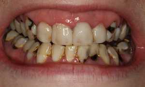
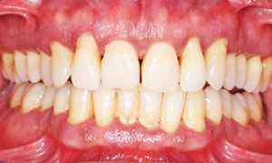
Гингивит серьезно воспалительное заболевание которому подвержены и взрослые и дети. При обнаружении малейших признаков заболевания рекомендуется проконсультироваться с врачом. После назначенного лечения, можно дополнительно воспользоваться общедоступными медицинскими препаратами или прибегнуть к народной медициной для закрепления результата и более оперативного лечения гингивита.
Для самостоятельного лечения используют специальные гели и мази, которые помогают снять воспаление десен и обладают заживляющим эффектом. Ускорить регенерацию тканей и устранить кровотечение помогут антисептические растворы или отвары для полоскания ротовой полости на травах к которым относятся – алоэ, ромашка, чистотел, зверобой, кора дуба, тысячелистник и многие другие. Подробнее о медицинских препаратах и рецептах народного лечения вы сможете узнать из следующей статьи.
Для лечения заболевания применяют специальные гели и мази, снимающие воспаление и обладающие ранозаживляющим эффектом. Применение мазей дает возможность устранить кровоточивость десен и купировать болевые ощущения. Ускорить регенерацию десенной ткани, а также убрать отек и воспаление, помогут антисептические растворы, которые применяются для ополаскивания ротовой полости. Эффект от домашнего лечения можно усилить при помощи народных средств. Особое место отводится правильному питанию. Пища больного должна содержать суточную норму микроэлементов, витаминов и питательных веществ и не травмировать воспаленные десна.
Гели от гингивита
Для лечения воспалительного процесса в десенной ткани чаще всего применяют такие средства:
- Холисал;
- Гель «АСЕПТА»;
- Солкосерил;
- Апидент-Актив.
Холисал обладает антисептическим эффектом, оказывает обезболивающее и противовоспалительное воздействие, применяется при различных клинических проявлениях гингивита. Гель наносится на воспаленную десневую ткань тонким слоем. Следует обрабатывать пораженные десна от двух до четырех раз в сутки на протяжении 10-14 дней.
В состав Асепта геля входит природное заживляющее вещество — прополис. Гель обладает противозудным, заживляющим и обезболивающим действием. Наносить средство на пораженные участки десен необходимо дважды в сутки, а продолжительность терапии варьируется от 2 до 3 недель в зависимости от локализации и степени поражения десневой ткани.
Для лечения язвенной и гипертрофической формы гингивита используют Солкосерил, так как это средство обладает ярко выраженным заживляющим действием. Действующие компоненты Солкосерила улучшают кровоснабжение десневой ткани, за счет чего улучшается ее регенерация и нормализуется обмен веществ. Препарат используют после каждой чистки ротовой полости, но не менее, чем 2 раза в день. Минимальная продолжительность лечения равняется 10 дням.
Апидент-актив — это многокомпонентное лекарственное средство, имеющие в своем составе такие действующие вещества, как прополис, вытяжки трав и пчелиный яд. Мазь эффективна при лечении гингивита начальной и средней степеней тяжести. Пораженные участки десен смазывают Апидент-активом после чистки зубов и после еды, средняя продолжительность лечения составляет 2 недели.
Врачи отмечают, что лечение гингивита в домашних условиях может быть эффективным, но требует осторожности и соблюдения рекомендаций. Основные меры включают регулярную гигиену полости рта: тщательное чистка зубов дважды в день и использование зубной нити. Специалисты советуют применять антисептические ополаскиватели, содержащие хлоргексидин или другие активные компоненты, которые помогают снизить воспаление и уничтожить бактерии.
Кроме того, важно обратить внимание на питание: увеличение потребления витаминов C и D, а также кальция может способствовать укреплению десен. Однако врачи подчеркивают, что при отсутствии улучшений или ухудшении состояния необходимо обратиться к стоматологу. Самолечение может привести к осложнениям, поэтому профессиональная консультация остается ключевым элементом в борьбе с гингивитом.

Антисептические растворы для полоскания ротовой полости
Применение антисептических растворов позволит ускорить регенерацию десневой ткани, улучшить кровоснабжение пародонта и купировать воспаление. Кроме того, антисептики подавляюще воздействуют на патогенную микрофлору и снимают болевые ощущения.
Наиболее распространенными антисептическими растворами, применяющимися для лечения гингивита, являются:
- Мирамистин;
- Хлоргексидин;
- Фурацилин.
Мирамистин обладает выраженным заживляющим действием, кроме того, он подавляюще воздействует на большинство патогенных микроорганизмов. Применяют средство следующим образом: 0,01% раствором антисептика ополаскивают ротовую полость после еды и чистки зубного ряда. Время одного полоскания должно быть не меньше 1 минуты. Для лечения средней и тяжелой стадий гингивита допустимо применение Мирамистина в качестве раствора для аппликаций. Раствором пропитывают бинт или марлю и накладывают в виде аппликации на пораженный участок десны. Продолжительность процедуры составляет 25 минут, а осуществлять ее необходимо два раза в день до исчезновения признаков болезни.
Водный раствор Хлоргексидина оказывает местное заживляющее и противовоспалительное воздействие. Ротовую полость ополаскивают 3 раза в день, а продолжительность процедуры варьируется от 30 до 60 секунд.
Вяжущее действие Фурацилина, а также подавляющее воздействие на большинство патогенных микроорганизмов позволяют использовать раствор для купирования воспалительного процесса, протекающего в десневой ткани. Рот полощут после еды, а также на ночь. Для полосканий используют аптечный 0,02% антисептический раствор, который обладает кровоостанавливающим эффектом.
Наиболее доступным антисептическим раствором, который можно использовать для лечения гингивита, является сода. Готовят раствор таким образом: 1 ч. ложку соды разводят в 200 мл теплой воды. Ротовую полость следует ополаскивать 4 раза в день до исчезновения симптомов болезни.
Народные средства от гингивита
Народные средства позволяют усилить эффект от медикаментозного лечения. Кроме того, они просты в приготовлении и не требуют особых затрат. К природным антисептикам относят такие лекарственные растения, как алоэ, ромашка, чистотел, зверобой, кора дуба, тысячелистник и другие. Из этих лекарственных растений готовят растворы для полоскания, обладающие противовоспалительным, ранозаживляющим и болеутоляющим эффектом.
Для приготовления раствора для полоскания следует заварить 1 ст. ложку сухой травы или смеси трав в 200 мл кипятка, настоять в течение четверти часа, процедить и использовать для орошения полости рта в теплом виде.
Хороший эффект при лечении гингивита дает обработка пораженных десен пихтовым или облепиховым маслом, а также полоскание полости рта раствором из настойки прополиса, для этого 1 ч. ложку аптечной настойки необходимо развести в 180 мл теплой воды.
Многие люди, столкнувшиеся с проблемой гингивита, ищут способы лечения в домашних условиях. В отзывах можно встретить разнообразные мнения. Некоторые отмечают эффективность полоскания рта раствором соли и соды, что помогает уменьшить воспаление и облегчить дискомфорт. Другие рекомендуют использовать настои трав, таких как ромашка или шалфей, которые обладают противовоспалительными свойствами. Однако не все согласны с тем, что домашние методы могут полностью заменить профессиональное лечение. Некоторые пользователи подчеркивают важность регулярной гигиены полости рта и посещения стоматолога, даже если симптомы удалось облегчить. В целом, мнения разделяются: одни считают домашние средства полезными дополнениями, другие — недостаточными для полноценного выздоровления.

Питание при гингивите
Больной гингивитом должен употреблять в пищу продукты питания, богатые витаминами и микроэлементами. Основу рациона составляют овощи и фрукты, такие как цитрусовые, груши и яблоки, капуста и морковь, брокколи, кабачки, топинамбур. Принимать овощи и фрукты следует в сыром виде. Повысить резистентность организма можно, если регулярно употреблять в пищу такие ягоды, как малина, клюква, крыжовник, черная смородина, ежевика и брусника.
Как правило, воспалительный процесс в деснах возникает в результате гиповитаминоза, поэтому в весенне-осенний период необходимо принимать поливитаминные комплексы, например, Супраин, Витрум, Теравит или Сана-Сол.
Вопрос-ответ

Что естественным образом убивает гингивит?
Полоскание соленой водой. Полоскание рта солёной водой — простой и эффективный способ уменьшить воспаление дёсен, вызванное гингивитом. Чтобы использовать это домашнее средство, разведите одну чайную ложку соли в стакане воды и полощите рот в течение нескольких минут.
Какое самое лучшее средство от гингивита?
С начальными стадиями гингивита отлично справляются антисептики – «Хлоргексидин», «Метронидазол», которые есть в составе нескольких дентальных гелей и растворов. Хороший эффект дают полоскания с настоями ромашки, шалфея.
Чем лучше полоскать рот при гингивите?
Врач назначает курс полосканий раствором Хлоргексидина 0,12% в домашних условиях до 10 дней. Вместо Хлоргексидина можно полоскать рот одним из следующих противовоспалительных средств: Lacalut Activ, Гексорал (0,1%), Мирамистин, Стоматофит. Рекомендуется обработка дёсен лечебным гелем.
Советы
СОВЕТ №1
Регулярно полощите рот раствором соли. Растворите половину чайной ложки соли в стакане теплой воды и полощите рот 2-3 раза в день. Это поможет уменьшить воспаление и убить бактерии.
СОВЕТ №2
Используйте натуральные антисептики, такие как масло чайного дерева или экстракт алоэ вера. Добавьте несколько капель масла чайного дерева в стакан воды и используйте для полоскания, или же наносите гель алоэ вера на воспаленные участки десен.
СОВЕТ №3
Увеличьте потребление витамина C. Включите в свой рацион больше цитрусовых, ягод и овощей, богатых витамином C, чтобы укрепить десны и улучшить общее состояние полости рта.
СОВЕТ №4
Соблюдайте гигиену полости рта. Чистите зубы дважды в день и не забывайте о зубной нити. Это поможет удалить налет и предотвратить дальнейшее воспаление десен.

