Вылечить кариес в домашних условиях нельзя, если речь идет о серьезном поражении тканей. Возникшая ситуация требует обязательного визита в стоматологическую клинику. Однако накопленный веками потенциал народной медицины и средства по уходу за полостью рта позволяют проводить грамотную профилактику заболевания. Более того, на начальной стадии формирования бляшки, когда на зубе появляется мелированное пятно, можно приостановить процесс.
Фармацевтические препараты помогают эмали восстанавливаться. В числе популярных методов профилактики и борьбы с кариесом находятся специализированные зубные пасты, гели и ополаскиватели. Действующими компонентами в них являются фтор и кальций. Ученые разработали аппараты для восстановления эмали и создания на ее поверхности защитного слоя.
Применять оборудование можно в домашних условиях. Если же во рту развивается воспаление и появляется боль, незаменимыми окажутся гомеопатические средства. Не стоит забывать о балансе витаминов в организме и рациональном питании.
Лечение дома возможно только на самой ранней стадии
Лечение кариеса вне стоматологической клиники возможно лишь на самых ранних стадиях. Все методики лечения в домашних условиях по сути являются профилактическими мерами, однако при начальном кариесе с помощью лечебных паст и накопленных в народной медицине действенных рецептов можно восстановить здоровье зубной эмали и предотвратить дальнейшее развитие кариеса. При среднем или глубоком кариесе, когда уже образовалась кариозная полость, без посещения стоматолога и лечения в клинике не обойтись, а борьба с глубоким кариесом народными методами может оказаться даже опасной.
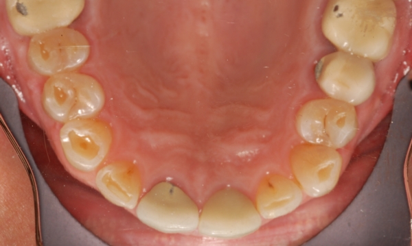
Как проявляется кариес — экскурс в симптоматику
Разрушительная активность болезнетворных микробов приводит к образованию налета и зубного камня. При недостаточной гигиене на поверхности зубов формируются бляшки с кишащими в них бактериями. Они экспортируют молочную кислоту, повреждающую структуру эмали. Скорость ее вымывания определяет, насколько быстро развивается кариес. Чтобы не допустить этого, рекомендуется тщательно ухаживать за полостью рта, проводить профилактические мероприятия.
Начальная стадия кариеса с зубным налетом, которая поддается лечению в домашних условиях.
Врачи единодушны в том, что лечение кариеса в домашних условиях не может заменить профессиональную стоматологическую помощь. Однако некоторые методы могут помочь замедлить развитие заболевания. Например, использование фторсодержащих зубных паст и ополаскивателей может укрепить эмаль и снизить риск дальнейшего разрушения зуба. Также рекомендуется соблюдать гигиену полости рта, включая регулярную чистку зубов и использование зубной нити. Врачи подчеркивают важность сбалансированного питания, богатого кальцием и витаминами, что способствует укреплению зубов. Тем не менее, при первых признаках кариеса необходимо обратиться к стоматологу для профессионального лечения, так как только врач сможет оценить степень повреждения и предложить эффективные методы восстановления.

Зубные пасты от кариеса
С помощью хороших противокариозных паст можно укрепить ткани зубов, повысить устойчивость зубной эмали к воздействиям негативных факторов в домашних условиях. Содержащийся в них фтор способствует тому, что микроорганизмы перестают размножаться в зубном налете.
Это интересно.
Входящий в состав паст фтор может отличаться. Наиболее эффективным считается фторид натрия или аминофторид. Их более дешевому аналогу монофторфосфату не присуща быстрая скорость проникновения в структуру эмали, поэтому он признан менее действенным.
Кальций также заслужил популярность в борьбе с деминерализацией эмали. Незаменим он при появлении меловидных пятен на зубах. Паста с его содержанием снижает чувствительность зубов, остро реагирующих на внешние раздражители в виде холодной/ горячей пищи, морозного воздуха, острых, кислых и сладких компонентов. Рекомендуется чередовать применение паст с фтором и кальцием. Однако их совместное содержание в составе средства недопустимо, так как препятствует выделению активных ионов.
Лечебную пасту подбирает стоматолог, учитывая содержание фтора и кальция в ежедневном пищевом рационе пациента. Пациент должен пользоваться рекомендованной пастой примерно в течение трех месяцев. Отлично зарекомендовали себя в борьбе с начальным кариесом такие пасты, как Apadent, Colgate Maximum, Lacalut Fluor, Новый Жемчуг Фтор. Причем зубная паста Apadent особенно эффективна: вещества, содержащиеся в ней, имеют высокое сходство с естественными тканями зубов, и их частички постепенно заполняют микроскопические дефекты и трещины на эмали.
На фотографии лечебная паста Lacalut Fluor:
Выбор стоматологов.
Хорошо проявили себя кальцийсодержащие PRESIDENT Unique, СПЛАТ Биокальций. Они содержат высокоактивные компоненты, растворяющие белковый матрикс налета, нейтрализующие кислую среду в ротовой полости, восстанавливающие эмаль.
Противокариозные гели
Действие гелей от кариеса базируется на реминерализации эмали за счет активных веществ, которые при использовании этих средств попадают в слюну. Достаточно эффективны при лечении кариеса в стадии пятна такие гели, как Флюокаль, Blend-a’med. После чистки гель тщательно втирают в зубную эмаль, используя щетку.
Ниже фотографии гелей от кариеса Fluocal и Blend-a-Med:

Многие люди ищут способы лечения кариеса в домашних условиях, и мнения по этому поводу весьма разнообразны. Некоторые утверждают, что регулярное полоскание рта раствором соли или соды помогает замедлить развитие кариеса. Другие рекомендуют использовать масла, такие как кокосовое или оливковое, для “масляного полоскания”, что, по их мнению, способствует очищению зубов и десен. Также популярны народные средства, такие как настойка прополиса или экстракт алоэ, которые, как считают некоторые, обладают антисептическими свойствами.
Однако стоит отметить, что большинство стоматологов предостерегают от самолечения и подчеркивают важность профессиональной помощи. Кариес — это серьезное заболевание, и его лечение требует квалифицированного подхода. Поэтому, несмотря на множество советов и рекомендаций, лучше всего обратиться к специалисту, чтобы избежать осложнений и сохранить здоровье зубов.
Ополаскиватели для рта
Ополаскиватели не должны содержать активный компонент фтора, превышающий концентрацию в 250 ppm. Используют их на завершающей стадии гигиены полости рта — после чистки зубов. Раствором следует полоскать рот не более минуты. Обратите внимание, на наличие антисептиков в составе. Если они присутствуют, средство нельзя использовать более 3-х недель. Иначе вы рискуете заработать дисбактериоз и раздражение слизистых тканей.
На завершающей стадии гигиены полости рта специалисты рекомендуют использовать специальные ополаскиватели.
Лечение кариеса дома травами
- Аир. 0,5 ст. травы заливают стаканом водки и стаканом воды, дают настояться 1,5 недели. Затем 1 ст. л. настоя добавляют в 250 мл теплой воды и орошают рот в течение дня.
 - 
Шалфей. Эта целебное растение содержит эфирные масла, губительные для кариесогенных бактерий. 2 ст. л. травы заливают 1 ст. кипятка и настаивают примерно час, затем используют для полоскания.
Регулярные полоскания отваром шалфея помогут избавиться от кариосогенных бактерий во рту.
 - Луковая шелуха. 3 ст. л. залить 0,5 л кипятка. Охладить, полоскать рот трижды в день.
 - Лимонник китайский. Чай на его основе оказывает мощнейшее бактерицидное действие. 1 ст. л коры и веточек заваривают кипятком (примерно 0,5 л) и греют полчаса на водяной бане. Используют как питье, предварительно подержав отвар во рту несколько минут.
 
Совет.
Для профилактики и лечения начальных форм кариеса специалисты советуют применять порошок хвоща полевого с медом. Курс проводится на протяжении трех месяцев, что благоприятно сказывается на зубах.
Полезные травяные сборы
Для борьбы с кариесом в домашних условиях также используют комбинации из нескольких трав — травяные сборы.
- Листочки мяты и малины заливают небольшим количеством винного уксуса и дают настояться 4-5 суток. 1 ч. л. настоя добавляют в стакан воды и используют этот раствор для полосканий.
 - Сбор из цветков зверобоя, ромашки и календулы (все по 1 ст. л.) заваривают в 0,5 л кипятка, настаивают час. Отваром нужно полоскать рот после еды и перед сном.
 
Отвары лечебных трав на основе цветков зверобоя, календулы, ромашки использую для полосканий полости рта перед сном и после еды.
Рецепт ополоскивателя рта
В качестве полосканий полезны плоды фенхеля, корень хрена, листочки мяты в соотношении 20/50/20 гр. Состав заливается водкой из расчета 1 литр на указанную смесь и настаивается не менее трех месяцев. Средство лучше готовить заранее, хранить его можно в темном прохладном месте. В случае необходимости проводятся полоскания до пяти раз в день.
Полоскания ротовой полости солевым раствором оказывает противовоспалительное действие и помогает избавиться от бактерий.
Народные средства лечения кариеса в домашних условиях
- Хозяйственное мыло. Потрясающе эффективно воздействует на зубы благодаря своим бактерицидным свойствам. Раствором мыла чистят зубы. Рот после этого нужно тщательно прополоскать.
 - Соль (поваренная и морская). Оказывает противовоспалительное действие, борется с бактериями. Самая оптимальная концентрация для обработки ротовой полости — 40 г на 250 мл теплой воды. Соляной раствор необходимо держать во рту хотя бы по 2 минуты.
 - Прополис. Эффективнейшее средство для борьбы с начальным кариесом. Используется местно: одну горошинку кладут на больной зуб и закрывают кусочком ватного диска.
 - Перец чили и чеснок. Эти продукты можно использовать тем людям, у кого нет проблем с пищеварительной системой. Известно, что острое вызывает слюноотделение, что снижает пагубное действие на эмаль вредных кислот. При появлении чувствительности зуба к холодному или горячему можно приготовить дома чесночную пасту (растолочь чеснок) и приложить ее на больное место с помощью ватного тампона. В толченый чеснок не помешает добавить каплю арахисового масла.
 - 
Пихтовое масло. Это средство эффективно только при ноющей боли. Смачивают маслом ватный тампон и прикладывают. С этой целью применяется и камфорный спирт.
При ноющей боли эффективным средством является пихтовое масло, которым смачивают ватные тампоны и прикладывают к проблемным участкам.
 - Квашеная капуста. Рекомендуется пить сок и употреблять продукт в пищу.
 - Оливковое и простое растительное масло. Первое вместе с солью наносится на тампон и держится на пораженной кариесом области 30 минут, вторым полощут рот по 10 минут 3 раза в день.
 - 
Камфора. Спиртовым настоем необходимо обработать близлежащую к зубу область. Намоченный раствором тампон кладут на пораженную кариесом область. Держать аппликацию дольше 5 минут не стоит.
Камфора – эффективное средство против кариеса. Тампон, смоченный в спиртовом растворе необходимо прикладывать к пораженным участкам.
 - Яичный белок, морская соль и 10%-ный новокаин в пропорции 1/1ч.л./200 гр. Полоскание проводится несколько раз в день по 5 минут.
 
Не стоит пренебрегать естественным методом профилактики и борьбы с кариесом дома — употреблением в пищу твердых фруктов и овощей: моркови, яблок, капусты. В них содержится большое количество клетчатки; к тому же, при их пережевывании основная часть налета удаляется с зубов. То есть вы не только получаете витамины, но и естественным образом чистите свои зубы.
Обязательно включите в рацион натуральный нежирный йогурт. Он насытит организм кальцием, что также положительным образом скажется на здоровье зубов. Отдавайте предпочтение йогуртам без добавок: лучше сами добавляйте в обычный йогурт свежие фрукты либо ягоды.
Натуральный йогурт с добавлением натуральных фруктов и ягод насытит организм кальцием и положительно скажется на здоровье зубов.
Желательно свести к минимуму употребление сахара, бананов, изюма, чипсов, пончиков, шоколада, орехов, хлеба. Все эти продукты «пристают» к зубам, поэтому если все же невозможно от них отказаться, после еды необходимо обязательно полоскать рот. Альтернатива полосканию — использование жвачки без сахара (с ксилитом). Учеными доказано, что 15-минутное жевание резинки после еды благотворно воздействует на состояние зубов. Однако наилучший способ лечения и профилактики кариеса в домашних условиях — всегда после приема пищи чистить зубы по правильной технологии. Щетинки должны быть направлены в сторону десен.
Витаминотерапия в лечении кариеса дома
Витамины, макро- и микроэлементы обладают противокариозным эффектом. В их числе наиболее популярной считается группа В (В1,В6). Использовать их можно в качестве дополнительного средства. Помимо борьбы с болезнью они помогут укрепить организм и повысить его сопротивляемость агрессивной внешней среде.
Дополнительными средствами для борьбы с кариесом являются витамины группы В, которые оказывают благотворное влияние на состояние зубов и в целом на весь организм человека.
Гомеопатия в борьбе с кариесом
Гомеопатические средства также неплохо зарекомендовали себя в борьбе с разрушением зубов. Они способствуют подавлению роста болезнетворных бактерий, помогают при боли и воспалении. Особо эффективна гомеопатическая паста «Белка-К», в состав которой входят ромашка, окопник, камфора, силицея, масло пихты, плантаго, самбукус и прочие активные вещества.
Для профилактики и лечения кариеса в домашних условиях используют специальные лечебные пасты на основе фторид натрия или аминофторида.
Аппаратное воздействие
Хорошо зарекомендовали себя аппараты ирригатор и Fluoritray. Их применяют не только в стоматологии. Существуют компактные модели для домашнего применения. Ирригатор прекрасно справляется с зубным налетом, а Fluoritray производит электрохимическую реакцию, образующую на эмали зуба защитный минеральный слой.
На фотографии представлен прибор ирригатор с различными насадками:
Принцип работы ирригатора:
Технологии будущего
Ученые мира бьются над созданием вакцины от кариеса. Но пока их попытки осуществить задуманное не привели к желаемому результату. Планируется, что инъекция будет воздействовать на болезнетворные микроорганизмы, замедляя их активность и погружая бактерии в анабиоз.
Использование всех вышеописанных мер в комплексе на начальной стадии кариеса и в качестве профилактики поможет вам избежать лечения заболевания в стоматологическом кабинете и иметь здоровые крепкие зубы на протяжении всей жизни. Будьте здоровы!
Видео: Известные народные средства в борьбе с кариесом.

При возникновении признаков начального кариеса, иногда могут быть вполне эффективными старые народные методы, которые, чаще всего, предусматривают полоскание рта травами.
Видео: Ополаскиватели для полости рта.

Использование ополаскивателей для полости рта может помочь остановить развитие или предотвратить появление кариеса или других проблем с зубами и деснами. Но разные ополаскиватели решают разные проблемы.
Вопрос-ответ
Можно ли в домашних условиях избавиться от кариеса?
Кариес — это заболевание, которое не проходит само по себе. На самых ранних этапах можно замедлить его развитие, но полностью избавиться от него дома невозможно. Главное — не терять время и обратиться к стоматологу при первых признаках проблемы.
Как вылечить кариес, не ходя к врачу?
В таком случае помогут специальные кариозные препараты: гели, лаки, капли и пасты, которые можно использовать, чтобы убирать локальные кариозные очаги. В их составе содержатся активные компоненты (фториды, хлоргексидин, ксилитол), которые убивают бактерии и создают условие для реминерализации поврежденной эмали.
Что убивает бактерии кариеса?
Использование химического антисептика хлоргексидина является достаточно эффективным для уничтожения этих бактерий. Его можно безопасно применять в домашних условиях в виде геля, спрея, жевательной резинки, зубной пасты или ополаскивателя полости рта.
Советы
СОВЕТ №1
Регулярно чистите зубы дважды в день с использованием фторсодержащей зубной пасты. Это поможет укрепить эмаль и предотвратить дальнейшее развитие кариеса.
СОВЕТ №2
Используйте ополаскиватель для рта с антисептическими свойствами. Это поможет уничтожить бактерии, вызывающие кариес, и освежит дыхание.
СОВЕТ №3
Сократите потребление сахара и кислых продуктов, так как они способствуют разрушению зубной эмали. Вместо этого выбирайте здоровые закуски, такие как фрукты и овощи.
СОВЕТ №4
Регулярно посещайте стоматолога для профессиональной чистки и осмотра. Это поможет выявить и лечить кариес на ранних стадиях, прежде чем он станет серьезной проблемой.












