Лазерное отбеливание зубов – это эффективная, быстрая и надежная процедура восстановления естественной белизны зубного ряда. Методика заключается в нанесении специального геля на поверхность эмали, который химическим путем окисляется под воздействием лазера.
Отбеливание зубов лазером требует строгого соблюдения последовательности процедуры. Технология насчитывает ряд преимуществ: щадящее отношение к твердым зубным тканям, сохранение целостности эмали, антибактериальный эффект и эффективное осветление зуба до 8-10 тонов.
Отбеливание зубов с помощью лазера имеет один ключевой недостаток в виде высокой стоимости манипуляции. Процедура также противопоказана детям, кормящим и беременным женщинам.
Что такое лазерное отбеливание зубов?
Цвет зубов обусловлен органическими веществами эмали и дентина. Под воздействием красящих веществ, которые находятся в кофе, чае, шоколаде, табаке, происходит потемнение твердых зубных тканей. Отбеливание зубов лазером направлено на осветление органических веществ.
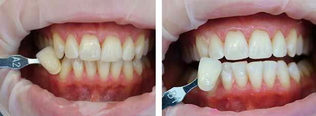
Фото 1. Оттенок зубов до и после отбеливание зубов лазером
В состав отбеливающих растворов и гелей входит перекись водорода и в редких случаях хлориды. Это активное вещество вызывает процесс окисления. Диодный лазер, отбеливание зубов при котором осуществляется наиболее эффективно, служит катализатором химической реакции. К примеру, лазерное отбеливание зубов zoom включает активацию окислительных процессов посредством ультрафиолетовой лампы.
Фото 2. Диодный лазер
На интенсивность осветления эмали и дентина влияет концентрация отбеливающего вещества и длительность его воздействия на зуб. Лазерное отбеливание зубов при этом вызывает обесцвечивание органического наполнителя эмали и дентина.
Врачи-стоматологи отмечают, что лазерное отбеливание зубов является одной из самых эффективных и безопасных процедур для достижения белоснежной улыбки. По их мнению, лазер позволяет значительно ускорить процесс отбеливания, минимизируя при этом риск повреждения эмали. Специалисты подчеркивают, что данный метод подходит для большинства пациентов, однако перед процедурой важно провести тщательную диагностику состояния зубов и десен.
Некоторые врачи предупреждают о возможных временных побочных эффектах, таких как повышенная чувствительность зубов, но в целом считают, что преимущества лазерного отбеливания перевешивают риски. Они также рекомендуют проводить процедуру только в сертифицированных клиниках, где используются современные технологии и качественные материалы. В заключение, стоматологи уверены, что при правильном подходе лазерное отбеливание может стать отличным способом улучшить эстетику улыбки и повысить уверенность пациента в себе.

Показания к применению лазерного отбеливания зубов
Врачи рекомендуют проводить процедура осветления зубов с помощью лазера пациентам, у которых зубы обесцветились на несколько тонов и имеют желтовато-коричневый оттенок. Потеря цвета может быть врожденной или приобретенной. На гиперпигментацию эмали и дентина влияют следующие факторы:
- генетическое нарушение развития твердых тканей зуба;
 - употребление беременной женщиной антибиотиков тетрациклинового ряда;
 - хронические расстройства работы желудочно-кишечного тракта;
 - обильное отложение твердого и мягкого зубного камня;
 - нерациональное и непропорциональное питание человека;
 - несоблюдение правил гигиены ротовой полости;
 - вредные привычки и употребление большого количества чая и кофе;
 - эрозии и трещины эмали.
 
Фото 3. Генетическое нарушение твердых тканей зуба
Методики лазерного отбеливания зубов
Профессиональное отбеливание зубов проводится с помощью таких технологий:
- Механическое очищение поверхности эмали песочно-соляным раствором, который под давлением подводится к пигментированному зубу. Процедура имеет основной недостаток — это повреждение поверхности эмали в виде микротрещин и шероховатости.
 
Фото 4. Механическое очищение эмали зубов
- Ультразвуковая технология как эффективное средство очищения зубных рядов от зубного камня. Методика считается безопасной для твердых тканей, но значительного осветления зубов при этом не стоит ожидать.
 
Фото 5. Ультразвуковой метод отбеливания зубов
- Фотоотбеливание. Это zoom-технология, в ходе которой активатором окислительной реакции выступает ультфиолетовые лучи.
 
Фото 6. Фотоотбеливание
- Химическое отбеливание. Такие привычные методы включают офисное и профессиональное осветление зубов. В такой способ пациенту изготовляются индивидуальные каппы, которые обеспечивают точечное воздействие растворов перекиси водорода на эмаль и дентин.
 
Фото 7. Химическое отбеливание зубов
- Лазерное отбеливание зубов — результативный метод, осветляющий зубные ткани на 10-12 тонов. В таких случаях катализатором химической реакции является лазерный луч.
 
Лазерное отбеливание зубов становится все более популярной процедурой, и мнения о ней весьма разнообразны. Многие пациенты отмечают, что результат действительно впечатляет: зубы становятся заметно белее всего за одно посещение стоматолога. Однако не все так однозначно. Некоторые пользователи делятся опытом, что после процедуры чувствовали дискомфорт или повышенную чувствительность зубов. Также встречаются отзывы о том, что эффект не всегда сохраняется надолго, и требуется повторное отбеливание. Важно отметить, что для достижения наилучшего результата необходимо следовать рекомендациям стоматолога и избегать продуктов, которые могут окрашивать зубы. В целом, лазерное отбеливание вызывает интерес и обсуждение, и каждый решает для себя, стоит ли пробовать эту процедуру.

Порядок проведения стандартного лазерного отбеливания
Перед процедурой отбеливания стоматолог проводит следующие мероприятия:
- чистка зубов от твердого и мягкого зубного налета ультразвуковым методом;
 - пломбирование кариозных, пульпитных и периодонтитных зубов;
 - консервативное лечение десен при наличии гингивита (воспалительного поражения десны);
 - полирование зубных поверхностей специальной абразивной пастой;
 - ознакомление пациента со всеми преимуществами и недостаткам лазерного отбеливания зубов.
 
Современное осветление зубных тканей с помощью лазерной технологии осуществляется в таком порядке:
- Первичная консультация у врача-стоматолога. Специалист проводит инструментальный осмотр ротовой полости и зубных рядов. При этом он определяет наличие воспалительный заболеваний слизистой оболочки, кариеса и твердых зубных отложений.
 - Изоляция рабочего поля. Врач устанавливает изолирующие держатели для губ и наносит жидкий фотополимер на десну. Защита глаз проводится специальными очками.
 - Приготовление отбеливающего вещества, который смешивается с активатором. Этот гель имеет яркую окраску, что позволяет контролировать распределение препарата по эмали и дентине.
 - Отбеливание зубов. Специальный гель наносят на зубную поверхность и активизируют с помощью лазерного излучения. Длительность экспозиции должна не превышать 10-12 секунд.
 - Тщательное промывание ротовой полости водой под давлением. Излишки жидкости выводятся с помощью слюноотсоса, что исключает проникновение токсических веществ в желудочно-кишечный тракт.
 - Удаление всех изолирующих средств.
 - Процесс отбеливания завершается фторированием твердых зубных тканей. В некоторых случаях химическое осветление эмали сопровождается повышенной чувствительностью зубов. Пациент при этом жалуется на возникновение кратковременной боли от температурных раздражителей.
 
Укрепление зубных тканей ионами фтора проводится посредством нанесения фторлака на зубную поверхность. Это проходит абсолютно безболезненно.
Фото 8. Процедура лазерного отбеливания зубов
В результате не всегда у пациента будет белоснежная улыбка. Это требует проведения повторной процедуры отбеливания.
Особенности фотодинамической процедуры осветления с применением зеленого лазера
Суть методики заключается в двойном механизме отбеливания зубных рядов. Щелочной гель и зеленый лазер вызывают расщепление пигментированных органических веществ в эмали и поверхностных слоях дентина.
Процедуре предшествует профгигиена ротовой полости, в ходе которой зубная поверхность очищается от мягкого налета и твердого камня. Длительность лечебной манипуляции не превышает 25 минут. Такой короткий промежуток времени гарантирует, что десна будут без ожога и пациент не будет страдать от повышенной чувствительности эмали.
Аппарат для фотодинамического отбеливания по технологии зеленого лазера имеет специальную насадку, которая полностью повторяет анатомическую форму зубных рядов. Это способствует равномерному распределению и полимеризации геля.
Фото 9. Отбеливание зубов при помощи зеленого лазера
Преимущества и недостатки лазерного отбеливания зуба
В современной стоматологии лазерная технология — это наиболее щадящее отбеливание зубных тканей. Лазер осветляет зубы, сохраняя целостность эмали и дентина. Такое косметическое восстановление цвета обладает еще антибактериальным действием. Врачи-стоматологи утверждают, что методика является профилактической мерой развития кариеса.
К преимуществам метода относится длительное эстетическое воссоздание оттенка зубов, которое сохраняется в течение 3-5 лет. При этом лазерная процедура за один сеанс осветляет эмаль и дентин на 10 оттенков.
Комфорт пациента обусловлен безболезненностью методики. Длительность манипуляции не превышает одного часа.
Пациенты после лазерного отбеливания зубов отмечают безболезненность процедуры. Во время процедуры используются специальные препараты, длительность составляет 15-60 минут.
Основные недостатки лазерного отбеливания:
- Необходимость замены ранее проведенных реставраций. При этом цвет зубной эмали осветляется, а оттенки пломб, ортопедических конструкций и имплантатов остаются прежними. Такие пациенты требуют осуществления косметического пломбирования и протезирования зубов.
 - Лазерное и фотодинамическое отбеливание зубов провоцирует развитие повышенной чувствительности зубов, которая исчезает через 2-3 недели. Уменьшение таких болевых ощущений достигается посредством реминерализирующей терапии с использованием фторсодержащих препаратов.
 - Высокая стоимость процедура. Значительная цена лазерного отбеливание уменьшает потенциальное количество пациентов.
 
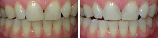
Фото 10. Оттенок зубов до и после лазерного отбеливания
Таблица 1. Преимущества и недостатки лазерного отбеливания зубов
| 
 Плюсы и минусы лазерного отбеливания зубов  | 
|
| 
 +  | 
 –  | 
| 
 Укрепляет эмаль  | 
 Высокая цена  | 
| 
 Профилактика кариеса  | 
 Не отбеливает импланты и пломбы  | 
| 
 Не разрушает эмаль  | 
 Возможна повышенная чувствительность зубов  | 
| 
 Безопасно для пульпы зуба  | 
 Возможны аллергические реакции на компоненты геля  | 
| 
 Имеет терапевтический эффект  | 
 
  | 
| 
 Эмаль становится светлее чем природный оттенок  | 
 
  | 
| 
 Без анестезии  | 
 
  | 
| 
 Не пересушивает эмаль  | 
 
  | 
Противопоказания к лазерной технологии отбеливания зубов
Специалисты не рекомендуют осуществлять процедуру в таких случаях:
- Пациенты, не достигшие 18 лет. До этого возраста происходит рост зубочелюстной системы. Специалисты запрещают осуществлять химическое или лазерное отбеливание до окончательно сформирования верхней и нижней челюсти.
 - Кормящим и беременным женщинам нежелательно проходить процедуру осветления зубов. Препараты на основе активного кислорода могут оказать токсическое воздействие на организм и плод.
 - Наличие у пациента аллергической реакции на составные компоненты отбеливающего геля. Перед каждой процедурой осветления твердых зубных тканей врач определяет переносимость медикамента.
 - Лазерное отбеливание не проводится пациентам с недоразвитой или поврежденной эмалью. Существование в ротовой полости хронических очагов инфекции в виде кариеса и воспаления десен считается относительным противопоказанием. После санации полости рта человек допускается к методике осветления эмали и дентина.
 
Процедура лазерного отбеливания наиболее комфортная и безопасная для пациента. За короткое время (25-60 минут) стоматолог достигает желаемого цвета зубов. При этом такой оттенок зубных рядов сохраняется несколько лет и не требует повторного химического осветления.
Видео: Процедура лазерного отбеливания зубов

Вопрос-ответ
Сколько держится лазерное отбеливание зубов?
В зависимости от образа жизни и используемого препарата эффект осветления эмали зубов лазером сохраняется от 1 до 5 лет. Следует знать! Используя лазер, можно осветлить зубы на 8 тонов и полностью устранить желтый оттенок за 1 посещение.
Сколько стоит отбелить зубы лазером?
Цена на процедуру отбеливания зубов лазером в московских стоматологиях колеблется в диапазоне от 15 000 до 30 000 рублей за сеанс. Столь высокая стоимость обусловлена используемым оборудованием и материалами, а также уровнем клиники и опытом специалистов.
Можно ли безопасно отбелить зубы лазером?
Важно понимать, что лазер более щадящий. Он легко регулируется по силе воздействия. Это позволит подобрать оптимальную мощность, чтобы сохранить зубы здоровыми, отбелить их на определённое количество тонов. Именно поэтому отбеливание зубов лазером безопасно.
Можно ли отбелить зубы лазером?
Для этого доктор наносит на зубы специальный гель и засвечивает его лазером с индивидуально подобранной мощностью и длиной волны. В основе метода лежит способность геля под влиянием лазерного излучения выделять атомарный кислород. Последний проникает глубоко в ткани зуба и воздействует на пигменты, содержащиеся в них.
Советы
СОВЕТ №1
Перед процедурой лазерного отбеливания зубов обязательно проконсультируйтесь с вашим стоматологом. Он поможет оценить состояние ваших зубов и десен, а также определит, подходит ли вам этот метод отбеливания.
СОВЕТ №2
Обратите внимание на выбор клиники. Убедитесь, что она имеет хорошую репутацию и квалифицированный персонал. Ознакомьтесь с отзывами других пациентов и проверьте наличие необходимых лицензий и сертификатов.
СОВЕТ №3
После процедуры следуйте рекомендациям стоматолога по уходу за зубами. Это может включать использование специальных зубных паст, ограничение потребления красящих продуктов и регулярные визиты к стоматологу для профилактических осмотров.
СОВЕТ №4
Не забывайте, что лазерное отбеливание не является постоянным решением. Чтобы поддерживать эффект, старайтесь избегать курения и употребления напитков, таких как кофе и красное вино, которые могут привести к потемнению зубов.









