Гингивитом называется воспаление слизистой оболочки зубов (десен), встречающееся как у взрослых, так и у детей.
По форме распространенности — локализованный (затрагивается малый участок десны) и генерализованный (воспаляется слизистая оболочка всей челюсти).
По форме заболевания — гипертрофический, атрофический, язвенно-некротический и катаральный. Отдельно отмечают юношеский и гингивит беременных.
По степени тяжести выделяют легкую, среднюю и тяжелую формы.
Причины гингивита у взрослых и детей, классификация болезни по МКБ-10
Основной причиной гингивита является недостаточная гигиена полости рта, что может привести к возникновению зубных бляшек (скоплению бактерий).
Кроме того, к развитию гингивита может располагать множество внешних и внутренних факторов:
- недостаток витаминов и микроэлементов;
- ослабление иммунитета;
- прорезывание зубов мудрости;
- нарушения обмена веществ;
- различные заболевания пищеварительной системы;
- сахарный диабет;
- расстройства психики, длительное эмоциональное напряжение (стресс).
- травмы, ожоги или повреждения десен;
- неправильно установленные пломбы, виниры, брекеты, травмирующие полость рта;
- несвежее дыхание вследствие инфекционных и других заболеваний полости носа, гортани, а также вследствие курения;
- инфекционные процессы в полости рта.
Гингивит может отмечаться как самостоятельная болезнь или как один из симптомов заболеваний сердечно-сосудистой системы, ЖКТ, болезней печени и органов кроветворения, вирусных и инфекционных заболеваний, гормональных нарушений.
Важно! Гингивит не передается контактно-бытовым путем, например, через использование общей посуды; но он заразен, если использовать общие предметы личной гигиены для чистки полости рта — зубные щетки, нити и т. д.
Код по МКБ-10 — К05 (болезни полости рта, слюнных желез и челюстей).
По форме течения болезни различают острый (К05.0) и хронический гингивит (К05.1).
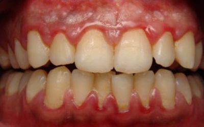
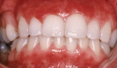
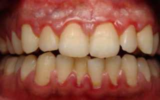
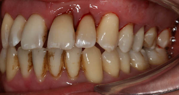
Фото 1. Ротовая полость человека при гингивите. Десны вокруг зубов воспалены, имеют красноватый цвет.
Гингивит — это воспаление десен, которое может проявляться зудом, кровоточивостью и другими неприятными симптомами. Врачи отмечают, что данное заболевание часто возникает из-за недостаточной гигиены полости рта, накопления зубного налета и бактерий. При отсутствии должного лечения гингивит может перейти в более серьезные формы, такие как пародонтит, что приводит к потере зубов. Специалисты рекомендуют регулярно посещать стоматолога и соблюдать правила гигиены: чистить зубы не менее двух раз в день и использовать зубную нить. Также важно следить за своим рационом, включая в него продукты, богатые витаминами и минералами, которые способствуют здоровью десен. В случае появления первых симптомов гингивита, врачи советуют не откладывать визит к стоматологу, чтобы предотвратить развитие осложнений.

Гингивит и пародонтит
Если вовремя не заняться лечением гингивита или не долечить его, он может перейти в более тяжелую форму заболевания десен — пародонтит.
Пародонтит характеризуется распространенной тканью вокруг зуба, приводящей к образованию десневых карманов, в которых скапливаются остатки пищи и микробы. В дальнейшем это служит причиной разрушения зубодесневых прикреплений.
Пародонтит характеризуется сильной отечностью десен, постоянной кровоточивостью и неприятным запахом изо рта.
Внимание! При запущенном течении пародонтит переходит в еще более тяжелую стадию — пародонтоз, который грозит ранним выпадением зубов.
Патогенез
Причиной возникновения зубного налета и возбудителями гингивита являются биопленки с бактериями типа Tannerella forsythia, Fusobacterium nucleatum, Актиномицеты и другие.
Зубной налет вкупе со слюной представляет собой сбалансированную биологическую систему. Нарушение этого баланса приводит к возникновению гингивита.
Если это равновесие нарушается по причине внешних травматических факторов, образуется локализованный гингивит.
Генерализованная форма гингивита развивается вследствие снижения местного и общего иммунитета вместе с недостаточной гигиеной ротовой полости.
Гингивит выглядит следующим образом:
- отечность, покраснение десен;
- кровоточивость;
- разрастание и утолщение десны (гипертрофия);
- язвочки на деснах;
- слабая, умеренная или сильная болезненность десен при употреблении пищи;
- повышение чувствительности, зуд десен;
- неприятный запах изо рта.
При более длительном или тяжелом течении гингивита также наблюдается общая слабость и повышение температуры тела до 39 °С.
Гингивит — это воспаление десен, которое часто проявляется зудом, кровоточивостью и неприятными ощущениями в полости рта. Люди, страдающие от этого заболевания, нередко отмечают, что десны становятся чувствительными, а при чистке зубов или употреблении пищи возникает дискомфорт. Кровоточивость может быть особенно пугающей, так как даже легкое прикосновение щетки вызывает кровотечение. Многие пациенты жалуются на неприятный запах изо рта и изменение цвета десен, которые становятся красными и отечными. Важно понимать, что гингивит — это обратимое состояние, и при своевременном лечении и соблюдении гигиенических норм можно избежать серьезных осложнений. Регулярные визиты к стоматологу и правильный уход за полостью рта помогут сохранить здоровье десен и предотвратить развитие более серьезных заболеваний.

Профилактика заболевания десен
Гингивит намного проще предупредить, нежели вылечить. Достаточно соблюдать простые меры профилактики, включающие в себя:
- ежедневный качественный уход за полостью рта — индивидуальная зубная щетка (которую необходимо заменять раз в 3—4 месяца), тщательная чистка зубов минимум два раза в день (утром и вечером);
- использование дополнительных средств для гигиены — ополаскивателей для рта, применение специальных зубных паст с триклозаном, зубные нити;
- регулярный проф. осмотр у стоматолога — минимум раз в полгода;
- лечение инфекционных заболеваний полости рта и всего организма;
- отказ от курения, алкогольных напитков;
- прием комплексов витаминов и минералов, препаратов кальция;
- полноценное сбалансированное питание.
Пародонтит: что это такое, этиология
Пародонтит является одним из осложнений гингивита при отсутствии лечения, тяжелой и хронической форме. Он грозит потерей зубов по причине повреждения связочного аппарата зубов и десен — фиксация зубов нарушается, что и приводит к их потере.
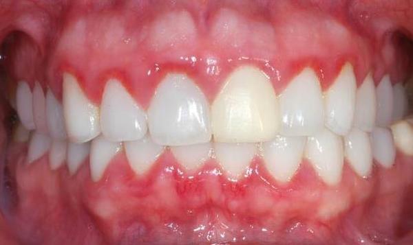
Фото 2. Ротовая полость при продонтите. Наблюдается зубной камень, воспаление и кровоточивость десен.
Помимо потери зубов, пародонтит опасен инфицированием костной ткани или переходом заболевания в язвенную форму.
Отличия между пародонтитом и гингивитом заключаются в состоянии зубодесневой борозды — гингивит не повреждает связку у шейки зуба, в то время как пародонтит не только ее разрушает, но и распространяет патологический процесс глубже к корню зуба, разрушая на своем пути все ткани.

Последствие стоматита
Гингивит может возникнуть и вследствие стоматита. В результате нарушения гигиены ротовой полости и сопутствующих инфекционных заболеваний, болезнетворные бактерии, оседающие на зубах и слизистых полости рта, вызывают воспалительные процессы. Но если стоматит характеризуется воспалением и язвенными процессами по всей полости рта, то гингивит поражает только десны.
Полезное видео
Посмотрите видео, в котором рассказывается, как лечить гингивит и какие меры надо принимать для его профилактики.
Зубы и десны нуждаются в уходе!
Гингивита, как и остальных заболеваний полости рта достаточно просто избежать, соблюдая несложные правила профилактики. Основными профилактическими мерами являются тщательное соблюдение гигиены ротовой полости и ведение здорового образа жизни (включающего в себя полный отказ от курения и употребления алкоголя). Своевременный и грамотный уход за зубами поможет избежать в дальнейшем серьезных заболеваний зубов и десен.
У детей
Детский гингивит сопровождается неприятными симптомами, а терапия базируется на устранении причин болезни и местном противовоспалительном лечении.
Формы
Гингивит разделяют на формы (катаральный, язвенный, атрофический. гипертрофический), каждая имеет различную локализацию и степень тяжести.Самолечение
Этиология

Вопрос-ответ
Каковы симптомы гингивита?
Симптомы гингивита включают покраснение и отек десен, кровоточивость при чистке зубов или употреблении пищи, неприятный запах изо рта, а также возможное образование налета на зубах. В запущенных случаях может наблюдаться болезненность десен и их отступление от зубов.
Чем снять воспаление и кровоточивость десен?
Самые популярные средства от кровоточивости десен: Метрогил-дента, Пародонтоцид, Холисал. При гнойных выделениях стоматолог назначает курс антибактериальной терапии. Обучение правильной гигиене полости рта.
Каковы симптомы гингивита на начальной стадии?
Ранние стадии гингивита могут проходить бессимптомно, но по мере прогрессирования заболевания симптомы становятся более заметными: покраснение и отек десен, кровоточивость десен, особенно при чистке зубов или использовании зубной нити, неприятный запах изо рта (галитоз).
Какая бактерия чаще всего вызывает гингивит?
Причиной заболевания является бактериальная инфекция, чаще всего анаэробы, такие как P. intermedia, фузобактерии, а также спирохеты, такие как Borrelia и Treponema. Слизистая рта воспаляется, появляется кровоточивость, неприятный запах, возникает некроз межзубных сосочков.
Советы
СОВЕТ №1
Регулярно посещайте стоматолога для профилактических осмотров. Это поможет выявить гингивит на ранних стадиях и предотвратить его прогрессирование.
СОВЕТ №2
Обратите внимание на свою гигиену полости рта. Чистите зубы не менее двух раз в день и используйте зубную нить, чтобы удалить остатки пищи и налет из труднодоступных мест.
СОВЕТ №3
Следите за своим питанием. Увеличьте потребление витаминов, особенно витамина C, который способствует укреплению десен и улучшению состояния полости рта.
СОВЕТ №4
Избегайте курения и чрезмерного употребления алкоголя, так как эти факторы могут усугубить состояние десен и способствовать развитию гингивита.





