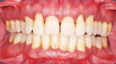
Пародонтоз — сложное и серьёзное заболевание, при котором наблюдается последняя стадия воспаления тканей дёсен. Его предшественник — пародонтит.
Зачастую причиной этого недуга становится инфекция различного характера. К пародонтозу приводит цирроз печени, язва желудка, гастрит, сахарный диабет. Если вовремя не обратиться к стоматологу за помощью, последствия будут необратимы, вплоть до выпадения зубов у больного.
Чем лечить пародонтоз у взрослых и детей
Существует несколько способов лечения пародонтоза десен.
Запущенная форма пародонтоза может привести к серьезным последствиям, включая потерю зубов. Врачи подчеркивают, что это заболевание, характеризующееся воспалением тканей, окружающих зубы, требует своевременного лечения. На начальных стадиях пародонтоз можно контролировать с помощью профессиональной гигиены полости рта и регулярных визитов к стоматологу. Однако, если болезнь прогрессирует, могут понадобиться более серьезные меры, такие как хирургическое вмешательство или использование антибиотиков. Важно помнить, что профилактика играет ключевую роль: ежедневная чистка зубов, использование зубной нити и ополаскивателей помогут избежать развития пародонтоза. Врачи настоятельно рекомендуют не игнорировать первые симптомы заболевания и обращаться за помощью при появлении кровоточивости десен или неприятного запаха изо рта.

Посещение стоматолога
Быстрые и решительные действия при пародонтозе — единственный вариант успешно одолеть недуг. Снять воспаление без консультации у специалиста не получится. Поход к стоматологу — неизбежен.
В первую очередь врач сделает полную чистку камней и отложений, что в домашних условиях невозможно. Обязательно посоветует, как правильно ухаживать за полостью рта.
С воспалительными процессами в дёснах медицина ещё в силах справится, а вот дистрофические изменения плохо поддаются лечению. Атрофированная кость не подлежит восстановлению. Если наблюдается подвижность зубов, рекомендуется их шинирование. Делается оно при помощи специальных нитей. Нить укладывают в пропиленную борозду в зубах и закрывают материалом для пломб.
Пренебрегая походом в поликлинику, пациент сам себе вредит, ведь только там ему окажут квалифицированную помощь, проведут визуальный осмотр повреждённых мест, сделают рентген.
Лучшие медикаментозные средства
Медикаментозное лечение пародонтоза не имеет смысла, если не удалить главный фактор. Оно поможет убрать некоторые симптомы, но пародонтоз все равно будет незаметно протекать и прогрессировать. Самостоятельный курс домашней терапии проводится при лёгкой степени воспаления. Лечение пародонтоза средней и тяжёлой стадии не обойдётся без участия специалиста. Он назначает лекарственные препараты. Помимо удаления отложений и терапии, применяются антибиотики (в таблетках или инъекции внутримышечно).
Людям, страдающим пародонтозом, назначают следующие медикаментозные средства:
- Троксевазин (гель) — улучшает кровообращение в дёснах, укрепляет сосуды пародонта, снимает болевые ощущения, оказывает антисептическое действие.
Фото 1. Упаковка и тюбик препарата Троксевазин в форме геля для наружного применения. Масса 40 г, дозировка 2%, производитель Actavis.
- Гепариновая мазь — насыщает ткани возле зубов кислородом, снимает отёк и боль, уменьшает свёртываемость крови.
- Экстракт алоэ используется для местных инъекций. В курс входит 20 уколов в десну. Такая процедура усилит обмен веществ на клеточном уровне.
А также ротовую полость при пародонтозе орошают спреями:
- Тантум Верде.
- Терафлю Лар.
- Мирамистин.
- Пропосол.
Спреи выступают в роли антисептиков, охлаждают и снимают зуд, боль.
Не менее эффективными считаются и аппликации из лекарственных средств. Чтобы снять воспаление и продезинфицировать поражённые участки, препараты вносятся в пародонтальный карман. Самые распространённые и часто применяемые лекарства для аппликаций: Новокаин, Анестезин, Метронидазол, раствор Йодинола на воде.
Кроме того, популярны специальные полоски-пластыри «ЦМ-1» от пародонтоза. Эффект от их применения наступает уже через неделю.
Пародонтоз — это серьезное заболевание десен, которое, если его не лечить, может привести к потере зубов. Многие люди недооценивают его опасность, считая, что кровоточивость десен и неприятный запах изо рта — это лишь незначительные проблемы. Однако запущенная форма пародонтоза может вызвать разрушение тканей, поддерживающих зубы, что в конечном итоге приводит к их подвижности и утрате.
Важно помнить, что ранняя диагностика и лечение могут значительно замедлить прогрессирование болезни. Основные методы лечения включают профессиональную чистку зубов, использование антисептических средств и, в некоторых случаях, хирургическое вмешательство. Также стоит обратить внимание на гигиену полости рта и регулярные визиты к стоматологу. Правильный уход за зубами и деснами поможет сохранить здоровье и избежать серьезных последствий.

Полоскание в домашних условиях: экстракт прополиса, кора дуба, сода и другое
Воспалительные процессы в ротовой полости лечатся различными способами, но без полоскания не обойтись. Одной из эффективнейших терапий является полоскание антисептическими и противовоспалительными препаратами.
Они направлены на уничтожение вредоносных микроорганизмов. Популярные средства: Хлоргексидин и Мирамистин. Широко применяется для этих целей мумиё в пропорции 2 грамма на 100 мл жидкости. Процедура проводится 2 раза в сутки после чистки зубов не менее 1 минуты.
Внимание! Только врач составляет план лечения, выделяет направления и подбирает наиболее действенные средства от пародонтоза! Не рекомендовано заниматься самолечением без консультации со стоматологом.
Распространённые травы при пародонтозе:
- Кора дуба — настоять на кипятке и полоскать рот отваром комнатной температуры.
- Экстракт прополиса — 20 капель разводится на стакан воды и немного настаивается. Применять после каждого приёма пищи.
- Репешок — растение, обладающие защитной функцией капиллярной системы и слизистой оболочки. Укрепляет иммунитет, снимает воспаление. Для приготовления понадобится 3 столовые ложки сырья и 500 мл воды. Обычное запаривание. После остывания процедить и полоскать.
Лечение пародонтоза с помощью соды — распространённый метод в домашних условиях. Бикарбонат справится со следующими симптомами: воспаление, отёчность, снимет налёт и даже некоторые отложения.
Для приготовления понадобится: 1 чайная ложка соды и соли, 2 столовые ложки золы берёзовой, 300—350 мл жидкости.
Компоненты тщательно перемешиваются. Получившейся пастой чистят зубы в течение 8 дней. Главный эффект от такой пасты — удаление отложений, укрепление десны.
Уколы от пародонтоза в дёсны
Действенный способ избавиться от пародонтоза — уколы в дёсны. Поскольку пародонтоз лечиться комплексно, специалисты назначают несколько видов инъекций:
- Иммуномодуляторы бывают животного, растительного либо химического происхождения. Вводятся курсами, не исключено внутримышечное введение.
- Витамины, к примеру, добавка под названием Асепта, которая содержит в себе кальций, коэнзим Q10 и витамины, необходимые для здоровья зубов и дёсен.
- Глюкоза также вводится в дёсны курсами. Она помогает убрать отёчность, улучшает общее их состояние. Уколы безболезненные.

Специальная диета, плюсы правильного питания
Иногда недуг имеет связь с недостатком питательных веществ в организме человека, нарушением обменных процессов, проблемами ЖКТ. Исправить положение поможет специальная диета.
Она восстановит обмен веществ, полезные продукты станут источником витаминов, а также правильное питание способствует хорошему самочувствию в целом. Запрещается есть любые сладости, в состав которых входит сахар. Приветствуется употребление молочных продуктов.
Витамины
Общеукрепляющие витаминные комплексы, помогающие поддерживать хорошее самочувствие и здоровье. Наличие полезных элементов способствует выздоровлению.
Паста и щётка
Ни в коем случае нельзя пользоваться жёсткой щёткой. Потребуется специальная, предназначенная для людей страдающих пародонтозом. Её щетина мягкая, не раздражающая слизистую.
Зубная паста назначается доктором. Он подбирает подходящий состав в зависимости от состояния пациента. Лучше всего подходит паста с растительными экстрактами, а вот отбеливающая не разрешена.
Массаж
На начальной стадии пародонтоза хорошим способом лечения пародонтоза является массаж десны. Выполняется подушечками пальцев. Для смазки подойдут лечебные гели или облепиховое масло. Подобные действия стимулируют кровообращение.
Фото 2. Схема массажа десен при пародонтозе. Стрелками указаны направления движения пальцев.
Эффективное лечение лазером
Лазерная терапия успешно одолевает пародонтоз и помогает навсегда избавиться от заболевания. Поражённые участки ткани подлежат обработке световодом. Под воздействием лазера происходит мгновенное уничтожение микробов и стерилизация дёсневого кармана. Такая процедура останавливает кровоточивость и снимает воспаление. Период восстановления после операции проходит в 5 раз быстрее, чем при использовании лечения скальпелем.
Полезное видео
Посмотрите видео, в котором рассказывается о том, что такое пародонтоз, из-за чего он возникает и как проявляется.
Лучше всего побыстрее вылечить недуг
Пародонтоз — серьёзная болезнь, требующая комплексного лечения. Чем раньше человек обратится к стоматологу, тем быстрее и безболезненнее избавиться от недуга.
Лекарства
Вопрос-ответ
Как лечится запущенный пародонтоз?
При запущенном пародонтозе прибегают к оперативному лечению, цель которого – восстановить ослабленную десну и костную ткань альвеолярного отростка. Процедура занимает около получаса и выполняется под местной анестезией. Врач вживляет синтетические материалы, которые замещают разрушенные участки костной ткани.
Можно ли вылечить запущенную форму пародонтита?
При своевременном лечении заболевание дёсен обратимо. Но если инфекция уже привела к потере костной ткани вокруг зубов, заболевание слишком запущено, чтобы поддаться обратному развитию. Однако с ним можно справиться, если правильно лечиться и регулярно и тщательно соблюдать гигиену полости рта.
Какое самое эффективное лекарство от пародонтита?
Самым эффективным лечением пародонтита является комплексный подход, включающий профессиональную чистку зубов, лечение антибиотиками (например, метронидазолом или амоксициллином) и использование антисептических растворов. Однако выбор конкретного лекарства должен осуществляться стоматологом на основе индивидуальных особенностей пациента и стадии заболевания.
Как выглядит запущенный пародонтоз?
Тяжелый запущенный пародонтоз характеризуется серьезными изменениями со стороны десен и зубов. Корни оголяются практически полностью, появляется выраженная подвижность зубов, из-за чего нарушается прикус, и пациент не может принимать твердую пищу.
Советы
СОВЕТ №1
Регулярно посещайте стоматолога для профилактических осмотров. Это поможет выявить пародонтоз на ранних стадиях и предотвратить его развитие. Стоматолог сможет предложить индивидуальный план лечения и ухода за полостью рта.
СОВЕТ №2
Обратите внимание на гигиену полости рта. Чистите зубы дважды в день и используйте зубную нить для удаления остатков пищи и налета между зубами. Это поможет снизить риск воспаления десен и замедлить прогрессирование пародонтоза.
СОВЕТ №3
Следите за своим питанием. Употребление продуктов, богатых витаминами C и D, а также кальцием, способствует укреплению десен и зубов. Избегайте избыточного потребления сахара и кислых напитков, которые могут усугубить состояние десен.
СОВЕТ №4
Если у вас уже диагностирован пародонтоз, следуйте рекомендациям врача и не пренебрегайте назначенным лечением. Это может включать профессиональную чистку зубов, использование антисептических растворов и, в некоторых случаях, хирургическое вмешательство для восстановления здоровья десен.






