Пульпит – воспаление пульпы зуба.
Диагностируют заболевание исходя из данных анамнеза, предъявляемых пациентом жалоб (болевой синдром в ночное время суток, а также при воздействии раздражителей различного характера).
Также используется инструментальный осмотр ротовой полости.
Различные формы лечения пульпита
С целью лечения пульпита принято использовать ряд методик:
-
консервативный (с сохранением жизнеспособности всей поверхности пульпы);
- витальная ампутация (удаление части пульпы с сохранением последней в корневой части);
- витальная экстирпация пульпы (полное удаление пульпы);
- комбинированный витальный метод (используется в многокорневых зубах, где в 1—2 корнях происходит сохранение пульпы);
- девиальная ампутация (некротизация пульпы с сохранением её прикорневого участка);
- девиальная экстирпация (предварительная некротизация пульпы с последующим её полным удалением);
- комбинированный девиальный метод (применяется в многокорневых зубах, где часть корней некротизируется и далее удаляется).
Справка! Выбор метода лечения напрямую зависит как от возраста пациента, стадии формирования корня, так и общего состояния зубного аппарата, самого больного.
Врачи-стоматологи отмечают, что лечение пульпита в один сеанс возможно, но требует определенных условий. Во-первых, это зависит от стадии заболевания и состояния зуба. Если пульпит находится на начальной стадии и не сопровождается серьезными осложнениями, то применение современных технологий и материалов позволяет провести лечение быстро и эффективно. Однако в случаях, когда воспаление запущено, может потребоваться несколько визитов для полного устранения проблемы. Важно также учитывать индивидуальные особенности пациента, такие как уровень боли и реакция на лечение. Врачи подчеркивают, что при выборе односессионного лечения необходимо тщательно оценить все риски и преимущества, чтобы обеспечить максимальную эффективность и минимальные последствия для здоровья зуба.

Сколько по времени лечат болезнь?
Длительность лечения напрямую зависит от стадии и течения патологического процесса. Курс лечения может проводиться как за одно посещение, так и за несколько. Длительность между посещениями варьируется от 7 до 14 суток.
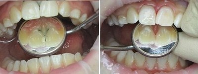
Универсальным методом лечения пульпита является удаление пульпы — пульпэктомия. Она проходит в несколько этапов:
- обработка полости рта и зубов;
- проведение анестезии (инфильтрационной, проводниковой);
- препарирование кариозного дефекта;
- вскрытие полости зуба стерильными борами;
- удаление части пульпы;
- обработка полости;
- остановка кровотечения;
- полное удаление пульпы из корневых каналов;
- обработка каналов, их высушивание, пломбирование;
- наложение изолирующей прокладки;
- пломбирование.
Лечение каналов зуба с постановкой временной пломбы
Одним из важных этапов терапии пульпита является лечение каналов зубов. В этом случае используют девитализирующие препараты, например, мышьяковистую пасту, с последующей постановкой временной пломбы.
Данная процедура включает в себя ряд моментов:
- обработка кариозной полости;
- проведение анестезии;
- вскрытие полости пульпы;
- высушивание;
- нанесение мышьяковистой пасты;
- наложение сухого тампона;
- постановка временной пломбы.
Когда речь заходит о лечении пульпита, многие пациенты испытывают страх и сомнения. Часто можно услышать мнения о том, что процесс требует нескольких визитов к стоматологу, что вызывает дополнительный стресс. Однако некоторые специалисты утверждают, что в определённых случаях возможно провести лечение за один сеанс. Это зависит от сложности случая и состояния зуба.
Пациенты, которые испытали однократное лечение, отмечают, что это значительно экономит время и избавляет от необходимости возвращаться в клинику. Тем не менее, важно помнить, что не всегда такая схема подходит. Врачи подчеркивают, что качественное лечение требует тщательной диагностики и индивидуального подхода. Поэтому, прежде чем принимать решение, стоит проконсультироваться с опытным стоматологом, который сможет оценить ситуацию и предложить оптимальный вариант.

Зачем держать мышьяк
Помимо мышьяковистой пасты, как девитализирующего препарата, может использоваться параформальдегидная паста. Нанесение данных лекарственных средств применяется с целью некротизации тканей для их дальнейшего удаления.
Посещение стоматологии
Лечебный процесс при пульпите может проводиться как в один этап, так и в несколько.

Можно ли вылечить за одно посещение
Лечение за 1 посещение подразумевает под собой:
- обработку ротовой полости и зубов;
- проведение анестезии;
- формирование полости;
- обработку полости зуба посредством медикаментов;
- расширение устьевой части канала;
- определение рабочей длины канала корня;
- очистку и формирование корневого канала;
- проверку сухости и отсутствия кровоточивости;
- припасовку штифта;
- пломбировку;
- внесение в полость подкладки;
- пломбирование.
Техника терапии за два посещения
При первом посещении необходимо:
- провести частичную обработку кариозного дефекта;
- провести обезболивание;
- вскрыть полость зуба;
- нанести мышьяковистую или параформальдегидную пасту;
- произвести постановку временной пломбы.
Второе посещение назначается через 1—2 суток. В данном случае:
- выясняются жалобы пациента;
- проводится обследование;
- производится удаление временной пломбы;
- проводится проверка болевой чувствительности пульпы;
- производится препарирование кариозной полости, раскрытие полости;
- проводится пульпэктомия;
- обрабатываются каналы;
- удаляется пульпа из корневых каналов;
- обрабатываются и высушиваются каналы;
- пломбируются каналы со штифтами;
- накладывается изолирующая прокладка;
- происходит пломбировка с последующим моделированием и полировкой пломбы.
Как лечат пульпит с несформированными корнями постоянных зубов
Терапия пульпита с несформированными корнями — это довольно сложная задача. Применяются следующие виды лечения:
- консервативный без удаления нерва (включает методы непрямой пульпотерапии и прямого покрытия пульпы);
- хирургический (витальная и девитальная ампутации).
Непрямая пульпотерапия
Данный метод позволяет избежать случайного вскрытия пульпы, которая остаётся полностью жизнеспособной.
Производится удаление поверхностных слоёв дентина, поврежденного кариозным патологическим процессом без предварительного проведения анестезии.
При появлении болевого синдрома проводят анестезию и препарируют стенки кариозного дефекта. Накладывают специализированные пасты, проводят отсроченное пломбирование.
Прямое покрытие пульпы
Применяется при вскрытии полости пульпы во время препарирования кариозного дефекта. На вскрытый рог производят наложение гидроокиси кальция с дальнейшей постановкой временной или постоянной пломбы.
Важно! Хирургическое лечение проводится аналогично описанному ранее.
Когда необходимо удалить зуб
Показаниями к удалению при воспалительном процессе в пульпе являются:
- пульпит острого течения, при котором нет возможности оперативного вмешательства;
- разлом зуба в зоне коронки;
- остеомиелит челюсти (удаляется зуб, который стал причиной развития патологического процесса).
Косметическое пломбирование: что это?
После оперативного вмешательства при пульпите зачастую применяют косметическое пломбирование. Данный вид пломбирования подразумевает под собой реставрацию с применением композитных материалов.
Композиты — это материалы, которые сходны по своему цвету с оттенком зубов. Они способны сливаться с поверхностью зуба в единое целое.
А также композиты схожи по плотности с зубной тканью, что дает возможность равномерно распределять давление при жевании.
Техника восстановления заключается в следующем:
- препарирование кариозных полостей (убираются все пораженные ткани);
- производится постановка пломбы;
- закрываются промежутки, располагающиеся между зубами;
- производится эстетическая реставрация композитными материалами.
Осложнения и ошибки
При проведении терапии воспаления пульпы могут возникнуть следующие ошибки и осложнения:
- Перфорация зубных тканей. Возникает вследствие неполного раскрытия полости для доступа инструментов к корневым каналам.
- Недостаточное пломбирование каналов корня. Пломбирование, проведенное не до верхушки канала, что может стать причиной развития периодонтита. В данном случае требуется распломбировка и повторное проведение пломбирования корневого канала.
- Перелом инструментария в корневом канале. Представляет собой довольно частое осложнение, которое наблюдают при работе в узких, извилистых корневых каналах с использованием некачественного инструментария. В этой ситуации пытаются извлечь инструмент, если это не удаётся, то фрагмент оставляют, канал расширяют и пломбируют.
- Нарушение сроков экспозиции девитализирующих препаратов. Вследствие длительного пребывания в полости таких лекарственных средств может развиться острый периодонтит. В данном случае пульпу удаляют, в полость помещают препараты-антидоты.
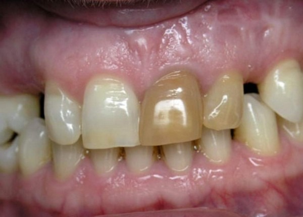
- Изменение цвета зуба. Может возникнуть в результате неполного удаления омертвевших тканей пульпы.
Фото 1. Подобное изменение цвета зуба может возникнуть вследствие ошибки, допущенной при лечении пульпита.
- Выпадение пломбы. Лечение — повторное пломбирование.
- Откол.
- Развитие периодонтита.
Может ли болезнь пройти сама по себе
Нет, пульпит — это такая патология, которая неспособна к самостоятельному излечению и требует лечения.
Внимание! При несвоевременно начатой терапии возможно возникновение неблагоприятных последствий.
Остаточный пульпит: чем он опасен
Остаточный пульпит представляет собой осложнение пульпитов, терапия которых проводилось ампутационным методом в зубе, подвергшемся пломбировке. Пациенты предъявляют жалобы на:
- болевой синдром при воздействии различных раздражителей;
- обострение боли в ночное время суток.
При постановке диагноза «остаточный пульпит» рекомендуется выполнять максимальную отчистку с оперативным вмешательством.
Специалист осуществляет следующий комплекс мер:
- проведение анестезии;
- некротомия тканей, поврежденных кариозным процессом;
- обработка рабочего участка;
- удаление пульпы;
- изучение корневых каналов, их механическая обработка;
- постановка временного пломбировочного материала.
Реабилитация пациентов
После проведения курса терапии требуется разъяснить пациенту правила поддержания гигиены ротовой полости. Необходимо впоследствии наблюдаться пациенту у врача-стоматолога в течение 24 месяцев. Требуется проводить рентгенологическое исследование через 9—12 месяцев после проведенной терапии с целью оценки состояния тканей периодонта.
Полезное видео
Ознакомьтесь с видео, в котором рассказывается, какими методами лечится пульпит.
Ждать улучшения опасно!
Пульпит — это острая патология, которая требует безотлагательного лечения. Исход такого заболевания напрямую зависит от характера и распространенности воспалительного процесса. При своевременно начатом лечении прогноз носит благоприятный характер. Поэтому при возникновении болевого синдрома рекомендовано обратиться к врачу-стоматологу для диагностирования заболевания и начала своевременной и правильной терапии.
Вопрос-ответ
Можно ли лечить пульпит в одно посещение?
Процедуру лечения пульпита можно провести за одно посещение, но здесь все зависит от реакции вашего организма на лечебные манипуляции. В частной стоматологической практике есть возможность более качественного лечения зубов при двухразовом посещении, если для этого имеются показания.
Как долго можно терпеть боль от пульпита?
В начале развития пульпита боль длится 10-20 минут. Если пульпит перешел в хроническую стадию, то продолжительность болевых приступов 30-40 минут.
Сколько приемов нужно для лечения пульпита?
Пульпит чаще излечивается за 2 посещения. Периодонтит — за 3-4.
Сколько лечат один зуб по времени?
В среднем, эта процедура длится от 30 минут до 1 часа в зависимости от глубины и сложности кариозного процесса. В течение 5-10 минут начинает действовать анестезия, 20-30 минут требуется на удаление кариозной полости и установку пломбы, и столько же – на полировку и подгонку пломбы под анатомическую форму зуба.
Советы
СОВЕТ №1
Перед посещением стоматолога соберите всю необходимую информацию о своем состоянии. Запишите симптомы, которые вас беспокоят, и любые предыдущие лечения, которые вы проходили. Это поможет врачу быстрее оценить ситуацию и предложить оптимальное решение.
СОВЕТ №2
Обсудите с врачом возможность однократного лечения пульпита. Уточните, какие технологии и методы используются в вашей клинике, так как современные подходы могут позволить провести лечение за один сеанс, если это возможно в вашем случае.
СОВЕТ №3
Не стесняйтесь задавать вопросы о процессе лечения и возможных рисках. Понимание того, что будет происходить, поможет вам чувствовать себя более уверенно и комфортно во время процедуры.
СОВЕТ №4
После лечения следуйте рекомендациям стоматолога по уходу за зубами и профилактике. Это поможет избежать повторного возникновения проблем и сохранит здоровье ваших зубов на долгие годы.









