Воспалительное заболевание тканей, которые окружают и удерживают зубы, называется пародонтитом.
Это заболевание характеризуется прогрессирующим разрушением нормальной структуры альвеолярного отростка челюсти.
Зубодесневое прикрепление и костная ткань начинает разрушаться.
Классификация заболевания по стадии болезни, код МКБ-10
Пародонтиту свойственны несколько стадий течения болезни. Симптомы и патологии каждой из них отличаются друг от друга.
Необходимость классификации обусловлена тем, чтобы специалисты могли назначить адекватное лечение, подходящее для конкретной стадии.
Различают следующие стадии пародонтита:
- острый;
 - хронический;
 - в стадии обострения;
 - в стадии ремиссии.
 
Пародонтит имеет широкую классификацию. По международной классификации болезни десятого пересмотра, заболевание относится к классу К05. Этот класс включает в себя острый (К05.2) и хронический пародонтит (К05.3), а также другие заболевания пародонта.
Врачи подчеркивают, что пародонтит — это сложное воспалительное заболевание, которое может проявляться в различных формах. Классификация пародонтита включает несколько типов, каждый из которых имеет свои особенности и причины. Наиболее распространены хронический и агрессивный пародонтит. Хронический пародонтит развивается медленно и часто связан с возрастом, а агрессивный пародонтит может возникнуть у молодых людей и характеризуется быстрым прогрессированием. Также выделяют локализованный и генерализованный пародонтит, в зависимости от распространенности воспалительного процесса. Врачи акцентируют внимание на важности ранней диагностики и индивидуального подхода к лечению, так как разные формы заболевания требуют различных терапевтических стратегий. Понимание классификации пародонтита помогает специалистам разработать эффективные методы профилактики и лечения, что в конечном итоге способствует сохранению здоровья полости рта.

Локальный острый
Острый пародонтит встречается достаточно редко. Начинается заболевание резко, практически без начальных симптомов. Характеризуется острой болью при чистке зубов и жевании. Дёсны воспаляются, появляется кровоточивость. Чаще всего пародонтит этой стадии локализован, то есть распространяется на несколько зубов, а не на весь ряд.
К возникновению заболевания приводят патогенные микробы, механические и химические воздействия, а также неправильная установка пломбы или травма десны.
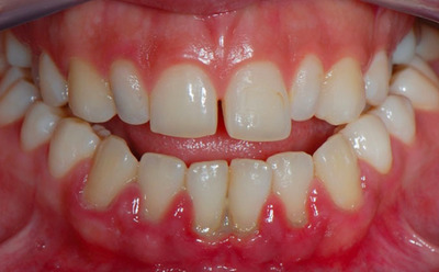
Фото 1. Острый локальный пародонтит. Воспалены десны в области двух зубов, наблюдается покраснение и кровотечение.
Диагностика острого пародонтита происходит быстро. Выявить заболевание можно уже на этапе простого осмотра специалистом. Чаще всего, острый пародонтит успешно вылечивается. Риск рецидива практически равен нулю.
Хронический
Характеризуется цикличным и прогрессирующим течением заболевания. Главная причина возникновения пародонтита — патогенная микрофлора. В частности, зубной налет, зубной камень и кариес. Возникнуть заболевание может также в результате травмы зуба или десны, химического воздействия или болезни.
К проявлению болезни относится зуд и жжение в деснах, появляется неприятный запах изо рта. Дёсны становятся рыхлыми, отекают и кровоточат. При более тяжелой стадии возможно выделение гноя и обнажение шеек зубов. Зубы расшатываются и в конечном счете выпадают.
При прогрессирующем заболевании отмечается общее ухудшение самочувствия человека. Больной становится вялым, его беспокоят пульсирующие боли, повышается температура тела.
Несмотря на тяжесть заболевания, хронический пародонтит можно вылечить. Для этого специалисты применяют терапевтические и хирургические методы. Периодически хронический пародонтит переходит в стадию обострения или ремиссии.
Воспаление десен, или пародонтит, вызывает множество обсуждений среди стоматологов и пациентов. Люди часто делятся своими переживаниями о различных формах этого заболевания. Пародонтит может быть хроническим или острым, а также локализованным или генерализованным. Хронический пародонтит, как правило, развивается медленно и может оставаться незамеченным в течение долгого времени, тогда как острый пародонтит проявляется резкой болью и требует немедленного вмешательства. Локализованный пародонтит затрагивает отдельные участки десен, в то время как генерализованный охватывает всю челюсть. Многие пациенты отмечают, что своевременная диагностика и лечение помогают избежать серьезных последствий, таких как потеря зубов. Важно помнить, что регулярные визиты к стоматологу и соблюдение гигиенических норм играют ключевую роль в профилактике и лечении пародонтита.

Обострение
Согласно статистике, 95% населения страдают от начальных симптомов пародонтита. Стадия обострения характеризуется резким переходом от начальных симптомов к более острым.
Чаще всего, без надлежащего лечения заболевание приобретает хроническую форму. Возможен также переход в стадию обострения после ремиссии.
Главная причина обострения — отсутствие или некачественный уход за ротовой полостью или различные травмы. Поражение может быть как очаговым, так и диффузным.
На этой стадии болезнь успешно вылечивается без каких-либо последствий для человека. Главное в этом периоде — вовремя обратиться к врачу и не игнорировать назначенное лечение.
Ремиссия
Стадия возникает после законченного процесса лечения пародонтита. Однако это нельзя считать выздоровлением. В стадии ремиссии течение болезни замедляется или приостанавливается.
Характеризуется стадия отсутствием жалоб на самочувствие. Цвет десны — бледно-розовый. Она плотно прилегает к зубам. Отсутствует воспаление, пародонтальные карманы не определяются. Шейки зубов обнажены.
Из этой стадии заболевание может перейти в стадию обострения. Или же наступит полное выздоровление человека.
https://youtube.com/watch?v=jOevP2xVFyQ
По распространенности процесса: локализованный или очаговый и генерализованный
Классификацию пародонтита проводят также по распространенности процесса заболевания. Такое разделение производят для назначения адекватного лечения, а также для оценки стадии заболевания.
Распространенность классифицируется на две группы:
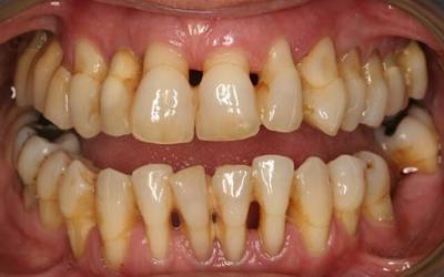
- Локализованный (очаговый) пародонтит — воспаление поражает один или несколько зубов, а также ткани, прилегающие к ним. Чаще всего протекает в острой форме. При отсутствии лечения переходит в диффузный пародонтит, заражая здоровые зубы.
 
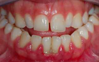
Фото 2. Локальный пародонтит. Воспалены несколько зубов, в области воспаления наблюдается кровотечение.
- Генерализованный (диффузный) пародонтит — воспаление поражает весь зубной ряд или практически все зубы, а также ткани, прилегающие к ним. Чаще всего протекает в хронической форме. Нередко приводит к потере зубов.
 
Внимание! В начале заболевания, распространенность обычно локализованная. Именно в этот период важно проконсультироваться со специалистом и начать лечение. Вылечить пару зубов будет проще и быстрее, чем весь зубной ряд.
Формы и виды пародонтита
Помимо стадий и распространенности, пародонтит подразделяют на формы заболевания. Выделяют хронический генерализированный, гнойный и абсцедирующий пародонтит.
Хронический генерализованный
Характеризуется патологическими изменениями всего зубного ряда или всех зубов. Последствия такой формы — частичное или полное выпадение зубов.
Начинается заболевание с кровоточивости десен. Затем появляется зуд и жжение, пародонтальные карманы углубляются, расстояние между зубами увеличивается.
Нередко зуб начинает заваливаться, прикрывая собой другой, находящийся рядом. Подвижность зубов и обнажение корней проявляется с увеличением тяжести заболевания.
Причины возникновения — зубной камень или местные раздражители (брекеты, виниры, неправильно поставленная пломба, острые края зубов).
Гнойный
При гнойном пародонтите воспаление возникает в опорном аппарате зуба. Заболевание характеризуется разрушением ткани кости. В результате разрушения образуются десневые карманы, из которых начинает выделяться гной.
Симптомы такого пародонтита: кровоточивость десен, неприятный запах изо рта, смещение и разрушение зубов, болевые ощущения. При отсутствии лечения возможно возникновение абсцесса.
Важно! Риск осложнений заболевания очень велик, поэтому лечение желательно начинать незамедлительно при появлении начальных симптомов. Лечение проводят лоскутным удалением части десны и поврежденных зубов. Но при своевременном обращении к врачу возможен безоперационный вариант.
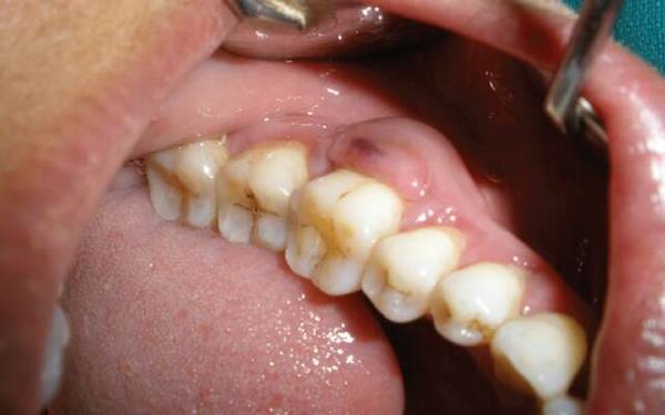
Абсцедирующий
Характеризуется появлением гнойного очага, то есть абсцесса. Эта форма пародонтита способна привести к атрофированию костной ткани.
Фото 3. Абсцедирующий пародонтит. В области коренных зубов наблюдается гнойный абсцесс и сильная припухлость.
Симптомы заболевания: кровоточивость десен, углубление пародонтального кармана до четырех миллиметров, подвижность зубов, возникновение болевых ощущений даже в состоянии покоя, появление гнойных мешочков.
Причины возникновения заболевания — зубной налет и камень, а также запущенный гингивит и другие патологии функционирования организма.
Чаще всего пораженный зуб удаляют, но в некоторых ситуациях возможно лечение без операции.
Агрессивные формы
Агрессивные формы характеризуются быстрым и глубоким распространением воспалительного процесса. При этом воспаление проникает глубоко в костные ткани, образуя при этом широкие карманы. Такие формы очень быстро развиваются, даже несмотря на малое количество налета или зубного камня.
Как правило, пародонтит развивается достаточно медленно. От начала заболевания и до потери зуба может пройти десять лет или даже больше.
В то время как агрессивная форма может полностью разрушить десневую и костную ткань за небольшой период — от одного года.
Агрессивные формы подразделяются на группы.
Хронический пародонтит взрослых
Патологическая форма заболевания. Развивается болезнь очень медленно. Поражает этот пародонтит людей старше тридцати пяти лет. Вызывается заболевание грамотрицательными бактериями. Чаще всего потеря костной ткани у таких пациентов происходит по горизонтальному типу, однако, не исключается и вертикальная — угловая потеря.
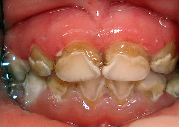
Рано возникающий
Данная форма включает в себя воспаления, возникающие у детей и подростков. Это может быть препубертатный пародонтит, ювенильный пародонтит или неопределенная болезнь пародонта. Чаще всего заболевание вызвано патогенными бактериями.
Фото 4. Рано возникающий пародонтит. Заболевание наблюдается у ребенка из-за несоблюдения гигиены полости рта.
Препубертатный
Такая форма пародонтита возникает, когда прорезываются постоянные зубы. Встречается достаточно редко и может быть как локализованная, так и генерализованная. Характеризуется ранним выпадением молочных зубов из-за нарушения прикрепления десны. Десневая ткань при этом воспаляется, появляется небольшой отек. Возможно появление кровоточащих трещин.
Ювенильный или юношеский
Встречается в основном у подростков в локализированной форме. Согласно статистике, чаще всего подвержены заболеванию именно девушки. Протекает пародонтит этого типа практически бессимптомно.
Возникает даже из-за небольшого количества налета. Причины появления пародонтита такой формы — грамотрицательные анаэробные бактерии. Заболевание приводит к вертикальной потере кости у первых моляров.
Нередко воспаление захватывает резцы. Дёсны при начале болезни краснеют, появляется несильный зуд.
Быстропрогрессирующий
Заболеванию подвержены люди в возрасте от четырнадцати до тридцати пяти лет. Этот вид приводит к потере альвеолярной кости как по вертикальному, так и по горизонтальному типу. Пародонтит такой формы может быть очаговым и диффузным. Причина возникновения заболевания — сахарный диабет, а также синдром Дауна.
Проявиться быстропрогрессирующий пародонтит может и вследствие неправильного ухода за полостью рта, а также недостатка витаминов. Встречается, что эта форма, несмотря на лечение, рецидивирует.
Внутри формы, пародонтит подразделяют на два типа, которые отличаются по возрастной категории:
- Тип А — входят пациенты от четырнадцати до двадцати шести лет.
 - Тип В — входят пациенты от двадцати шести до тридцати пяти лет.
 
Рефрактерный
Характеризуется бесполезностью лечения. То есть заболевание, несмотря на принятые меры, продолжает развиваться. Рефрактерный пародонтит сопровождается потерей костной ткани одновременно в нескольких участках.
Заболевание сложное, протекает довольно тяжело. К такой форме приводит игнорирование назначенного лечения, а также неполная гигиена полости рта. При правильном подходе к лечению от рефрактерного пародонтита можно успешно избавиться.
Язвенно-некротический
Эта форма возникает при отсутствующем или неправильном лечении острого язвенно-некротического гингивита. Заболевание отличается своей цикличностью. В процессе развития болезни разрушаются ткани пародонта и образуются десневые карманы. Нередки рецидивы, особенно если они присутствовали при остром гингивите.
Ассоциированный с системными заболеваниями
Воспаление вызвано другими патологиями в функционировании организма. Заболеваниями, приведшими к пародонтиту, могут быть: сахарный диабет, ладонно-подошвенный дискератоз, гипофосфатазия, гипофосфатемия, наследственные болезни и другие. Лечение этой патологии происходит параллельно с вылечиванием сторонней болезни. Если же болезнь протекает в хронической форме, вылечить такой пародонтит довольно сложно. Как правило, лечение проводят хирургическим путем.
Полезное видео
Посмотрите видеоотрывок из передачи «Жить здорово», в котором рассказывается о том, что такое пародонтит и о его лечении.
Самолечение — не выход!
Пародонтит — серьезное заболевание полости рта, которое требует основательного подхода к лечению. Выявить стадию и форму болезни самостоятельно невозможно. При возникновении первых симптомов пародонтита важно незамедлительно обратиться к врачу. Только специалист проведет качественную диагностику и предотвратит осложнения.
Вопрос-ответ
Какие виды пародонтита бывают?
Существует несколько видов пародонтита, включая хронический пародонтит, который характеризуется медленным прогрессированием и обычно встречается у взрослых; агрессивный пародонтит, проявляющийся быстрым разрушением тканей и чаще встречающийся у молодежи; а также локализованный и генерализованный пародонтит, которые различаются по распространенности поражения. Кроме того, выделяют пародонтит, связанный с системными заболеваниями, и пародонтит, возникающий в результате травмы или других факторов.
Какая классификация пародонтита?
Пародонтит был реклассифицирован как хронический, агрессивный (локализованный и генерализованный), некротизирующий и как проявление системного заболевания.
Какие три формы пародонтита существуют?
Формы пародонтита: 1. Пародонтит; 2. Некротизирующий пародонтит; 3. Пародонтит как прямое проявление системных заболеваний.
Советы
СОВЕТ №1
Обратите внимание на симптомы: ранние признаки пародонтита могут включать кровоточивость десен, неприятный запах изо рта и повышенную чувствительность зубов. Регулярно проверяйте состояние своих десен и не игнорируйте любые изменения.
СОВЕТ №2
Регулярно посещайте стоматолога: профилактические осмотры и профессиональная чистка зубов помогут выявить пародонтит на ранних стадиях и предотвратить его развитие. Не забывайте о важности регулярных визитов к специалисту.
СОВЕТ №3
Следите за гигиеной полости рта: чистите зубы дважды в день и используйте зубную нить для удаления остатков пищи между зубами. Это поможет снизить риск воспалительных процессов в деснах и поддерживать здоровье зубов.
СОВЕТ №4
Обратите внимание на образ жизни: сбалансированное питание, отказ от курения и управление стрессом могут значительно снизить риск развития пародонтита. Уделяйте внимание своему общему состоянию здоровья, чтобы поддерживать здоровье десен.











