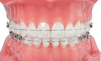
Damon clear – популярная система на всех континентах, считается лучшей брекет-системой в мире. Известность вполне заслуженная, брекеты Damon Clear имеют довольно большой ряд преимуществ.
Лечение при помощи этих систем происходит более оперативно в отличии от стандартных брекет-конструкций. Процедура установки брекетов происходит быстрее. Используется прозрачный материал от чего конструкция почти незаметна, что не создает дискомфорта в сравнении с классическими металлическими системами. В случаях если зубу некуда перемещаться (из-за маленькой челюсти или других причин) в стандартном методе обычно этот зуб подлежит удалению, но в модели Damon Clear этого делать не потребуется. Помимо выравнивания зубов брекеты Damon Clear также улучшают пропорции лица, не травмируются слизистые, а также отсутствуют болевые ощущения на протяжении всего лечения. При использовании данного вида брекетов не требуется частый прием у стоматолога в связи с тем, что не нужно часто заменять дугу. Помимо незаметности конструкции с моделью Damon Clear не бывает избыточного слюноотделения, а также всевозможных дефектов речи. И самое главное преимущество Damon Clear в том, что эффект от лечения данными брекет-системами сохраняется до конца жизни.
По статистике большинство людей на планете имеют патологию зубного прикуса. Но далеко не все решаются устранять ее. Проблема в том, что люди не желают долго ходить с брекетами. Они совершенно не красят человека. Специалисты-ортодонты постоянно работают над созданием эффективных и привлекательных брекетов. Так была сконструирована брекет система Damon Clear.
Преимущества брекетов Данон Клэр
У истоков новой уникальной системы Damon Clear стоял доктор Деймон. Он разработал систему в 80-ых годах XX столетия. Через десятилетие она приобрела широкую популярность. Сегодня брекеты Damon Clear выпускает в США компания ORMCO. Вслед за Америкой новинка стала востребована в Европе.
Успех вполне заслуженный, брекеты обладают рядом преимуществ.
- Людям нравится, что благодаря Damon Clear лечение оперативнее.
 - Также сократилось время пребывания у ортодонта при установке брекетов.
 - Модель Данон Клэр невидимая благодаря прозрачности материала.
 - Специально для снятия этих брекет-систем разработаны особые щипцы. Они не вызывают у пациентов чувства дискомфорта.
 - Не нужно удалять зуб у людей с маленькой челюстью. Даже если зубу некуда перемещаться, Damon постепенно решит эту проблему.
 - Система улучшает не только улыбку, но и пропорции лица.
 - Их можно использовать в любом возрасте.
 - С ними не возникает окислительных процессов и аллергических реакций.
 - Они не травмируют слизистые.
 - Не нужно часто менять дугу.
 - В этих брекетах отсутствует лигатура. Поэтому легко ухаживать за полостью рта.
 - Совершенно не бывает болевых ощущений. Пациент ощущает себя очень комфортно.
 - Не бывает осложнений со стороны пародонта.
 - Практически нет риска развития связанных с коррекцией заболеваний.
 - Damon не провоцирует слюноотделение или дефекты речи.
 - Эффект от лечения сохраняется до конца жизни.
 - При ношении этих брекетов не требуется часто посещать ортодонта. Поэтому на Damon Clear цена в итоге получается меньше.
 - Damon Clear отзывы пациентов говорят о положительном эмоциональном настрое. Увидев такие эстетичные брекеты, пациенты охотно соглашаются на коррекцию. Это способствует отличным результатам лечения.
 
У нас эта брекет-система устанавливается только на 6 верхних зубов. Для остальных, которых почти не видно, применяют металлические брекеты.
Врачи-ортодонты отмечают, что брекеты Damon Clear имеют ряд значительных преимуществ. Во-первых, они практически незаметны, что делает их популярным выбором среди взрослых и подростков, стремящихся к эстетике. Кроме того, система Damon позволяет сократить время лечения благодаря использованию саморегулирующихся скоб, что снижает количество визитов к врачу.
Однако специалисты также указывают на некоторые недостатки. Во-первых, стоимость таких брекетов может быть выше по сравнению с традиционными вариантами. Кроме того, не все случаи могут быть эффективно решены с помощью Damon Clear, и в некоторых ситуациях может потребоваться использование дополнительных ортодонтических аппаратов. Врачи рекомендуют тщательно обсудить все плюсы и минусы с пациентом перед началом лечения, чтобы выбрать оптимальный вариант.

Как работает брекет-система Данон Клэр?
Это саморегулирующаяся система. Она относится к пассивным брекет-системам. Дуга изготовлена из особых материалов. Это полиоксиды алюминия. Они имеют «память формы», которая возвращает дугу к начальному состоянию. Благодаря особой конструкции развивается активность костей челюсти. Зубы двигаются в правильном направлении, не нарушая микроциркуляцию крови. Трение между дугой и пазом не нарушает равновесия тканей. Лечение проходит эффективно без хирургического вмешательства даже в наисерьезнейших случаях. Лечебный курс в среднем длится 24±2 месяца. Для закрепления результата нужно будет после снятия брекета применять ретейнеры.
Правила эксплуатации брекетов Денон Клэр
При установке возможны легкие повреждения слизистой рта и десен. Поэтому важно соблюдать важные рекомендации.
- Для защиты десен используется воск. Он наносится на элементы системы.
 - Если повреждение уже произошло — обработайте препаратом «Солкосерил Дентальный».
 - Некоторые люди излишне восприимчивы. У них в первые дни может болеть голова. Возможен дискомфорт в ротовой полости. Для устранения симптомов можно выпить обезболивающий препарат. Через четыре дня дискомфорт исчезнет.
 - Пока носите брекеты, лучше отказаться от некоторых продуктов. Это вязкие и липкие пищевые продукты. К ним относятся: жевательная резинка, ирис, карамель и т. д. Все они вызывают поломки дуги и других элементов.
 - Нельзя кусать жесткую пищу. Ее перед употреблением нужно нарезать малыми порциями.
 - Полностью откажитесь от сухарей и орешков. Эти брекеты достаточно хрупкие. К ним нужно относиться аккуратно.
 - В начальный период в системе стоит термоактивная дуга. В это время нельзя кушать мороженное и пить ледяные напитки. По этой же причине поначалу запрещены горячие напитки и блюда. Еда должна быть теплой.
 
Брекеты Damon Clear привлекают внимание благодаря своему эстетическому виду и эффективности. Многие пациенты отмечают, что прозрачные брекеты менее заметны на зубах, что делает их популярным выбором среди взрослых и подростков. Одним из главных преимуществ является система саморегулирующихся скоб, которая позволяет сократить время лечения и уменьшить количество визитов к ортодонту. Пользователи также подчеркивают комфортность ношения, так как Damon Clear менее травматичны для слизистой оболочки рта.
Однако не обошлось и без недостатков. Некоторые пациенты сообщают о более высокой стоимости по сравнению с традиционными металлическими брекетами. Кроме того, несмотря на свою прозрачность, брекеты могут быть подвержены окрашиванию от пищи и напитков, что требует дополнительного ухода. Важно также учитывать, что не всем пациентам подходят такие брекеты, и выбор метода лечения должен быть индивидуальным. В целом, Damon Clear представляют собой интересный вариант для тех, кто ищет баланс между эстетикой и эффективностью.

Гигиенические процедуры при лечении брекетами Damon
Чтобы зафиксировать брекет-систему врач применяет специальный клей. В его составе есть фтор. Это помогает защищать зубы от кариеса под брекетами. Но в других частях эмали может возникать налет. Поэтому требуется тщательная обработка.
- Чистить зубы необходимо специальной щеточкой-ершиком со съемной головкой. Она меняется по мере износа.
 - Зубной нитью чистят вначале под дугой. После этого — межзубные промежутки.
 - Можно применять для чистки десен ирригаторы. Они организовывают мощный напор воды.
 - Прозрачные брекеты предпочитают зубные пасты с интенсивным пенообразованием. После смывки пены элементы брекетов немного поблескивают.
 - Те зубы, где нет брекетов, чистят обыкновенной зубной щеткой.
 
Система Damon Clear числится во всем мире среди лучших брекет-систем. Они отлично справляются со всевозможными проблемами прикуса. Стоимость лечения с использованием Damon нельзя назвать маленькой. Она составляет порядка 70 тысяч рублей. Но качество этого продукта превосходить цену. Брекеты Damon Clear остаются самыми популярными на всех континентах.
Вопрос-ответ

Каковы преимущества брекетов Damon Clear?
Damon Clear – это эстетичные самолигирующие брекеты, изготовленные из особой прозрачной керамики – поликристалической. Они прочные и легкие. Конструкции практически незаметны на зубах и подходят для исправления самых разных ортодонтических патологий.
Каковы недостатки брекетов Damon?
Недостатки брекетов Damon: это может немного затруднить поддержание чистоты зубов по сравнению с Invisalign. Как и при использовании традиционных брекетов, при использовании брекетов Damon существуют некоторые ограничения в еде. Следует избегать липкой или тягучей пищи, так как она может потянуть за проволоку или привести к срыву брекета с зуба.
Чем брекеты Damon отличаются от обычных?
Одним из наиболее инновационных и эффективных методов являются брекеты Damon. Эта система отличается от традиционных брекетов своим уникальным дизайном, обеспечивающим большую эстетику, а также использованием специальных замков для фиксации дуги, что делает лечение более комфортным, безболезненным и быстрым.
Какие брекеты считаются самыми лучшими?
Вестибулярные металлические брекеты – самый надежный ортодонтический аппарат. С его помощью можно получить положительный результат даже при самых сложных нарушениях прикуса. Сроки ношения вестибулярных брекетов бывают короче, чем лингвальных. Ортодонту их легче устанавливать и корректировать натяжение дуги.
Советы
СОВЕТ №1
Перед установкой брекетов Damon Clear обязательно проконсультируйтесь с ортодонтом. Он поможет оценить состояние ваших зубов и челюсти, а также предложит наиболее подходящий план лечения с учетом ваших индивидуальных особенностей.
СОВЕТ №2
Обратите внимание на уход за брекетами. Используйте специальные щетки и нити для чистки, чтобы избежать накопления налета и кариеса. Регулярные визиты к стоматологу помогут поддерживать здоровье зубов на протяжении всего периода ношения брекетов.
СОВЕТ №3
Узнайте о возможных ограничениях в питании. Некоторые продукты могут повредить брекеты или затруднить их чистку. Избегайте жесткой пищи, липких конфет и газированных напитков, чтобы минимизировать риск повреждений и сохранить здоровье зубов.
СОВЕТ №4
Не забывайте о психологическом аспекте. Ношение брекетов может вызывать дискомфорт или стеснение. Поддерживайте позитивный настрой, общайтесь с другими людьми, которые прошли через этот процесс, и помните, что результат стоит усилий.

