Ультразвуковое отбеливание – самый щадящий метод, из известных на сегодняшний день. Его популярность объясняется тем, что данный метод не вредит эмали. С помощью ультразвука можно устранить отложения, зубной камень и повысить белизну зубного ряда. При назначении процедуры врач учитывает степень изменения цвета эмали и наличие хронических заболеваний у пациента. Ультразвуковое отбеливание зубов – комплексная процедура. Она включает несколько последовательно проводимых манипуляций. На первом этапе проводится аппаратная чистка зубов, посредством которой с поверхности эмали устраняется налет и отложения. После этого проводится устранение содержимого пародонтальных карманов, при необходимости посредством кюретажа. На последнем этапе производится полировка и шлифовка поверхности зуба посредством ультразвука. Отбеливание зубов ультразвуком позволяет не только существенно осветлить эмаль, но и поддержать здоровье зубов, предотвращая развитие кариеса и образование новых осложнений.
Ультразвуковое отбеливание зубов
Ультразвуковая чистка зубов, отбеливание эмали должны проводиться перед любыми лечебными или профилактическими процедурами, а также в качестве косметического воздействия. По-сравнению с механической очисткой или химическим отбеливанием, данная методика имеет одно неоспоримое преимущество — безопасность. Очистить зубной камень с поверхности эмали посредством механического воздействия без повреждения поверхности практически невозможно. Ультразвук способен безболезненно удалить камень, не повредив эмаль. Склеллеры, используемые для этой процедуры, имеют специальную заточку, которая позволяет проводить процедуру безвредно, не повреждая эмаль зуба и не травмируя десны.
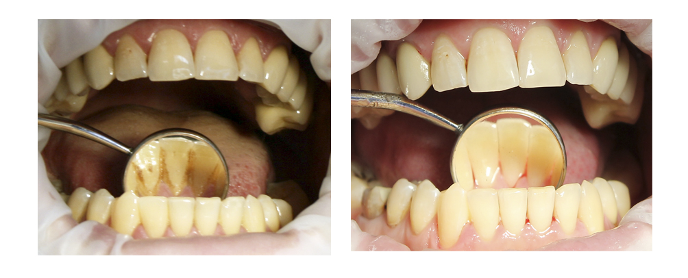
Фото 1. Ультразвуковое отбеливание зубов
Но в некоторых случаях профессиональная чистка зубов проводится с местной анестезией. Это происходит в случае, если у пациента имеется запущенный пародонтит и десневые карманы содержат большое количество гноя, остатков пищи и зубной камень. В данном случае перед ультразвуковой чисткой проводится кюретаж. Эта методика позволяет провести предварительную очистку и оздоровление ротовой полости. При проведении кюретажа стоматолог производит вскрытие кармана и очистку шейки и корня зуба. После чего десна ушивается, а на нее накладывается лечебная повязка. После того, как десна восстановится (для этого необходимо 3-4 дня), можно проводить отбеливание.
Чистка эмали с применением ультразвука используется не только для здоровых зубов. Ей могут быть подвергнуты пломбированные зубы. Также чистку рекомендуется проводить непосредственно перед пломбированием или протезированием. Удаление налета не только поможет оздоровить ротовую полость и позволит проводить дальнейшие процедуры без осложнений, но и поможет точнее подобрать цвет имплантов или пломбировочного материала. Чистка позволяет улучшить прочность связки пломбировочного материала и ткани зуба. Особенно это актуально для пациентов, страдающих пришеечным кариесом.
Фото 2. Удаление зубного налета и камней ультразвуковой чисткой
Врачи-стоматологи отмечают, что ультразвуковое отбеливание зубов становится все более популярным среди пациентов, стремящихся к белоснежной улыбке. По мнению специалистов, этот метод обладает рядом преимуществ, таких как минимальная травматичность для эмали и быстрое достижение желаемого результата. Ультразвук помогает эффективно удалять зубной налет и пигментацию, что делает процедуру более безопасной по сравнению с традиционными химическими отбеливателями. Однако врачи предупреждают, что не всем пациентам подходит данный метод. Людям с чувствительной эмалью или определенными стоматологическими заболеваниями следует проявлять осторожность и предварительно консультироваться со специалистом. В целом, ультразвуковое отбеливание зубов может стать отличным решением для тех, кто хочет улучшить эстетику своей улыбки, но важно учитывать индивидуальные особенности каждого пациента.

Процедура ультразвукового отбеливания зубов
Наилучшим считается проведение процедуры один раз в полгода или год. Для ее проведения используется специальный аппарат. Чистка занимает примерно час-полтора. Ультразвуковая вибрация помогает не только устранить налет, но и провести чистку пародонтальных каналов. Эта процедура — альтернатива устранению промежутка между зубами, когда большие фиссуры закрываются специальным клеем на полимерной основе, что позволяет снизить заболеваемость и последующую потерю зубов. Промывка пародонтальных каналов посредством ультразвука может быть показана людям, имеющим тонкую или истонченную эмаль. Процедура промывки снижает чувствительность зубов. Отбеливание зубов ультразвуком для чувствительных зубов помогает снизить реакцию ткани зуба на холодную и горячую пищу. Это хорошая профилактика развития кариеса.
Во время проведения очистки зубов посредством ультразвука не происходит перегревания ткани зуба, как во время проведения другого аппаратного отбеливания. Так как не производится непосредственного нагревания наконечника аппарата.
После проведения процедуры проводится покрытие зубов вторсодержащим гелем. Это позволяет насытить зубную эмаль фтором и укрепить ее. Чувствительность зубов после этой процедуры ощутимо падает, а возникновение кариеса резко снижается.
Фото 3. Процедура отбеливания зубов ультразвуком
Показания к ультразвуковому отбеливанию зубов
Очистка ультразвуком используется не только как улучшение общего вида зубов. Для ее регулярного проведения существует несколько показаний.
В качестве профилактического средства стоматология использует чистку:
- при возникновении зубного камня,
 - формировании поддесневых отложений,
 - наличии неприятного запаха,
 - отечности ткани десны,
 - наличии имплантов,
 - налете от чая, кофе, табака,
 - кровоточивости десны.
 
Чистка способна не только замедлить болезнетворный процесс, но и предотвратить его возникновение.

Фото 4. Определение тона зубов перед ультразвуковой чисткой
Изменение цвета эмали характерно при длительном приеме некоторых препаратов, например лекарств тетрациклинового ряда. Своевременно проводимое отбеливание и чистка способны предотвращать развитие болезнетворных процессов и возникновение воспалительных заболеваний, таких как:
- пародонтита, который сопровождается ослаблением десны, и формированием пародонтальных карманов,
 - периодонтита,
 - периостита,
 - гингивита и пр.
 
Ультразвуковое отбеливание зубов вызывает множество отзывов среди пациентов и стоматологов. Многие отмечают, что процедура проходит быстро и безболезненно, что делает её привлекательной для тех, кто боится традиционных методов. Пациенты часто упоминают, что результат заметен уже после первого сеанса, а эффект сохраняется на длительное время.
Некоторые пользователи отмечают, что после процедуры чувствительность зубов может увеличиваться, но это обычно временное явление. Важно также учитывать, что не всем подходит данный метод: людям с определёнными стоматологическими проблемами стоит проконсультироваться с врачом перед началом отбеливания. В целом, большинство отзывов положительные, и многие рекомендуют ультразвуковое отбеливание как эффективный способ улучшить улыбку.

Методики ультразвукового отбеливания зубов
Существует два основных метода ультразвуковой очистки зубов: с применением кислородного геля, с использованием содового раствора.
Фото 5. Ультразвуковое отбеливание
- Перед началом отбеливания зубы покрываются специальным гелем, который включает большое количество связанного кислорода. Он имеет яркую окраску, как правило голубую. Яркий цвет помогает врачу контролировать равномерность нанесения. Гель содержит катализатор, который снижает чувствительность зубов во время ультразвукового воздействия. Под воздействием ультразвука кислород высвобождается и проводит очищение эмали. Некоторые методики допускают применение для этой процедуры раствора перекиси водорода. Она также эффективно очищает поверхность эмали от любых налетов.
 - В некоторых случаях для отбеливания и чистки используется столовая сода. Также как и кислородное удаление налета — это безтравматичный способ. Он не повреждает эмаль зуба и очень эффективен при устранении налета от кофе, чая и табака.
 - Для устранения зубного камня проводится очистка с использованием абразивного порошка. Ультразвук, который производит скейлер, позволяет устранить камень в кратчайшие сроки.
 
Все вышеперечисленные методики абсолютно безопасны и не имеют побочных эффектов и болезненных последствий.
Преимущества и недостатки ультразвукового отбеливания зубов
Это обязательная процедура, в случае, если пациенту будет проводиться имплантация, лечение зубов или десен. После ее осуществления резко снижается активность болезнетворных процессов в ротовой полости и развитие кариеса. Еще одним преимуществом этого вида чистки является восприимчивость зубов к последующим лечебно-профилактическим процедурам, например, к фторированию эмали.
К преимуществам можно отнести:
- улучшение общего состояния ротовой полости,
 - предотвращение развития кариеса;
 - устранение отложений на зубах, которые могут спровоцировать возникновение воспалительных заболеваний, расшатывание зубов и их последующее выпадение.
 
Обязательная профилактическая мера против кариеса происходит при помощи фторирования сразу после процедуры ультразвукового отбеливания
Фото 6. Образование отложений на зубах
Ультразвуковая чистка зубов и осветление эмали сможет изменить цвет зубов на несколько оттенков. Невозможно сделать полностью белыми зубы у людей, которые от природы имеют желтоватый оттенок эмали. Эффект отбеливания при соблюдении правил гигиены ротовой полости и воздержании от приема чая, кофе и табака в больших количествах, при своевременной чистке зубов может сохраняться до 2-х лет.
Противопоказания
Процедуру нельзя проводить людям, имеющим острые воспалительные процессы в ротовой полости. К ним относятся:
- пародонтоз,
 - гингивит,
 - периодонтит и пр.
 
Нельзя проводить процедуру людям, имеющим аллергические реакции на анестетики. Удаление налета должно предваряться консультацией лечащего врача у людей, которые имеют заболевания сердечно сосудистой системы или поражения органов дыхания, такие как:
- хронический ларингит,
 - фарингит,
 - трахеит,
 - бронхит,
 - тонзиллит,
 - астма и пр.
 
Недостатком, наряду с противопоказаниями является уменьшение видимости поля воздействия для врача. Доктор не имеет возможности провести тактильное обследование области очистки во время проведения процедуры.
Ультразвуковая чистка эффективнее, чем ручное вмешательство
К минусам отбеливания можно отнести:
- временное усиление чувствительности зубов к высокой или низкой температуре;
 - легкое воспаление десны или языка, которое проходит в течение нескольких дней, а также легкие болевые ощущения.
 
Фото 7. Чувствительность зубов от горячего или холодного
Ультразвуковое отбеливание проводится даже на депульпированных зубах. Неприятные ощущения при этом устраняются посредством обезболивания. Провести такую процедуру может только опытный стоматолог.
Таблица 1. Положительные и отрицательные факторы ультразвукового отбеливания зубов
| 
 Положительные факторы  | 
 Отрицательные факторы  | 
| 
 Очищает от зубного камня  | 
 При частом отбеливании эмаль зубов темнеет  | 
| 
 Устраняет желтый налет  | 
 Деминирализуется структура зуба от гидроперидной смеси  | 
| 
 Полирует зубы фторированием  | 
 Повышается чувствительность зубов  | 
| 
 Безболезненно  | 
 Возможны аллергические реакции на смеси, гели и химические элементы в составе  | 
| 
 Время процедуры  | 
 
  | 
Гигиена ротовой полости и забота о здоровье зубов подталкивают многих людей пользоваться ультразвуковыми щетками для ежедневной чистки зубов. Этот инструмент не может обеспечить полнообъемную процедуру и удалить отложения и зубные камни. Кроме того, ультразвуковая щетка не позволяет полностью устранить потемнение эмали от употребления чая, кофе или табака. Белоснежный вид зубы могут получить только в кабинете стоматолога, но поддерживать их в хорошем состоянии может помочь и ультразвуковая щетка.
Фото 8. Принцип работы ультразвуковой щетки
Видео: Ультразвуковое отбеливание зубов

Вопрос-ответ
Можно ли отбелить зубы ультразвуком?
Ультразвуковое отбеливание зубов — это стоматологическая процедура, направленная на удаление налёта, зубного камня и поверхностных пятен с эмали. Процесс отбеливания проводится с использованием ультразвукового аппарата, который генерирует высокочастотные звуковые колебания.
Какое самое безопасное отбеливание зубов?
Air-Flow. Большинство стоматологов отдает предпочтение методу Air-Flow. Данный метод считается самым безопасным отбеливанием зубов в стоматологии.
Минусы ультразвуковой чистки зубов?
Самые распространенные осложнения после процедуры — воспаление десен, повышенная чувствительность зубов и повреждения целостности слизистой оболочки рта. Воспаление десен может возникнуть из-за заболеваний, которые на момент чистки зубов не были вылечены.
Советы
СОВЕТ №1
Перед проведением ультразвукового отбеливания зубов обязательно проконсультируйтесь с стоматологом. Он поможет определить, подходит ли вам эта процедура, и выявит возможные противопоказания.
СОВЕТ №2
После процедуры старайтесь избегать продуктов, которые могут вызвать окрашивание зубов, таких как кофе, чай, красное вино и курение, в течение как минимум 48 часов. Это поможет сохранить эффект отбеливания на более длительный срок.
СОВЕТ №3
Регулярно проводите профессиональную гигиену полости рта, чтобы поддерживать здоровье зубов и десен. Это поможет не только сохранить результат отбеливания, но и предотвратить возникновение других стоматологических проблем.
СОВЕТ №4
Используйте зубные пасты, содержащие компоненты для отбеливания, и следуйте рекомендациям по уходу за зубами, чтобы поддерживать их белизну и здоровье после процедуры.






