Хронический гингивит – воспалительный процесс который долгое время может протекать незаметно для пациента и обнаружиться лишь при осмотре у стоматолога. Если своевременно не лечить данное заболевание могут образоваться тяжелые болезни такие как пародонтоз, пародонтит и другие виды патологий приводящих к тотальной потере зубов.
Хронический гингивит подразделяют на катаральные, атрофические, гипертрофические и морфологические формы. Под морфологическими формами понимают – гранулематозный, десквамативный и плазмоцитарный хронический гингивит. Комплексное лечение хронического гингивита заключается в устранении локальных раздражителей, патологического очага инфекции, терапию кариеса, гингивопластику и ортодонтическое лечение. Своевременное лечение и обнаружение болезни позволит быстрее добиться стойкой ремиссии и устранения этиологических факторов.
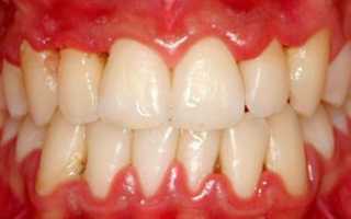
Воспалительный процесс, протекающий в верхних слоях околозубной ткани, имеющий слабовыраженную симптоматику, называется хроническим гингивитом. Хроническое течение воспалительного процесса может стать причиной развития пародонтоза или пародонтита и привести к тотальной потере зубного ряда. Хроническое воспалительное поражение десневой ткани относится к одним из наиболее частых стоматологических заболеваний.
Причины развития хронического воспалительного процесса в околозубной ткани
Основной причиной развития хронического гингивита принято считать неправильную гигиену ротовой полости, вследствие чего патогенная микрофлора скапливается в зубном налете и оказывает разрушающее воздействие на десневую ткань. Рост патогенной микрофлоры наблюдается в периоды снижения местного и общего иммунитета, а также при изменениях гормонального фона. Снижению общего и местного иммунитета способствуют следующие факторы:
- инфекционные, вирусные, системные заболевания и болезни крови;
 - аллергические реакции;
 - эндокринные нарушения;
 - сбои в работе сердечно-сосудистой, нервной, иммунной, кровеносно и пищеварительной системах;
 - генетические факторы, снижающие способность ротовой полости к самоочищению (мелкое преддверье, аномалии в строении уздечек, смещение зубного ряда, неправильный прикус);
 - вредные привычки;
 - гиповитаминозы;
 - плохая экология;
 - повышенный радиоактивный фон.
 
К возникновению хронического воспалительного поражения может привести травмация десны, возникающая в результате воздействия щелочей, кислот, термического ожога, повреждение острыми кромками старых пломб и разрушенных зубов, некачественные протезы.
Врачи отмечают, что хронический гингивит представляет собой распространенное заболевание десен, которое требует внимательного подхода к диагностике и лечению. Специалисты подчеркивают, что это состояние может протекать бессимптомно, что затрудняет его своевременное выявление. Основными признаками являются покраснение, отек и кровоточивость десен. Врачи рекомендуют регулярные профилактические осмотры и профессиональную чистку зубов, что помогает предотвратить обострения.
Методы лечения включают как консервативные, так и хирургические подходы. Консервативное лечение обычно включает в себя антисептические полоскания, применение гелей и мазей, а также коррекцию гигиенических привычек пациента. В случаях запущенного гингивита может потребоваться хирургическое вмешательство для удаления пораженных тканей. Врачи акцентируют внимание на важности комплексного подхода, включая изменение образа жизни и диеты, что способствует улучшению состояния десен и предотвращению рецидивов.

Виды хронического воспалительного поражения
Локализация хронического процесса может быть четко ограниченной или поражать всю десну. Форма хронического воспалительного процесса определяется исходя из клинической картины заболевания, а характер заболевания зависит от этиологических факторов, вызвавших воспаления (химические вещества, аллергические реакции, травмы десен, инфекционные болезни и т. д.).
Помимо катарального, атрофического и гипертрофического хронического воспалительного процесса выделяют также и такие морфологические формы хронического гингивита, как гранулематозный, десквамативный и плазмоцитарный хронический гингивит.
Симптоматика хронического воспалительного процесса
Каждая из форм хронического воспаления имеет свои отличительные особенности. Для катарального хронического воспалительного процесса характерно затяжное течение, при этом отмечается незначительная отечность десневой ткани, гиперемия слизистой оболочки, кровоточивость десен при механическом раздражении. Больной жалуется на неприятный запах из ротовой полости, наблюдается ускоренное образование зубных отложений.
Для гипертрофической формы хронического воспалительного поражения десневой ткани характерно увеличения объема десен, которое происходит за счет гипертрофического разрастания верхних слоев пародонта. Отечная форма хронического гипертрофического гингивита характеризуется сильным покраснением и отечностью десен, их болезненностью при пальпации, термическом и механическом воздействии. Фиброзная форма хронического гипертрофического гингивита характеризуется образованием ложных зубодесневых карманов.
При химической природе гингивита больной может ощущать металлический привкус во рту, изменяется вкусовосприятие, а по краю десны образуется темная кайма.
Десквамативная форма хронического воспалительного поражения характеризуется отслаиванием эпителия слизистой десен и образованием ярко-красных болезненных участков.
При плазмоцитарном хроническом гингивите формируются микроабсцессы, а в воспалительный процесс вовлекается не только десневая ткань, но и слизистая оболочка неба, вследствие чего развивается стоматит.
Гранулематозная форма характеризуется образованием гранулем на зубодесневых сосочках, межзубной и краевой части десны.
При отсутствии лечения хронический воспалительный процесс плавно перетекает в атрофический, вследствие чего наблюдаются дистрофические изменения в верхних слоях пародонта, десна истончаются, при термическом, химическом или механическом воздействии больной ощущает пронизывающую боль.
Хронический гингивит — это распространенное заболевание десен, которое вызывает воспаление и может привести к серьезным проблемам с зубами. Многие пациенты отмечают, что симптомы могут быть незаметными на начальных стадиях, что затрудняет своевременную диагностику. Люди часто жалуются на кровоточивость десен, неприятный запах изо рта и повышенную чувствительность. Важно помнить, что хронический гингивит может быть вызван различными факторами, включая плохую гигиену полости рта, курение и гормональные изменения.
Методы лечения варьируются от профессиональной чистки зубов до назначения антисептических растворов и противовоспалительных средств. Некоторые пациенты отмечают, что регулярные визиты к стоматологу и соблюдение рекомендаций по уходу за полостью рта значительно улучшают состояние десен. Также многие подчеркивают важность изменения образа жизни, включая отказ от курения и сбалансированное питание. В целом, комплексный подход к лечению и профилактике хронического гингивита позволяет добиться положительных результатов и сохранить здоровье десен на долгие годы.

Диагностика и лечение хронического гингивита
Инструментальный и визуальный осмотр ротовой полости больного, а также детальный сбор анамнеза болезни позволяет установить наличие хронического воспалительного процесса в десневой ткани. Для выявления причин, спровоцировавших развитие болезни. Зачастую требуется консультация других специалистов, таких как гастроэнтеролог, аллерголог, иммунолог, инфекционист, эндокринолог и других.
Лечение хронического воспалительного поражения является комплексным и направлено не только на антисептической, иммуностимулирующей и противовоспалительной терапии, но и на выявлении и комплексное воздействии на этиологический фактор: устранение локальных раздражителей и травмирующих факторов, лечение патологического очага инфекции в организме больного, ортодонтическое лечение, терапию кариеса, гингивопластику.
Для лечения тяжелой стадии хронического воспалительного процесса прибегают к гингивэктомии, криодеструкции и диатермокоагуляции.
Своевременное лечение позволяет добиться наступления периода стройкой ремиссии, а устранение этиологических факторов — полного выздоровления.
Вопрос-ответ

Как лечить хронический гингивит?
Лечение хронического гингивита включает профессиональную гигиену полости рта, местную обработку антисептиками, прием противовоспалительных, противоотечных средств, иммунокорректоров, физиотерапию, по показаниям – удаление разрастаний десны.
Какое лекарство от гингивита самое лучшее?
С начальными стадиями гингивита отлично справляются антисептики – «Хлоргексидин», «Метронидазол», которые есть в составе нескольких дентальных гелей и растворов. Хороший эффект дают полоскания с настоями ромашки, шалфея.
Чем отличается острый гингивит от хронического?
Острый гингивит. Отличается выраженностью симптомов, как правило, сопровождается сильной болью, поэтому не представляет сложностей в диагностике. Хронический гингивит. В отличие от острого, характеризуется практически полным отсутствием болевых ощущений и небольшой выраженностью симптомов.
Советы
СОВЕТ №1
Регулярно посещайте стоматолога для профилактических осмотров. Это поможет выявить гингивит на ранней стадии и предотвратить его развитие.
СОВЕТ №2
Обратите внимание на свою гигиену полости рта. Чистите зубы не менее двух раз в день и используйте зубную нить для удаления остатков пищи между зубами.
СОВЕТ №3
Соблюдайте сбалансированную диету, богатую витаминами и минералами, особенно витамином C, который способствует укреплению десен и улучшению их состояния.
СОВЕТ №4
Избегайте курения и ограничьте потребление алкоголя, так как эти факторы могут усугубить состояние десен и замедлить процесс лечения гингивита.

