Периодонтит – осложнение кариеса, часто встречающееся у детей любого возраста. Около 1/3 пациентов, которые обратились к детскому дантисту, страдают этим заболеванием.
Кариес не единственная причина возникновения болезни, есть множество других факторов. Например, некачественная терапия кариеса молочных зубов повышает вероятность воспаления тканей периодонта.
Что такое периодонтит? Признаки острой и хронической формы заболевания
Острый периодонтит у детей имеет ряд явных симптомов:
- Общее состояние ребёнка ухудшается, появляется вялость и усталость, пропадает аппетит.
 - Воспаление проявляется в виде сильных болевых ощущений периодонтальной ткани. Боль усиливается при приёме пищи, особенно горячей.
 - Ребёнок плохо спит из-за постоянной боли. Если она пульсирующая, значит скопилось много гноя. Тогда требуется неотложная медицинская помощь.
 - Не исключено повышение температуры тела.
 - Острая форма периодонтита у детей быстро развивается, и спустя несколько часов уже может наблюдаться скопление гноя.
 - Локальное воспаление также агрессивно распространяется по тканям и переходит в диффузное состояние.
 
Важно! Зачастую, болезнь не проявляется, и воспалительный процесс протекает в хронической форме.
Основные признаки хронического периодонтита:
- Периодические жалобы на возникающую боль в зубе во время употребления пищи.
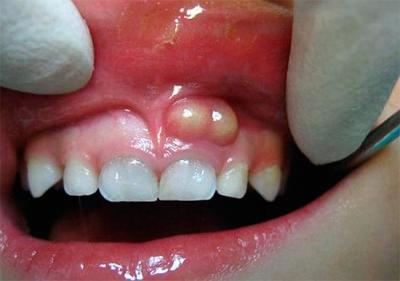
 - Маленькая припухлость десны около поражённого зуба.
 - Если развился свищ, слизистая оболочка набухает.
 - Хроническое воспаление чаще всего первичное и протекает в полостях с кариесом.
 
Важно! Симптомы хронического периодонтита не специфичны. Поэтому, любая жалоба ребёнка на дискомфорт – это серьёзный повод, чтобы сходить к специалисту на консультацию.
Периодонтит у детей представляет собой серьезную проблему, которую врачи не могут игнорировать. Это заболевание, поражающее ткани, окружающие зуб, может привести к потере зубов и другим осложнениям, если не будет своевременно диагностировано и лечено. Врачи подчеркивают, что периодонтит может развиваться на фоне плохой гигиены полости рта, кариеса и травм зубов.
Для предотвращения этого заболевания специалисты рекомендуют регулярные визиты к стоматологу, начиная с раннего возраста, а также обучение детей правильной технике чистки зубов. Важно также следить за рационом питания, ограничивая потребление сладостей и кислых продуктов, которые могут способствовать развитию кариеса. Врачи акцентируют внимание на том, что профилактика и раннее вмешательство могут значительно снизить риск возникновения периодонтита и сохранить здоровье зубов ребенка на долгие годы.

Виды хронического периодонтита
Различные формы хронического периодонтита имеют свои особенности клинического течения. В соответствии с клинико-морфологическими изменениями выделяют: гранулирующий, гранулематозный и фиброзный.
Гранулирующий
Гранулирующий периодонтит проявляется в виде слабых болей (ощущается тяжесть, распирающее чувство).
Слабо ощутимая болезненная реакция при надкусывании на повреждённый зуб. Такие ощущения нечастые. Они сопровождаются возникновением свища с гноем и выбрасыванием грануляционной ткани.
Анатомические особенности строения кости в детском возрасте и постоянные физиологические перестройки, объясняют природу постоянных появлений свищей. Разложение костной ткани обнаруживается возле верхушки корней с неявными контурами либо кривой линией.
Периодонтит у детей — это серьезное заболевание, которое может привести к потере зубов и другим осложнениям. Многие родители не осознают, что воспаление тканей, окружающих зуб, может возникнуть даже у самых маленьких. Основные симптомы включают боль, отек и кровоточивость десен. Если не обратить на это внимание, инфекция может распространиться, вызывая более серьезные проблемы со здоровьем.
Чтобы предотвратить периодонтит, важно следить за гигиеной полости рта. Регулярная чистка зубов дважды в день и использование зубной нити помогут удалить налет и предотвратить воспаление. Также стоит посещать стоматолога не реже двух раз в год для профессиональной чистки и осмотра. Обучение детей правильным привычкам ухода за зубами с раннего возраста играет ключевую роль в профилактике. Кроме того, здоровое питание, богатое витаминами и минералами, способствует укреплению зубов и десен. Заботясь о здоровье полости рта, родители могут значительно снизить риск развития периодонтита у своих детей.

Гранулематозный
Гранулематозный периодонтит не выражается явными симптомами. Редко, когда пациенты жалуются на неприятные ощущения при надкусывании. Для возникновения этого заболевания необязательно наличие кариеса в полости. Одна из причин – некачественно запломбированные каналы. Во время рентгенологического обследования видна картинка чётко очерченного разрежения костной ткани округлой формы. Иногда наблюдается разрушенная ткань зуба.
Фиброзный
Диагностировать фиброзную форму болезни сложно, поскольку у пациентов нет жалоб, и похожие клинические симптомы даёт гангренозный пульпит хронического характера. Главные признаки: изменяется цвет зуба, отсутствует реакция на термическое воздействие, при простукивании нет болей. Точный диагноз ставится только на основании снимка. На нем отчётливо видна деформация периодонтальной щели.
Фото 1. Развитие заболевания: 1) здоровый зуб; 2) поверхностный кариес; 3) средний и глубокий; 4) пульпит; 5) периодонтит.

Методы лечения
Методы лечения периодонтита подразделяются на терапевтические и хирургические.
Консервативный
- очистка кариеса;
 - удаление мёртвой ткани около корня и шейки;
 - антисептическая обработка каналов;
 - наложение временной пломбы;
 - спустя некоторое время стоматолог проводит цементирование каналов;
 - закладка постоянной пломбы;
 - для профилактики рекомендуется полоскать антисептиками.
 
Физиотерапевтический
Физиотерапия выступает в роли вспомогательного лечения. Недорогие и безболезненные процедуры, которые с лёгкостью переносят дети:
- электрофорез антисептиков – усиливается антисептический эффект благодаря воздействию тока;
 - фонофорез – ввод антисептика под действием ультразвуковых волн;
 - лазерная терапия – стерилизация каналов лучом, оказывает бактерицидное действие.
 
Хирургический
Метод применяется в крайних случаях, когда обычная терапия не принесла желаемых результатов, и воспаление не исчезло. Также показаниями является непроходимость каналов корней либо гранулёма.
Народный
Хотя самолечение и не приветствуется, но при лёгкой форме и после консультации с врачом, возможно лечение периодонтита у детей в домашних условиях. Используют следующие рецепты:
- Смешать по 1 столовой ложке ромашки и календулы, потом залить травы стаканом кипятка. Плотно закрыть отвар и настаивать не менее 30 – 35 минут. Полоскать 3 – 4 раза в день.
 - Успокаивающее действие оказывает листья мяты. Для приготовления средства листья заливают стаканом кипятка, а затем томят на водяной бане в течение 20 минут. Полоскания проводятся 5 – 6 раз в сутки.
 
Этапы лечения
Первое посещение:
- делается обезболивающая инъекция;
 - специальным прибором производится чистка, удаляется размягчённый дентин;
 - происходит расширение устья корневых каналов;
 - убирается мёртвая пульпа;
 - полость промывается антисептиками;
 - вскрывается верхнее корневое отверстие для оттока экссудата;
 - канал заполняется противовоспалительным лекарством.
 
Фото 2. Этапы лечение периодонтита: 1) раскрытие полости; 2) и 3) подготовка корневых каналов и лечение; 4) пломбирование.
Второе посещение:
- чистка канала от лекарства;
 - промывка антисептическим средством;
 - установка постоянной пломбы.
 
Лечение хронического периодонтита у детей
Сначала назначается рентгеновский снимок. С его помощью дантист определяет серьёзность болезни и форму её протекания. Пломбирование осуществляется сразу после чистки каналов при одномоментном лечении. Если есть необходимость в неоднократном посещении специалиста, то проводятся вышеописанные этапы.
Справка! Количество этапов лечения зависит от того, сколько повреждённых зубов у ребёнка и как они располагаются.
Сохранение постоянного зуба у ребёнка
Когда речь заходит о лечении постоянных зубов, дантисты всегда стараются их сохранять и делают всё возможное, чтобы не пришлось вырывать зуб. Такой вариант развития событий приемлем, если консервативная терапия не помогла. Устранение периодонтита без хирургического вмешательства проходит следующим образом:
- очистка и обработка антисептиками каналов;
 - удаление отмершей ткани;
 - антибактериальная обработка;
 - восстановление тканей периодонта;
 - местное применение антибиотиков;
 - пломбировка каналов.
 
Полезное видео
На этом видео подробно рассказывается об особенностях заболевания у детей и лечения хронического периодонтита временных зубов.
Профилактический осмотр – лучший друг зубов
Профилактические походы к стоматологу помогут вовремя выявить периодонтит зубов у детей. При обнаружении болезни требуется незамедлительное лечение в клинике. Терапия периодонтита на ранних стадиях не займёт много времени и не принесёт пациенту дискомфорт, а вот запущенные стадии чреваты негативными последствиями и необратимыми процессами. Но современная медицина способна справится с любой формой периодонтита.
Вопрос-ответ
Как лечится периодонтит у детей?
Методы лечения периодонтита у детей. Острый периодонтит практически всегда приводит к необходимости удаления нерва. Врач разрезает слизистую, устанавливает дренаж для оттока гноя, затем пломбирует каналы. При хронической болезни ребенку назначают полоскания, лекарственную терапию, электрофорез.
Чем страшен периодонтит?
Чем опасен периодонтит? Если не лечить периодонтит, воспаление распространяется на костную ткань и десну, что приводит к разрушению зуба. В тяжелых случаях инфекция может проникнуть в окружающие ткани лица и шеи, а в редких случаях — в системный кровоток.
Как вылечить периодонтит?
Периодонтит лечат только антибиотиками. С помощью антибиотиков можно успокоить инфекцию и не дать ей распространиться. Однако при наличии любой стоматологической инфекции пораженную область необходимо обрабатывать физически. После лечения периодонтита зуб сохранится ненадолго.
Советы
СОВЕТ №1
Регулярно посещайте стоматолога. Профилактические осмотры у детского стоматолога помогут выявить проблемы на ранней стадии и предотвратить развитие периодонтита. Рекомендуется посещать врача не реже двух раз в год.
СОВЕТ №2
Обучайте детей правильной гигиене полости рта. Научите ребенка правильно чистить зубы дважды в день, используя фторсодержащую зубную пасту и мягкую щетку. Также важно использовать зубную нить для удаления остатков пищи между зубами.
СОВЕТ №3
Следите за питанием ребенка. Ограничьте потребление сладостей и кислых продуктов, которые могут способствовать развитию кариеса и воспалительных процессов в деснах. Включите в рацион больше овощей, фруктов и молочных продуктов, богатых кальцием.
СОВЕТ №4
Обратите внимание на симптомы. Если у ребенка появились кровоточивость десен, неприятный запах изо рта или болезненность при жевании, не откладывайте визит к стоматологу. Эти симптомы могут указывать на начало периодонтита и требуют немедленного внимания.






