Зубная эмаль – тончайшее вещество, которое покрывает наши зубы и помогает защитить их от вредоносных факторов окружающей среды.
С возрастом эмаль истончается, покрывается налетом.
И для того чтобы сохранить наши зубы белыми и здоровыми, необходимо принять ряд мер по укреплению зубной эмали.
Укрепление зубной эмали
О том, что пришло время позаботиться о зубах, говорят следующие факторы:
- повышенная чувствительность зубов к холодному или горячему;
 - видимые сколы или трещины на эмали;
 - зуб начал менять цвет;
 - появление кариеса.
 
Укрепление зубной эмали – ряд процедур, который направлен на восстановление утраченного и защиту еще существующего слоя. Некоторые из них проводят в домашних условиях, но есть и такие, которые требуют медицинских знаний. В домашних условиях лучше проводить профилактические меры, такие как:
- регулярная чистка зубов;
 - использование зубной нити;
 - применение специальных растворов для полоскания ротовой полости;
 - отказ от курения;
 - снижение потребления кофе и крепкого чая;
 - переход на здоровое питание.
 
Когда эмаль уже сигнализирует о повреждениях, лучше обратиться за помощью к специалистам.
Врачи стоматологи подчеркивают, что истончение эмали зубов — это серьезная проблема, требующая внимательного подхода. Существует несколько методов восстановления эмали, и выбор зависит от степени повреждения. Одним из наиболее популярных способов является использование реминерализующих паст, содержащих фтор и кальций, которые помогают восстановить минералы в эмали. Также врачи рекомендуют применять специальные гели и растворы, которые укрепляют зубы и защищают их от дальнейшего разрушения. В более сложных случаях может потребоваться применение композитных материалов или даже коронок для защиты зубов. Важно помнить, что профилактика играет ключевую роль: регулярные визиты к стоматологу и соблюдение гигиенических норм помогут избежать истончения эмали в будущем.

Современные методы сохранения здоровья зубов
Медицина предлагает несколько достаточно эффективных способов. Они помогают сохранить зубы здоровыми и красивыми до старости. Не пропускайте плановые визиты к дантисту и улыбка будет сверкать здоровьем долгие годы.
Фторирование
Нанесение средств, содержащих фтор. Фтор – важный элемент в составе зубной эмали.
Он помогает сделать зубы прочнее, предотвращает воздействие вредных компонентов и кислых сред, не позволяет возникнуть и развиться кариесу.
Процедура фторирования помогает восстановить запасы фтора в зубной эмали. Ее проводят взрослым и детям один раз в год, это предотвращает вымывание кальция и не позволяет зубам разрушаться. Различается глубокое и неглубокое фторирование.
- Неглубокое фторирование применяется, когда еще нет симптомов повреждения эмали. Специальные ванночки наполняют концентрированным фторсодержащим раствором и надевают на верхний и нижний ряд зубов. Процедура длится 15 минут. Для достижения максимального эффекта ее необходимо повторить 7—10 раз. Также оно может проводиться при помощи специального лака. Дантист кисточкой наносит лак, курс составляет 5—7 раз.
 - 
Глубокое фторирование зубной эмали эффективнее неглубокого. Его рекомендуют выбирать, когда она еще не повреждена, но уже наблюдаются тревожные симптомы. Проходит процедура только к клинике. Перед началом фторирования зубы тщательно очищаются от налета и зубного камня.
После глубокой очистки на поверхность зубной эмали на 1—2 минуты наносят запечатывающий препарат и высушивают напором теплого воздуха. Позже поверхность зуба необходимо протереть раствором, в состав которого входит гидроокись меди и кальция. По завершении выполоскать рот теплой водой.
 
Многие люди сталкиваются с проблемой истончения эмали зубов, что может вызывать дискомфорт и повышенную чувствительность. В таких случаях важно выбрать правильный способ восстановления. Одним из популярных методов является использование реминерализующих паст, содержащих фтор и кальций, которые помогают восстановить минералы в эмали. Также стоит обратить внимание на профессиональные процедуры в стоматологии, такие как фторирование или применение специальных гелей. Не менее важным является изменение привычек: отказ от кислых и сладких продуктов, регулярная гигиена полости рта и использование зубной нити. Консультация с врачом поможет подобрать индивидуальный подход и избежать дальнейших проблем с зубами.

Реминерализация
Представляет собой восстановление химического состава эмали зубов. Она рекомендуется пациентам со следующими симптомами:
- начальные стадии кариеса;
 - размягчение зубов;
 - повышенная чувствительность к температуре пищи;
 - подготовка к винированию;
 - недавнее снятие брекет-системы.
 
Реминерализацию проводят в домашних условиях специально подобранной зубной пастой. Но, если наблюдаются первые симптомы кариеса, лучше не откладывать визит к стоматологу.
Реминерализация направлена на профилактику заболеваний зубов, предотвращение их разрушения, она безболезненная и обойдется дешевле лечения. Чтобы курс был эффективен, он проводится в течение двух недель. И состоит из следующих этапов:
- Полная очистка зубов от налета и зубного камня.
 - Нанесение при помощи тампона 10% раствор глюконата кальция. Тампоны меняют каждые 5 минут.
 - Аппликация раствором фторида натрия. Длится 5—7 минут.
 
Реставрация
Производится при помощи пломбировочных растворов. Если повреждения серьёзные, на зубах видны сколы, трещины и прочие дефекты, то врач посоветует реставрацию пломбировочным материалом.
Не стоит пренебрегать советами специалиста. Следующим этапом будет разрушение поврежденного зуба. Чаще всего в этой процедуре используются композитные материалы. У них масса преимуществ перед аналогами.
Композиты наносят на поврежденный зуб и при помощи галогенной лампы подсушивают. Перед нанесением пломбировочного материала врач обтачивает зуб. Это нужно, чтобы после реставрации он не утратил свою естественную форму.
Эта процедура подойдет пациентам, у которых есть сильные видимые повреждения. Реставрация зубной эмали посредством пломбировочных материалов отличается доступной ценой. К ней можно прибегнуть не только в целях профилактики, но даже если зуб уже разрушается.
Важно! Реставрация композитными материалами вредна для эмали зубов. Под пломбировочными материалами, которые заменяют собой натуральное зубное покрытие, разрушается собственная, естественная эмаль.

Имплантация
Это процедура, которая совсем недавно стала набирать популярность. Главная ее особенность в том, что при проведении используется специальный материал, который на 90% идентичен составу зубной эмали.
Приживается препарат быстро, происходит процесс на клеточном уровне.
Процедура безвредна, с самого начала ее применения и до сих пор не зарегистрировано ни одного случая отторжения раствора.
После сеанса восстановления эмаль выглядит естественно, полностью исчезают трещины, зубы становятся белыми и блестящими.
Стоит заметить, имплантация зубной эмали довольно дорогостоящая процедура, выполнять ее берутся далеко не во всех стоматологических клиниках.
Люминиры и виниры
Это современный метод реставрации зубной эмали. В состав входят диоксид циркония, фтор, керамика, фарфор. К преимуществам виниров и люминиров относят:
- идеальный цвет зубов после первого посещения врача;
 - виниры и люминиры служат надежной защитой естественной зубной эмали;
 - есть возможность подобрать нужный оттенок, таким образом, улыбка будет выглядеть естественно;
 - установка безболезненная, в процессе возникают неприятные ощущения, но они вполне терпимы;
 - срок эксплуатации виниров и люминиров достигает 20 лет.
 
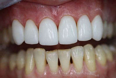
Фото 1. До и после проведения реставрации зубной эмали при помощи композитных виниров.
Устанавливаются люминиры и виниры, как правило, двумя способами, выбор метода установки напрямую зависит от материалов, из которого они изготовлены. Но, в обоих случаях часть зуба придется стачивать, поэтому нельзя назвать полностью безвредным. Процедура по установке люминиров и виниров довольно дорогая, и проводят ее далеко не в каждой клинике.
Методы реставрации зубов, проводимые в клинике
Здоровье – большое сокровище, которое у нас есть. Его нельзя купить ни за какие деньги. Но, поддерживать его можно и нужно. И эту заботу лучше всего доверить профессионалам. Поэтому восстанавливать или поддерживать зубную эмаль лучше, когда рядом есть высококвалифицированный заботливый специалист.
Методы, которые применяются в клиниках значительнее эффективнее домашних процедур. Конечно, заплатить за это часто придется совсем немалые деньги, но результат того стоит.
Этапы укрепления эмали
Сразу после того как пациент переступит порог стоматологического учреждения, проводят полный осмотр полости рта.
В случае если обнаружены очаги кариеса или другие заболевания, будет предложено лечение. Это очень важный этап, ведь красота — это на 90% здоровье.
После осмотра, перед любой процедурой, необходимо полностью очистить зубы от налета и зубного камня. Это повысит эффективность используемых препаратов. Какой бы способ восстановления эмали ни выбрал пациент, по окончании работы ему будет проведен полный осмотр ротовой полости, выданы рекомендации по уходу за зубами и в случае необходимости назначен повторный прием.
Полезное видео
Ознакомьтесь с видео, в котором рассказывается, по каким причинам разрушается зубная эмаль и какие есть способы ее восстановления.
Легче ухаживать, чем восстанавливать
Нельзя недооценивать важность укрепления зубной эмали. Ведь набор зубов нам дан на всю жизнь. Намного легче ухаживать за тем, что есть, своевременно посещать дантиста и заботится о здоровье, чем потом восстанавливать то, что уже потеряли.
Вопрос-ответ
Можно ли восстановить стертую эмаль зубов?
Полностью восстановить эмаль невозможно, но можно укрепить её и предотвратить дальнейшее разрушение с помощью специальных паст, фторидов и профессиональных процедур у стоматолога.
Может ли стоматолог восстановить отсутствующую эмаль?
Ремонт: стоматологическая реставрация. Если повреждение зубной эмали слишком обширно для того, чтобы восстановительные меры оказались эффективными, рекомендуется восстановление зубной эмали. Одним из вариантов лечения является бондинг. Бондинг заключается в нанесении на поверхность зуба специальной смолы для защиты повреждённых участков и восстановления целостности поверхности.
Что хорошо восстанавливает эмаль?
Фторирование — самый распространённый и единственный доказанно эффективный способ укрепления эмали. Он заключается в нанесении на поверхность зубов фторсодержащих составов. Проникая в зубную эмаль, фтор ускоряет усвоение кальция и фосфора, укрепляя и восстанавливая поверхность зуба.
Сколько стоит восстановить эмаль зубов?
Средняя цена на услугу «восстановление эмали зубов» – 8839 руб. (от 18000 руб.).
Советы
СОВЕТ №1
Обратитесь к стоматологу для профессиональной оценки состояния эмали. Специалист сможет определить степень истончения и предложить индивидуальный план лечения, включая возможные процедуры, такие как фторирование или реминерализация.
СОВЕТ №2
Используйте зубные пасты с фтором и реминерализующими компонентами. Эти продукты помогают укрепить эмаль и восстанавливать минералы, потерянные в результате кислотного воздействия или неправильной гигиены.
СОВЕТ №3
Соблюдайте правильную диету, богатую кальцием и витамином D. Употребление молочных продуктов, зелени и орехов поможет поддержать здоровье зубов и укрепить эмаль.
СОВЕТ №4
Избегайте чрезмерного потребления кислых и сладких продуктов, которые могут способствовать разрушению эмали. Если вы употребляете такие продукты, старайтесь полоскать рот водой или использовать соломинку, чтобы минимизировать контакт с зубами.







