Периодонтит — воспалительное заболевание, в котором поражение происходит на верхушке корня зуба.
Его возникновение связано либо с отсутствием должного лечения пульпита, либо с некачественным пломбированием корневых каналов.
Симптомы заболевания напрямую связаны с его формой. Если это острое воспаление, то человек будет испытывать сильную ноющую или острую боль в зубе, слабость, возможное повышение температуры, а также ощущение того, что зуб выдвигается из челюсти.
При хроническом воспалении возможно бессимптомное протекание или вялотекущее их проявление.
Дифференциальная диагностика периодонтита
Диф. диагностика представляет собой важный этап, так как если он будет проведён недостаточно тщательно, то и лечебные действия могут быть ошибочными.
Этапы диагностики:
- Опрос пациента.
 - Сбор анамнеза.
 - Проведение анализов.
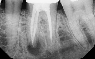
 - Оценка результатов обследования, состоящего из осмотра ротовой полости, перкуссии, пальпации, зондирования входа в канал, температурных тестов, определения подвижности проблемного зуба, применения электроодонтодиагностики и радиовизиографии, проведения рентгенографии.
 
Важно! Данные, полученные при помощи рентгена, показывают полноценную картину заболевания. Насколько точно они будут расшифрованы — зависит от опытности врача.
Из перечисленных выше действий к первичной диагностике относится пальпация тканей и зондирование. С помощью этих процедур врач определяет наличие воспаления. Все остальные действия относятся к дополнительным методам.
Так как периодонтит похож по своим проявлениям с другими заболеваниями ротовой полости, то целесообразным будет проведение дифференциальной диагностики. Она состоит в изучении признаков возможных изменений в структуре тканей полости рта.
В случае с острой формой такая процедура поможет выявить определённый тип: серозный или гнойный.
А также дифференциальная диагностика позволяет различить форму заболевания: фиброзную, гранулирующую.
Использование такой процедуры помогает получить результаты высокого уровня достоверности. Однако эффективность лечебных действий будет зависеть от квалификации стоматолога.
Во время проведения диагностики специалистом могут быть совершены ошибки, которые повлияют на процесс не только диагностики, но и лечения. К ним относятся:
- Игнорирование стоматологом слабовыраженных симптомов.
 - Неспособность врача отличить на рентгенограмме периодонтит от других похожих заболеваний.
 - Неспособность специалиста различить обострение хронической формы патологии от острой верхушечной.
 
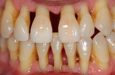
Врачи-стоматологи единодушны в том, что самым эффективным способом лечения периодонтита является комплексный подход, включающий как медикаментозную терапию, так и хирургические методы. На начальных стадиях заболевания важно провести профессиональную чистку зубов, чтобы удалить зубной налет и камень, что способствует уменьшению воспаления. Врач может назначить антибиотики для борьбы с инфекцией и противовоспалительные препараты для снятия симптомов. В более запущенных случаях может потребоваться хирургическое вмешательство, такое как кюретаж или резекция корня зуба, что позволяет устранить очаги инфекции и восстановить здоровье тканей. Регулярные профилактические осмотры и поддерживающая терапия также играют ключевую роль в предотвращении рецидивов и поддержании здоровья десен.

Лечение постоянных зубов у взрослых
Каждая терапевтическая процедура необходима для выполнения определённых задач:
- Купировать очаг воспаления.
 - Сохранить, насколько это возможно, анатомическую структуру зуба и его функций.
 - Улучшить общее состояние пациента.
 
Стоматолог выбирает способ терапии исходя из информации, полученной при помощи диагностики. При этом он обращает внимание на следующие характеристики:
- Анатомическое строение зуба, его корней.
 - Наличие патологических состояний, таких как: травма зуба, перелом корней.
 - Находится ли зуб в доступности или изоляции.
 - Насколько зуб имеет свою ценность как в выполнении непосредственной функции, так и в эстетической.
 - Есть ли возможность реставрировать зуб.
 - Состояние пародонтальных и периапикальных тканей.
 
Принципы терапии
Чтобы терапия была действенной, специалист должен выполнить определённые процедуры:
- Полностью удалить некротизированную пульпу из корневых каналов.
 - Механически расширить и очистить проходы.
 - Провести обработку корневого канала и очага воспаления медикаментозными средствами.
 - Полностью запломбировать корневой проход.
 - Контролировать свои действия с помощью рентгена.
 
Люди, столкнувшиеся с периодонтитом, часто делятся своим опытом и мнениями о наиболее эффективных методах лечения. Многие отмечают, что регулярные визиты к стоматологу и профессиональная чистка зубов играют ключевую роль в борьбе с этим заболеванием. Некоторые пациенты подчеркивают важность соблюдения гигиенических процедур дома, таких как тщательная чистка зубов и использование зубной нити.
Кроме того, существует мнение, что лазерная терапия и ультразвуковая чистка могут значительно ускорить процесс выздоровления и снизить воспаление. Некоторые люди также упоминают о положительном влиянии противовоспалительных препаратов и антибиотиков, которые назначаются врачом.
Однако, несмотря на разнообразие методов, многие согласны с тем, что индивидуальный подход к каждому случаю и консультация с квалифицированным стоматологом являются основными факторами успешного лечения.
![Периодонтит #shorts. Лечение каналов зуба за 7 шагов без боли [Диагностика, симптомы, последствия].](https://i.ytimg.com/vi/SDc1IYDjtak/maxresdefault.jpg)
Основные методы
Терапия воспаления производится двумя способами:
- Консервативный.
 - Хирургический.
 
Способ лечения зависит от формы заболевания.
Консервативный метод представляет собой комплексные действия, которые проходят в несколько этапов.
Его задачи:
- Влиять на бактериальную флору в проходах корня зуба.
 - Избавиться от воспаления.
 
Врач, выбрав консервативный способ, выполняет следующую работу:
- Вскрывает канал.
 - Удаляет некротизированную пульпу.
 - Осуществляет прохождение канала зуба, его расширение и санацию.
 - Воздействует с помощью лекарств на периодонтальные ткани.
 - Пломбирует.
 - Устраняет остаточные явления кариеса.
 
Справка! Чаще всего специалист делит эти процедуры на два этапа. На первом приёме предпочтительно ставить временную пломбу, постоянную ставят при втором визите, если у пациента не было никаких болевых ощущений.
Консервативный метод может включать в себя и физиотерапию. Особенно действенны физиотерапевтические процедуры при лечении фиброзного периодонтита.
Так, при лечении периодонтита назначают:
- Электрофорез вместе с раствором йодистого калия.
 - УВЧ на зону воспаления.
 - Лазеротерапия.
 - Магнитотерапия.
 - МРТ.
 - Парафиновые аппликации.
 
Если вовремя диагностировать заболевание, то консервативный метод на ранних сроках развития будет показывать положительную динамику лечения. Если же недуг достигнет запущенной стадии, то ждать полноценного эффекта от такого метода не стоит. В этом случае действенным будет считаться хирургический способ.
Поэтому хирургический способ используется врачами в тех ситуациях, когда консервативный уже не поможет. Назначается он в следующих случаях:
- Особенности анатомического строения корня.
 - Невозможность пройти корневой проход.
 - Не результативность консервативного лечения.
 - Некачественное предыдущее пломбирование прохода.
 - 
Наличие реактивного прогрессирующего воспалительного процесса.
 - Если периодонтит является генерализованным, а его стадия — запущенная.
 
Однако не всегда можно использовать хирургический метод. К противопоказаниям относятся:
- Резорбция альвеолярной кости.
 - Пациент находится в тяжёлом состоянии.
 - Стадия обострения протекает вместе с сопутствующими патологиями.
 
К действиям хирургического способа относится и удаление зуба.
Однако это совершается только в тех случаях, когда другого способа избавиться от воспаления нет.
Временное пломбирование
Является обязательным условием. Только после того, как будет поставлена временная пломба, проведён рентген, можно ставить постоянную.
Процесс пломбирования включает в себя подготовительный этап, на котором происходит:
- Извлечение поражённых участков пульпы.
 - Определение длины проходов.
 - Механическая обработка канала, расширение его размера, придание формы для пломбирования.
 - Медикаментозная обработка.
 - Временное пломбирование канала.
 

Применяемые материалы
Терапевтический процесс происходит при помощи использования следующих средств:
- Анестезирующие препараты местного действия.
 - Материалы для лечебных прокладок.
 - Препараты для некротизации пульпы зуба.
 - Жидкости для промывания каналов.
 - Средства для антисептических повязок.
 - Материалы для химического расширения корневых каналов.
 - Средства для остановки кровотечения.
 - Препараты для высушивания корневых каналов.
 - Материалы для временного пломбирования.
 - Средства для распломбирования.
 - Материалы для постоянного пломбирования корневых каналов.
 
Пасты
Используются на разной основе:
- В первую группу входят пасты на основе антибиотиков и кортикостероидных препаратов. В их составе несколько антибиотиков, среди которых с антибактериальным, противогрибковым, а также широким действием.
 - Ещё один компонент — кортикостероид, чаще всего применяют Дексаметазон. При определённой дозировке это средство уменьшает воспаление, не оказывает неблагоприятного воздействия на защитную реакцию периодонта.
 
В составе таких паст — рентгеноконтрастный наполнитель, с помощью которого происходит определение качества заполнения канала.
Фото 1. Паста для лечения периодонтита и гангренозного пульпита Метрозоль, 8 г в тубе, производитель – «ОмегаДент».
Средства такой основы сильные, но непродолжительны по действию. В канал их заносят на 3—7 суток.
Также разработаны пасты, основой которых является Метронидазол. Они служат для временного заполнения каналов корней зубов, которые сильно инфицированы.
Кроме перечисленных видов, есть ещё и те, которые основываются на совокупности антисептиков длительного действия, таких как: тимол, креозот, йодоформ, камфора, ментол.
Их особенность в том, что они рентгеноконтрастны, не твердеют, медленно рассасываются в каналах.
Широкое применение в лечении периодонтита имеет и коллагеновая паста. В её состав входит:
- Коллаген.
 - Метилурацил.
 - Субнитрат висмута.
 - Окись цинка.
 
Такие пасты для лечения периодонтита смешиваются прямо перед применением на эвгеноле.
Сложные виды периодонтита
Существуют следующие разновидности периодонтита и методы из лечения.
Патология под коронкой
Является сложной ситуацией. Чаще всего под коронкой обостряется хронический гранулематозный вид патологии. Происходит этот процесс в течение длительного времени.
Сложность состоит в том, если воспалённый зуб является частью мостовидного протеза, который из-за недейственной терапии придётся снять. Поэтому важно правильно подобрать лечение для зуба, чтобы сохранить действие протеза или коронки.
Процедуры при таком случае заключаются в следующем:
- Вскрытие корневого канала осуществляется путём проделывания маленького отверстия в коронке, не снимая её.
 - 
Сначала производится маленькая щель по жевательной стороне коронки шаровидным бором.
 - Затем отверстие проделывают цилиндрическим алмазным бором.
 - В устье корня используют специальные корневые фрезы для продвижения к его верхушке.
 
Этими действиями совершается полноценное открытие корня зуба для дальнейшего проведения всех необходимых процедур.
Если нет возможности провести такие манипуляции с зубом, то проводят лечение хирургическим способом: делают местную анестезию, удаляют инфицированную верхушку зуба, делают ретроградное пломбирование корневого канала, затем вокруг корня укладывают искусственную костную ткань, устанавливают мембрану и укладывается назад десневой лоскут.
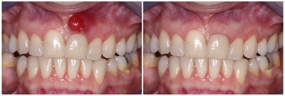
Со свищом
Свищ чаще всего развивается при гранулирующей форме патологии, из-за разрастания грануляций происходит формирование дефекта, разрушаются окружающие ткани.
Если образуется свищ, то это свидетельствует о том, что лечение не действует и микроорганизмы продолжают разрушать зуб.
Терапия заключается в следующем:
- Очистка полости зуба и его каналов.
 - Обработка антисептиком.
 - Пломбирование зубной полости.
 
Одонтогенный свищ лечится не за одно посещение врача. Терапия такого заболевания протекает легче из-за возможности оттока продуктов воспаления через свищевой ход.
С кистой
В случае образования кисты лечение её возможно при помощи удаления. Но это считается радикальным способом.
Консервативная терапия допустима только исходя из данных рентгена. Обращают внимание на запломбированность канала корня, размер кисты, состояние самого зуба.
Терапия проходит путём удаления инфицированных участков ткани, очищения канала, закладки специальной лечебной пасты, затем пломбирование канала.
Патология зуба мудрости
Если патология острой формы, особенно при серозной стадии, а также при хроническом фиброзном и гранулирующем периодонтите, то шансов сохранить зуб мудрости больше, чем при гранулематозной форме.
В случае с гранулёмой, лечение может быть не совсем успешным, поэтому удаление зуба будет необходимым решением.
Поражение корня
Патология поражает верхушку корня зуба. При более углублённом поражении следует глубокая очистка каналов, все остальные действия аналогичны принципам лечения недуга.
Обострение болезни
Терапия состоит из вскрытия зуба, каналы оставляют открытыми на несколько дней. Делается это для оттока гноя и снижения острой боли. Если мешает коронка, пломба, то врач устраняет эти факторы.
Пока каналы открыты, пациенту назначаются полоскания и приём антибиотиков.
Если периодонтит сопровождается припухлостью десны, то необходимо провести вскрытие гнойного абсцесса, разрезав десну.
Повторное посещение врача происходит через 3—4 дня. Если гной больше не отходит, то в канал укладывается антисептическое средство.
Далее терапия зависит от степени повреждения верхушки корня зуба. Чем больше воспаление, тем лечение будет проходить дольше.
Гангренозное воспаление: что делать
Гангрена пульпы говорит о её омертвлении. Первостепенной задачей является очищение каналов и зубной полости от остатков ткани. С помощью иглы Миллера делается проход в канал, чтоб дать возможность выйти всем газам. Но любые действия при таком состоянии являются очень болезненными.
После прочистки от остатков зубной полости проделываются обычные действия при терапии периодонтита.
Боли после процедур: нормально ли, когда зуб болит при надавливании
Могут ощущаться при нажатии на зуб. Это не патология. Если боль не является осложнением, то пройдёт в течение нескольких дней.
Обратиться к врачу следует, если она очень резкая, сильная, наблюдается общее ухудшение самочувствие человека.
Возможных болезненных ощущений заключается в реакции организма на травматизацию каналов корня.
Происходит при воздействии на зуб, например, при чистке зубов или приёме пищи. Кроме того, боль может пульсировать и без воздействия внешних факторов.
Принимаемые меры
В домашних условиях можно облегчить состояние следующими действиями:
- Принять обезболивающее лекарство.
 - Прополоскать ротовую полость содово-солевым раствором.
 - Прополоскать прополисом.
 
Можно ли вылечить недуг в одно посещение
Возможно, благодаря наличию свищевого хода.
Через него можно убрать все остаточные части и произвести пломбирование канала через отверстие верхушки зуба, что не повлечёт за собой обострение воспалительного процесса.
Далее проводят обычные действия при лечении такого воспаления: чистят канал, обрабатывают антисептиком, расширяют канал, ставят временную пломбу, смотрят на результат рентгена и ставят постоянную пломбу.
Лечение и пломбирование зубных корневых каналов
Является важным этапом, чтобы не было осложнений. Для этого надо:
- Удалить поражённые кариесом ткани.
 - Удалить пульпу.
 - Определить длину всех каналов, провести их обработку, расширить их в случае необходимости.
 - Запломбировать каналы.
 - Проверить результат с помощью рентгена.
 
Если длина каналов была измерена правильно, их расширили, то никаких ошибок не возникнет.
Больно ли лечить
Терапия патологии происходит без ощущения боли. Так как существуют новейшие технологии, препараты, инструменты, позволяющие убрать боль и сократить процесс лечения насколько это возможно.
Применение анестезии при хирургическом вмешательстве
Если пульпа уже погибла, то все действия с зубом должны проходить безболезненно.
Поэтому использование обезболивания необязательно. Если же анестезия всё-таки необходима, то применяется местная, проводниковая либо инфильтрационная.
Предпочтительней использовать обезболивание проводникового типа.
Современные препараты позволяют полностью убрать боль, а если применить обезболивающий гель, то и сам укол не будет ощущаться.
Полезное видео
Ознакомьтесь с видео, в котором рассказывается, как происходит лечение периодонтита.
Чем раньше — тем лучше
Периодонтит — недуг, для лечения которого разработано много техник. Успех терапии зависит от стадии заболевания. Чем раньше пациент обратится за помощью к врачу, тем больше шансов произвести лечение быстро и действенно.
Вопрос-ответ
Чем лечат периодонтит?
Периодонтит лечат только антибиотиками. С помощью антибиотиков можно успокоить инфекцию и не дать ей распространиться. Однако при наличии любой стоматологической инфекции пораженную область необходимо обрабатывать физически. После лечения периодонтита зуб сохранится ненадолго.
Можно ли вылечить периодонтит за один прием?
Периодонтит нельзя вылечить за один прием у врача-стоматолога. Требуется комплексный и индивидуальный подход, КТ-диагностика, прочистка и пломбировка каналов, установка временных пломб и более сложные манипуляции.
Хирургическими методами лечения хронических периодонтитов является?
Хирургические методы лечения периодонтита. Радикальное хирургическое лечение периодонтита заключается в удалении больного зуба. Если обстоятельства позволяют, зуб стараются не удалять полностью, а проводят зубосберегающую хирургическую операцию – резекцию верхушки корня зуба.
- Неотложная помощь при остром периодонтите (обострении хронического). Основной задачей врача будет вскрыть зуб и оставить корневые каналы на несколько дней открытыми. Это необходимо, чтобы дать отток гною и снять острую боль.
 
Советы
СОВЕТ №1
Регулярно посещайте стоматолога для профессиональной чистки зубов. Это поможет удалить зубной налет и камень, которые могут способствовать развитию периодонтита.
СОВЕТ №2
Обратите внимание на свою гигиену полости рта. Чистите зубы дважды в день и используйте зубную нить для удаления остатков пищи и налета между зубами.
СОВЕТ №3
Следите за своим питанием. Употребление продуктов, богатых витаминами и минералами, особенно витамина C, может помочь укрепить десны и улучшить общее состояние полости рта.
СОВЕТ №4
Избегайте курения и чрезмерного потребления алкоголя, так как эти факторы могут усугубить состояние десен и замедлить процесс заживления.
















