Заболевание соединительных тканей, которые окружают зубы, называется периодонтитом.
Выделяют острую форму заболевания и хроническую.
Хронический периодонтит — изменение структуры околозубных тканей, являющееся следствием хронического воспаления периодонта.
Клиника хронического периодонтита
Хронический периодонтит — затяжной воспалительный процесс в периапикальной области, сопровождающийся деструкцией окружающих зуб тканей.
При этом заболевании происходит разрушение связок, удерживающих зуб в лунке.
А также рассасывание кортикальной пластинки альвеолы, резорбция костной ткани.
Хронический периодонтит представляет собой воспалительное заболевание тканей, окружающих зуб, которое может привести к потере зуба, если не будет своевременно диагностировано и вылечено. Врачи отмечают, что основными симптомами являются болезненность, отечность десен, а также наличие гноя и неприятного запаха изо рта. Для диагностики заболевания стоматологи используют рентгенографию, которая позволяет выявить изменения в костной ткани. Лечение хронического периодонтита включает в себя как консервативные методы, такие как медикаментозная терапия и профессиональная гигиена, так и хирургические вмешательства, например, дренирование абсцессов или резекцию корня зуба. Важно, чтобы пациенты не игнорировали первые признаки заболевания и обращались к специалистам, так как раннее вмешательство значительно повышает шансы на успешное восстановление здоровья зубов.

Код по МКБ-10
В международной классификации болезней, периодонтит относится к классу К04. Хроническая форма заболевания вынесена в подкласс К04:5.
Бактерии кариеса преодолевают препятствие в виде зубной эмали. Разрушают дентин и проникают внутрь пульпарной камеры. Эта стадия называется пульпитом. При отсутствии должного лечения, инфекция переходит к тканям, окружающим зуб.
Так возникает периодонтит. Воспаляются связки, удерживающие зуб в лунке. А также кость самой челюсти.
Так как зуб соединяется с тканями периодонта через корень, именно там начинается воспаление. Развивается хронический периодонтит.
Клинические проявления болезни включают в себя возникновение боли при надавливании и чувствительность к перепаду температур. Десна опухают, может появиться подвижность. Возможно появление десневого свища.
Острые боли и другие симптомы
Хронический периодонтит — коварное заболевание. Его начало легко пропустить, потому как чаще признаки вообще отсутствуют. Можно и не подозревать, что заболевание присутствует, пока не начнётся обострение.
Справка! В хроническом периодонтите выделяют стадии обострения и ремиссии. Ремиссии характерно полное отсутствие симптомов.
Симптомы при обострении заболевания:
- 
Болевые ощущения. Могут быть разными по интенсивности, увеличиваясь в ночной период.
 - Боли во время приёма пищи, при простукивании.
 - Зуб выдвигается из лунки. Поэтому пациентам часто кажется, что он начинает расти.
 - Возникает чувство, что поражённую область распирает изнутри.
 - В некоторых случаях появляется свищ с гнойным содержимым.
 - Десна отекает, краснеет.
 - Увеличение лимфатических узлов.
 
Хронический периодонтит — это воспалительное заболевание, которое поражает ткани, окружающие зуб. Люди часто описывают его как незаметную, но опасную проблему, которая может привести к потере зуба. Основные симптомы включают боль, отек десен и неприятный запах изо рта. Многие пациенты отмечают, что болезнь развивается медленно, и первоначальные признаки могут быть игнорированы. Важно регулярно посещать стоматолога для профилактических осмотров, так как ранняя диагностика значительно облегчает лечение. Врач может назначить рентген, чтобы оценить состояние корней зубов и окружающих тканей. Лечение может включать чистку, антибиотики и, в некоторых случаях, хирургическое вмешательство. Люди подчеркивают, что соблюдение гигиенических норм и своевременное обращение к специалисту — ключ к успешному выздоровлению.

Формы
В соответствии с клинико-морфологическими изменениями выделяют три формы хронического периодонтита:
- Гранулирующий — грануляционная ткань разрастается в области верхушки зуба. Рост сопровождается резорбцией цемента, костной ткани альвеолы и дентина корня.
 - 
Гранулематозный — протекает с развитием гранулёмы, кистогранулемы или радикулярной кисты. Переапикальная гранулёма — образование округлой формы. В диаметре примерно 1/2 сантиметра. Состоит из грануляционной ткани, которая заключена в плотную соединительнотканную капсулу.
В результате роста и воспалительных процессов превращается к кистогранулему. Она представляет собой полостное образование, выстланное многослойным плоским эпителием. Достигает в размере одного сантиметра. Постепенно превращается в челюстную кисту.
 - Фиброзный — замещение коллагеновых волокон периодонта грубоволокнистой соединительной тканью.
 
Дифференциальная диагностика
Диагностика начинается с первичного осмотра пациента.
Специалист выслушивает жалобы, производит осмотр полости рта.
Для определения формы заболевания и установки правильного диагноза проводят дифференциальную диагностику.
Осуществляется диагностика сразу по нескольким пунктам:
- специалист собирает анамнез;
 - производится пальпация, перкуссия, визуальная оценка слизистых оболочек;
 - проводится рентгенография, исследования электровозбудимости;
 - при необходимости проводят медицинские анализы, например, общий анализ крови.
 
Дифференциальная диагностика позволяет исключить другие заболевания. Проводится с целью выявить одно конкретное. Сомнения у врача могут возникнуть, если присутствует свищ на щеке или на лице, симптомы гайморита и другие.

Удаление зубов
Удаление — крайняя мера в лечении. Применяется довольно редко в современной медицине. И только в том случае, если другие меры по сохранению не привели к желаемому результату.
Причины для удаления:
- зуб полностью разрушен болезнью;
 - невозможно зафиксировать зуб в челюсти;
 - воспалительный процесс быстро распространяется по всей челюсти;
 - размер зубодесневого кармана превышает шесть миллиметров;
 - возник постоянный септический процесс;
 - полная непроходимость корневого канала;
 - воспалённый зуб целиком поражён кариесом, а альвеолярный отросток утрачен.
 
Процесс удаления не отличается сложностью. Сначала врач проводит местное обезболивание. Затем отделяются ткани десны, примерно на полсантиметра. На коронку зуба, который нужно удалить, накладывают щипцы. Удаление производят вращательными или маятниковыми движениями.
После процедуры рана дезинфицируется. Полное заживление десневой ткани происходит в течение месяца.
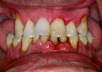
Свищ при заболевании: что это такое
Воспалительный процесс в слизистой оболочке приводит к образованию свища. Свищ, по сути, является своеобразным каналом между поверхностью дёсны и внутренним очагом инфекции. Через этот канал происходит отток гнойных выделений.
Важно! Свищ может появиться с внутренней стороны щеки или даже на лице.
Симптомы появления: болезненные ощущения и припухлость тканей, подвижность. А также выделение гноя. Что примечательно, при начале гнойных выделений боль пропадает.
Фото 1. Как выглядит свищ, который появился на десне на верхней челюсти при хроническом периодонтите.
Наличие свища говорит о том, что воспаление прогрессирует. Отчего лечение нужно начинать незамедлительно. При этом, оно направлено не на сам свищ, а на поражённый зуб.
Проводится очистка от камня и налёта, проводится обеззараживание. Очищенную полость заполняют цементирующими смесями. Назначают антибиотики, чтобы снять воспаление.
Лечение фистулы — процесс не быстрый, потому что помимо самого свища нужно вылечить причину его появления.
Верхушечный хронический периодонтит
Верхушечным периодонтитом называют воспаление тканей, которые окружают верхушку корня. Заболевание вызывает острые периодические боли, опухание десны и щеки.
При этом воспалённый зуб кажется выше, чем все остальные. Повышается температура тела, возникает общее недомогание.
Фактором возникновения может выступать травма, химический ожог, воздействие мышьяка. Независимо от причин, лечить такой периодонтит необходимо незамедлительно. Хроническая форма предполагает распространение инфекции по всему организму, что приводит к заболеваниям других внутренних органов.
Лечение начинают с удаления жидкости, которая возникла в месте воспаления. Это позволяет снизить интенсивность болей и уменьшить число бактерий вокруг корня. Пациенту могут назначить курс антибиотиков.
Далее расширяют корневой канал. Проводят обработку антимикробными средствами. Зуб пломбируют, а в некоторых случаях, когда заболевание запущено — удаляют.
Полезное видео
Ознакомьтесь с видео, в котором рассказывается, каковы признаки хронического периодонтита и как происходит его лечение.
Условия выздоровления
Хронический периодонтит — серьёзное заболевание, требующее длительного лечения. Чтобы достичь стойкой ремиссии, необходимо следовать назначениям врача и выполнять все его требования.
Вопрос-ответ
Как лечится хронический периодонтит?
Периодонтит лечат только антибиотиками. С помощью антибиотиков можно успокоить инфекцию и не дать ей распространиться. Однако при наличии любой стоматологической инфекции пораженную область необходимо обрабатывать физически. После лечения периодонтита зуб сохранится ненадолго.
Как болит хронический периодонтит?
Хронический периодонтит чаще всего проходит без покраснения и отека десны. В своих жалобах больной отмечает слабую боль при надкусывании, жевании или надавливании на зуб. Иногда единственным признаком периодонтита бывает потемнение зубной эмали (она становится серой).
Сколько длится хронический периодонтит?
Схема лечения хронического периодонтита отличается в зависимости от интенсивности воспалительного процесса и площади пораженных тканей. Лечение может занять от 7 дней до 3-5 месяцев.
Какие препараты назначают при периодонтите?
По современным протоколам при лечении периодонтита обычно назначаются антибиотики пенициллинового ряда (например, амоксициллин, амоксиклав) или фторхинолоны (ципрофлоксацин, ципролет). Подбор препарата осуществляется строго индивидуально в зависимости от клинической ситуации и состояния здоровья пациента.
Советы
СОВЕТ №1
Регулярно посещайте стоматолога для профилактических осмотров. Хронический периодонтит может развиваться незаметно, и раннее выявление заболевания значительно увеличивает шансы на успешное лечение.
СОВЕТ №2
Обратите внимание на симптомы, такие как боль в деснах, неприятный запах изо рта и подвижность зубов. Если вы заметили эти признаки, не откладывайте визит к врачу, так как это может указывать на наличие периодонтита.
СОВЕТ №3
Следите за гигиеной полости рта. Регулярная чистка зубов, использование зубной нити и ополаскивателей помогут предотвратить развитие заболеваний десен и периодонтита.
СОВЕТ №4
Изучите методы лечения хронического периодонтита, такие как профессиональная чистка зубов и хирургические вмешательства. Знание доступных вариантов поможет вам лучше понять процесс лечения и принять активное участие в своем выздоровлении.







