кровоточивость дёсен при чистке, подвижность зубов на ранних стадиях, наличие глубоких патологических карманов, отёк десны и неприятный запах наблюдаются только при пародонтите. Для пародонтоза эти симптомы не характерны или проявляются очень редко.
 
Несмотря на значительные отличия, заболевания имеют одно главное сходство: они относятся к заболеваниям пародонта. Однако пародонтит — воспалительное заболевание, а пародонтоз — дистрофическое. Самое неприятное, что иногда они могут существовать единовременно. В этом случае диагностика и лечение особенно затруднены.
Пародонтоз — это заболевание, которое поражает ткани, окружающие зубы, и может привести к их потере. Врачи подчеркивают, что игнорирование симптомов, таких как кровоточивость десен и неприятный запах изо рта, может иметь серьезные последствия. Пародонтоз не только влияет на здоровье полости рта, но и может быть связан с другими системными заболеваниями, такими как диабет и сердечно-сосудистые заболевания. Специалисты настоятельно рекомендуют не откладывать визит к стоматологу при первых признаках проблемы. Раннее вмешательство позволяет предотвратить прогрессирование заболевания и сохранить зубы. Профилактика и регулярные осмотры — ключевые факторы для поддержания здоровья десен и зубов.

Последствия пародонтоза
Если пародонтоз не лечить, происходят все более опасные и неприятные изменения в полости рта, которые со временем могут перейти в другие органы и ткани организма. Изначально страдают дёсны и приходят в такое состояние, при котором шейки зубов оказываются оголёнными. Грубо говоря, дёсны просто «исчезают». После этого зубы и корни оказываются уязвимыми для бактерий, из-за чего и происходят осложнения.
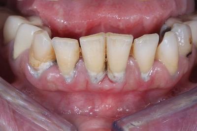
Фото 1. Пародонтоз на запущенной стадии. Десна сильно поражены, истончены, корни зубов оголены.
Пародонтоз прогрессирует до такой стадии, когда диагноз уже звучит как «периодонтит». Ткани, в которых «сидят» зубы, разрушаются, возникает остеомиелит челюсти. Воспаляются подчелюстные и шейные лимфоузлы.
Внимание! Остеомиелит может выйти за пределы челюсти: начинается гнойно-воспалительный процесс костей, костного мозга, окружающих мягких тканей.
Ещё одно последствие отсутствия лечения — разрушение дёсен. Зубы начинают выпадать. Человек не может нормально питаться — ему нечем жевать пищу. Это приводит к нарушению работы желудочно-кишечного тракта.
Да и перспектива остаться без зубов сама по себе непривлекательна. Тотальное разрушение челюсти делает невозможным даже протезирование и установку имплантов.
Группы риска
Есть несколько категорий людей, которые чаще других подвержены пародонтозу.
Пародонтоз — это заболевание десен, которое может привести к серьезным проблемам с зубами и общим состоянием здоровья. Многие люди не придают значения первым симптомам, таким как кровоточивость десен или неприятный запах изо рта, однако игнорирование этих признаков может иметь серьезные последствия. Врачи предупреждают, что пародонтоз не только угрожает зубам, но и может стать причиной сердечно-сосудистых заболеваний, диабета и других хронических недугов. Люди, столкнувшиеся с этой проблемой, часто делятся своим опытом, подчеркивая важность ранней диагностики и регулярных визитов к стоматологу. Чем раньше начать лечение, тем выше шансы сохранить здоровье десен и зубов. Не стоит откладывать визит к специалисту — здоровье полости рта напрямую влияет на общее самочувствие.

Курение
Пародонтоз не возникает ниоткуда, этому всегда предшествует какой-то фактор. Изначально на зубах образуется мягкий налёт, а затем — зубной камень.
Его невозможно заметить невооружённым глазом, для этого требуется стоматологическая диагностика. После этого врач убирает его с помощью ультразвуковой или механической чистки зубов или других методов.
У курильщиков зубной камень появляется в разы чаще и быстрее. Может пройти менее полугода до того момента, как зубы «облепит» твёрдый налёт. Людям с этой вредной привычкой рекомендуется делать профессиональную чистку зубов не реже, чем раз в 6 месяцев. Те, кто этим пренебрегает, а их большинство, находятся в группе риска заболевания пародонтозом. Курение увеличивает вероятность воспалительных процессов дёсен на 30%.
Диабет
Высокий уровень сахара в крови увеличивает скорость размножения бактерий. У диабетиков 1 и 2 типа есть предрасположенность к воспалению дёсен, особенно в том случае, если не соблюдается достаточная гигиена полости рта.
У диабетиков, как известно, высокая концентрация глюкозы в жидкости десны. Эта среда является благоприятной для размножения бактерий, отчего зубной камень образуется быстрее.
При этом покровная ткань дёсен при диабете хорошо сообщается с более глубокими слоями тканей, и инфекция проникает не только быстро, но и глубоко.
Микрофлора ротовой полости диабетиков более подвержена атаке и размножению бактерий. Так, у больных сахарным диабетом в 85,9% случаев в слюне обнаруживается зеленящий стрептококк, почти в 19% — грибы рода Candida.
Интересно не только то, что частота заболеваний пародонта у диабетиков достигает 51—98%, но и то, что сахарный диабет иногда впервые диагностирует стоматолог, а не эндокринолог.

Ненормальный гормональный фон
Изменения гормонального фона влияют на чувствительность дёсен к разрушающим факторам. К примеру, тестостерон отвечает за усвоение кальция, а кальций — основа здоровых зубов. Гормональные сбои очень часто провоцируют развитие заболеваний костей — пародонтоза в том числе.
Травмы дёсен и челюсти
Вывихи, ушибы, переломы челюсти, ожоги дёсен и другие травмы увеличивают шансы заработать пародонтоз, особенно если лечение было осуществлено не вовремя или некачественно.
Фото 2. Травма десны с кровотечением. Подобные повреждения могут стать причиной пародонтоза.
Один из факторов развития пародонтоза — плохое кровоснабжение и недостаточное питание дёсен. Оба эти процесса могут быть приостановлены или затруднены при травмах дёсен и челюсти, поэтому есть риск появление гингивита, прогрессирующего со временем до пародонтоза.
Особенности протекания болезни у беременных
Высокий риск появления пародонтоза у беременных связан, конечно, с гормональной перестройкой организма. Ухудшается эластичность дёсен, ослабляются соединительные ткани, бактерии увеличивают активность.
К особенностям протекания пародонтоза у беременных относят:
- бледность дёсен;
 - зубы визуально кажутся длиннее из-за разрушения десны;
 - кровоточивости нет;
 - зубы начинают расшатываться;
 - возможно нарушение тканей зуба (стертость, эрозия эмали и др.).
 
Сложность лечения десен и зубов у беременных
Главная сложность лечения заключается в том, что не все методы диагностики и терапии возможны при беременности. К примеру, невозможно сделать рентген челюсти.
Анестезия тоже опасна при беременности. Обычно врач-стоматолог рискует, соглашаясь на обезболивание при лечении. Этот вопрос обсуждается с пациенткой, по необходимости — коллегиально с другими врачами. Оцениваются возможные риски для ребёнка и матери и возможная польза.
Во время беременности применяют только щадящие методы лечения (массаж, использование народных средств, профессиональная чистка, медикаментозное лечение). Полноценная терапия возможна только после рождения ребёнка.
Особенности протекания заболевания у детей
Пародонтоз у детей хоть и редко, но все же встречается. Чаще всего он диагностируется в возрасте 8—12 лет.
Полностью вылечить пародонтоз у детей нельзя, оптимальной мерой считается выявление причины заболевания.
Чаще всего ему предшествуют другие патологии, такие как заболевания сердечно-сосудистой, эндокринной, пищеварительной систем, ослабленный иммунитет, сахарный диабет, аллергия, наследственная предрасположенность.
Первым тревожным симптомом пародонтоза у детей называют повышенную чувствительность к горячей и холодной пище. Парадокс в том, что не всегда дети скажут о проблеме родителям из-за боязни стоматологов, а визуально этот симптом никак не определишь.
Затем появляются и другие признаки:
- Зуд дёсен.
 - Неприятный запах изо рта.
 - Ощущение, что зубы стали длиннее.
 - Слизистая рта становится бледнее.
 - Возможное расшатывание зубов.
 - Накапливание отложений (твёрдых и мягких) у основания зубов.
 
При обнаружении пародонтоза у ребёнка, маленького пациента отправляют изначально на консультацию к другим врачам (кардиолог, эндокринолог и пр.). Важно установить первопричину развития болезни.
Стоматологи же стараются по возможности ограничиться массажем дёсен, рекомендуют приём витаминов, лечат зубы от кариеса, проводят профессиональную чистку, назначают физиотерапию.
Как выглядит болезнь на рентгеновском снимке
Первый метод диагностики при подозрении пародонтоза — рентгенографическое исследование. На снимке будет видна прогрессирующая убыль костной ткани, истощение тканей вокруг зуба.
На начальной стадии заболевания рентген покажет равномерное уменьшение высоты стенки между альвеолами без признаков остеопороза и расширения пародонтальной щели.
На средней и тяжёлой стадиях высота межзубных перегородок снижена более, чем на 1/3.
Полезное видео
Посмотрите видео, в котором врач стоматолог рассказывает о том, что такое пародонтоз, его причинах и симптомах.
Что делать при заболевании
При пародонтозе важна своевременная диагностика. Главная трудность этого в том, что появляется и развивается оно бессимптомно (в большинстве случаев).
Некоторые стоматологи уверены, что пародонтоз не поддаётся лечению. Другие же применяют все возможные методы, чтобы обратить процесс.
Хирургическое вмешательство, массаж, приём таблеток или использование мазей — метод лечения зависит от возраста пациента, степени развития заболевания и состояния здоровья больного.
Фото 3. Схема выполнения массажа десен при пародонтозе. Стрелками показано направление движение пальцев.
Чтобы шансов на выздоровление было больше, не забывайте про профилактические визиты к стоматологу раз в полгода (чем чаще, тем лучше). Это увеличивает вероятность своевременной постановки диагноза. Особенно примите это во внимание, если вы относитесь к группам риска, имеете хронические заболевания эндокринной или пищеварительной систем или склонны к вредным привычкам.
И, конечно, свою роль играет гигиена полости рта. Качественная чистка зубов два раза в день, использование зубной нити — залог не только красивой, но и здоровой улыбки.
Самолечение
Этиология

Вопрос-ответ
Насколько опасен пародонтоз?
Патология опасна тем, что на первой стадии протекает без видимых причин воспаления, боли и дискомфорта. Требует пристального внимания врачей, поскольку приводит не только к потере зубов, но и к осложнениям вплоть до интоксикации организма.
Можно ли прожить долгую жизнь с заболеванием пародонта?
Пародонтит не опасен для жизни. Однако он может привести к другим заболеваниям, требующим лечения, особенно если инфекция распространится на другие части тела. Заболевания дёсен неизлечимы. Но их можно контролировать при правильном лечении.
Сколько времени лечится пародонтоз?
Обычно излечение происходит в течение одного-двух месяцев.
Можно ли восстановить кость при пародонтозе?
Помимо лечебных целей восстановление костной ткани могут осуществлять и по косметическим соображениям. Регенерация костной ткани при пародонтозе может осуществляться по одному из следующих вариантов: использование специальных протеинов и материалов, которые вызывают активизацию продуцирования костной ткани.
Советы
СОВЕТ №1
Регулярно посещайте стоматолога для профилактических осмотров. Даже если у вас нет явных симптомов, профессиональная чистка и осмотр помогут выявить ранние признаки пародонтоза и предотвратить его развитие.
СОВЕТ №2
Обратите внимание на свою гигиену полости рта. Чистите зубы не менее двух раз в день и используйте зубную нить или ирригатор для удаления остатков пищи и налета из межзубных пространств.
СОВЕТ №3
Следите за своим питанием. Употребление продуктов, богатых витаминами C и D, а также кальцием, поможет укрепить десны и зубы. Избегайте чрезмерного потребления сахара, который способствует развитию бактерий в полости рта.
СОВЕТ №4
Если вы заметили кровоточивость десен, неприятный запах изо рта или подвижность зубов, не откладывайте визит к стоматологу. Эти симптомы могут указывать на развитие пародонтоза и требуют срочного лечения.









