Одно слово «кариес» вызывает самые неприятные мысли и чувства почти у каждого взрослого.
Это латинское слово, в переводе означающее «гниль», неразрывно связано в представлении людей с болью, необходимостью посещения врача, ограничениями и расходами.
Стоматологи называют кариесом патологию эмали зуба, связанную с уменьшением в ней содержания кальция и сопровождающуюся её разрушением.
Код и классификация кариеса на зубах по МКБ-10
Согласно МКБ-10 кариес отнесён к виду болезней органов пищеварения и за ним закреплён код К02.
В рамках этой классификации выделены кариеса эмали, дентина, цемента, также отдельно указаны приостановившиеся виды кариеса, связанные с обнажением пульпы .
Помимо собирательных кодов К02.8 и К02.9 (другой и неуточненный кариесы), присутствует в МКБ и одонтоклазия.
Эта классификация не является общепринятой у врачей-стоматологов, многие из которых подразделяют такое заболевание по клиническим формам, местам расположения, характеру течения или интенсивности поражения.
Кариес является одной из самых распространенных стоматологических проблем, и врачи выделяют несколько основных причин его возникновения. Во-первых, недостаточная гигиена полости рта приводит к накоплению зубного налета, что способствует развитию бактерий. Во-вторых, избыточное потребление сахара и углеводов создает идеальные условия для размножения микробов. Третья причина — это недостаток фтора, который укрепляет зубную эмаль. Четвертая — генетическая предрасположенность, которая может влиять на структуру зубов. Наконец, некоторые заболевания, такие как диабет, также могут способствовать развитию кариеса.
Симптомы кариеса могут варьироваться от легкого дискомфорта до острого зубной боли, особенно при воздействии горячего или холодного. На ранних стадиях можно заметить потемнение или белые пятна на зубах. Врачи рекомендуют регулярные осмотры у стоматолога для раннего выявления и лечения кариеса. Методы лечения зависят от стадии заболевания: от реминерализации и пломбирования до более серьезных вмешательств, таких как коронки или эндодонтическое лечение. Важно помнить, что профилактика всегда проще и эффективнее, чем лечение.

Определение строения зуба и химический состав эмали
Строение следующее: видимая часть зуба называется коронкой. Она покрыта эмалью, которая наиболее часто подвержена кариесу. В области шейки, которая располагается на границе с десной, осуществляется переход в корень. Его покрытие — цемент, по составу отличающийся от эмали коронки. На нём также может возникнуть кариес.
Эмаль покрывает коронку очень прочным, но неглубоким слоем до 2 мм. Её основная функция — защитная. Под ней располагается мягкий дентин.
Прочность защитной оболочки обусловлена составом и может существенно варьироваться. Неорганические вещества, которые составляют её основу, представлены преимущественно апатитами. Содержание воды незначительно по сравнению с другими тканями — около 3%. На долю органических веществ приходится немногим более 1%.
Такой химический состав обеспечивает достаточную защиту как от механических и температурных, так и химических вредных воздействий на зубную поверхность.
Процесс разрушения зубной эмали: что это такое
Кристаллы гидроксиапатита, доля которого в составе внешнего покрытия зуба доходит до 75%, весьма чувствительны к воздействию кислот.
При нарушении кислотного баланса в ротовой полости начинается разрушение и вымывание. Поскольку именно кристаллы обеспечивали твёрдость зубной эмали, с их потерей начинается её размягчение.
Внешне процесс деминерализации — вымывания неорганических веществ — выглядит как белое, шероховатое пятно, которое выделяется на гладкой блестящей поверхности зуба. Если не приняты меры по уменьшению выработки кислот бактериями в полости рта, то происходит дальнейшее нарушение баланса. Бактерии скапливаются в повреждённом месте, так как именно там большая вероятность задержки частиц пищи.
Если не происходит благоприятных изменений, то с увеличением потери гидроксиапатитов органические вещества из пережёвываемой пищи окрашивают пятно в коричневый или бурый цвет.
Внимание! Чем слабее становится защитная оболочка в месте кариозного поражения, тем быстрее начинается разрушение. Под воздействием кислот распространяется кариес как по поверхности, с переходом на другие области, так и вглубь, где под ударом оказывается дентин.
Кариес — это распространённая стоматологическая проблема, и многие люди выделяют несколько основных причин его возникновения. Во-первых, недостаточная гигиена полости рта приводит к накоплению налёта и бактерий, что способствует разрушению зубной эмали. Во-вторых, чрезмерное потребление сахара и углеводов увеличивает риск кариеса, так как бактерии питаются этими веществами. Третьей причиной является недостаток фтора, который укрепляет зубы и защищает их от разрушения. Четвёртая причина — это генетическая предрасположенность, когда некоторые люди более склонны к кариесу из-за особенностей строения зубов. Наконец, возраст также играет роль: у детей и пожилых людей риск кариеса выше.
Симптомы кариеса могут варьироваться от лёгкой чувствительности до боли при жевании и видимых пятен на зубах. Если не лечить кариес, он может привести к более серьёзным проблемам, таким как пульпит. Лечение включает в себя удаление поражённой ткани и пломбирование зуба. В некоторых случаях может потребоваться коронка или даже удаление зуба. Профилактика кариеса заключается в регулярной чистке зубов, использовании зубной нити и посещении стоматолога для профилактических осмотров.

Причины появления дырки
К возникновению кариеса приводит комбинация различных внешних и внутренних факторов. Их действие может носить прямой или опосредованный характер. Непосредственное влияние на благополучие зуба оказывают следующие факторы:
- Употребляемая пища.
 
Фото 1. Женщина ест шоколадную конфету, подобная еда с высоким содержанием сахара приводит к разрушению эмали.
- Состав и количество слюны.
 - Микроорганизмы, обитающие в ротовой полости.
 - Проводимые гигиенические процедуры и их регулярность.
 - Травмирующие и стрессовые воздействия на организм.
 
Большое количество сахаров в пище становится источником для продукции кислот микроорганизмами, присутствующими в ротовой полости. Слюна в норме препятствует деминерализации, поставляя необходимые вещества и восстанавливая кислотно-щелочной баланс. Своевременное удаление остатков пищи изо рта, необходимая мера профилактики, лишающая микробов питательного субстрата.
Различные соматические заболевания также могут содействовать появлению и развитию кариеса, но только опосредованно, через изменение состава слюнной жидкости и экологической ситуации в ротовой полости.
Справка! Большую роль играет наследственная предрасположенность, которая выражается в устойчивости эмали и характерном рельефе поверхности зубов.
Симптомы кариеса
Первые стадии возникновения кариеса обычно проходят незамеченными.
Поскольку ни белые, ни пигментные пятна не дают усиления чувствительности и не доставляют каких-либо неприятных ощущений, то эти этапы формирования кариеса ускользают от внимания пациентов.
Выявляются они, как правило, в ходе профилактических осмотров стоматолога.
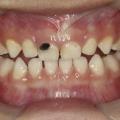
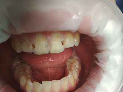
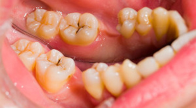
При появлении каверны усиливается чувствительность к изменению температурного режима, иногда — механического воздействия. Такие каверны, в просторечие называемые «дырками» в эмали, и становятся предметом беспокойства пациентов с больными зубами. В них начинает скапливаться еда, может появиться характерный неприятный запах.
При переходе кариеса в глубокую форму возникают кратковременные, резкие боли от разных видов воздействий. При устранении раздражителя они тоже стихают.
Внимание! Если после устранения раздражителя боль не исчезает, то воспаление пошло дальше, возможно, начался пульпит, а не просто кариес.

Осложнения
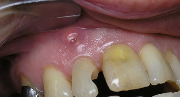
За осложнения при развитии кариеса основная вина лежит на бактериях. Они вырабатывают кислоты, разрушающие зубную ткань, а затем проникают в образовавшиеся полости.
Попадание микробов в пульпу приводит к возникновению различных воспалительных процессов, в том числе пульпита, периодонтита. Скопление гноя в прилежащих тканях может принимать форму гранулёмы, флюса, а если организм не сможет ограничить очаг гнойного воспаления, то развивается флегмона.
Фото 2. Гранулема с гноем на десне, образуется из-за попадания микробов с эмали внутрь зуба.
Эти воспалительные процессы опасны для человека в силу близкого расположения челюстей к магистральным кровеносным сосудам и головному мозгу. Прорыв гнойного содержимого может привести к самым негативным последствиям, вплоть до того, что можно умереть.
Тактика лечения
В случае начального кариеса основной упор делается на реминерализацию зубной эмали и предотвращение её дальнейшего разрушения. Производится очищение зубов от налёта, нанесение лекарственной пасты, содержащей кальций и фтор, в виде аппликаций. Курс такого лечения в сочетании с противокариозными зубными пастами и регулярной гигиеной рта позволяют воспрепятствовать развитию кариес.
При появлении каверны проводится её санация различными способами удаления отмерших тканей. Затем производится пломбирование и выравнивание поверхности со шлифовкой.
Глубокие поражения, осложнённые пульпитом, требуют длительного лечения. В некоторых случаях врачу приходится удалять нерв и очищать корневой канал с последующим его пломбированием.
Удаление
Становится крайней мерой при лечении кариеса. Подобное решение врач принимает в каждом случае индивидуально, учитывая весь комплекс проблем.
Одной из причин необходимости удаления может стать кариозное разрушение корня. При таком расположении сложно своевременно обратить внимание на развивающуюся патологию, поэтому часто обращение вызвано сильными болями, причина которых — пульпит.
Профессиональная гигиена полости рта
Наличие кариеса или предпосылок к его скорому развитию — повод для усиления профилактических мер. Первой из них должна стать тщательная гигиеническая обработка. Но от ряда процедур всё же следует воздержаться.
Ультразвуковая чистка
Такой способ удаления зубного камня и налёта является весьма действенным и не разрушает эмаль. Но при существующем кариозном пораженном зубе от этой процедуры придётся отказаться.
Фото 3. Процедура ультразвуковой чистки зубов, эмаль не разрушает, очищает ее от налета.
Как делать ручную чистку
Удалить налёт профессионально можно и с помощью ручных инструментов. Для обработки используют специальные пасты и насадки для бормашины.
Можно ли отбеливать
Противопоказано при выраженных дефектах эмали, так как может спровоцировать проникновение болезнетворных микробов глубже.
Выходом из ситуации станут временные пломбы: их установят перед тем, как отбелить зубы, а постоянные будут подобраны уже под новообретённый цвет.
Выбор методов отбеливания — нанесение специального геля, ношение кап с осветляющим составом или отбеливающие полоски не играет принципиальной роли.
Реставрация
Кариес не является противопоказанием к проведению реставрации с целью устранения щелей между зубами или сколов. Обычно врач разрабатывает единый план лечения, включающий в себя решение всех проблем в ротовой полости пациента.
Полезное видео
Ознакомьтесь с видео, в котором врач-стоматолог рассказывает о разных стадиях кариеса, причинах его развития.
Самовосстановление: может ли заболевание пройти само?
Организм человека способен регенерировать, восстанавливая целостность и функциональность различных тканей и органов. К сожалению, зубная ткань мало способна к регенерации. На стадии белого пятна есть возможность самостоятельного улучшения ситуации при естественной реминерализации эмали.
При появлении пигментного пятна и кариеса шансов на его самопроизвольное исчезновение мало, скорее есть возможность перехода в форму приостановившегося кариеса. После формирования каверны требуется медицинское вмешательство для предотвращения дальнейшего разрушения зубов.

Если вы заметили на зубах малыша коричневые пятнышки или налет, пора отвести ребенка к детскому стоматологу.
Стадии
Вы узнаете основные факторы и причины развития кариозной болезни, а также ее поэтапный прогресс и течение, ознакомитесь более подробно с характеристикой каждой из стадий ее проявления.
По локализации
Этиология


Вопрос-ответ
Каковы причины появления кариеса?
Кариес возникает в результате взаимодействия бактерий, содержащихся в зубном налете, с углеводами, которые мы потребляем. Бактерии перерабатывают сахара, производя кислоты, которые разрушают зубную эмаль. Основные факторы, способствующие развитию кариеса, включают плохую гигиену полости рта, недостаток фтора, частое употребление сладкой пищи и напитков, а также генетическую предрасположенность.
Каковы 4 фактора возникновения кариеса?
В этиологии кариеса зубов есть четыре основных фактора: бактерии, время, восприимчивая поверхность зуба и ферментируемые углеводы.
Каковы методы лечения кариеса?
Лечение кариеса зубов предполагает удаление пораженных болезнью участков зубов (дентин, эмаль). Для удаления используется бормашина. После этого зуб незамедлительно пломбируют, то есть восстанавливают его анатомическую форму, применяя пломбировочные материалы.
Советы
СОВЕТ №1
Регулярно посещайте стоматолога для профилактических осмотров. Это поможет выявить кариес на ранних стадиях, когда лечение будет менее инвазивным и более эффективным.
СОВЕТ №2
Следите за гигиеной полости рта. Чистите зубы дважды в день и используйте зубную нить, чтобы удалить остатки пищи и налет, которые могут способствовать развитию кариеса.
СОВЕТ №3
Сократите потребление сахара и кислых продуктов. Избыток сахара в рационе может способствовать образованию кариеса, поэтому старайтесь выбирать более здоровые альтернативы для перекусов.
СОВЕТ №4
Используйте фторсодержащие зубные пасты и ополаскиватели. Фтор помогает укрепить эмаль зубов и делает их более устойчивыми к кариесу, поэтому включите эти средства в свою ежедневную гигиену.








