По статистическим данным, собранным медиками, около 70% людей имеют челюстно-лицевые отклонения. Они влияют не только на открывание рта, затрудняя жевание или речь, но и на лицевой профиль. При этом лицо приобретает странные визуальные очертания и эстетические дефекты. Дистальный или прогнатический прикус – самая распространенная патология среди зубочелюстных аномалий. Она бывает заметна и при молочных зубах, но чаще проявляется при их смене постоянными.
Неправильное смыкание зубов может привести не только к потере симметрии лица и жевательных функций. В ряде случаев прогнатический прикус способен менять даже пропорции тела. Это, в свою очередь, нарушает нормальную работу всего организма. Вплоть, до проблем с дыханием и пищеварением.
Чтобы избежать серьезных последствий, не стоит халатно относиться к своему здоровью. Нужно детально отслеживать начальные признаки, и сразу идти к врачу. Лечение дистального прикуса – долгая и серьезная процедура. Однако при своевременной диагностике проблемы можно обойтись минимальными мерами. А знание темы и своевременная профилактика у детей с малого возраста и вовсе помогает избежать любых проблем, связанных с прикусом.
Что такое дистальный прикус
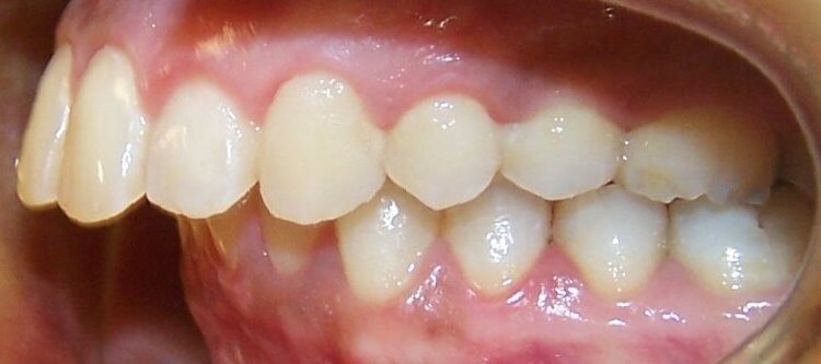
Дистальный прикус – патология, при которой верхняя челюсть больше развита, чем нижняя. При этом наблюдается ее сильное выдвижение и отсутствие соприкосновения передних зубов при смыкании. Визуально у такого человека нарушено и смыкание губ, они сильно выдвинуты вперед. Врачи дали этой аномалии определение «птичье лицо». У нее есть и еще одно официальное название – прогнатия. От слов «вперед» и «челюсть» в переводе с греческого.
 Фото 1. Дистальный прикус характеризуется более развитой верхней челюстью.
Дистальный прикус как самостоятельный тип встречается редко. В 80% случаев наблюдается сочетание 2-х патологий: прогнатического и глубокого прикусов, когда верхние резцы перекрывают нижние больше, чем на половину. Как правило, отсутствует контакт между фронтальными зубами на обоих челюстях.
Дистальный прикус — это состояние, при котором верхние зубы расположены значительно впереди нижних. Врачи отмечают, что его можно обнаружить при визуальном осмотре: если при закрытии рта верхние резцы перекрывают нижние более чем на один сантиметр, это может быть признаком проблемы. Кроме того, пациенты могут испытывать трудности с жеванием и говорить о дискомфорте в области челюсти.
Специалисты рекомендуют не откладывать визит к ортодонту, если есть подозрения на дистальный прикус. Лечение может включать использование брекетов, элайнеров или других ортодонтических аппаратов, которые помогут исправить положение зубов и челюстей. Важно помнить, что раннее вмешательство может значительно упростить процесс коррекции и улучшить качество жизни пациента. Регулярные осмотры у стоматолога также помогут выявить проблему на ранних стадиях и предотвратить дальнейшие осложнения.

Формы прогнатии
Прогнатия выражается в трех формах:
- Истинная – характеризуется глубоким выдвижением верхней челюсти с явным ее увеличением в сравнении с нижней.
 - Ложная – выступание челюсти без одновременного ее увеличения.
 - Сочетание первых двух видов.
 
Общим признаком является выдвижение зубного ряда – или верхнего вперед, или нижнего назад. Каждый из видов требует своего метода лечения, главное, правильно выявить симптомы и причины.
Симптомы дистального прикуса
Все симптомы прогнатического прикуса делятся на ротовые и лицевые.
Дистальный прикус — это состояние, при котором верхние зубы расположены слишком далеко впереди нижних. Многие люди не осознают, что у них есть эта проблема, пока не заметят изменения в прикусе или не почувствуют дискомфорт. Часто дистальный прикус проявляется в виде трудностей при жевании или речи. Важно обратить внимание на такие признаки, как неправильное смыкание зубов, стирание эмали или боли в челюсти.
Для диагностики рекомендуется обратиться к стоматологу или ортодонту, который проведет осмотр и, при необходимости, назначит рентген. Лечение может включать использование брекетов, элайнеров или других ортодонтических аппаратов. В некоторых случаях может потребоваться хирургическое вмешательство. Главное — не откладывать визит к специалисту, так как своевременное вмешательство поможет избежать серьезных проблем в будущем.

Симптомы изменения симметрии лица
- выдвижение верхней челюсти;
 - нижняя треть лица укорочена на треть;
 - «вздернутая» нижняя губа, одновременно отклоненная назад;
 - плоская «вдавленная» губа, если зубы наклонены внутрь рта;
 - «скошен» подбородок;
 - слишком резкие очертания складки подбородка;
 - постоянно приоткрытый рот, невозможность держать губы сомкнутыми вместе.
 
Ротовые признаки
- неестественный наклон резцов, несмыкание их на нижней и верхней челюсти. Верхний зубной ряд сильно смещен вперед, либо нижний назад;
 - фронтальные зубы веером расходятся на нижнюю губу;
 - сагиттальная щель (увеличенное пространство между зубами из-за неправильной их кучности);
 - увеличенная чувствительность зубов;
 - рецессия (оголенная десна);
 - повышенные подвижность зубов, стираемость и слишком быстрое их выпадение;
 - боковые зубы неправильно располагаются в их предзаднем положении;
 - трудности при откусывании пищи;
 - проблемы с носовым дыханием;
 - боли в висках, челюстях, головные боли;
 - нарушения речи.
 
Набор симптомов может быть разным, в зависимости от причин, вызвавших развитие заболевания. Или связан с другими сопутствующими патологиями, подробности выявит клинический осмотр.
 Фото 2. Дистальный прикус сильно искажает черты лица.
Причины возникновения
Причины дистального прикуса, деформации зубного ряда и проблем с нижней губой, делятся на три группы. Это генетика, патологии внутриутробного формирования и факторы, повлиявшие после рождения.
| Общее количество детей | Девочки | Мальчики | 
| 9,40± 0,58 % | 9,42 ±0,76 % | 9,37 ±0,91 % | 
В таблице представлены показатели частот дистального прикуса среди детей.
Основное влияние оказывает третья группа, это:
- Раннее отнятие ребенка от груди. Плохо развитый сосательный рефлекс приводит к патологиям челюсти.
 - Недостаток витаминов и микроэлементов. Организм, не получая их в нормальном количестве, мутирует.
 - ЛОР-заболевания. При проблемах с нормальным дыханием, человек пытается дышать через рот. В результате формируется высокое небо, а верхняя челюсть сужается и смещается вперед. Заболевания, ведущие к этой деформации – аденоиды, риниты, искривление носовой перегородки и пр.
 - Нарушение осанки и нормальной работы двигательного аппарата в результате его постоянной перегрузки.
 - Вредные детские привычки в период смены зубов (молочных на постоянные). Длительное использование соски, сосание игрушек, пальцев и продолговатых предметов, закусывание губ, надавливание кончиком языка на зубы.
 - Не подрезанная вовремя укороченная уздечка языка.
 - Слишком раннее выпадение молочных зубов.
 - Несделанное протезирование при получении травмы, выпадении постоянных зубов или поражении их кариесом.
 
 Фото 3. ЛОР-заболевания могут стать причиной формирования дистального прикуса.
Методы лечения дистального прикуса
Любые отклонения в челюстном отделе свидетельствуют о том, что у человека дистальный прикус. Лечение его можно проводить в любом возрасте, но наиболее эффективно оно в детстве. Идеальное время – период смены молочных зубов.
 Фото 4. Лечение дистального прикуса можно проводить в любом возрасте.
Изначально проводится диагностика. Это осмотр ортодонтом, опрос пациента, сбор анализов и оценка состояния с помощью специальных аппаратов. Чтобы определить разновидность отклонения прикуса, делается телерентгенография. На основе ее результатов изготавливается и исследуется гипсовый слепок челюсти пациента. Чтобы правильно оценить состояние жевательного аппарата, делают реографию, томографию и электромиографию.
Выбирая способ коррекции неправильного прикуса, врач может назначить совершенно разные формы лечения, даже если на первый взгляд проблема прикуса у разных пациентов схожа. По результатам осмотра ортодонт выбирает методы исправления прикуса от специальной гимнастики для лицевых мышц, до ношения специальных аппаратов, таких как пластины, лингвальные и вестибулярные брекеты, съемные капы или проведение хирургической операции.
Далее на основе собранных сведений назначается один из способов лечения или их комбинация.
 Фото 5. Изготовление слепков челюстей пациента помогает выбрать наиболее эффективный метод лечения прикуса.
Способы исправления дистального прикуса
- Ортодонтические методы.
 - Аппаратно-хирургические.
 - Хирирургические.
 - Комбинированные.
 
Способ выбирается от степени тяжести развития прогнатического прикуса и возраста. Исправление прикуса проводят за счет стимуляции развития нижней челюсти и сдерживания роста верхней. Это делается с помощью специальных аппаратов. Параллельно разрабатывается комплекс лечебных упражнений – специальная гимнастика для челюстей и мышц лица. Она называется миогимнастика. Также обязательно устраняются заболевания, повлекшие развитие дистального прикуса. Убираются вредные привычки, нормализуется дыхание. Если надо, проводится операция по выпрямлению носовой перегородки и пр.
 Фото 6. Миогимнастика используется как вспомогательное средство лечения дистального прикуса.
Исправление у детей
Основные проблемы у детей обычно в сменном прикусе – повышенном развитии зубочелюстного массива, связанное с одновременным сосуществованием молочных и постоянных зубов. На начальном этапе диагностирования все обходится лечебной физкультурой для челюстно-лицевых мышц. В более сложном состоянии ортодонт назначает ношение съемных аппаратов: кап или тейнеров. В ряде случаев применяют силиконовые челюстные шины, они расслабляют нужные мыщцы и выдвигают вперед нижнюю челюсть. При еще более сложной аномалии и подростковом возрасте практикуется установка брекетов.
 Фото 7. Иногда для исправления дистального прикуса достаточно некоторое время носить специальные капы.
Лечение у взрослых
Деформации челюсти и проблемы с нижней губой у взрослого человека говорят о запущенном состоянии дистального прикуса. В зависимости от степени тяжести состояния, врач назначает долговременное ношение брекетов. Если они помогают, лечение может включать аппаратный метод и миотерапию. Но в большинстве случаев он служат лишь подготовкой челюстей и зубов к хирургической операции. Такая подготовка может длиться до полутора лет. Иногда врач дополнительно назначает удаление или шлифовку некоторых зубов.
 Фото 8. Полирование поверхности зубов является частью подготовки к хирургическому лечению прикуса.
Восстановительный период занимает разное количество времени в зависимости от выбранного метода лечения. Послеоперационная реабилитация длится от нескольких недель до нескольких месяцев, а ношение брекетов может занимать несколько лет.
Профилактика заболевания
Профилактика прикуса тесно связана с детством. Если человек не приучен родителями заботиться о своем здоровье с ранних лет, это может обернуться серьезными проблемами. Эти же проблемы может принести неправильный уход и несоблюдение рекомендаций врача. С малого возраста сознательные родители должны позаботиться о малыше.
 Фото 9. Сосание пальца впоследствии может стать причиной развития неправильного прикуса.
Хорошие родители должны:
- осознавать важность грудного вскармливания и не отлучать младенца от груди раньше положенного срока;
 - вовремя перевести малыша на питание твердой пищей;
 - следить за осанкой и правильным формированием скелета;
 - своевременно отучать от вредных привычек – сосания соски, пальцев и прочих посторонних предметов;
 - не допустить развития рахита. Следить за введением в рацион витамина «Д» и прочих витаминов и минералов, необходимых для нормального развития;
 - минимизировать использование соски.
 
Если эти меры не применялись с детства, никогда не поздно начать их во взрослом возрасте. Однако, как правило, это получается уже после лечения, чтобы избежать повторения проблемы.
Дистальный прикус – не приговор, а следствие запущенной патологии, родом из детства. Реже причинами выступают механические травмы. Не стоит откладывать на потом или замалчивать проблему. Этот недуг лечится в любом возрасте, но залог успеха состоит в простом правиле. «Чем раньше, тем лучше» – гласит нам известная поговорка. В нашем случае, «тем проще метод, либо легче проходит операция и реабилитация». Обнаружив у себя красноречивые симптомы, стоит немедленно обратиться к врачу. После недолгой работы профессионалов вам останется лишь соблюдать простые рекомендации и убедиться в положительном результате.
 Фото 10. Профилактику неправильного прикуса эффективно начать проводить ещё в детстве.
Видео: Дистальный прикус

Вопрос-ответ
Как определить, что у меня дистальный прикус?
Дистальный прикус можно определить по тому, что верхние зубы значительно выступают вперед относительно нижних, а при закрытии челюстей нижние резцы могут не соприкасаться с верхними. Также могут наблюдаться проблемы с жеванием и эстетикой улыбки. Для точной диагностики рекомендуется обратиться к стоматологу или ортодонту.
Как диагностируется дистальный прикус?
Дистальный прикус диагностируется на основании клинического осмотра, изучения лицевого профиля, моделей челюстей, цефалометрических данных телерентгенографии, рентгенографии или томографии ВНЧС. Лечение дистального прикуса проводится с помощью ортодонтических приспособлений (функциональных аппаратов, брекетов и др.).
Можно ли исправить дистальный прикус?
Для исправления дистального прикуса часто используются брекеты и элайнеры. В более серьезных случаях применяется комбинированное лечение, которое может включать в себя и хирургическое вмешательство в области челюстей и лица.
Как выглядит дистальный прикус?
Как выглядит дистальный прикус? Люди с дистальным прикусом отличаются маленьким, слабо развитым подбородком, из-под которого часто выглядывает второй. Верхняя часть лица выпуклая, без четких линий в нижней трети. Шейный изгиб сильно выражен, создавая холку. Губы в тяжелых случаях не могут сомкнуться.
Советы
СОВЕТ №1
Обратите внимание на симптомы. Дистальный прикус может проявляться в виде неправильного смыкания зубов, затрудненного жевания или дискомфорта в области челюсти. Если вы заметили у себя или у ребенка подобные признаки, не откладывайте визит к стоматологу.
СОВЕТ №2
Регулярно посещайте стоматолога. Профилактические осмотры помогут выявить дистальный прикус на ранних стадиях. Стоматолог сможет оценить состояние зубочелюстной системы и предложить необходимые меры для коррекции.
СОВЕТ №3
Изучите варианты лечения. В зависимости от степени выраженности дистального прикуса, могут быть предложены различные методы коррекции, такие как брекеты, капы или хирургическое вмешательство. Обсудите с врачом все возможные варианты и выберите наиболее подходящий для вас.
СОВЕТ №4
Следите за гигиеной полости рта. При наличии дистального прикуса важно уделять особое внимание чистке зубов и уходу за деснами, так как неправильное смыкание может привести к повышенному риску кариеса и заболеваний десен. Используйте зубную нить и ополаскиватели для рта для поддержания здоровья зубов.









