Кариес может затронуть любой зуб, причем как один, так и несколько сразу. Особенно неприятным заболевание бывает, если от кариеса страдают передние зубы.
Во–первых, они постоянно находятся на виду. Неприятные признаки болезни, а особенно ее последствия, непременно отразятся на внешнем виде человека.
Во-вторых, передние зубы активно участвуют в процессе пережевывания пищи. Если они больны, то еда будет поступать в пищевод недостаточно переработанной.
В статье мы подробно рассмотрим причины появления кариеса на передних зубах. Узнаем, каковы признаки заболевания, особенности течения болезни и ее стадии. Также немаловажным является вопрос о лечении кариеса передних зубов.
Существует методы, способные спасти зуб и придать ему эстетичный внешний вид.
на фотографии изображена причина возникновения кариеса, которая вызвана остатками пищи на зубах, в последствии чего возникает твердый налет.
Кариес передних зубов — это самое неприятное заболевание ротовой полости. Ведь передние зубы не только сверхчувствительны к боли, но и являются показателем привлекательности. Если они поражены кариесом и выглядят неэстетично, то человек становится мнительным, реже улыбается, что влечет за собой проблемы в общении и прочие трудности психологического плана.
Кариес нередко вызывает проблемы во всей зубочелюстной системе. Заболевание приводит ко множеству осложнений. Они выражаются в смещения зубного ряда, нарушении дикции, появлении сильных болей и т.д.
Особенность возникновения кариеса на передних зубах
Главной причиной образования на передних зубах кариеса является наличие микроорганизмов. Они живут в ротовой полости и питаются налетом, остающимся от остатков еды. После переработки пищи, микробы начинают выделять органическую кислоту. Она разъедает эмаль зуба и образует в нем кариозную полость.
  У передних зубов самая тонкая эмаль в пришеечной зоне, по сравнению со всеми другими зубами. По этой причине бактерии, являющиеся возбудителем кариеса, наиболее часто поражают именно эту область. Со временем процесс переходит на боковые стенки и внутреннюю поверхность зуба. 
Существует еще одна особенность возникновения кариеса на передних зубах. Между резцами, расположенными между собой довольно тесно, часто забиваются остатки пищи. Поскольку этими зубами человек откусывает куски пищи, то возможность для проникновения бактерий возрастает.
Врачи-стоматологи отмечают, что кариес передних зубов является одной из наиболее распространенных проблем, особенно у детей и подростков. Это связано с тем, что передние зубы более подвержены воздействию внешних факторов, таких как сладости и кислые напитки. Специалисты подчеркивают важность регулярной гигиены полости рта и профилактических осмотров, чтобы предотвратить развитие кариеса. Они рекомендуют использовать фторсодержащие пасты и ополаскиватели, а также ограничивать потребление сахара. Врачам важно не только лечить уже возникшие проблемы, но и обучать пациентов правильному уходу за зубами, чтобы сохранить здоровье улыбки на долгие годы.

Почему возникает кариес передних зубов?
- В передних зубах слой дентина очень тонкий, поэтому разрушается довольно быстро. Очень часто кариес развивается в боковых их частях, то есть в местах, где резцы соприкасаются друг с другом. Частички пищи скапливаются в промежутках, и если гигиена рта недостаточна, впоследствии появляется зубной камень и твердый налет.
 - Неправильный прикус — еще одна весомая причина кариеса передних зубов, поскольку в этом случае процесс ухода за полостью рта значительно усложняется. При очень широкой фиссуре или узких щелях между резцами также очень трудно выполнять гигиенические процедуры.
 - Очень многое зависит от пищевого рациона: дефицит витаминов, микро- и макроэлементов ведет к изменению свойств зубной эмали. Избыточное употребление углеводов, недостаток в рационе кальция — все это влечет за собой проблемы с зубами.
 - Люди, имеющие слабый иммунитет, страдают от кариеса передних зубов чаще остальных. В группе риска — старики и дети.
 - Повреждения, сколы и прочие травмы передних зубов также могут спровоцировать развитие кариеса, поскольку в трещинах накапливаются болезнетворные микроорганизмы.
 - Кариес передних зубов часто диагностируют у лиц, которые в процессе трудовой деятельности постоянно контактируют с щелочами, кислотами, простыми сахарами (профессиональная вредность).
 - У детей часто встречается множественный кариес передних зубов. Как правило, он развивается довольно стремительно. Отдельная его разновидность — «бутылочный» кариес.
 - Нерегулярная или недостаточная гигиена ротовой полости. По этой причине на зубах скапливается налет и образовываются отложения.
 - Наследственная предрасположенность, которая может быть причиной целого ряда благоприятных для развития болезни факторов. Это тонкость дентина, его низкая устойчивость к разрушительному действию бактерий и т.д.
 - Проблемы с микрофлорой, связанные с увеличенным количеством стрептококков. Они выделяют большое количество кислоты в качестве продукта жизнедеятельности.
 - Ношение брекетов и протезов, которые травмируют зубную эмаль. Также они затрудняют проведение гигиенических процедур.
 - Проблемы со слюнными железами. Слюны может выделяться недостаточно, она может быть вязкой и т.д.
 - Период беременности и грудного вскармливания. В это время наблюдается нехватка кальция и других минеральных веществ.
 
Стадии кариеса передних зубов
В большинстве случаев заболевание развивается медленно.
Выделяют 4 стадии развития кариеса на передних зубах:
- Белое пятно. Оно образуется на поверхности эмали. Представляет собой шероховатое пятно, отличающееся по окраске от зубной поверхности.
 - Поверхностный. Пятно начинает разрушать твердую оболочку зуба. На поверхности образуется кариозная полость.
 - Средний (дентина). Кариес углубляется внутрь зуба. Начинается разрушение внутренних тканей.
 - Глубокий. Наблюдается поражение дентина, который окружает пульпу.
 
Кариес передних зубов — это проблема, о которой говорят многие. Люди часто выражают беспокойство по поводу эстетики своей улыбки, ведь поврежденные зубы могут значительно снизить уверенность в себе. Многие отмечают, что кариес на передних зубах не только портит внешний вид, но и вызывает дискомфорт при жевании и разговоре. Некоторые делятся опытом, как они пытались скрыть недостатки с помощью косметических средств или даже временных пломб. Важно отметить, что профилактика играет ключевую роль: регулярные визиты к стоматологу и правильная гигиена полости рта могут предотвратить развитие кариеса. Люди также советуют не игнорировать первые признаки проблемы и обращаться за помощью на ранних стадиях, чтобы избежать более серьезных последствий.
Признаки заболевания и его особенности
Кариес передних зубов пациент обычно замечает самостоятельно, хотя первые его проявления может увидеть и стоматолог при лечении других зубов. Это, в первую очередь, изменения цветового оттенка по причине декальцификации эмали, а также пятна серого либо коричневого цвета.
Симптомы заболевания человек ощущает, когда кариес перешел от поверхностной стадии к средней. Ими могут быть:
- чувствительность зуба к воздействию кислых сред и температур;
 - острая, порой нестерпимая боль, которую сложно унять даже с помощью анальгетиков;
 - неэстетичный внешний вид зуба — в нем появляется визуально заметный дефект (кариозная полость);
 - разного рода осложнения (флюс, периодонтит, пульпит).
 
Особенность развития кариеса передних зубов заключается в том, что и эмаль, и дентин здесь значительно тоньше, поэтому кариозный процесс поразительно быстро распространяется вглубь. К тому же налет, остающийся на задних поверхностях зубов при неправильной чистке, со временем уплотняется и провоцирует образование зубного камня, под которым зачастую «прячется» начальный кариес.
на фотографии изображен кариес начальной стадии, когда начинает разрушатся твердая оболочка зубов и возникают полости.
Как лечат кариес передних зубов?
Лечение кариеса передних зубов — сложная задача, которую под силу выполнить лишь внимательному, квалифицированному и опытному стоматологу. Трудности состоят не только в том, что эти зубы находятся на виду и потому требуют высокоэстетичного результата лечения. Большую роль играет и небольшой размер этих зубов, что требует от врача максимальной точности и ответственности.
На начальной стадии болезни, как и в других случаях, можно произвести реминерализацию передних зубов с помощью аппликаций или физиотерапевтических процедур.
На фотографии реминерализация с помощью физиотерапевтических процедур, а именно лекарствами, в состав которых входят кальций, фосфор, фтор, что способствует укреплению эмали зуба.
При среднем и глубоком кариесе переднего зуба (особенно, пришеечном) перед врачом стоит задача не только вылечить болезнь, но и отреставрировать его таким образом, чтобы он внешне не отличался от здорового. В современной стоматологии для этого используют виниры, специальные пломбировочные материалы и коронки.
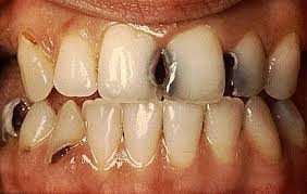
На фотографии изображена глубокая стадия кариеса, поражение слоя дентина, после которой разрушается все структура зуба.
Аппликация зубов и физиотерапевтические процедуры
Аппликация используется на первой стадии кариеса, когда затронута только поверхность зуба. Метод заключается в нанесении на эмаль специальных лекарственных средств. Препараты способствуют торможению развития микроорганизмов и разрушают ферменты микробов. Благодаря содержанию в них активных компонентов – фтора, кальция, фосфора и др., ткани зуба укрепляются. Физиотерапия может заключаться в применении лазера, введении инъекций, электрического тока и др.
На фотографии изображена процедура аппликации на первой стадии кариеса методом нанесения лекарственных средств.
Лечение методом пломбирования
Пломбу на передний зуб ставят в тех случаях, когда кариес еще не поразил основную его часть. Обычно используется анестезия, поскольку резцы особо чувствительны к разного рода манипуляциям, а врачу для качественного выполнения работы необходимо спокойное поведение пациента. В современных частных стоматологических клиниках при реставрации передних зубов используются композитные светоотражающие материалы высокого качества. Завершая лечение, доктор искусно полирует пломбу, чтобы не осталось ни зубцов, ни царапин: любой дефект может послужить причиной повторного развития инфекции. Таким образом, сегодня опытный специалист может сделать чудо: не просто вылечить передний зуб, но и полностью восстановить его цвет и форму, то есть вернуть привлекательный внешний вид. В какой-то мере, работа стоматолога в данном случае напоминает творчество скульптора.
На фотографии изображена процедура пломбирования передних зубов, когда возникшие полости можно закрыть разными пломбами.
На стадии пятна передние зубы лечить проще, чем когда уже имеются кариозные полости. Если стоматолог выполнит всю работу правильно, риск рецидива кариеса будет минимальным, и восстановленный зуб прослужит человеку долгие годы.
Установка виниров и коронок
Еще одна новейшая методика восстановления передних зубов — установка виниров. Сегодня этот способ лечения — достойная альтернатива коронкам. Винир — это специальная керамическая накладка, изготавливаемая в индивидуальном порядке. Ее фиксируют с помощью стоматологического клея. Данный процесс не требует глубокого препарирования кариозной полости, поэтому человек обычно не испытывает при лечении никакого дискомфорта.
На фотографии изображена процедура установки виниров, которыми являются керамические накладки и на сегодняшний день прекрасно заменяют коронки.
Коронка устанавливается если поражение кариесом обширное, и восстановить зуб нет возможности. Она надевается на т.н. «пеньки» и выглядит довольно эстетично. Оптимальным материалом для коронки считается керамика.
На фотографии изображена установка керамической коронки на передний зуб.
В сложных случаях применяются методики имплантации или протезирования. В любом случае, выбор способа лечения кариеса передних зубов определяется врачом-стоматологом.
Имплантация зуба
Имплант представляет собой штифт, выполненный из металла. Он внедряется в кость десны и заменяет корень зуба. В последствие на него закрепляется абатмент и протез (коронка). Он сделан в виде настоящего зуба, поэтому визуально не выделяется.
Во время операции стоматолог разрезает десну и делает углубление в десневой кости. На это место внедряется имплант, а после его приживления – абатмент. Затем на конструкцию закрепляют протез. Коронки могут быть как съемными, так и не съемными.
Наиболее подходящим материалом для импланта считается титан.
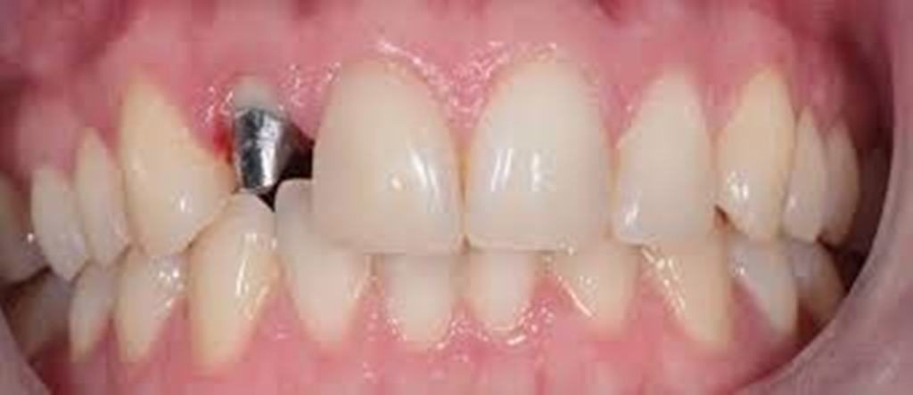
На фотографии изображено внедрение импланта в кость десны, которым есть металлический штифт – это основа импланта.
Метод протезирования
Этот метод является актуальным, когда сохранить зуб оказалось невозможным. Протез полностью заменяет потерянный зуб, как в функциональном, так и в косметическом плане. Они могут быть съемными, которые крепятся на живые зубы и несъемными. Во втором случае протез представляют собой отдельную конструкцию. Этот вариант использую при отсутствии большого количества живых зубов.
На фотографии изображены съемные протезы, которые можно легко использовать ежедневно.
Профилактика кариеса передних зубов
Профилактика кариеса передних зубов такая же как и в общих случаях: правильный пищевой рацион, регулярные посещения стоматолога, качественная гигиена ротовой полости. Берегите свое здоровье и красоту!
На фотографии изображен осмотр у стоматолога, что есть неотъемлемой частью профилактики кариеса.
Видео: Имплантология для передних зубов.

Передние зубы являются основным элементом красивой улыбки, а их потеря потребует полного восстановления. Имплантант – один из способов решить эту проблему.
Видео: Протезирование для зубов.

Протезирование используют в стоматологии для решения проблем с восстановлением зубов. Часто, такой способ может быть эффективным при разрушении передних зубов.
Вопрос-ответ
Можно ли вылечить кариес на передних зубах?
Кариес на передних зубах, лечение которого на первой стадии возможно с применением лечебных зубных паст и техники аппликации, восстанавливает состав эмали. На стадиях поверхностного пришеечного кариеса лечение означает применение технологии шлифования специальными дисками и полирами.
Чем опасен кариес на передних зубах?
Чем опасен кариес на передних зубах? Они оседают на зубном налете, начинают постепенно разрушать эмаль. В области резцов зубной налет особенно тяжело полностью удалить из межзубных промежутков. На таких участках активно размножаются бактерии, откладывается камень, появляются темные пятна и точки.
Что делать, если в передних зубах образовался кариес?
Кариес передних зубов называется фронтальным. Он может развиться из-за плохой гигиены полости рта, частого употребления сладкой пищи и напитков, а также кислотной эрозии. Эти кариесы проявляются в виде небольших углублений или отверстий в эмали. Это влияет на внешний вид зубов и может привести к повышенной чувствительности или дискомфорту.
Советы
СОВЕТ №1
Регулярно посещайте стоматолога для профилактических осмотров. Это поможет выявить кариес на ранних стадиях и предотвратить его развитие.
СОВЕТ №2
Следите за гигиеной полости рта: чистите зубы дважды в день с использованием фторсодержащей зубной пасты и не забывайте о зубной нити для удаления остатков пищи между зубами.
СОВЕТ №3
Сократите потребление сахара и кислых продуктов, которые могут способствовать развитию кариеса. Вместо сладостей выбирайте здоровые перекусы, такие как фрукты и орехи.
СОВЕТ №4
Используйте ополаскиватели для рта, содержащие фтор, чтобы укрепить эмаль зубов и снизить риск возникновения кариеса.












