Пародонтоз — опасное воспалительное заболевание, поражающее ткань дёсен. Встречается болезнь часто, а развивается очень быстро, если не предпринять никаких мер по её устранению.
К сожалению, одними только болевыми ощущениями и воспалением дёсен дело не ограничится — если пародонтоз не лечить, можно лишиться всех зубов, даже если до этого они были здоровыми и крепкими. Это происходит потому, что заболевание разрушает ткань дёсен и та становится неспособной удержать зубы на месте.
Самое важное – не занимайтесь самолечением шатающихся зубов
Зубы у человека очень хрупкие и не обновляются, большинство заболеваний ротовой полости приводит к их разрушению. Самостоятельно разобраться в причинах и особенностях болезни сможет не каждый.
Занимаясь же самолечением, особенно неправильным использованием народных средств или сомнительных советов из интернета, у страдающего пародонтозом есть большой шанс непоправимо навредить своим зубам.
Настоящую и полностью достоверную картину болезни зубов сможет распознать только профессиональный врач-стоматолог. Он же и составит подробный, полностью безопасный и эффективный план лечения, который в кратчайшие сроки избавит от зубной боли. Пытаться вылечить пародонтоз самостоятельно, принципиально отказываясь от процедур и препаратов, предлагаемых современной медициной, так же опасно и недальновидно, как и полное игнорирование болезни.
Современные врачи-стоматологи выделяют несколько эффективных методик лечения пародонтоза, которые помогают восстановить здоровье десен и предотвратить дальнейшее развитие заболевания. Одним из наиболее распространенных подходов является профессиональная гигиена полости рта, включающая удаление зубного камня и налета. Это позволяет снизить воспаление и улучшить состояние десен.
Кроме того, врачи рекомендуют использование лазерной терапии, которая способствует быстрому заживлению тканей и уменьшению боли. В некоторых случаях применяются медикаментозные методы, включая антибиотики и противовоспалительные препараты, которые помогают контролировать инфекцию.
Также важным аспектом является коррекция образа жизни пациента: соблюдение диеты, отказ от курения и регулярные визиты к стоматологу. Комплексный подход к лечению пародонтоза, включающий как профессиональные процедуры, так и изменения в повседневной жизни, позволяет достичь наилучших результатов и сохранить здоровье зубов на долгие годы.

Правильная диагностика — залог быстрого и эффективного лечения
Пародонтоз может развиваться в ротовой полости годами, постепенно уничтожая дёсны. У каждого человека свой порог терпения и нежелания идти к врачу, так что в среднем к специалисту обращаются пациенты с пародонтозом разной степени запущенности. Лечение на каждом из этапов отличается, так что первая услуга, которую получают от стоматолога — оценка глубины проблемы.
Стадии болезни:
- Начальная: характерна только покраснением и небольшим зудом.
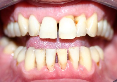
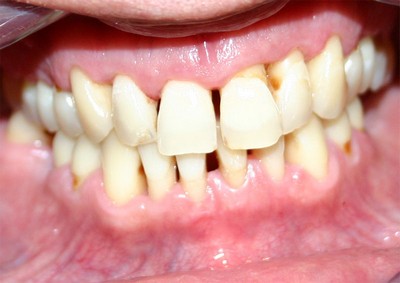
- Первая: видны шейки зубов, появляется подвижность и отёки дёсен внизу.
- Вторая: появляются зубодесневые карманы, где копятся кровь и гной, зубы подвижны. Дёсны отекают, приобретают синюшный оттенок.
- Третья: зубодесневые карманы увеличиваются, можно видеть корни зубов почти полностью. Кровь и гной выделяются в больших количествах.
- Четвёртая: окончательное разрушение тканей, зубы держатся слабо, шатаются и при желании их легко выдернуть. Дёсны обильно кровоточат, много гнойных выделений.
Пародонтоз развивается медленно, но остановить его невозможно без помощи врачей — рано или поздно костная ткань начнёт разрушаться. Возможны как медикаментозные, так и хирургические методы лечения, если использовать лекарства уже поздно или нет смысла.
Как лечат болезнь
Для диагностики необходим рентген — без него сложно определить степень разрушения и обострение болезни, так что лечение начнётся именно с этого.
Если стадия выше первой, будет назначено комплексное лечение, включающее в себя медикаменты, массажи, физиотерапию, стимуляцию иммунитета для борьбы с инфекцией витаминными препаратами, чистку от зубных камней. В случае третьей или четвёртой стадии, стоматолог прибегнет к хирургическому методу лечения, так как спасти зубы другим способом уже либо невозможно, либо очень сложно и дорого.
Современные методы лечения пародонтоза вызывают много обсуждений среди пациентов и специалистов. Многие стоматологи отмечают эффективность комплексного подхода, который включает профессиональную гигиену полости рта, использование антисептиков и антибактериальных препаратов. В последние годы популярность набирают лазерные технологии, позволяющие минимизировать травматичность процедур и ускорить процесс заживления.
Пациенты также делятся положительным опытом применения регенеративных методов, таких как использование мембран и костных трансплантатов, что способствует восстановлению утраченных тканей. Не менее важным аспектом является индивидуальный подход к каждому пациенту, который позволяет учитывать особенности заболевания и общее состояние здоровья. В целом, сочетание традиционных и инновационных методов дает надежду на успешное лечение и восстановление здоровья десен.

Медикаментозные способы лечения
Если назначен курс антибиотиков, то инфекция развилась достаточно, чтобы собственный иммунитет организма с ней не справился. Обычно при воспалении рядом с антибиотиками назначают ещё и курс антисептиков.
Первая группа препаратов остановит развитие инфекции, снимет воспаление и отёк, вторая — уберёт симптомы (зуд, покраснение).
Антисептики обычно выпускаются в удобной форме спреев, что позволяет нанести лекарство на поражённую зону, не прикасаясь к ней. Для страдающих пародонтозом это очень удобно, ведь каждое прикосновение к воспалённой десне вызывает боль и кровотечение.
Важно! Не пытайтесь избавиться от крови или гноя, силой выдавливая его — так вы травмируете десну, которая под воздействием болезни чувствительная и восприимчивая. Неосторожным движением можно нанести сильный вред. Также будьте осторожны во время приёма пищи.
Антибиотики почти всегда принимаются в виде таблеток и капсул, так как уколы при пародонтозе опасны, болезненны и не так результативны — из-за скопления жидкости не весь активный лечащий состав доберётся до нужного участка. Медикаменты могут полностью помочь на всех стадиях до третьей. На третьей и четвёртой фазе такое лечение придётся либо заменить, либо совместить с более эффективными методами.
Методы профилактики в домашних условиях: как бороться с болезнью в начальной степени
На ранних стадиях развития болезни можно если не полностью избавиться от пародонтоза (это возможно только с помощью врача), то замедлить его развитие до полноценного похода в клинику.
Фото 1. Укрепляющая лечебная зубная паста Organic, не содержит фтора, объем тубы 75 мл, производитель – «Splat».
Профилактика пародонтоза — обычный и рекомендуемый всеми стоматологами уход за ротовой полостью. Почаще полоскайте рот после еды, регулярно и тщательно чистите зубы, исключите из рациона вредные, разрушающие зубы продукты.
Что можно сделать в домашних условиях:
- Убедиться, что зубная щётка вам подходит. Проверить срок эксплуатации (взрослому человеку нужно менять щётку не реже, чем раз в 3 месяца), жёсткость щетинок.
- Купить укрепляющую зубную пасту с лечебным эффектом, специально для профилактики пародонтоза. Такие на прилавках лежат отдельно и стоят дороже стандартных, но и результат соответственный. Широкий выбор поможет подобрать нужную именно под свои нужды.
- Специальные гели и мази, а также спреи от пародонтоза и его симптомов можно найти в любой аптеке. Втирайте их в дёсны и почувствуете временное облегчение, избавление от симптомов.
Если почувствуете резкое ухудшение своего состояния, ни в коем случае не продолжайте лечение на дому и отправляйтесь в клинику. Скорее всего, проблема уже гораздо серьёзнее, чем ваши предположения и ситуация давно требует врачебного вмешательства.

Можно ли вылечить самостоятельно с помощью народных средств
В основном народная медицина в таких случаях советует полоскание отварами и втирание в дёсны всяких укрепляющих натуральных компонентов.
Вот несколько проверенных народных рецептов, которые не навредят вашим зубам:
- Мёд с солью. Тщательно смешайте мёд с солью в пропорции 2:1 и заверните в марлю или тонкую тряпочку, чтобы протереть смесью дёсны.
-
Настой для полоскания из чая и чеснока. Запах от такого лекарства стоит на редкость неприятный, но отзывы о его действии преимущественно положительные.
Хорошо вычистите зубы, затем смешайте на стакан кипятка по чайной ложке чая и дроблёного чеснока. Разведите кипяток — полоскать можно только тёплой жидкостью, и полощите рот в течение пяти — десяти минут.
- Настой для полоскания с миррой. Это средство сложнее в приготовлении, но и эффективнее, по словам испробовавших. Мирра, нарезанные свежие листья малины, ложечник и мята (всего этого примерно по 15 г.) смешать с 30 г. винного спирта. Настаивать не менее трёх суток, после чего можно процедить и прополоскать рот. Глотать ни в коем случае нельзя.
Также нередко рекомендуют «тренировать» зубы, укрепляя их. Обычно предлагается жевать мягкие кусочки натуральной древесины или веточки. Лучше всего будет дуб или клён, но сойдёт и простая яблоневая и вишнёвая древесина.
Физиотерапия и применение аппарата Вектор
Физиотерапия при этом заболевании оказывает тот же эффект, что и при остальных — укрепление. В основном используются электрофорез, фонофорез и ультразвуковая Вектор-терапия.
Электрофорез — воздействие на мягкие ткани гальваническим током. Процедура абсолютно безопасная — подача тока низкая и почти не чувствуется.
Главная задача в укреплении мягких тканей, что при пародонтозе просто незаменимое свойство от разрушения дёсен. Редко бывает эффективным без сопутствующей терапии препаратами.
Важно! Противопоказаний физиотерапии нет — каждый пациент, вне зависимости от серьёзности его проблем и личных особенностей может без боязни проходить такие курсы лечения, они полностью безвредны.
Фонофорез — одно из воздействий ультразвуком, проводится исключительно в комплекте с лекарствами. Входит в основную группу рекомендуемых при пародонтозе физиотерапевтических процедур.
В среде лечения дёсен ультразвуком особенно преуспел метод лечения аппаратом «Вектор».
Среди преимуществ аппарата выделяют следующее:
- эффективность в сравнении с устаревшим оборудованием в клиниках;
- отсутствие болевых ощущений;
- «Вектор» может полностью заменить хирургическое вмешательство, если пародонтоз не достиг последней стадии;
- глубина ультразвуковой волны больше и вдвое выше в сравнении со стандартными аппаратами;
- «Вектор» устраняет микротрещины в эмали.
Не стоит недооценивать физиотерапию при лечении пародонтоза— в грамотном сочетании с уходом за зубами, медикаментозным курсом и полной очисткой больных тканей зубов она окажет крайне благотворный эффект на дёсны. Кроме того, от физиотерапии нередко зависит эстетический исход лечения.
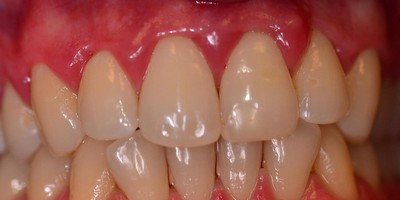
Каждый хотел бы вернуть свои дёсны и зубы в первоначальное, здоровое состояние, но без описанных выше методов лечения сделать это очень сложно, даже если инфекция в итоге будет устранена и пациент перестанет жаловаться на симптомы пародонтоза.
Остановить недуг при запущенном состоянии поможет хирургическое вмешательство
Услышав про возможность хирургического решения вопроса, человек расслабляется, запуская заболевание до последних стадий.
Пациент уверен, что медицина спасёт его от разрушительных последствий его безразличия к собственному здоровью, и он сильно ошибается.
Врачи спасут ваши дёсны от воспаления и инфекции в любом случае, уберут гной и кровотечение, как критически опасные симптомы пародонтоза.
Но здоровье зубов — дело более тонкое. На последних стадиях пародонтоза сами зубы уже никуда не годятся, так как разрушаются от корня. Решение такой проблемы очень дорогое и длительное. Полностью разрушенные болезнью зубы придётся удалить и заменить протезами, перед этим дождавшись полного выздоровления дёсен. Весь этот процесс отнимет очень много времени, денег и нервов.
Справка! Восстановить зубы после четвёртой стадии пародонтоза практически невозможно — необходима полная замена челюсти протезами, что возможно только после полного излечения мягких тканей.
Гораздо проще и дешевле вовремя обратиться к врачу и остановить болезнь на ранних стадиях, чем потом лечить запущенный пародонтоз и восстанавливать уже утерянное здоровье.
Терапия у детей
Дети обычно уязвимее взрослых в силу недостаточно развитого иммунитета (врождённого и приобретённого), но в плане заболеваний ротовой полости они значительно выигрывают. Молочные зубы — переходный этап естественного процесса формирования челюсти, расходный материал, потому его не жаль.
Позволить пародонтозу лишить ребёнка в одночасье всех молочных зубов нельзя, но и последствия у болезни в этом случае будут не такими разрушительными.
Большинство детей переживают проблемы с дёснами из-за недостаточного уровня гигиены полости рта или неправильного смыкания челюсти (прикуса).
Обычно у детей всё лечение пародонтоза заканчивается на физиотерапии, снятии симптомов вроде воспаления и отёка, а в крайних случаях — назначении антибиотиков с соблюдением всех норм предосторожности и запретами на сильнодействующие, опасные для иммунного и гормонального фона ребёнка препаратами.
Осложнения при беременности
Сложность лечения будущих мам заключается в том, что развитие ребёнка не предполагает усиленной терапии медикаментами даже в крайних случаях — плоду чужеродные и сильнодействующие лекарства могут повредить, но предполагает естественное снижение иммунитета, так как почти все ресурсы идут на снабжение младенца.
Практически каждая беременная женщина во время вынашивания и в первые месяцы после родов мучается от проблем с зубами.
Зубы очень сильно зависят от иммунитета человека, так что страдают первыми вместе с волосами, ногтями и гормональной системой женщины.
Ситуация усугубляется, когда у беременной к пародонтозу была предрасположенность, если она им уже болела на начальной стадии. Пародонтоз при малейшей поблажке со стороны защитной системы организма активизируется и начинает прогрессировать.
Что делать на поздних сроках
Большинство методов лечения пародонтоза для беременной женщины допустимы и не опасны. Это физиотерапия (ультразвук, электрофорез и т. д.), массажи, профилактический укрепляющий уход. Проблема в медикаментах для лечения пародонтоза, а особенно в антибиотиках — многие сильные препараты беременным противопоказаны.
В тех случаях, когда проблема с пародонтозом требует немедленного решения, стоматолог обязан действовать в максимально щадящем режиме, консультируясь с лечащим врачом пациентки. Чаще всего доктора приходят к соглашению, выбирая из списков доступных для лечения пародонтоза антибиотиков наиболее «лёгкие» для организма.
Общая схема избавления от пародонтоза в клинике
Случай каждого пациента уникальный — на метод лечения пародонтоза влияют степень болезни, возраст и наличие других заболеваний, вредных привычек.
После детального осмотра стоматолог предложит полный перечень этапов стандартного клинического лечения пародонтоза, затем объяснит, что из этого необходимо в конкретном случае.
Что обычно предлагается для лечения пародонтоза:
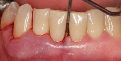
- Удаление налёта и зубного камня. Зубной камень — частый спутник пародонтоза, он появляется на корневых шейках зубов, имеет неприятный вид и цвет. Счистить своими усилиями его невозможно.
- Медикаментозное лечение. Противовоспалительные препараты, антибиотики, анальгетики в виде спреев и таблеток.
- Лечение физиотерапией. Безобидные, но очень полезные процедуры помогут вернуть форму мягким тканям, восстановить кровотечение.
- Лечение кариеса и удаление больных зубов. Полностью разрушенный зуб надо обязательно удалить, иначе он начнёт портить соседние. На последних стадиях пародонтоза таких зубов будет много.
- Шинирование. Накладывая шины на мягкие ткани, стоматолог удержит на месте зубы, которые находятся на грани выпадения, и избавит вас от необходимости протезирования.
- Хирургическое вмешательство. На последних стадиях пародонтоза может понадобиться хирург — очистить мягкие ткани от крови и гноя, выдернуть полностью испорченные зубы.
- Протезирование. Самый сложный и дорогой этап лечения, до которого лучше доходить только в крайних случаях. Замена удалённых зубов на импланты-протезы с помощью современных стоматологических технологий.
-
Профессиональная чистка зубов. После вылеченного пародонтоза остаётся проблема в виде стойкого налёта и в целом неэстетичного вида ротовой полости.
Стоматолог-специалист поможет избавиться от этого чистящими и отбеливающими процедурами, если вам это необходимо.
Полный курс лечения пародонтоза обойдётся дорого как по средствам, так и по времени. Не игнорируйте здоровье ваших зубов и не доводите их до такой степени запущенности.
Хронический пародонтоз: что это такое
Не каждый человек может позволить себе полноценное протезирование и полное излечение от пародонтоза. Бывает так, что стоматолог, устранив критически опасные симптомы и остановив воспаление, переводит пациента, не готового к полному курсу терапии, на методы лечения хронического пародонтоза.
Важно! Если вам диагностировали хронический пародонтоз, это совсем не значит, что болезнь затихла и больше не нуждается в дополнительном лечении. Все действия направлены на замедление процесса, сама проблема остаётся.
Преимущество этих методов лечения пародонтоза в том, что они доступны каждому в домашних условиях. Основой обычно выступают медикаменты и удаляющие симптомы средства (мази, гели, спреи), которые пациент может принимать самостоятельно. Лекарства, физиотерапия и профилактические методы будут задерживать болезнь и не дадут ей перейти в третью и четвёртую стадии, когда стандартные способы избавиться от пародонтоза уже не помогут.
Как укрепить зубы и дёсны
Если вы хотите позаботиться о своих зубах — не перегружайте их. Не стоит жевать на одну сторону, разгрызать твёрдые предметы и кусочки пищи.
Если чувствуете на дёснах царапину, не игнорируйте её, а обработайте — так в ротовой полости может поселиться инфекция.
Пользуйтесь правильной зубной пастой с укрепляющим, лучше лечебным эффектом, подберите правильную по жёсткости щётку и меняйте её раз в полгода.
Какие продукты можно или нельзя есть
При лечении пародонтоза ограничьте себя в сладком и прочих разрушающих зубы продуктах. Не пытайтесь проводить опасные манипуляции с зубами в домашних условиях, например, процедуру отбеливания. Во многих «домашних» рецептах рекомендуется использование едких веществ, что противопоказано для эмали.
Ешьте больше молочных продуктов и прочих из числа тех, где содержится кальций. Профилактические осмотры у стоматолога стоит проходить хотя бы раз в год.
Полезное видео
Ознакомьтесь с видео, в котором рассказывается, что собой представляет пародонтоз и каковы симптомы этого заболевания.
Итоги: возможно ли навсегда избавиться от недуга и сохранить здоровье
Пародонтоз гораздо лучше предупредить, чем мучиться с его лечением. Даже если у вас есть на это свободные средства и время, ощущения при болезни крайне неприятные даже с врачебной помощью. Пародонтоз излечим и полностью избавиться от него возможно, благодаря современным достижениям стоматологии — обратитесь к специалисту и удивитесь, насколько эффективно и быстро лечится проблема, которая мучает вас уже годами.

Вопрос-ответ
Каковы современные методы лечения пародонтоза?
Современные методы лечения пародонтоза. Лечение лазером: лазерная терапия помогает удалить инфицированные ткани и стимулировать заживление десен. Хирургическое вмешательство: в сложных случаях может потребоваться хирургическое вмешательство для восстановления структуры десен и удаления глубоко расположенных инфекций.
Какое самое эффективное лекарство от пародонтита?
Самым эффективным лечением пародонтита является комплексный подход, включающий профессиональную гигиену полости рта, удаление зубного камня и налета, а также использование антисептических растворов и антибиотиков по назначению стоматолога. Важно также соблюдать регулярный уход за зубами и посещать стоматолога для профилактических осмотров.
Как восстановить десны от пародонтоза?
Для восстановления десен при пародонтозе необходимо обратиться к стоматологу для профессиональной чистки зубов и удаления зубного камня. Также рекомендуется соблюдать гигиену полости рта, использовать антисептические ополаскиватели, применять зубные пасты с фтором и регулярно посещать стоматолога для профилактических осмотров. В некоторых случаях могут быть назначены медикаментозные препараты или процедуры, такие как лазерная терапия, для улучшения состояния десен.
Можно ли восстановить костную ткань при пародонтозе?
Регенерация костной ткани при пародонтозе может осуществляться по одному из следующих вариантов: использование специальных протеинов и материалов, которые вызывают активизацию продуцирования костной ткани.
Советы
СОВЕТ №1
Регулярно посещайте стоматолога для профессиональной чистки зубов. Это поможет удалить зубной налет и камень, которые способствуют развитию пародонтоза. Рекомендуется делать это не реже двух раз в год.
СОВЕТ №2
Обратите внимание на свою гигиену полости рта. Чистите зубы не менее двух раз в день с использованием фторсодержащей зубной пасты и не забывайте о зубной нити для удаления остатков пищи между зубами.
СОВЕТ №3
Изучите и применяйте методы поддерживающей терапии, такие как использование антисептических ополаскивателей для рта, которые могут помочь в борьбе с бактериями, вызывающими пародонтоз.
СОВЕТ №4
Следите за своим образом жизни: сбалансированное питание, отказ от курения и регулярные физические нагрузки могут значительно улучшить общее состояние здоровья и снизить риск развития пародонтоза.













