Когда исследуется периодонтит, классификация позволяет найти оптимальную лечебную схему.
В общем случае эта патология представляет собой воспалительный процесс в периодонте, в результате которого повреждаются связка и костные кортикальные пластинки, появляются дефекты костной ткани.
Чаще всего этиология заболевания связана с инфекционным поражением, провокатором которого могут стать гайморит или остеомиелит. Курение способствует развитию патологии. Спровоцировать болезнь способны механические воздействия и неправильные лечебные процедуры. Терапия периодонтита предусматривает устранение воспалительной реакции, механическую очистку, антисептическую обработку и пломбирование каналов.
Классификация периодонтита по МКБ-10
В соответствии с ней недуг относится к категории болезней периапикальных тканей (К04). Выделяются следующие основные формы периодонтита согласно этой классификации:
-
Острый апикальный периодонтит пульпарного происхождения — К04.4. Это наиболее типичная разновидность патологии с чётко выраженным проявлением.
Развивается она в 2 этапа. На первой стадии появляются продолжительный, ноющий болевой синдром. Вторая стадия характеризуется интенсивными, непрерывными болями, усиливающимися при любом прикосновении.
Появляется отёк тканей, зуб приобретает подвижность. Болезнь протекает с ухудшением общего состояния, головной болью, повышением температуры тела выше 37,5 ºС. В крови обнаруживается лейкоцитоз и увеличенная СОЭ.
-
Хронический апикальный периодонтит (код К04.5). Основным очагом поражения при это форме периодонтита становится апикальная гранулёма, но воспалительный процесс протекает медленно с чередованием стадий обострения и ремиссии.
Хроническая форма периодонтита чаще всего становится следствием невылеченного острого периодонтита, но может иметь и первичную этиологию. На стадии ремиссии симптоматика выражена нечётко: почернение зуба, небольшой болевой синдром при надавливании. А период обострения проявления аналогичен острой форме патологии.
Помимо 2 основных форм МКБ-10 выделяют характерные осложнения болезни. Отдельно классифицируется абсцесс периапикального типа с образованием свища (код К04.6) и без него (код К04.7). Свищ может соединяться с носовой или ротовой полостью, достигать кожного покрова или верхнечелюстной пазухи. Кроме того, выделяется корневая киста (код К04.8) бокового или апикального типа.
Врачи отмечают, что правильная классификация периодонтита играет ключевую роль в его лечении. Существует несколько форм этого заболевания, каждая из которых требует индивидуального подхода. Например, хронический периодонтит отличается от острого не только по симптоматике, но и по методам терапии. Специалисты подчеркивают, что понимание различий между формами позволяет более точно диагностировать и назначать эффективное лечение. Кроме того, классификация помогает выявить причины заболевания и предотвратить его рецидивы. Врачи рекомендуют пациентам не игнорировать симптомы и обращаться за помощью на ранних стадиях, что значительно увеличивает шансы на успешное восстановление здоровья зубов и десен.

Виды болезни по ММСИ
Наиболее часто обнаруживается верхушечная разновидность периодонтита, которая возникает в результате проникновения инфекции по корневым каналам через отверстия в их верхней части. В начальный период поражается корневая верхушка, но постепенно процесс переходит на периодонт.
Классификация по ММСИ предусматривает выделение разных видов периодонтита по клиническому течению:
-
Острый верхушечный — продолжительность может составлять от 2 до 10 суток, отмечается выраженное проявление всех симптомов: ноющая боль, отёк, покраснение, общая интоксикация.
В развитии острой формы прослеживаются 2 основные фазы: серозная и гнойная.
- Хронический верхушечный — этот вид периодонтита характеризуется вялотекущим воспалительным процессом с отсутствием ярко выраженных симптомов. В зависимости от локализации очага поражения и степени его выделяется несколько разновидностей этой формы патологии. В основном болезнь определяется по изменению цвета зуба и небольших болевых ощущениях при надавливании на него.
- Хронический на стадии обострения — данный вид хронического периодонтита возникает при появлении выраженных нарушениях ткани периодонта. Деструкция часто обнаруживается по глубоким полостям кариозного типа. Симптоматика во многом аналогична острой форме патологии, но боль при резком нажатии обычно менее интенсивна. Характерно также отсутствие реакции тканей на температурное воздействие.
Важно! Выявление формы заболевания помогает оптимизировать методику лечения.
При своевременном диагностировании проводится терапевтическое воздействие, направленное на прекращение воспаления, очистку, дезинфекцию и закрытие каналов. В запущенной стадии необходимо хирургическое вмешательство.
Формы недуга в зависимости от патогенеза и этиологии
Патогенез и клиническая картина периодонтита во многом определяются его этиологией, т. е. причинами возникновения воспалительной реакции. По данному признаку проводится следующая классификация форм периодонтита.
Периодонтит — это воспалительное заболевание, которое затрагивает ткани, окружающие зубы, и может привести к их потере. Многие пациенты сталкиваются с трудностями в понимании различных форм этого заболевания. Врачи отмечают, что классификация периодонтита играет ключевую роль в выборе правильного лечения. Например, острый периодонтит требует немедленного вмешательства, тогда как хроническая форма может быть более управляемой с помощью консервативных методов. Люди, изучающие эту тему, часто делятся своим опытом, подчеркивая важность ранней диагностики и индивидуального подхода. Понимание классификации помогает не только врачам, но и пациентам осознать серьезность проблемы и вовремя обратиться за помощью. Правильное лечение, основанное на четкой классификации, может значительно улучшить прогноз и качество жизни.

Инфекционный
Это наиболее распространённая разновидность недуга, вызываемая проникновением патогенных микроорганизмов в периодонт. Процесс провоцируется токсинами, вырабатываемыми ими.
Источником поражения при данном виде периодонтита могут стать: продолжительный пульпит, гайморит, кариес и другие очаги инфекции, расположенные в ротовой полости.
Травматический
Механические воздействия, способные повредить ткани периодонта, могут стать причиной возникновения воспалительного процесса. Такой механизм характерен для ударов и ушибов при драках, падениях, ДТП. В группу повышенного риска попадают чрезмерно активные дети и спортсмены. Травмы могут наноситься и сопряжёнными зубами при неправильном протезировании или пломбировании.

Медикаментозный
Данный вид периодонтита развивается в результате химического воздействия некоторых медикаментозных средств и врачебных ошибок. Наиболее опасно влияние мышьяка, используемого при лечении зубов. Чрезмерная продолжительность или передозировка пасты могут привести к химическому поражению ткани периодонта.
Похожее воздействие способны оказывать некоторые сильные антибиотики при их длительном приёме.
Плохая очистка каналов при проведении лечения порой формирует очаги нагноения, которые провоцируют воспалительную реакцию.
Этиология периодонтита может основываться и на аллергии к некоторым ингредиентам лекарственных препаратов.
Иногда причины возникновения заболевания не удаётся выявить, и тогда речь идёт о ятрогенной разновидности. Следует также отметить, что вероятность развития любой из перечисленных форм болезни увеличивается у курящих людей. При активном курении на зубной эмали образуется плёнка, содержащая патогенные составляющие, например, Staphylococcus aureus и Pseudomonas aeruginosa.
Классификация хронической формы болезни по МГМСУ
В РФ наиболее часто используется классификация по Лукомскому, предусматривающая разделение острой и хронической форм недуга на несколько разновидностей. Каждая из них имеет специфические признаки. Хроническая патология подразделяется на следующие подвиды:
- Фиброзный — данная форма периодонтита развивается без выраженных проявлений симптомов. Патология обусловлена расширением периодонта, как правило, в верхней зоне, что и выявляется при рентгенографии. Болевой синдром отсутствует, что осложняет диагностирование. Болезнь можно выявить по изменению цвета зуба и появления неприятного запаха изо рта.
- Гранулирующий — характеризуется определённой активностью процесса, что ведёт к разрушению костной ткани с формированием рыхлой грануляции. Появляется болевой синдром небольшой интенсивности с периодическим усилением при надкусывании. В тканях периодонта формируется свищ, что вызывает ощущение распирания. Прилегающий участок десны отекает и краснеет. Свищи имеют тенденцию исчезать, но затем появляться снова.
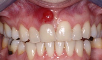
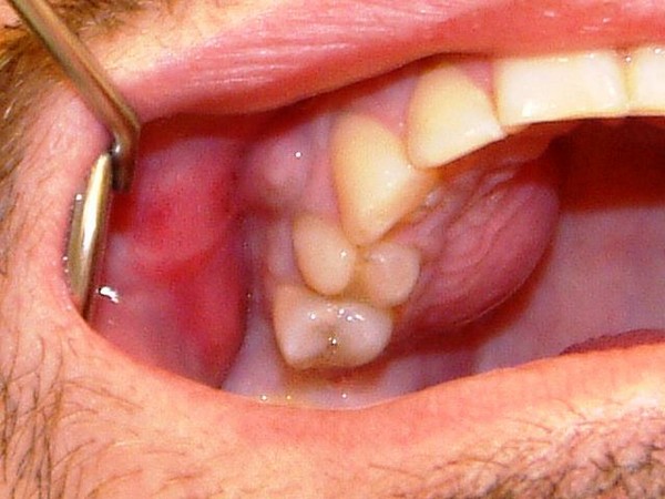
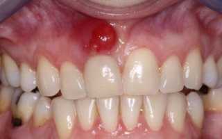
- Гранулёматозный — данный вид периодонтита выявляется по характерной, округлой полости в периодонте с грануляциями, имеющими чёткие границы. Размер её не превышает 5 мм. При больших размерах речь может идти о кисте, но, в отличие от неё, гранулёма не вызывает болевого синдрома, что затрудняет диагностирование.
Фото 1. Так выглядит гранулематозная стадия периодонтита: на десне верхней челюсти заметна небольшая гранулема.
Патология выявляется при проведении рентгенографии. Среди симптомов можно выделить изменение цвета зуба и небольшое болевое ощущение при постукивании по нему или резком надкусывании.
Важно! Из всех разновидностей хронического периодонтита самым активным признаётся гранулирующий тип, который способен вызывать заметный болевой синдром.
В целом хроническая форма опасна своими обострениями. Они характерны для гранулирующего и гранулёматозного течения, и крайне редко обнаруживаются при фиброзном типе заболевания.
Стадии острого периодонтита
В соответствии с классификацией Лукомского выделяются такие варианты течения острой формы недуга.
Серозный
Представляет собой начальную стадию воспалительной реакции. Симптоматическое проявление усиливается достаточно стремительно. Характерно нарастание болевых ощущений.
Периодические боли при надкусывании переходят в непрерывный болевой синдром ноющего характера. При надавливании он становится нестерпимым.
Постепенно разрушаются связки, фиксирующие зуб в альвеоле, что приводит к его расшатыванию. Начинают разрушаться и деградировать окружающие костные ткани.
Гнойный
При отсутствии лечения серозная стадия трансформируется в гнойную фазу. На этом этапе в периодонте начинает накапливаться гнойный экссудат, причём гной не находит путей для оттока. В результате такая масса попадает в кровяное русло и вызывает интоксикацию всего организма.
Ухудшается общее самочувствие: недомогание, головная боль, повышение температуры тела, озноб. Зуб становится крайне болезненным, а боли приобретают пульсирующий характер.
Появляется ощущение, будто он вылез наружу и уже не вписывается в зубной ряд. Усиливается подвижность зуба и отёчность мягких тканей.
Обнаруживается увеличение ближайших лимфатических узлов, что свидетельствует о попадании гноя в лимфу.
Через несколько дней проявление острой формы стихает, но это не означает, что болезнь прошла сама. Самый вероятный итог — переход острого периодонтита в хроническое течение.
Степени тяжести
Заболевание разных типов может протекать с различной стадией тяжести:
- Лёгкая — симптомы практически не ощущаются. Нет болевого синдрома, даже при надавливании. Можно обнаружить небольшие зубодесневые карманы и изменение цвета зуба. Возможна слабая, периодическая кровоточивость дёсен.
-
Средняя — возникают болезненные ощущения, усиливающиеся при надкусывании, надавливании и температурном воздействии.
Зубодесневой карман увеличивается до глубины 5—6 мм. Дёсны часто кровоточат, а сам зуб становится подвижным.
- Тяжёлая или запущенная — болевой синдром становится постоянным, возникает отёк мягких тканей. Зубы сильно шатаются и могут выйти из общего ряда. Глубина зубодесневого кармана превышает 7 мм. При надавливании может появляться гнойный экссудат.
Схема лечения существенно зависит от степени тяжести течения болезни. Если на первых двух стадиях обеспечивается терапевтическое лечение, то запущенная форма требует чаще всего хирургического вмешательства.
Чем чревата запущенная стадия
Отсутствие лечения, особенно при тяжёлой степени поражения, чревато серьёзными последствиями. Можно отметить такие опасные осложнения периодонтита: абсцессы, шейная флегмона, остеомиелит, гайморит, кистозные образования, сепсис.
Полезное видео
Ознакомьтесь с видео, в котором рассказывается, как лечение периодонтита зависит от его стадии.
Залог успешного лечения
Общепринятые методики классификации периодонтита разрабатываются не ради статистики, а для практического использования. Они позволяют более полно понять происходящий процесс, его природу и возможные осложнения. Точная диагностика типа патологии с детализацией этиологии и клинической картины даёт возможность применить оптимальную схему лечения.

Вопрос-ответ
По каким критериям классифицируются периодонтиты?
Классификация периодонтитов. В зависимости от особенностей течения болезни различают: серозный или гнойный периодонтит (острый), хронический (фиброзный, гранулематозный, гранулирующий) периодонтит зуба, хронический в обостренной форме.
Целью лечения хронических форм периодонтита является?
Своевременное лечение позволяет сохранить зубы, предотвратить развитие инфекции и улучшить состояние десен. В противном случае, если периодонтит оставлен без внимания, это может повлиять на здоровье всего организма, так как инфекция может распространиться на другие органы.
Что необходимо для определения формы хронического периодонтита?
Для подтверждения диагноза хронического периодонтита врач начинает с выявления жалоб пациента и осмотра полости рта. Пальпация мягких тканей и перкуссия помогают определить наличие болезненности и повышенной чувствительности. Затем врач назначает рентгенограмму.
Советы
СОВЕТ №1
Изучите основные формы периодонтита: острый, хронический и абсцесс. Понимание различий между ними поможет вам лучше ориентироваться в симптомах и выбрать правильный подход к лечению.
СОВЕТ №2
Обратите внимание на симптомы: кровоточивость десен, неприятный запах изо рта и подвижность зубов могут указывать на наличие периодонтита. Регулярные осмотры у стоматолога помогут выявить проблему на ранней стадии.
СОВЕТ №3
Не пренебрегайте профилактическими мерами: регулярная гигиена полости рта, использование зубной нити и ополаскивателей помогут снизить риск развития периодонтита и других заболеваний десен.
СОВЕТ №4
Консультируйтесь с врачом о возможных методах лечения: в зависимости от формы периодонтита, могут быть рекомендованы как консервативные, так и хирургические методы. Не стесняйтесь задавать вопросы и уточнять детали лечения.








