В стоматологической практике удаление как простого зуба, так и зуба мудрости считается серьёзной операцией, в результате которой часто могут возникнуть осложнения.
Причиной воспаления десны и развития сопутствующих осложнений может быть ошибка врача, недостаточная стерильность инструментов, несоблюдение предписаний по уходу за образованной лункой, повреждения раны твёрдой пищей и банальное отсутствие гигиены ротовой полости.
Признаки здорового заживления
Удаление зуба тесно связано с травмами дёсен. Особенно если удаляются криво растущие зубы мудрости. В таких случаях пациенту нередко накладывают швы на десну, поэтому процесс заживления длится не меньше недели. В среднем, при беспроблемном удалении, срок заживления лунки составляет от 3-х дней до 1-й недели.
Сразу после операции десна неминуемо припухает, появляется отёчность, которая должна сойти через пару часов.
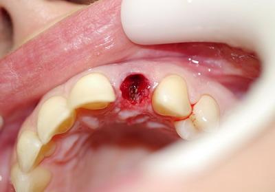
После операции в лунке образуется что-то вроде сгустка крови или тромба. Это нормальная реакция, так организм стремится обезопасить рану от попадания инфекций.
Также нормальной практикой считается наблюдать на лунке белый налёт или пленку. Её нечасто увидишь, но она также является частью процесса заживления.
Важно! Не нужно отдирать, удалять, вычищать или еще как-либо воздействовать на сгусток крови или плёнку. Когда рана затянется, они сами исчезнут.
Врачи подчеркивают, что воспаление зуба после удаления может привести к серьезным осложнениям для организма. Основной причиной воспалительного процесса является инфекция, которая может развиться в области удаленного зуба. Симптомы заболевания включают сильную боль, отек десны, покраснение и повышение температуры тела. Если не обратиться к врачу вовремя, инфекция может распространиться на соседние ткани и даже в кровь, что приведет к более серьезным состояниям, таким как сепсис. Важно следить за состоянием после удаления зуба и при появлении любых настораживающих симптомов незамедлительно обращаться за медицинской помощью. Профилактика и своевременное лечение помогут избежать осложнений и сохранить здоровье.

Какие типы воспаления могут возникнуть после удаления зуба
Как и другие осложнения травмированных мягких тканей, проблемы десен начинаются с лёгкого воспалительного процесса. Оставшись без внимания, воспаление перетекает в сложную форму с отёчностью, выделением гноя, воспалением лимфоузлов и прочими неприятными вещами.
К врачебной ошибке относится не до конца удаленный зуб. Если в десне остаётся осколок, со временем он начинает нарывать, травмировать мягкие ткани и провоцировать воспаление.
Воспаление имеет три стадии:
- Начальная или серозная стадия — меняется цвет десны, появляется отёчность, ткани становятся рыхлыми.
 - Вторая стадия сопровождается увеличением лимфоузлов, пульсирующей и дергающей болью в лунке, повышением температуры и отчётливым запахом гниения изо рта. Из-за этого вторую стадию еще называют гнойной.
 - Гипертрофическая стадия. На третьем этапе отёчность спадает, десна приобретает синий цвет, из лунки выделяется гной, боль отсутствует.
 
Наиболее частые осложнения, связанные с удалением зуба: альвеолит, периостит и периодонтит, степень тяжести которых перекликается с приведёнными выше симптомами.
Так, при альвеолите происходит воспаление внутренних стенок лунки удалённого зуба. После чего процесс плавно проходит по всем трём стадиям воспаления.
Периостит знаком многим как «флюс». При этом происходят воспалительные процессы в области надкостницы зуба.
При периодонтите воспаляется зубной корень, что часто сопровождается воспалением нижнечелюстных лимфоузлов, опухлостью щеки, повышенной температурой тела и пульсирующей болью.
Симптомы воспалительного процесса
Чем быстрее обнаружено воспаление десны, тем быстрее нужно приступать к лечению, чтобы не допустить усугубления ситуации и развития осложнений.
Важно следить за некоторыми признаками воспаления:
- кровоточивость раны, отсутствие тромба или плёнки;
 - покраснение и отёчность, не проходящее в течение 5 дней;
 - появление неприятного запаха во рту;
 - проявление периодических болей в лунке;
 - опухлость щеки;
 - гноение лунки;
 - изначально белая плёнка на лунке изменила цвет;
 - возможные периодические онемения челюсти или щеки.
 
Внимание! При наличии даже одного из этих симптомов нужно незамедлительно обратиться к врачу.
После удаления зуба воспаление может стать серьезной проблемой для организма. Люди часто отмечают, что симптомы, такие как сильная боль, отек и покраснение в области десны, могут указывать на развитие инфекции. Важно помнить, что воспаление может привести к осложнениям, таким как остеомиелит или абсцесс, если не принять меры. Многие пациенты сообщают о повышенной температуре и общем недомогании, что свидетельствует о том, что организм борется с инфекцией. В таких случаях необходимо обратиться к стоматологу для диагностики и лечения. Игнорирование симптомов может привести к более серьезным последствиям, поэтому важно следить за состоянием после удаления зуба и не откладывать визит к врачу при первых признаках воспаления.

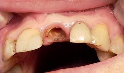
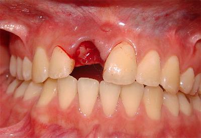
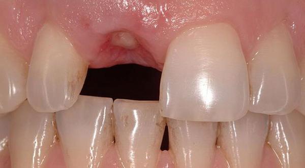
Лунка изменила цвет: побелела, стала чёрной, красной, посинела
Если десна побелела, то волноваться не о чем. Так выглядит фибрин, который обволакивает рану плёнкой.
Фото 1. Если после удаления зуба десна побелела, то процесс заживления протекает нормально.
Если лунка и близкие к ней мягкие ткани почернели, становятся красного или синего оттенка, это прямое свидетельство наличия воспаления. Причём если отчетливо проявился синий цвет десны, то это свидетельствует о третьей стадии воспаления, которая сопровождается атрофией мягких тканей.
Что значит, если десна болит: нарывает, пульсирует, дёргает, есть жжение
Нарыв на десне свидетельствует о работе вредоносных бактерий в ране. Если ничего не делать, со временем появится гнойник, разовьется абсцесс, который получится удалить только оперативным путем.
Если десна пульсирует на протяжении первой недели после удаления, но состояние не сопровождается другими симптомами, то волноваться не о чем. Если боль с каждым днём усиливается, это признак возможного развития кисты.
Если десна дёргает или ощущается жжение, то возможно, это говорит о появлении кандидозного стоматита. Дело в том, что бактерии стоматита живут в слюне большинства людей, но успешно подавляются иммунитетом.
При сильном травматизме мягких тканей, бактерии со слюной могут оказаться в ране. Если симптомы сохраняются несколько дней, нужно обратиться к врачу.

Десна твёрдая
Затвердевание десны может свидетельствовать о развитии экзостоза или периодонтита.
Экзостоз опасен тем, что в последующем в месте повреждения начинает образовываться твёрдая шишка. Если она не болит, её можно не удалять. Но в будущем она разрастется до больших размеров и начнет мешать соседним зубам, также она может препятствовать протезированию.
Важно! При периодонтите необходимо срочно удалять очаги воспаления и применять медикаментозное лечение.
Что значит, если появилась язва
Язва на десне свидетельствует о возникновении воспаления и занесении инфекции.
Если кроме язвенного образования никаких симптомов не наблюдается, достаточно принять профилактические меры, например, промыть лунку антисептическими и противовоспалительными настоями.
Если же язва сопровождается некоторой отёчностью или кровоточит, это свидетельствует о начале развития пародонтита или стоматита.
Признаки сепсиса у взрослых
Наиболее опасное последствие воспаления десны — сепсис. При запущенном воспалении, возбудители легко проникают в кровеносную систему и провоцируют нарушения работы всего организма.
К признакам сепсиса у взрослых относится:
- лихорадка, температура близкая к 40 градусам;
 - снижение артериального давления, тахикардия;
 - головные боли, вялость, потеря аппетита;
 - высокая влажность кожи, холодный и липкий пот;
 - потеря ориентации в пространстве.
 
Внимание! При диагностировании сепсиса необходима срочная госпитализация.
Что делать, если воспалился зуб мудрости после удаления
При обнаружении признаков воспалительного процесса нужно срочно обратиться к врачу. Самостоятельное определение осложнения и стадии воспаления, скорее всего, будет ошибочным.
При первых признаках воспаления, с которыми к врачу обращаются лишь единицы, стоматолог может назначить эффективные на начальной стадии аптечные травяные сборы для полосканий вроде шалфея, дубовой коры или чабреца.
Они обладают противовоспалительными и антисептическими свойствами.
Плюс к этому, при выраженных болевых симптомах помогут анальгетики вроде Доларена.
При развитии осложнений, таких как альвеолит, эти средства будут малоэффективны. В таких случаях врач вводит анальгетик, промывает лунку антисептиком, удаляет все очаги воспаления, с последующей обработкой и накладыванием аппликаций. Завершающий этап – курс антибиотиков вроде Кларитромицина.
Чистка лунки
В первый день лунку не чистят. Также стоит воздержаться от полосканий и других манипуляций. Врачи рекомендуют начинать применять профилактические меры по заживлению лунки только на следующий день после операции.
Учитывая, что лунка затягивается тромбом и плёнкой, всё, что нужно делать, это не есть твёрдую пищу, а лучше вообще жевать на противоположной стороне.
Вдобавок к этому, полоскать рот антисептиком вроде хлоргексидина. Нужно набирать средство в рот и держать некоторое время в области раны.
В первые дни после удаления лучше воздержаться от спиртных напитков и курения, так как алкоголь провоцирует кровотечения, а при курении может выпасть тромб.
Полезное видео
Ознакомьтесь с видео, в котором рассказывается о причинах боли в десне после удаления зуба и способах лечения.
Воспаление после стоматологического вмешательства – опасно
Воспаление лунки после удаления зуба представляет серьёзную опасность не только для полости рта, но и для всего организма. Если игнорировать осложнения, может возникнуть угроза жизни. Поэтому при малейших признаках воспаления, нужно сразу обращаться к врачу. Даже если воспаление незначительно, не стоит заниматься самолечением.
Вопрос-ответ
Как понять, что пошла инфекция после удаления зуба?
Альвеолит — воспаление в лунке удаленного зуба. Основный признак — затянувшееся заживление лунки, отсутствие кровяного сгустка, сильная боль в лунке зуба. Другие симптомы — увеличение подчелюстных лимфоузлов, неприятный запах изо рта, слабость, недомогание, температура тела до 38 °С.
Какие симптомы должны насторожить после удаления зуба?
После удаления зуба следует насторожиться при появлении сильной боли, которая не утихает, отека, покраснения, гноетечения из лунки, повышения температуры тела, а также если в области удаления зуба ощущается необычная пульсация или неприятный запах. Эти симптомы могут указывать на инфекцию или другие осложнения, требующие обращения к стоматологу.
Когда бить тревогу после удаления зуба?
Когда нужно бить тревогу – если отек в течение следующих 1-2-х дней после удаления продолжает нарастать, при этом также могут усиливаться боли и температура, увеличивается болезненность при глотании, а рот открывается все меньше и меньше – все это неблагоприятные симптомы.
Как удаление зуба влияет на организм?
При экстракции зуба травмируются окружающие его ткани. Неудивительно, что после такой операции проявляются не самые приятные последствия. Наиболее распространённой реакцией является отёк. Пациенты могут отмечать припухлость десны, появление отёка щеки или небольшой флюс.
Советы
СОВЕТ №1
Обратите внимание на симптомы. Если после удаления зуба вы заметили сильную боль, отек, покраснение или выделения из лунки, это может быть признаком воспаления. Не игнорируйте эти симптомы и обратитесь к стоматологу как можно скорее.
СОВЕТ №2
Следите за гигиеной полости рта. После удаления зуба важно поддерживать чистоту в области лунки, но избегайте агрессивного полоскания. Используйте мягкие антисептические растворы, чтобы предотвратить инфекцию.
СОВЕТ №3
Соблюдайте рекомендации врача. После удаления зуба стоматолог может дать советы по уходу за полостью рта и назначить противовоспалительные препараты. Следуйте этим рекомендациям, чтобы снизить риск осложнений.
СОВЕТ №4
Не откладывайте визит к врачу. Если симптомы воспаления не проходят в течение нескольких дней или ухудшаются, немедленно обратитесь к стоматологу. Раннее вмешательство поможет избежать серьезных последствий для здоровья.








