Глубокий кариес достаточно распространен среди населения и характеризуется обширным разрушением дентина, практически до полости пульпы. При отсутствии лечения, дальнейшее разрушение вызывает воспаление пульпы зуба и развитие пульпита. Если вовремя не вылечить кариес, можно потерять вполне здоровый зуб. Лечение зависит от вида и стадии прогрессирования процесса. Если на начальной стадии поражения эмали микроорганизмами можно обойтись реминерализирующим лечением и физиопроцедурами, то при глубоком кариесе лечение будет более радикальным.
Разрушение зуба при развитии кариеса происходит медленно: вначале на поверхности эмали появляются темные пятна, которые постепенно преобразуются в кариозные полости. Чем раньше будет диагностирован патологический процесс, тем легче его лечить, поэтому нужно знать, каковы причины, симптомы и последствия глубокого кариеса и какие меры предпринимать для его предотвращения.
Глубокий кариес — довольно распространенное заболевание зубов, с которым в течение жизни сталкивается почти каждый человек. Бактерии вызывают патологический процесс в твердых тканях зуба, который начинается незаметно, а в результате, при отсутствии лечения, может привести к потере зуба. Сначала у человека появляются темноватые пятнышки на зубной эмали, затем разрушается дентин, а впоследствии — мягкие ткани зуба. Глубокий кариес — и есть финальная стадия заболевания, при которой микроорганизмы уже «добрались» до пульпы. Если пациент вовремя не пройдет лечение кариеса, он рискует потерять зуб. При отсутствии лечения может возникнуть и более серьезное осложнение: бактерии, добравшись до корней, проникнут в кровь и начнут заражать организм.
Причины глубокого кариеса
Кариес по праву считается одним наиболее из распространенных стоматологических заболеваний. Он представляет собой патологический процесс твердых тканей зуба, который развивается после его прорезывания. На начальных стадиях кариес характеризуется участками деминерализации. При дальнейшем его развитии в тканях образуются полости и воспалительные осложнения пульпы и периодонта при отсутствии лечения.
Развитию кариеса способствует множество различных провоцирующих факторов. К ним относят:
- кариесогенные микроорганизмы: стрептококки и лактобактерии;
 - неправильное или неполноценное питание, бедное витаминами и минералами;
 - пониженный иммунитет;
 - беременность;
 - пониженная вязкость слюны;
 - болезни желудочно-кишечного тракта;
 - особенности анатомического строения зубов;
 - большие глубокие фиссуры, в которых скапливается налет, что приводит к застреванию пищи;
 - злоупотребление сладкими продуктами и напитками;
 - нарушение правил гигиены полости рта.
 
При отсутствии своевременного лечения кариеса он переходит в стадию глубокого кариеса, что чревато различными воспалительными осложнениями зубных тканей.
Различают первичный и вторичных глубокий кариес. Причиной первого является несвоевременное лечение зуба, в котором протекает патологический процесс и идет разрушение тканей. Вторичный глубокий кариес может развиваться под пломбой вследствие некачественной санации зуба.
Врачи отмечают, что глубокий кариес является одной из наиболее распространенных стоматологических проблем. Основными причинами его возникновения служат недостаточная гигиена полости рта, неправильное питание и отсутствие регулярных профилактических осмотров. При диагностике глубокого кариеса специалисты используют рентгенографию, что позволяет выявить степень поражения зуба и состояние окружающих тканей. Лечение включает в себя удаление пораженной ткани и восстановление зуба с помощью пломбировочных материалов. Врачи подчеркивают важность профилактики: регулярная чистка зубов, использование фторсодержащих паст и посещение стоматолога не реже двух раз в год значительно снижают риск развития кариеса. Внимание к своему здоровью и соблюдение простых рекомендаций помогут сохранить зубы крепкими и здоровыми.

Основные симптомы кариеса
Зачастую начало течения кариеса протекает бессимптомно. Человек не замечает какого-либо дискомфорта в ротовой полости, что делает распознание патологического разрушение эмали несвоевременным. Вследствие этого часто к стоматологу обращаются тогда, когда разрушение уже затронуло ткани дентина и заболевание находится с стадии среднего или глубокого кариеса.
Совет стоматолога.
Распознать начальный кариес в домашних условиях практически невозможно. Поэтому стоматологи рекомендуют своим пациентам дважды в год проходить профилактический осмотр. При поверхностном кариесе разрушаются неглубокие слои зубной эмали, дентин при этом не страдает. Дальнейшее развитие патологического процесса ведет к повреждению слоя дентина.
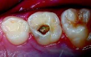
Для глубокого кариеса характерно наличие в зубе глубокой полости с пораженными микроорганизмами тканями, дно которой близко подходит к пульповой камере. В пульповой камере располагаются нервные окончания, воспалительный процесс оказывает воздействие на нервные волокна и зуб начинает болеть, реагируя на механические, химические и температурные манипуляции.
Если дно кариозной полости располагается слишком близко к пульповой камере, то глубокий кариес может сопровождаться симптомами пульпита:
- внезапное ощущение ноющей боли;
 - ощущение инородного тела в зубе.
 
Отличительны симптомы при первичном и вторичном глубоком кариесе. Так, острая форма характеризуется узким входным отверстием в полость зуба и довольно широким основанием. Это делает больной зуб чувствительным к перепадам температур и химическим раздражителям (например, сладкой или кислой пище). Для хронической формы характерно широкое входное отверстие и узкое дно кариозной полости, поэтому основной дискомфорт человек испытывает при механическом воздействии на зуб (при зондировании, набивании пищи в кариозную полость, попытке самостоятельно извлечь остатки пищи).
Отказ от лечения зуба с глубоким кариесом может стать причиной развития более серьезных осложнений, таких как пульпит, периодонтит, полная потеря зуба.
?
Как диагностируют глубокий кариес?
Основной причиной развития кариеса является плохой уход за полостью рта. Происходит гниение остатков пищи, что и вызывает разрушительный процесс. Первые симптомы проявляются, когда зуб начинает реагировать на холодную или горячую жидкость, сладкую или кислую пищу. Когда контакт с раздражителем прекращается, боль обычно проходит. Уже на этом этапе необходимо обращаться к врачу, однако многие люди игнорируют эти признаки, что в результате и приводит к глубокому кариесу.
Стоматолог диагностирует глубокий кариес в ходе инструментального осмотра зуба. В некоторых случаях, особенно когда болит зуб, который лечили ранее, назначается рентгенография. Могут применяться и дополнительные методики исследования: термодиагностика и электроодонтодиагностика.
Глубокий кариес — это серьезное стоматологическое заболевание, которое вызывает множество обсуждений среди пациентов и специалистов. Люди часто отмечают, что основными причинами его появления являются недостаточная гигиена полости рта, частое употребление сахара и отсутствие регулярных визитов к стоматологу. Диагностика кариеса обычно включает визуальный осмотр и рентгенографию, что позволяет выявить поражение на ранних стадиях. Лечение может варьироваться от пломбирования до более сложных процедур, таких как корневое лечение, если инфекция затрагивает пульпу зуба. Профилактика заключается в регулярной чистке зубов, использовании фторсодержащих средств и соблюдении сбалансированной диеты. Многие пациенты подчеркивают важность раннего обращения к стоматологу, чтобы избежать серьезных последствий и сохранить здоровье зубов.
Формы развития глубокого кариеса
Различают две основные формы развития этого заболевания: острую и хроническую.
- В первом случае человек ощущает сильную боль, которая становится нестерпимой при приеме горячей либо холодной пищи, кислого питья; попадании каких-либо частиц в полость зуба. Боль вызывает дентин, который разрушается и давит на пульпу. Острая форма заболевания характеризуется широким основанием пораженной полости, в то время как входное отверстие довольно узкое. Неприятные ощущения могут оставаться даже когда действие раздражителей устраняется.
 - При хронической форме заболевания кариозная полость довольно глубока, имеет широко раскрытые стенки. Боль обычно появляется, когда она заполняется остатками пищи. Пульпа при хроническом кариесе еще защищена дентином, хотя он уже достаточно размягчен. Зуб также может реагировать на холодное и горячее.
 
Лечение глубокого кариеса
Во многих частных стоматологических клиниках глубокий кариес лечат за один визит, что очень устраивает многих пациентов. Однако при данной стадии развития заболевания стоит сходить к врачу два или даже три раза. Суть в том, что при глубоком кариесе патогенные бактерии могут оставаться и в здоровом дентине, что впоследствии приводит к инфицированию пульпы. При первом посещении необходимо ликвидировать все пораженные кариесом ткани, заполнить полость лекарством и поставить временную пломбу. Лишь через несколько дней, если не появились болезненные ощущения или воспаление, ее можно менять на постоянную.
Этапы лечения
Глубокий кариес лечат по отработанной схеме:
- диагностические процедуры;
 - обезболивание;
 - ликвидация пораженной патологическим процессом ткани;
 - нанесение на дно полости лечебной прокладки;
 - наложение изолирующей прокладки;
 - установка пломбы (временной или постоянной).
 
Как проводят лечение глубокого кариеса?
Сколько посещений клиники будет необходимо для лечения, стоматолог определяет исходя из следующих важных факторов:
- толщины слоя здорового дентина;
 - выраженности симптоматики, беспокоившей больного;
 - вскрытия или целостности пульповой камеры при очищении полости.
 
Врач начинает лечение сразу после анестезии. Он очищает пораженную кариесом полость, при необходимости удаляя мягкие ткани пульпы и нервы. Для обработки чаще всего используется шаровидный бор. Затем осуществляется пломбирование зуба. В ходе лечения стоматолог применяет не только специальные материалы, но и различные антисептики, герметики; лечебные прокладки, содержащие кальций.
Квалифицированный стоматолог может помочь отреставрировать зуб, сохранив все его функции, даже при сильном разрушении. При лечении он стремится:
- избежать рецидива кариозной болезни;
 - сохранить жизнеспособность пульпы, активизировать ее функции;
 - восстановить дентин.
 
Почему после лечения остаются болевые ощущения
Иногда после лечения глубокого кариеса человек продолжает чувствовать боль. Чаще всего причина заключается в травмировании мягких тканей десны при введении анестезирующего вещества. Такая боль проходит в течение одного дня.
К другим причинам сохранения болевого симптома относят следующие.
- Причина боли после пломбировки заключается в перегреве пульпы зуба. При удалении кариозного слоя, при вращении бормашины, происходит перегрев нервных окончаний, и какое-то время больной продолжает чувствовать боль.
 - Боль может оставаться и в том случае, если в процессе лечения некротизированные ткани были удалены не полностью. Измененный дентин в полости зуба, оставшийся под пломбой, продолжит разрушаться, пока не дойдет до пульпы.
 - Болевые ощущения могут сохраняться при неправильной постановке пломбы, т.е. когда ее прилегание в полости зуба не герметично.
 - Неправильная постановка диагноза также грозит сохранением боли после лечения глубокого кариеса, если на самом деле заболевание затронуло пульпу и в ней развивается воспаление.
 
Если боль после лечение не проходит в течение 3 дней, это сигнал к тому, что стоматолога следует посетить повторно.
Профилактика глубокого кариеса

Глубокий кариес — заболевание очень коварное. Его, как и любой недуг, лучше не допустить, чем впоследствии лечить. Для этого необходимо ежедневно выполнять профилактику. Основной мерой, конечно, является гигиена полости рта. Она включает в себя не только правильную чистку зубов с использованием фторсодержащих паст, но и регулярное полоскание рта после каждого приема пищи.
Кроме этого, необходимо использовать специальные зубные нити, продающиеся в каждой аптеке, поскольку щетинки зубной щетки не всегда могут справиться с очисткой труднодоступных мест. Процесс чистки зубов должен длиться не менее трех минут. Полезно полоскать рот специальными растворами: это способствует растворению микроскопических остатков еды, защищает эмаль.
Чтобы не допустить развитие кариеса, необходимо скорректировать рацион питания: исключить или сократить до минимума потребление сладостей, сахаросодержащих напитков; по максимуму стараться употреблять содержащие кальций продукты: творог, кефир, молоко, яйца, сыр, сметану, морковь, спаржу, сельдерей, бобовые, цельные злаки, виноград, абрикосы, смородину и др. При дефиците кальция в организме следует принимать таблетированные препараты.
Следует помнить.
Важно не кушать сладкое перед сном и запрещать это детям. Если все же это имело место, необходимо съесть твердый овощ либо фрукт. Это поможет очистить зубную эмаль от сахаров, которые провоцируют ее разрушение.
В последнее время появился другой способ профилактики кариеса: запечатывание фиссур и ямок с помощью полимеров. Это не дает остаткам пищи оставаться в них, то есть не допускает процесс гниения.
Помните, что причиной глубокого кариеса часто становится банальная человеческая лень. Если человек станет регулярно, хотя бы раз в квартал или полгода, посещать стоматолога, кариес никогда не будет доведен до глубокой стадии.
Видео: Методики лечения глубокого кариеса.
Видео: Базовое лечение глубокого кариеса.

На видео схематично транслируются этапы процесса лечения глубокого кариеса, которые сопровождаются важными комментариями ниже.
Видео: Пример реставрации больного зуба.

Одним из этапов лечения зуба считается его реставрация, особенно после удаления глубокого кариеса. Хорошо реставрированный зуб не будет себя никак выдавать и сделает улыбку красивой.
Вопрос-ответ
Как диагностировать кариес?
Диагностика кариеса включает в себя визуальный осмотр зубов стоматологом, использование зондов для выявления мягких участков эмали, а также рентгенографию для обнаружения скрытых повреждений, находящихся под поверхностью зуба. Дополнительно могут применяться специальные методы, такие как лазерная диагностика или использование окрашивающих веществ, которые помогают выявить участки деминерализации.
Что характерно для глубокого кариеса?
Для глубокого кариеса характерно поражение большой площади твердой зубной ткани с последующим распространением на дентин. Вероятным осложнением данного состояния является пульпит, возникающий при попадании болезнетворных микроорганизмов в пульпу.
Советы
СОВЕТ №1
Регулярно посещайте стоматолога для профилактических осмотров. Это поможет выявить кариес на ранних стадиях, когда лечение будет менее инвазивным и более эффективным.
СОВЕТ №2
Следите за гигиеной полости рта: чистите зубы дважды в день и используйте зубную нить. Это поможет предотвратить накопление налета и развитие кариеса.
СОВЕТ №3
Сбалансируйте свой рацион, уменьшив потребление сахара и кислых продуктов. Включите в меню больше овощей, фруктов и молочных продуктов, которые способствуют укреплению зубной эмали.
СОВЕТ №4
Используйте фторсодержащие зубные пасты и ополаскиватели для укрепления зубной эмали и снижения риска развития кариеса. Фтор помогает реминерализовать поврежденные участки зубов.
