Детский стоматит — распространённая болезнь гетерогенной группы заболеваний разной этиологии.
В раннем возрасте стоматит возникает из-за инфекций, связанных со слабой иммунной системой, и воспалительных процессов, происходящих в повреждённой слизистой.
Маленькие дети стремятся попробовать «на вкус» всё, что их окружает. В результате в ротовую полость попадают бактерии, вызывающие воспаление.
Что такое детский стоматит? Его код в МКБ 10
Стоматитом у детей (по МКБ шифр К12) называются воспалительные процессы в слизистой рта, которые сопровождаются болью при глотании.
Проявления болезни: белый плотный налёт, отёчность, язвы, трещинки или пузырьки с жидкостью.
Лечение заболевания осуществляется с учётом факторов, вызвавших его, и возраста ребёнка.
Стоматит у детей — это распространенное заболевание, которое может вызывать значительный дискомфорт и беспокойство как у маленьких пациентов, так и у их родителей. Врачи подчеркивают, что своевременное обращение к специалисту и правильное лечение играют ключевую роль в предотвращении осложнений. Основные симптомы стоматита включают воспаление слизистой оболочки рта, появление язвочек и болезненные ощущения, что затрудняет прием пищи и питья.
Для лечения стоматита врачи рекомендуют использовать антисептические растворы для полоскания, а также специальные гели и мази, которые облегчают симптомы. Важно также следить за гигиеной полости рта и избегать острых и кислых продуктов, которые могут усугубить состояние. В некоторых случаях может потребоваться применение противовирусных или противогрибковых препаратов, если стоматит вызван инфекцией.
Родителям стоит помнить, что стоматит, хотя и является распространенной проблемой, требует внимательного подхода и наблюдения. При появлении первых симптомов лучше всего обратиться к врачу для получения профессиональной помощи и рекомендаций.

Виды болезни у детей. Как определить разновидность?
В зависимости от того, что вызвало заболевание, различается несколько типов стоматита:
- герпетический;
 - грибковый;
 - афтозный;
 - аллергический;
 - бактериальный.
 
Важно! Патология имеет множество форм, её проявления могут отличаться. Поэтому при появлении первых признаков рекомендуется обратиться к специалисту.
Клиника герпетического
Эта форма патологии является самой распространённой. Встречается не только у детей в возрасте от года до трёх лет, но и у взрослых.
Внимание! Развитие инфекции зависит от иммунной системы человека. После попадания в организм инфекция никуда не пропадает, а остаётся в латентном состоянии. Ослабление иммунитета вызывает хроническое течение, сопровождаемое рецидивами и ремиссиями.
Сначала в полости рта возникают покраснения, переходящие в везикулы. Потом пузырьки лопаются и образуются язвочки, эрозии, трещинки на слизистых.
У ребёнка пропадает аппетит, и он начинает капризничать. Острая форма сопровождается повышением температуры и увеличением лимфатических узлов.
Появляется сухость во рту, озноб, рвота, тошнота и головная боль. Участки поражённой слизистой увеличиваются. Воспалительный процесс переходит на дёсны.
Стоматит у детей — это распространенное заболевание, которое вызывает беспокойство у родителей. Многие отмечают, что болезнь может проявляться в виде болезненных язвочек во рту, что затрудняет еду и питье. Важно помнить, что стоматит может быть вызван различными факторами, включая вирусные инфекции, аллергии или недостаток витаминов. Родители советуют не откладывать визит к врачу, если симптомы не проходят, так как это может привести к осложнениям. Лечение часто включает антисептические растворы, специальные гели и соблюдение диеты. В интернете можно найти множество примеров фото, которые помогают распознать стоматит и понять, как он выглядит. Главное — не паниковать и следовать рекомендациям специалистов.

Грибковый
Особенности:
- Чаще всего болезнь протекает в острой форме. Сопровождается увеличением лимфатических узлов и повышением температуры.
 - На поражённых участках слизистой появляется сероватый или белесый налёт, по виду напоминающий творог.
 - У ребёнка появляется зуд во рту, который сопровождается сухостью и жжением. Кроме того, малыш начинает капризничать, плохо спит и отказывается от еды.
 - При лёгкой форме патологии лимфоузлы не увеличиваются, а температура не повышается.
 - Очаги заболевания располагаются на поверхности дёсен, щёк, языка и губ.
 - Сначала на поражённых участках появляется белый налёт, со временем превращающийся в плёнку.
 
Афтозный
Современной медицине неизвестны точные причины появления этой формы заболевания. Среди вероятных вариантов называют нарушения в работе ЖКТ, аллергены (фрукты, яйца, шоколад), повреждения слизистых, бактерии. В группу риска попадают дети-дошкольники.
Важно! Клинические проявления напоминают герпетический стоматит.
На начальной стадии заболевания на поражённых участках образуются круглые ровные язвы (афты), сопровождаемые болью и покраснением. Если своевременно не начать лечение, афты покрываются тонкой плёнкой. У ребёнка повышается температура, он отказывается от еды. Появляется сонливость.

Аллергический
Причина возникновения аллергического стоматита — различные аллергены (шерсть животных, пыльца растений и т. д.).
Внимание! Нередко эта форма патологии у ребёнка проявляется как осложнение перенесённого ранее диатеза.
Излечивается аллергический стоматит, только если выявляется и устраняется аллерген.
Клинические проявления:
- зуд, жжение и сухость в ротовой полости;
 - затруднённое проглатывание пищи, изменение вкусовых ощущений;
 - покраснения, отёчность;
 - язык приобретает «лакированную» поверхность.
 
Если своевременно не обратиться к специалисту, то аллергия переходит на слизистые ротовой полости, губы и язык, а также повышается температура тела.
От чего появляется бактериальный?
Причина возникновения этой формы заболевания — бактерии, проникающие в полость рта. Чаще всего это стрептококки и стафилококки. Они всё время находятся в ослабленном организме ребёнка. Течение болезни сопровождается воспалением повреждённых участков, зудом, жжением, сухостью во рту и повышением температуры.
Важно! Если слизистая не поражена, не нужно бояться болезни, но малейшее повреждение тканей может её спровоцировать.
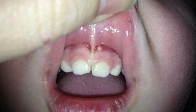
Примеры фото
Фото 1. Пример картинки внутренних поверхностей полости рта с наличием герпетического стоматита у ребенка.
Фото 2. Наличие стоматита на губах маленького ребенка в виде нескольких небольших кровоточащих язвочек.
Фото 3. Запущенная стадия развития кандидозного стоматита (по-другому молочница) в полости рта ребенка.
Какие бывают этапы лечения стоматита у маленького ребенка?
- Местная терапия. Приём препаратов, подходящих для определённой формы болезни. Определить причину, а также подобрать лекарство может только специалист.
 - Соблюдение диеты. На время лечения из детского рациона исключаются продукты, раздражающие слизистую ротовой полости. Пища должна быть жидкой или полужидкой.
 - Укрепление иммунитета. Рекомендуется принимать витамины (по предписанию врача), укрепляющие иммунитет и снижающие риск появления рецидива.
 
Первая помощь
Первая помощь при детском стоматите заключается в том, чтобы обогатить организм ребёнка витаминами группы B и железом.
Внимание! Рекомендуется давать детям липовый, мятный и ромашковый чай, так как они убивают микробы.
Терапия герпетического
Этапы:
- Поражённые зоны несколько раз в день обрабатываются отварами из ромашки или шалфея. Маленьким детям обработку осуществляют ватными палочками или дисками, дети постарше полощут рот.
 - Язвочки лечатся прополисом.
 - Детям от 4 лет врачи назначают противомикробные препараты с лёгким обезболивающим эффектом (Стоматидин) и противогерпетические мази (Ацикловир, Зовиракс).
 - В целях обогащения организма витаминами могут прописать Имудон.
 
Лечение грибкового
Основу лечения этой формы заболевания составляет создание щелочной среды, уничтожающей бактерии. Для этого ротовую область обрабатывают содой. Дети постарше полощут рот раствором соды (2 ч. л. на стакан воды).
Воспалённые участки обрабатываются специальными мазями или кремами. Высокая температура сбивается детским жаропонижающим. Старшим детям специалист может назначить противогрибковые препараты (Флуконазол, Дифлюкан).
Важно! Особое внимание требуется уделить тем участкам дёсен, где скапливается больше всего грибка.
Кроме того, курс лечения дополняется диетой и курсом витаминов.
Избавление от афтозного
Разработать более точный курс лечения можно, если проконсультироваться у аллерголога, стоматолога и гастроэнтеролога.
Существует несколько вариантов терапии:
- Если болезнь вызвана аллергией, то исключается аллерген и назначаются антигистаминные препараты.
 - Афты обрабатываются борной кислотой, настоями трав, содой или синькой. Антисептики и противомикробные препараты подбираются с учётом особенностей организма и возраста ребёнка.
 - При обнаружении проблем с ЖКТ, лечение проводится с учётом этой патологии.
 
Терапия аллергического
Лечение аллергического стоматита заключается в определении аллергена и устранении его воздействия на организм. Для этого применяются антигистаминные препараты (Супрастин, Парлазин). Кроме того, врач подбирает гипоаллергенное питание.
Внимание! Если у ребёнка был обнаружен аллергический стоматит, то следует исключить контакт ребёнка с домашними животными и бытовой химией.
Лечение бактериального
Все виды терапии включают в себя диету и курс витаминов (витамины группы B и C).Эта форма заболевания не исключение.
Она лечится с помощью антисептических препаратов (спрей Гексорал, Тантум Верде).
Но нужно помнить, что детям до года такие средства противопоказаны.
А также можно применять лечебные леденцы (детям до 6 лет они противопоказаны).
Можно ли гулять и ходить в садик?
Заразность болезни напрямую зависит от её возбудителя. Герпетический, грибковый и бактериальный стоматит может быть заразным. Травматическая и аллергическая форма не распространяются.
Важно! Инфекционный стоматит передаётся воздушно-капельным путём, поэтому следует не посещать детский сад и другие места, где ребёнок может заразить окружающих.
Полезное видео
На видео рассказывается о причинах возникновения стоматита у ребенка и методах его лечения.
Как понять, что началась патология?
Любая болезнь представляет опасность для человека. А патология, которую выявили в запущенной форме, опасна вдвойне. И стоматит не является исключением. Поэтому при появлении первых признаков заболевания необходимо обратиться к специалисту, ведь своевременное обследование и адекватное лечение помогут избежать осложнений.


Вопрос-ответ
Чем опасен стоматит у ребенка?
Средняя и тяжелая форма заболевания опасны отравлением всего организма. Афтозный стоматит у детей до года грозит осложнением – вторичным занесением инфекции. При этой форме болезни возможно воспаление лимфатических узлов и повышение температуры.
Как выглядит детский стоматит во рту?
Жжение и зуд во рту, появление на внутренней поверхности щек, деснах, языке и небе болезненных язвочек белого цвета с красным окаймлением и мутной пленкой сверху – афт, которые имеют характерные для этого типа болезни четкие и ровные края.
Какое самое эффективное средство от стоматита?
При герпетическом стоматите назначают противовирусные препараты. Наиболее эффективными считаются таблетки для сублингвального приема (Эргоферон, Ацикловир, Зовиракс). Если присоединяется вторичная инфекция, проводят курс антибиотикотерапии. При кандидозном стоматите назначают противогрибковые средства для полости рта.
Советы
СОВЕТ №1
Обратите внимание на симптомы стоматита: если у вашего ребенка появились язвы во рту, покраснение десен или повышенная температура, не откладывайте визит к врачу. Раннее обращение за медицинской помощью поможет избежать осложнений и ускорить процесс выздоровления.
СОВЕТ №2
Следите за гигиеной полости рта вашего ребенка. Регулярная чистка зубов и использование антисептических растворов помогут предотвратить развитие стоматита. Объясните ребенку важность этих процедур, чтобы он понимал, как заботиться о своем здоровье.
СОВЕТ №3
Обратите внимание на питание. Во время болезни старайтесь давать ребенку мягкую и неострую пищу, чтобы не раздражать язвы. Увлажняющие и питательные продукты, такие как йогурты или пюре, помогут облегчить дискомфорт.
СОВЕТ №4
Используйте народные средства с осторожностью. Некоторые травяные настои или полоскания могут помочь облегчить симптомы, но всегда консультируйтесь с врачом перед их применением, чтобы избежать аллергических реакций или ухудшения состояния.









