Гингивит прогрессирующий воспалительный процесс в тканях десен. Развитие воспаления может привести к более серьезным заболеваниям околозубной ткани, таким как пародонтит и пародонтоз которые могут быть спровоцированы как местными, так и общими факторами возникновения заболевания.
Общие факторы развития гингивита – авитаминоз, нарушение работы основных систем организма, химическое или физическое раздражение слизистой ротовой полости, инфекции, микробы а также радиационное облучение. В свою очередь к местным фактором развития гингивита относят плохую гигиену полости рта, травмы десны, некачественное ортодонтическое лечение, кариес и скопление зубных отложений. Распознать гингивит можно по следующим признакам: кровоточивость десен, образование ложных пародонтальных карманов, отек и изменение формы десен, неприятный запах изо рта, а также разрастание десневой ткани.
Развивающийся в десневой ткани воспалительный процесс называется гингивитом. При запущенных стадиях заболевание перетекает в пародонтит или пародонтоз, то есть деструкционный процесс распространяется на более глубокие слои пародонта и затрагивает костную ткань. При своевременном обращении за врачебной помощью болезнь можно полностью излечить, главное, это правильно определить причину, спровоцировавшую развитие гингивита.
Развитие гингивита может быть спровоцировано различными факторами как местного, так и общего характера.
Общие причины, вызывающие развитие гингивита
Общими факторами, влияющими на развитие воспалительного процесса в десневой ткани, принято считать:
- системные болезни;
- инфекционные заболевания;
- нарушения в работе основных систем организма;
- авитаминозы;
- аллергические реакции;
- химическое раздражение слизистой ротовой полости;
- курение;
- радиационное облучение.
Резистентность организма к воздействию патогенной микрофлоры снижается в результате наличия хронических и системных заболеваний, которые являются постоянным очагом инфекции в организме или запускают аутоиммунные процессы. Неспецифическая сопротивляемость снижается также в результате изменения гормонального фона, сбоев в работе иммунной, эндокринной, пищеварительной, кровеносной и сердечно-сосудистой систем. В зоне риска находятся пациенты, страдающие от таких системных заболеваний, как ревматизм, сахарный диабет, гепатит, гломерулонефрит, нефрит, туберкулез и т. д. общее снижение иммунитета на фоне недостаточного ухода за ротовой полостью и становиться причиной развития заболевания.
На возникновение воспалительного процесса в верхних слоях пародонта влияют аллергические реакции, а также недостаток витаминов и минералов (гиповитаминоз). Несбалансированное питание и отсутствие в рационе твердой пищи способствует снижению местного иммунитета, скоплению твердого и мягкого зубного налета и размножению патогенных микроорганизмов.
Дети младшего и среднего школьного возраста часто страдают от гингивита, имеющего инфекционную природу. Инфекционный гингивит развивается при наличии аллергических реакций или не долеченных инфекционных заболеваний (корь, скарлатина, дифтерия и прочих).
Курение меняет химический состав слюны, вследствие чего изменяется ее консистенция, слюна загустевает, следовательно, ротовая полость не может самоочищаться. Лучевая болезнь и плохая экология также снижают местный иммунитет, провоцируя развитие гингивита.
Среди общих факторов, провоцирующих заболевание, особое место отводится наследственности. Неправильное строение зубочелюстной системы достаточно часто становиться причиной развития гингивита. Неправильный прикус, мелкое преддверье, аномалии в строении уздечки способствуют травмации десневой ткани, препятствуют самоочищению ротовой полости и правильному распределению нагрузки на зубочелюстную систему. Устранить наследственные факторы можно только при помощи гингивопластики, то есть оперативного вмешательства.
Врачи отмечают, что гингивит является распространенным заболеванием, которое возникает в результате нескольких факторов. Основной причиной является накопление зубного налета, содержащего бактерии, которые вызывают воспаление десен. Неправильная гигиена полости рта, недостаточная чистка зубов и отсутствие регулярных посещений стоматолога способствуют развитию этого состояния. Кроме того, врачи указывают на влияние системных заболеваний, таких как диабет, которые могут усугубить воспаление десен. Стресс и гормональные изменения, например, во время беременности, также могут стать триггерами. Важно помнить, что ранняя диагностика и лечение гингивита могут предотвратить более серьезные стоматологические проблемы в будущем.

Местные факторы, способствующие развития воспалительного процесса в десневой ткани
Местными причинами, вызывающими гингивит, являются:
- плохая или неправильная гигиена ротовой полости;
- скопление зубных отложений;
- травмы десны;
- некачественное ортодонтическое лечение;
- кариес;
- дефекты пломб.
Сами по себе местные факторы могут и не вызывать развитие воспалительного процесса, но в совокупности с общими причинами, например, снижение иммунитета на фоне перенесенного вирусного или инфекционного заболевания, становится толчком для развития воспалительного процесса в десневой ткани.
Мнения людей о причинах возникновения гингивита разнообразны и часто основаны на личном опыте. Многие утверждают, что основным фактором является недостаточная гигиена полости рта. Неправильная чистка зубов и нерегулярное посещение стоматолога приводят к накоплению налета и образованию зубного камня, что, в свою очередь, вызывает воспаление десен. Другие считают, что генетическая предрасположенность играет важную роль, так как у некоторых людей гингивит развивается легче, чем у других. Также упоминаются факторы, такие как стресс, курение и неправильное питание, которые могут ослаблять иммунную систему и способствовать развитию заболевания. Важно отметить, что многие люди не осознают, что гингивит может быть признаком более серьезных проблем со здоровьем, что подчеркивает необходимость регулярных профилактических осмотров у стоматолога.
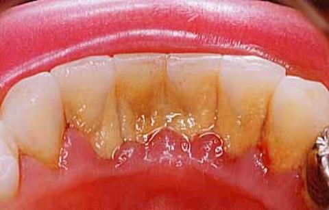
Признаки заболевания, оценка степени тяжести гингивита
Тяжесть болезни определяется в зависимости от локализации и распространенности воспалительного процесса. На начальной стадии заболевания воспаление развивается в ткани межзубных сосочков, постепенно распространяясь на десневой край. Если воспалительный процесс распространился на свободную десну, то можно диагностировать гингивит средней степени тяжести. При наличии воспаления в альвеолярной части десны диагностируют тяжелую степень гингивита, требующую срочного лечения.
Вне зависимости от причины, спровоцировавших заболевание, распознать гингивит можно по характерным признакам:
- кровоточивость;
- разрастание десневой ткани;
- изменение формы десны;
- гиперемия, рыхлость и отек десневой ткани;
- зловонный запах из ротовой полости;
- изъязвление десневого края;
- образование ложных пародонтальных карманов;
- выделение экссудата.
Стоит отметить, что при гингивите не нарушается зубодесневое соединение и не разрушаются межзубные перегородки. Изменение формы десны и образование так называемых ложных зубодесневых карманов связано с разрастанием десневой ткани. В зоне риска находятся дети и подростки, так как их околозубная ткань особо восприимчива к изменениям гормонального фона и сбоям в работе основных систем организма.
Гингивит в острой форме может сопровождаться изменением самочувствия больного в сторону ухудшения: наличие субфебрильной температуры, тошнота, головокружения. Слабость, апатия, вялость, рассеянность внимания. Общее самочувствие ухудшается вследствие интоксикации организма токсинами, которые выделяют патогенные микроорганизмы. Обострения хронической формы болезни также могут сопровождаться нарушениями общего состояния больного.
Клиническая картина гингивита зависит от его степени тяжести, характера течения и причины, спровоцировавшей развитие воспалительного процесса. Гингивит следует дифференцировать с таким заболеванием как пародонтит, для которого характерно распространение воспалительного процесса на более глубокие слои пародонта, разрушение межзубных перегородок и образование зубодесневых карманов.

Вопрос-ответ
Чем вызывается гингивит?
Острый некротизирующий язвенный гингивит Венсана. Возбудители заболевания – трепонема, спирохета. Заболевание развивается при плохой гигиене полости рта и наличии вирусных заболеваний: ангин, гриппа.

Какое самое лучшее средство от гингивита?
С начальными стадиями гингивита отлично справляются антисептики – «Хлоргексидин», «Метронидазол», которые есть в составе нескольких дентальных гелей и растворов. Хороший эффект дают полоскания с настоями ромашки и шалфея.
Можно ли полностью вылечить гингивит?
Можно ли вылечить гингивит дома? Полосканиями и смазыванием дёсен лечебными гелями можно снять симптомы – уменьшить кровоточивость, болезненность. Но удалить микробную бляшку и твёрдый камень с зубов, причину развития воспаления, можно только в стоматологической клинике.
Каковы причины гипертрофического гингивита?
Гипертрофический гингивит возникает в результате воспаления десен, часто вызванного накоплением зубного налета и бактерий. Основные причины включают плохую гигиену полости рта, гормональные изменения (например, во время беременности или менструации), некоторые медикаменты (например, антиконвульсанты), а также системные заболевания, такие как диабет. Кроме того, генетическая предрасположенность и недостаток витаминов, особенно витамина C, могут способствовать развитию этого состояния.
Советы
СОВЕТ №1
Регулярно посещайте стоматолога для профилактических осмотров и чисток зубов. Это поможет выявить ранние признаки гингивита и предотвратить его развитие.
СОВЕТ №2
Обратите внимание на свою гигиену полости рта. Чистите зубы не менее двух раз в день и используйте зубную нить, чтобы удалить остатки пищи и налет между зубами.
СОВЕТ №3
Соблюдайте сбалансированную диету, богатую витаминами и минералами, особенно витамином C, который способствует здоровью десен. Избегайте избыточного потребления сахара, который может способствовать образованию налета.
СОВЕТ №4
Если вы замечаете покраснение, отек или кровоточивость десен, не откладывайте визит к стоматологу. Эти симптомы могут быть первыми признаками гингивита, и раннее лечение поможет избежать серьезных проблем.
