Основным фактором, провоцирующим деструкционный процесс возникновения пародонтоза, является недостаточное кровоснабжение и нарушение обменных процессов околозубной ткани. Спровоцировать появление пародонтоза могут системные заболевания, неврологические болезни, а также гормональные нарушения или общее снижение иммунитета.
Существует четыре степени тяжести заболевания околозубной ткани. Для первой (легкой) степени стадии заболевания характерны симптомы: гиперчувствительность эмали, зуд и жжение десен, болезненность при употреблении твердой пищи – все это может сопровождаться неприятным запахом изо рта. При второй стадии пародонтоза появляется кровоточность десен после чистки или приема твердой пищи, возможно появления шатания зубов. Третья стадия (тяжелая) является началом необратимого деструктивного процесса и возможной потери зубов. Может потребоваться протезирование. Характерным признаком четвертой стадии (гнойная форма) является скопление гноя в зубодесневых карманах, что может проходить с повышением температуры тела. Лечение возможно только с помощью хирургического вмешательства.
Заболевание околозубной ткани поначалу внешне может не проявляться месяцами или годами, поэтому стоматологи рекомендуют систематически проходить осмотр полости рта и соблюдать ежедневный уход за зубами и деснами.
Поражение околозубной ткани, называемое пародонтозом, может носить локализованный или генерализованный характер. В зависимости от области поражения и типа недуга варьируются и симптомы пародонтоза.
Что провоцирует пародонтоз?
Среди основных факторов, провоцирующих пародонтоз, выделяют:
- системные заболевания;
 - генетическую предрасположенность;
 - невралгические болезни;
 - аллергические реакции;
 - гормональные нарушения;
 - общее снижение иммунитета.
 
Среди основных причин, запускающих деструкционный процесс, выделяют недостаточное кровоснабжение околозубной ткани и нарушение обменных процессов. В результате недостаточного кровоснабжения атрофируется костная ткань, и уменьшаются межзубные перегородки. В дальнейшем оголяется корень и наблюдается подвижность зубов. При запущенной форме пародонтоза возможная тотальная потеря зубов.
Врачи отмечают, что признаки пародонтоза могут значительно варьироваться в зависимости от типа и стадии заболевания. На ранних этапах, как правило, наблюдаются легкие воспалительные процессы, такие как покраснение и отечность десен, а также незначительное кровотечение при чистке зубов. При прогрессировании болезни симптомы становятся более выраженными: десны начинают отступать, образуются карманы, в которых скапливаются бактерии и остатки пищи. На поздних стадиях пародонтоза пациенты могут испытывать подвижность зубов и даже их потерю. Врачи подчеркивают важность своевременной диагностики и лечения, так как раннее вмешательство может значительно замедлить развитие заболевания и сохранить здоровье зубов и десен.

Признаки пародонтоза
Заболевание имеет длительное течение и может не иметь ярких проявлений в течение нескольких месяцев или даже лет, но по достижению критической точки развития деструктивный процесс быстро прогрессирует и вызывает болезненные ощущения не только при жевании, но и при разговоре.
Степень пародонтоза определяется в зависимости от глубины зубодесневых карманов и кровоточивости десен.
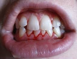
Индекс кровоточивости
Для всех стадий болезни, за исключением начальной, когда деструктивный процесс протекает глубоко в тканях пародонта, характерна кровоточивость деснах. Индекс кровоточивости десен, измеряемый в балах, соответствует определенной стадии развития болезни.
На первой стадии развития патологического процесса в околозубных степень кровоточивости оценивается в один балл. При надавливании на вершину межзубного сосочка четко определяется точка, из которой выделяется кровянистое содержимое.
Кровоточивость десен на второй стадии недуга оценивается в два балла. При надавливании на сосочек кровоточивость наблюдается не только в точке контакта, но и по всей его линии прилегания.
На третьей стадии недуга кровоточивость десен оценивается в три бала. При надавливании на сосочек кровянистые выделения заполняют весь промежуток между зубами.
Четвертая стадия характеризуется кровоточивостью, равной четырем баллам. Кровянистое содержимое заполняет промежутки между двумя-тремя зубами и краем десны.
Пародонтоз — это заболевание, которое может проявляться по-разному в зависимости от его типа и стадии. На ранних этапах люди часто отмечают легкое покраснение и кровоточивость десен, что может восприниматься как незначительная проблема. Однако с прогрессированием болезни симптомы становятся более выраженными: десны начинают отступать, открывая корни зубов, что вызывает чувствительность и дискомфорт. На более поздних стадиях пациенты жалуются на неприятный запах изо рта и подвижность зубов, что может привести к их потере. Важно отметить, что восприятие симптомов может варьироваться: некоторые люди не придают значения легким изменениям, в то время как другие сразу обращаются к стоматологу. Регулярные осмотры и внимание к своему состоянию помогут предотвратить серьезные последствия.

Общие признаки пародонтоза
К общим симптомам заболевания относят:
- бледность тканей десен;
 - образование зубодесневых карманов;
 - оголение зубных корней;
 - эффект «клиновидных» зубов;
 - цементация эмали на участках рецессии;
 - стертая эмаль;
 - сопутствующие болезни эндокринной и нервной систем, нарушения обмена веществ.
 
Признаки легкой степени пародонтоза
Для легкой формы заболевания характерны следующие симптомы:
- гиперчувствительность эмали на термические и химические раздражители;
 - зуд и жжение десен;
 - пульсация в деснах;
 - неприятные ощущения при воздействии на эмаль потока холодного воздуха;
 - болезненность зубов и десен при употреблении твердой пищи;
 - неприятный запах из ротовой полости.
 
Так как симптомы пародонтоза на первой стадии маловыражены, диагностировать заболевание можно только после проведения рентгенологического исследования или визуальным путем после проведения профессиональной чисти зубов (удаление зубного камня и бактериального налета). При обнаружении этой стадии, стоит позаботиться о профилактике пародонтоза.

Симптомы заболевания, характерные для второй стадии
Деструктивный процесс на второй стадии пародонтоза характеризуется умеренной кровоточивостью десен, которая наблюдается после механического раздражения околозубной ткани, например, при чистке зубов. Во время пережевывания твердой пищи больной может ощущать незначительный дискомфорт, увеличивается чувствительность десен.
Деструктивный процесс обратим, но при его прогрессировании возникают патологические изменения в строении альвеол, пародонт постепенно разрушается, увеличиваются щели между зубами и больной замечает, что в межзубном пространстве все чаще заостряют частички пищи, оголяются шейки зубов.
После истончения ткани десен и оголении шеек зубов у больного появляется ощущение шатание зубов. На самом деле это ощущение обманчиво, подвижность зубов возникает только на третьей стадии заболевания.
При визуальном осмотре десна выглядят белесыми, так как нарушается их кровоснабжение. Наблюдается отслоение десны от зуба, образуется так называемый карман, в котором скапливается бактериальный налет.
Признаки тяжелой стадии пародонтоза
Третья стадия является началом развития необратимого деструктивного процесса, корни оголены больше чем наполовину, зубы подвижны, наблюдается смещение зубного ряда. Эмаль гиперчувствительна и реагирует не только на термические, но и на химические раздражители (воздействие кислой, соленой, горькой или сладкой пищи). При дальнейшем развитии заболевания наблюдается тотальная потеря зубов, больному трудно жевать и разговаривать. Может потребоваться протезирование.
Третья стадия пародонтоза достаточно часто сопровождается присоединением воспалительного процесса, развивающегося из-за скопления бактериального налета в кармане между десной и зубом.
Отличительные особенности гнойной формы заболевания
Для гнойного деструктивного процесса характерными признаками является скопление гноя в зубодесневых карманах, наличие неприятного гнойного запаха изо рта, который особенно усиливается по утрам. Пациенты жалуются на боль во время приема пищи и разговора. Наличие гнойного абсцесса делает затруднительным употребление даже измельченной пищи.
Гнойный абсцесс может провоцировать повышение температуры тела, нередко наблюдается присоединение воспалительного процесса.
Единственно действенным методом лечения гнойной формы пародонтоза является хирургическое вмешательство. Для того чтобы освободить зубодесневые карманы от скопившегося в них гноя десны разрезают и санируют зубодесневую полость.
Вопрос-ответ
В чем разница между пародонтитом 1 и 2 стадии?
Без лечения начального пародонтита ваше заболевание перейдет во вторую стадию — среднюю стадию пародонтита. Основное различие между начальным и средней стадией пародонтита заключается в степени повреждения связок или суставов между корнем зуба и его лункой.
Каковы признаки пародонтоза?
Симптомы, характерные для пародонтоза и пародонтита. Общими проявлениями будут зуд и дискомфорт в области десен (особенно во время процедуры чистки), уменьшение их размера, оголение шеек зубов, а также их шатание, увеличение межзубных промежутков, расхождение зубов.
Каковы симптомы пародонтоза 1 степени?
Первая стадия считается самой легкой или начальной формой пародонтита и является ответом на отсутствие лечения гингивита. При этом заболевании воспаляется только краевая часть десны, которая непосредственно прилегает к зубу. При начальной стадии пародонтита воспаление прогрессирует и переходит в более глубокие ткани.
Советы
СОВЕТ №1
Регулярно посещайте стоматолога для профилактических осмотров. Это поможет выявить признаки пародонтоза на ранних стадиях, когда лечение будет наиболее эффективным.
СОВЕТ №2
Обратите внимание на изменения в состоянии десен: покраснение, отечность или кровоточивость могут быть первыми признаками пародонтоза. Не игнорируйте эти симптомы и проконсультируйтесь со специалистом.
СОВЕТ №3
Поддерживайте хорошую гигиену полости рта. Регулярная чистка зубов, использование зубной нити и ополаскивателей помогут предотвратить развитие пародонтоза и других заболеваний десен.
СОВЕТ №4
Обратите внимание на свое питание. Употребление продуктов, богатых витаминами C и D, а также кальцием, может помочь укрепить десны и снизить риск развития пародонтоза.

