Протезирование верхних зубов, как и нижних бывает съемное и несъемное только методики их установки в данном случае меняются.
Существует три разновидности импантации: полная, с использованием мостовидного протеза и All-on-4. В случае полной или частичной потери зубов используют процедуру полной замены, то есть устанавливается искусственная конструкция в верхние десна. Сначала вживляются 14 имплантатов далее закрепляют специальные коронки, что позволяет полностью восстановить целостность ротовой полости. При использовании этого метода можно установить не более 12 искусственных конструкций. Мостовидное протезирование требует меньших расходов. Число имплантатов обычно размещается не более 10 (зависит от количества костной ткани пациента). В зависимости от строение челюсти и недостаточного количества костной ткани – используют протезирование All-on-4. В верхнюю челюсть с определенным интервалом вживляются четыре искусственных конструкций, отсюда и название данного вида протезирования.
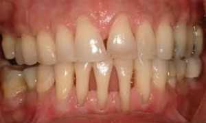
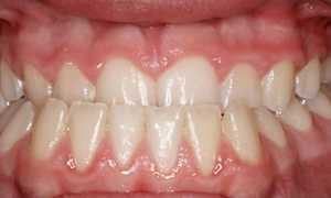
Белоснежная улыбка способна преобразить внешний вид каждого человека. Она делает его более уверенным, привлекает к себе внимание и позволяет хорошо выглядеть. Напротив, разрушенные и поврежденные зубы не способствуют общению, отталкивают окружающих людей. Чтобы быстро и без боли избавиться от дефектов, рекомендуется обратить внимание на протезирование верхних зубов.
Виды протезирования
Если зубы поражены трещинами, сколами или другими не столь значительными дефектами, то протезирование проводится с использованием виниров. Они могут использоваться в других случаях: при желании человека изменить форму зубов, сменить их оттенок. Винир — тонкая пластина, закрепление которой осуществляется на определенном зубе с применением фиксирующей смеси.
Для верхнего протезирования могут использоваться другие материалы:
- Металлокерамика. Отличается невысокой стоимостью. Но вместо металла конструкция может состоять из драгоценных металлов, тогда цена существенно увеличится;
 - Керамические конструкции, произведенные без металла. Их особенность — способность пропускать свет. Из-за этой черты конструкции нельзя отличить от натуральных зубов;
 - Циркониевые коронки — один из дорогих разновидностей протезирования. Его черты — долговечность, прочность, привлекательный внешний облик. Этот материал является биосовместимым.
 
Все перечисленные материалы обладают следующими качествами: не вызывают аллергических реакций, отличаются надежностью и эстетичным видом, предоставляют возможность имитировать природные зубы, выбирать по своему усмотрению цвет и уровень прозрачности.
Если зуб разрушен на 70% и более процентов, то устанавливается коронка. Её можно сравнить с миниатюрным колпачком, повторяющим главные характеристики зуба (оттенок, форма). Несъемные зубные протезы производятся из разных материалов, поэтому и стоимость их варьирует.
Полное протезирование
Полное протезирование зубов верхней челюсти может быть проведено с использованием имплантатов. Их выделяют три разновидности: полная имплантация, использование мостовидного протеза, All-on-4. Рассмотрим каждый из них в отдельности.
Врачи-стоматологи отмечают, что протезирование верхних зубов является важной процедурой для восстановления функции жевания и эстетики улыбки. Существует несколько видов протезов, каждый из которых имеет свои особенности и показания. Одним из наиболее распространенных вариантов являются съемные протезы, которые могут быть как частичными, так и полными. Они удобны в использовании и позволяют легко заменять утраченные зубы.
Другим вариантом являются несъемные протезы, такие как коронки и мосты. Коронки используются для восстановления поврежденных зубов, а мосты помогают восполнить пробелы, создавая опору на соседние зубы. Врачи подчеркивают, что выбор типа протеза зависит от состояния зубов пациента, его бюджета и предпочтений. Современные технологии, такие как имплантация, также открывают новые возможности для восстановления зубного ряда, обеспечивая долговечность и естественный внешний вид.

Процедура полной замены
Полная имплантация верхней челюсти:
- При использовании этого способа на все выбранные места происходит установка искусственных конструкций;
 - В верхних деснах, где были ранее расположены зубы, вживляется 14 имплантатов. Следующий шаг — закрепление на всех них специальной коронки. Это позволяет полностью восстановить полость, исключением станет лишь зуб мудрости;
 - Можно установить только 12 искусственных конструкций на верхнюю челюсть. В этой ситуации будут отсутствовать вторичные моляры.
 
Особенность: способ может использоваться не во всех ситуациях. Для установки имплантатов потребуется много костной ткани.
Перед внедрением имплантатов область проверяется на наличие нервов.
Мостовидное протезирование
Следующий тип протезирования зубов — мостовидный протез:
- Отличительной чертой протеза на имплантатах от стандартного протеза является то, что опорой для первого станут искусственные конструкции;
 - Число имплантатов, вживляемых в зубной области, может быть разным. Часто на верхней челюсти размещается до 10 искусственных конструкций.
 
Мостовидное протезирование — замечательное решение полной адентии. На него не потребуется больших расходов, как на полную имплантацию.
Протезирование верхних зубов — это важная процедура, о которой говорят многие пациенты. Существует несколько видов протезов, каждый из которых имеет свои особенности и преимущества. Например, съемные протезы, такие как полные и частичные, идеально подходят для людей, потерявших несколько или все зубы. Они легко снимаются и чистятся, что делает их удобными в использовании.
Керамические и металлокерамические коронки — это другой вариант, который обеспечивает естественный внешний вид и долговечность. Такие протезы фиксируются на оставшихся зубах или имплантах, что позволяет восстановить функциональность и эстетику улыбки.
Пациенты отмечают, что современные технологии позволяют создавать протезы, которые максимально приближены к натуральным зубам. Это не только улучшает внешний вид, но и восстанавливает уверенность в себе. Важно, чтобы выбор протеза основывался на индивидуальных потребностях и рекомендациях стоматолога.

All-on-4
Протезирование под названием «All-on-4»:
- Существует перечень случаев, при которых не существует возможности установить титановые конструкции. Это может быть вызвано небольшим объемом костной ткани, расположенным рядом нервом или иной причиной;
 - В этом случае в верхнюю челюсть производится вживление четырех искусственных конструкций;
 - Во время установки между имплантатами соблюдается установленный интервал.
 
Съемное протезирование верхних зубов
Протезирование верхних зубов может осуществляться с использованием съемных конструкций. При этом применяется соответствующий протез:
- В ситуациях, когда нельзя установить четыре имплантата, используется вживление меньшего числа конструкций. Далее на них устанавливаются абатменты, верхняя часть которых выполнена в форме шара;
 - Крепление подобного типа является устойчивым и надежным;
 - Если требуется установка нескольких искусственных конструкций, протез можно зафиксировать. В этих целях используется балочная методика крепежа;
 - Балка, используемая для этого, выступает гарантией надежного крепления. С её использованием вся жевательная нагрузка, оказываемая на верхнюю челюсть, распределяется равномерно;
 - При необходимости очищения конструкции, присутствует возможность её снятия.
 
Съемное протезирование верхних зубов с применением мини-имплантатов получило большое распространение. К его главным чертам относится:
- Используется в ситуациях, когда костная ткань присутствует в минимальном количестве и по определенным причинам её наращивание не может произойти;
 - Главное достоинство процедуры — отсутствие противопоказаний, малоинвазивность;
 - Мини-имплантаты отличаются от стандартных конструкций небольшим размером и методом фиксирования.
 
Протезирование верхних зубов способно полностью преобразить внешний облик человека. Но проводится эта процедура не столько в целях эстетики, сколько практичности. Имплантаты и протезы способны заменить натуральные зубы.

Вопрос-ответ
Какой протез лучше ставить на верхнюю челюсть?
Но самым лучшим вариантом восстановления зубов верхней челюсти все же являются технологии несъемного протезирования на имплантатах: при частичном отсутствии зубов — мостовидные протезы, при полном — протоколы All-on-4, All-on-6, All-on-8.
Какие существуют виды протезов?
Существуют несколько видов протезов, включая ортопедические (для замены конечностей), стоматологические (для восстановления зубов), слуховые (для улучшения слуха) и глазные (для замены утраченных глаз). Ортопедические протезы могут быть как временными, так и постоянными, а также различаются по материалам и технологиям изготовления, включая механические и электронные устройства.
Какие зубные протезы самые лучшие и удобные?
Коронки изготавливают из диоксида циркония (преимущественно для жевательных зубов), керамики, металлокерамики и металлопластики. Самые практичные, лучшие и удобные для пациента – это коронки из диоксида циркония.
Советы
СОВЕТ №1
Перед выбором протеза обязательно проконсультируйтесь с опытным стоматологом. Он поможет определить наиболее подходящий вариант, учитывая ваши индивидуальные особенности, такие как состояние десен и челюсти.
СОВЕТ №2
Изучите различные виды протезов, такие как съемные и несъемные, а также их преимущества и недостатки. Это поможет вам лучше понять, какой вариант будет наиболее удобным и функциональным для вас.
СОВЕТ №3
Обратите внимание на материалы, из которых изготовлены протезы. Современные технологии предлагают различные варианты, включая керамику и акрил, которые могут значительно повлиять на эстетику и долговечность протеза.
СОВЕТ №4
Не забывайте о регулярном уходе за протезами и полостью рта. Это поможет предотвратить возможные осложнения и продлить срок службы протезов. Следуйте рекомендациям стоматолога по чистке и уходу.
