Методы лечения кариеса все направлены на достижение одной цели. Каждый из них подбирается индивидуально. При подборе учитывают возможность восстановления тела зуба:
- классическое лечение с использованием бормашины;
 - избавление от кариеса при помощи озона;
 - обработка кариозных полостей лазером;
 - инфильтрация;
 - обработка абразивными материалами.
 
Метод борьбы с заболеванием выбирает лечащий врач. Выбор зависит от результатов обследования и степени разрушения зуба.
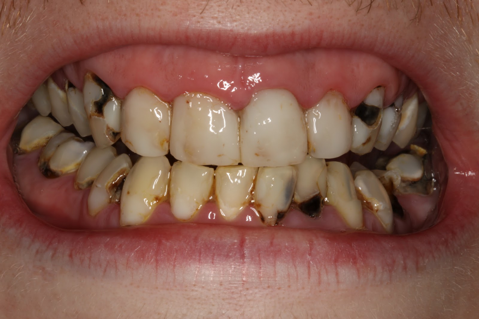
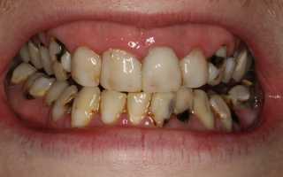
Кариес — это заболевание, которое доставляет больному множество мучений: начиная от сильной зубной боли и заканчивая невозможностью полноценно питаться. Распознать заболевание можно по острой боли, возникающей в результате механического, химического или термического воздействия на пораженный зуб.
На фотографии зубы, разрушенные кариесом.
Методы терапии заболевания
Лечение кариеса направлено на снятие болевых ощущений, а также грамотную терапию пораженного зуба. Современные стоматологические методы терапии практически исключают удаление больных зубов, так как позволяют с успехом лечить даже осложненный кариес. Лечение направлено на сохранение здоровых тканей пораженного зуба.
На фотографии стоматолог проверяет зубы стоматологическим зеркалом.
Современные стоматологические методы позволяют лечить поверхностный кариес, а также кариес, находящийся в стадии пятна без сверления. Основными способами борьбы с заболеванием являются следующие методы:
- метод сверления;
 - озонотерапия;
 - воздушно-абразивное лечение;
 - инфильтрация
 - лазеротерапия.
 
Кариес – процесс локальный, он возникает после того как прорезались зубы. Поврежденный зуб не окажет негативного влияния на соседние. Цель лечения восстановление свойств твердых тканей и функциональности зубов. Оно заключается в устранении поврежденных тканей, восстановление целостности зуба.
Подходы к лечению кариеса принципиально различны:
- Терапия консервативная без применения бормашины;
 - Лечение путем препарирования.
 
На фотографии девушка закрывает лицо из-за плохого запаха изо рта.
Совет от стоматолога.
Реакция на горячее и холодное – повод посетить стоматолога. Причиной визита будет и неприятный запах изо рта. Ранее обращение к специалисту препятствует развитию заболевания. Своевременно проведенное лечение предотвращает возникновение кариозных полостей. Врач профессионально дифференцирует начальную стадию кариеса от других заболеваний. Меловое пятно появляется при гипоплазии эмали или флюорозе. Подтвердить это может грамотный специалист. Выявленная начальная стадия кариеса требует немедленного лечения.
Врачи-стоматологи отмечают, что лечение кариеса может осуществляться различными методами, в зависимости от стадии заболевания. На ранних этапах, когда повреждение эмали минимально, возможно применение реминерализующей терапии с использованием фторсодержащих препаратов и специальных гелей. Это помогает восстановить минералы в эмали и остановить развитие кариеса.
При более серьезных поражениях, когда кариес уже затрагивает дентин, необходима пломбировка. Врач удаляет пораженные ткани и заполняет образовавшуюся полость специальными материалами, такими как композитные смолы или стеклоиономерные цементы.
В случаях, когда кариес привел к воспалению пульпы, может потребоваться эндодонтическое лечение, то есть лечение корневых каналов. Важно, что профилактика играет ключевую роль в борьбе с кариесом, и регулярные осмотры у стоматолога, а также соблюдение гигиенических норм могут значительно снизить риск его возникновения.

Классическое лечение
Метод сверления — это наиболее доступный способ лечения всех стадий кариеса. В современной стоматологии сверление применяют в том случае, когда вылечить болезнь другими альтернативными способами невозможно, например, при среднем и глубоком кариесе.
Высверливание кариозного поражения, как правило, осуществляется после местного анестезирования, что позволяет существенно уменьшить болевые ощущения. После высверливания зуб пломбируют, а для того чтобы закрепить эффект от процедуры больному запрещается принимать пищу как минимум в течение одного часа после установки пломбы.
На фотографии стоматолог с бурмашиной и зеркалом собирается приступить к лечению пациента.
Лечение кариеса требует индивидуального подхода. Перед использованием бормашины стоматолог обязательно выполнит:
- чистку пораженного зуба от налета;
 - определит основной цвет эмали. Это необходимо для подбора цвета пломбы;
 - подберет препарат для анестезии. Важно исключить возможные аллергические реакции;
 - удалит кариозную ткань. Это предотвратит дальнейшее разрушение зуба;
 - изолирует зуб от попадания слюны;
 - в завершение процесса установит пломбу.
 
Это интересно.
Пломбировочные материалы способствуют устранению, имеющихся дефектов. Установка пломбы необходима для восстановления анатомической формы зубов. Стоматологи применяют композитные фотополимерные материалы, они наиболее прочны и долговечны.
Таблица содержит описание лечение методом препарирования.
| 
 Алгоритм действий при препарировании кариозных полостей:  | 
||
| Последовательность действий | Средства действия, методика работы | Критерий самоконтроля | 
| Подготовка оборудования, инструментарий для работы, фантом. Препарирование кариозной полости: | Бормашина, наконечники, боры шаровидные, фиссурные, стальные, твердосплавные, алмазные головки, набор стоматологических инструментов. | Стоматологическое оборудование, наконечники, боры, набор инструментов (зеркало, зонд, экскаватор) позволяют провести все этапы препарирования. | 
| 1. Раскрытие кариозной полости | Фиссурный или шаровидный бор вводят в кариозную полость и удаляют нависающие края эмали, при этом движение бора направлено изнутри кнаружи. | При зондировании полости нет нависающих краев эмали. Стенки плотные, гладкие. Эмаль на всем протяжении имеет подлежащий дентин. Имеется хороший обзор (с помощью зеркала) дна и стенок кариозной полости. | 
| 2.Проведение некрэктомии. | Удаление некротизированный дентин острым экскаватором, затем шаровидным бором. | После обработки дентин плотный, гладкий, зонд не задерживается в нем, скользит, при этом имеется характерный. | 
| 3. Формирование полости по Блэку. | Боры (фиссурные, обратно-конусовидные, колесовидные) – формируют отвесные стенки под прямым углом ко дну или закругленные, дно ровное или валикообразное, ступенчатое. | Стенки отвесные под прямым углом ко дну, или закругленные в зависимости от вида пломбировочного материала. Дно ровное или валикообразное (при глубоком кариесе для предупреждения вскрытия полости зуба). | 
| Проведение отделки краев полости (финирование). | Удаление неровности и шероховатости краев эмали карборундовыми головками, алмазными финирами, эмалевым ножом. | Края эмали гладкие, опираются на дентин. При отделке краев делают скос эмали под углом 45°. | 
Озонотерапия
Данный метод лечения кариеса основан на уничтожении болезнетворных бактерий при помощи озона. Озон нейтрализует очаг кариозного поражения, не затрагивая при этом здоровые ткани. После того как озон выполнил свои функции по нейтрализации болезнетворных микроорганизмов он трансформируется в кислород и выходит из зуба.
Озонотерапия эффективна на начальных стадиях, когда кариозное поражение не успевает проникнуть глубоко в ткани зуба. Сама процедура занимает мало времени, обработка одного зуба длиться в среднем от 30 секунд до одной минуты. Озонотерапия проводится без местной анестезии и может использоваться в качестве профилактики возникновения кариеса как у взрослых, так и у детей. Стоимость процедуры достаточно высока, что не дает возможности широко использовать озонотерапию для профилактики заболевания.
На фотографии продемонстрирован принцип действия озонотерапии на кариес зуба.
Озон – природный газ, образующийся под воздействием ультрафиолета и электрических разрядов. Его преимущество – это стерилизующие свойства. Озонотерапия применяется и в других областях медицины. В стоматологии озон необходим во время чистки корневых каналов. Его высокая проницаемость дает возможность уничтожить 90% кариозных бактерий. Озон помогает избавиться от протеиновых кислот, препятствующих реминерализации. Он обеспечивает полную стерильность зуба.
К основным свойства озона относятся:
- обезболивание;
 - кровоостанавливающие;
 - дезинтоксикационное;
 - противогипоксическое.
 
Лечение озоном выбирается врачом, в каждом отдельном случае. Индивидуально побирается продолжительность лечения и его интенсивность. В некоторых случаях назначаются сопутствующие процедуры. Озонотерапия – это часть комплексного лечения, не имеющая побочных эффектов.
  Она противопоказана беременным, больным эпилепсией, астмой. Невозможно применение Озонотерапия при лечении пациентов, с установленным кардиостимулятором. Мягкая силиконовая чашечка не травмирует десну, не пугает маленьких пациентов.
Мнения людей о методах лечения кариеса разнообразны. Многие считают, что единственным эффективным способом является стоматологическое вмешательство, такое как пломбирование. Однако, некоторые пациенты делятся опытом использования альтернативных методов, таких как применение фторсодержащих гелей и паст, которые помогают укрепить эмаль и замедлить развитие кариеса. Другие упоминают о народных средствах, например, о полосканиях с раствором соли или соды, хотя стоматологи предупреждают о недостаточной эффективности таких методов. В последнее время все больше людей интересуются профилактическими мерами, включая правильное питание и регулярную гигиену полости рта, которые могут значительно снизить риск возникновения кариеса. Важно помнить, что каждый случай индивидуален, и лучше всего консультироваться с профессионалом для выбора оптимального подхода.

Воздушно-абразивная обработка
На фотографии стоматологический инструмент для воздушно-абразивной обработки.
Этот метод лечения кариеса основан на механической обработке пораженных тканей зуба при помощи пескоструйных аппаратов. Воздушно-абразивное лечение дает возможность удалить кариозное поражение при помощи потока воздуха.
Безболезненность лечения позволяет производить его без анестезии. Воздушно-абразивный метод терапии также имеет свои минусы: в будущем может наблюдаться повышенная чувствительность зуба к термическому раздражению, а также при среднем и глубоком кариесе возникает необходимость высверливать пораженные ткани при помощи бормашины, то есть прибегать к консервативному методу сверления.
Воздушно-образивная обработка один из альтернативных способов лечения кариозных полостей. Из отверстия в зубе «выбивают» пораженные участки. Процедура длится несколько минут. Применяется специальное оборудование, позволяющие смешивать воздух с абразивными материалами. Они воздействуют на эмаль зубов. Метод эффективен при начальной стадии развития кариеса. Лечение не требует сверления, бесшумно, безболезненно. Неповрежденные ткани зуба, не подвержены воздействию абразивов и не травмируются.
Инфильтрация
Метод инфильтрации эффективен только для терапии начальных стадий болезни. Суть лечения заключается в следующем: пораженная поверхность обрабатывается специальным составом, который как бы растворяет пораженный участок эмали. После растворения эмали обработанный участок высушивают при помощи струи воздуха с этиловым спиртом.
На фотографии стоматолог инфильтрует кариес при помощи инфильтранта.
Описание инфильтрации от стоматолога.
Микроинвазивное непроникающие лечение кариеса в ранних стадиях и после снятия брекет-систем. Показанием к проведению процедуры признан кариес в стадии белого пятна. Эффективно лечение пораженного дентина до половины его толщины. Противопоказание – кариес с образованием полости, индивидуальная непереносимость материала.
Развитие кариеса останавливается на ранних стадиях, здоровые ткани сохраняются. Эффективное лечение после первого посещения, препарирования.
Эффективность лечения основана на применении препарата Icon. Он воздействует на поврежденные кариесом участки на глубине Е1-D1. Набор состоит из нескольких компонентов, используемых в определенной последовательности. Лечение методикой инфильтрации проводят при кариесе эмали и дентина.
Лазеротерапия
На фотографии стоматолог проводит лазеротерапию.
Лазерная флюоресценция или лазеротерапия позволяет лечить болезнь у беременных женщин, детей и взрослых, так как абсолютно безболезненна и не вызывает дискомфортных ощущений. Лазеротерапия используется для лечения начальных стадий болезни. Для проведения процедуры не нужно осуществлять анестезию, что существенно снижает длительность лечения. Высокая точность оборудования позволяет направить луч лазера точно на пораженный участок, при этом здоровые ткани зуба не травмируются и исключается вероятность возникновения микротрещин эмали, что, в свою очередь, не приведет к повышению чувствительности зуба в дальнейшем. Луч лазера стерилизует пораженные кариозными микроорганизмами зубные ткани, что исключает вероятность последующего возникновения вторичного кариеса.
Лазерное излучение не нагревает поверхность зуба и не оказывает негативного воздействия на организм больного, поэтому достаточно часто лазер применяют для диагностики зуба вместо рентгена.
Современные стоматологические методы лечения кариеса без сверления эффективны только на начальной стадии кариеса, поэтому следует регулярно проходить осмотр у стоматолога, который позволит вовремя выявить заболевания и избежать пломбирования и сверления зубов. Кроме того, новейшие методы позволяют осуществлять реминерализацию эмали, что является эффективной профилактикой кариозных поражений и позволят сохранить здоровье зубов.
На фотографии зуб с установленной пломбой после лечения кариеса.
Преимущества лечение кариеса лазером:
- луч лазера не изменяет структуру зуба, исправляя поврежденные каналы;
 - при воздействии не затрагивает здоровые участки и соседние зубы;
 - воздействие лазерным лучом стерилизует окружающую ткань, гарантируя невозможность рецидива заболевания;
 - лечение проходит без проникновения инструмента в тело пациента. Процедур относится, к стерильным и безопасным, не вызывающим инфекционных заражений;
 - шершавая поверхность полости после обработки лазером – подготовленное место для пломбы;
 - лечение лазером продлевает срок службы пломбы от 10 лет и более.
 
На фотографии широко улыбающаяся девушка с белыми зубами.
Видео: Классический метод лечения кариеса.
Среди новых методов лечения кариеса, классическая методика все активно используется в стоматологии, особенно в лечении глубокого кариеса.
Видео: Лазерное лечение кариеса.

Методика лечения кариеса при помощи лазера находит множество откликов, так как подобная процедура позволяет лечить зуб с меньшей травматичностью тканей.
Вопрос-ответ
Сколько стоит удалить 1 кариес?
Минимальная стоимость процедуры – 1 800 руб., а максимальная – 6 000 руб. Если кариес расположился в неудобном месте – на стыке двух зубов или на боковой поверхности пораженного зуба, – необходимо восстановить контакт между зубами. За это придется дополнительно заплатить до 1 000 руб.
Можно ли вылечить кариес навсегда?
Вылечить кариес один раз и навсегда не получится. Но можно своевременно делать профилактику, и тогда не придется лечиться. Поэтому лучше обращаться в стоматологии, где практикуются плановые осмотры после лечения.
Как выглядит кариес 1 стадии?
Первая стадия кариеса характеризуется образованием светлого желтоватого пятна на зубной эмали. В это время может не наблюдаться никаких дискомфортных ощущений, но это не значит, что на появившиеся пятна не нужно обращать внимание.
Советы
СОВЕТ №1
Регулярно посещайте стоматолога для профилактических осмотров. Это поможет выявить кариес на ранних стадиях и предотвратить его развитие. Стоматолог сможет предложить необходимые меры, такие как фторирование или герметизация fissures.
СОВЕТ №2
Поддерживайте правильную гигиену полости рта. Чистите зубы дважды в день с использованием зубной пасты, содержащей фтор, и не забывайте о зубной нити. Это поможет удалить налет и предотвратить образование кариеса.
СОВЕТ №3
Соблюдайте сбалансированную диету, богатую витаминами и минералами. Уменьшите потребление сахара и кислых продуктов, которые способствуют разрушению зубной эмали. Включайте в рацион продукты, содержащие кальций и фосфор, такие как молочные продукты, орехи и зеленые овощи.
СОВЕТ №4
Используйте средства для полоскания рта с фтором. Это поможет укрепить зубную эмаль и снизить риск развития кариеса. Полоскание рта после еды также поможет удалить остатки пищи и снизить кислотность во рту.











