Зубы мудрости – крайние в зубном ряду моляры. Прорезываются они гораздо позже остальных, примерно к 25 годам. Своим названием обязаны народному поверью: считалось, что к 30 годам люди мудреют.
Всего восьмёрок (так ещё называют зубы мудрости) 4 – 2 верхних и 2 нижних. Однако прорезываются они далеко не у всех – около 8% людей живут без них всю жизнь.
Этот факт раньше связывали с тем, что человек за свою жизнь не получил достаточного жизненного опыта, посему мудрость обошла его стороной. Современная стоматология утверждает, что это результат эволюции. Изменение пищевых привычек человека – всё большее употребление обработанной, мягкой пищи, привело к разумному уменьшению челюсти так, что третьим молярам просто не стало хватать места. Зубы мудрости – рудимент, оставшийся от прародителей.
С ними связан целый ряд проблем, а практической ценности они почти не представляют, и их удаление является вынужденной, но необходимой мерой. Однако корневые особенности и расположение создают определённые сложности для экстракции восьмёрок по сравнению с другими элементами зубного ряда.
Что такое сложное удаление зуба мудрости: растущего в щеку, лежащего горизонтально
Удаление зубов бывает простым (классическим) и сложным.
Сложная процедура проводится тогда, когда избавиться от не подлежащего лечению и восстановлению зуба применяя классическую методику невозможно.
Важно! Откладывание до последнего визита к врачу может быть чревато серьёзными последствиями: запущенное нагноение восьмёрки периодически приводит к развитию абсцесса или сепсиса. Подобные осложнения могут нести реальную угрозу жизни человека, на практике известно немало случаев летального исхода.
Среди показаний к хирургической экстракции зубов мудрости в современной стоматологии можно выделить следующие:
- 
Дистопированный зуб. Занимает неправильное положение и растёт криво или под углом. Он может принимать различное положение: смещаться по оси, упираться в соседний зуб, расти в щеку.
Возможные последствия – неправильный прикус, практическое неучастие в процессе пережёвывания пищи, травмы щеки, языка, воспалённая десна.
 - Ретинированный зуб. Прорезывается частично или полностью остаётся в кости, не выходя наружу. Даже если пациента с ретинированной восьмёркой ничего не беспокоит, велик риск возникновения всевозможных инфекций в будущем, постоянного воспаления десны, появления кариеса, пародонтоза и т.д.
 - Воспаление. Развивающийся перикоронарит – патология, возникающая при затруднённом прорезывании моляра, несёт риск инфицирования околозубной ткани и капюшона десны, прикрывающей растущий моляр, вероятен также отёк и нагноение дёсенной ткани.
 - Разрушение, травмирование зуба. Не имея достаточного пространства в зубном ряду, восьмёрка при прорезывании может сильно давить на вторые моляры, приводя к смещению, деформации и механическим повреждениям эмали.
 - Особенности строения челюсти, отсутствие прорезывания. Недостаточно широкая челюсть сама по себе – показание к удалению зуба мудрости, так как в этом случае не хватает места для полного прорезывания и ровного позиционирования зуба мудрости, что может привести к ретенции и дистопии моляров.
 
Справка. Зуб мудрости зачастую дистопируется по причине позднего прорезывания, – места для правильного расположения зубов в челюсти не хватает, да и зубов, оказывающих поддержку и задающих вектор роста, попросту нет, поэтому частенько они растут с наклоном, мешая вторым молярам.
Другие показания удаления зуба мудрости. К ним относится:
- киста, флюс или свищ – возникают на фоне инфекции;
 - сильное разрушение элемента челюстного ряда в результате кариозного поражения, которое невозможно устранить терапевтически;
 - искривлённые и чрезмерно длинные корни, что может стать причиной срастания корневой системы с костной тканью челюсти либо проникновением в гайморову пазуху;
 - предыдущее лечение зуба с использованием розацин-формалиновой пасты, что стало причиной хрупкости костной ткани моляра.
 
Перед операцией по удалению зуба мудрости важно учитывать мнение врачей. Специалисты подчеркивают, что сложное удаление может быть связано с определенными рисками, такими как повреждение соседних зубов или нервов. Однако, при правильной подготовке и квалифицированном подходе, эти риски минимизируются. Врачи рекомендуют пройти полное обследование, включая рентген, чтобы оценить положение зуба и его корней. Также важно обсудить с хирургом все возможные осложнения и методы их предотвращения. Пациентам советуют следовать рекомендациям врача после операции для ускорения процесса восстановления и снижения вероятности осложнений. Правильная информация и подготовка помогут сделать процедуру более безопасной и комфортной.

Противопоказания
Несмотря на возможные неприятные последствия сохранения зубов мудрости, бывают ситуации, когда удаление восьмёрок может привести к более серьёзным проблемам.
Абсолютными противопоказаниями в таком случае являются:
- злокачественная опухоль в корневой системе;
 - гемангиома – доброкачественная опухоль, имеющая свойство поражать здоровые ткани вокруг себя;
 - хронические заболевания сердца и сосудов.
 
Среди относительных противопоказаний выделяются:
- психоневрологические проблемы в период обострения;
 - вирусные инфекции;
 - недавно перенесённый инсульт, инфаркт или гипертонический криз;
 - повышенное давление, не поддающееся стабилизации медикаментами;
 - инфекции слизистой рта – герпес, стоматит и т.д.;
 - приём медикаментозных препаратов, разжижающих кровь;
 - беременность и кормление грудью.
 
Диагностика и её этапы
Предварительная диагностика – обязательная процедура, предопределяющая ход сложного удаления зуба мудрости. Включает в себя следующие действия:
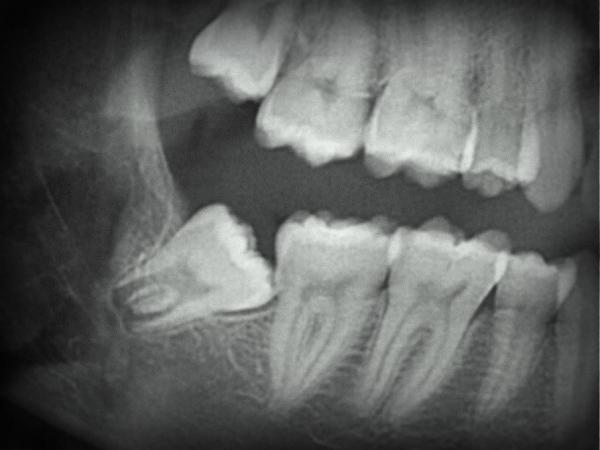
Фото 1. Рентгеновский снимок челюсти, по нему можно определить расположение зуба, что поможет выбрать метод удаления.
- Осмотр ротовой полости. Помогает определить, в каком состоянии пребывает ткань десны, выявить прикус, целостность удаляемого зуба и его состояние.
 - Обязательный рентгенографический снимок. Цель – выявить количество, расположение и степень переплетённости корней, узнать наклон восьмёрки, спланировать последующее удаление и определиться с требуемыми инструментами.
 - Ортопантомография – рентгенографический 3D снимок, используется для точного определения строения восьмёрки и выбора метода экстракции.
 
Перед операцией по удалению зуба мудрости многие люди испытывают страх и неуверенность. Основные опасения связаны с возможными осложнениями и болевыми ощущениями. Однако, как отмечают стоматологи, при правильной подготовке и соблюдении рекомендаций врача, процедура проходит успешно. Важно заранее обсудить все детали с хирургом: узнать о методах анестезии, возможных рисках и сроках восстановления. Многие пациенты отмечают, что страх перед операцией часто оказывается хуже самой процедуры. После удаления зуба мудрости важно следовать указаниям врача по уходу за полостью рта, чтобы избежать воспалений и ускорить заживление. Поддержка близких и положительный настрой также играют важную роль в процессе.

Чем сложное отличается от простого
Классическая процедура экстракции зубов применяется для однокорневых или шатающихся (молочных) зубов, в таком случае удаление возможно под местной анестезией (или даже без неё) и занимает в среднем до 10 минут.
Задействованные в процессе удаления инструменты – щипцы и элеватор. Ввиду отсутствия разрезов полости наложение швов не требуется, лёгкое восстановление происходит за 2 – 3 дня, из уходовых процедур рекомендовано использовать специальные ополаскиватели.
Сложное удаление может занять от 30 до 60 минут, требует применения сильных анестетиков, использования специального хирургического инструментария.
Экстракция проводится с рассечением десны и предполагает ее сшивание впоследствии. Ввиду сложности операция должна проводиться только квалифицированным хирургом-стоматологом.
В реабилитационный период зачастую назначается приём антибиотиков. Процесс восстановления сложнее, чем в случае с простым удалением, от 7 до 10 дней, может сопровождаться высокой температурой, кровотечением и сильными болями, что требует приёма сильных анальгетиков.
Зубы мудрости на верхней и нижней челюсти, есть ли разница в удалении?
Экстракция верхних третьих моляров обычно происходит быстрее и проще, чем нижних. Костная ткань нижней челюсти значительно плотнее, а корни сильнее разветвлены, нередко изогнуты и переплетены, а это увеличивает риск таких осложнений, как перелом.

Поэтапная процедура в непростой ситуации
Сложная экстракция последних моляров осуществляется по следующему плану:
- Укол анестетика, применяемый с целью обезболить участок, где планируется хирургическое вмешательство.
 - Надрез десны, отслоение её от кости, осуществляется, чтобы добраться до удаляемого зуба и его корней.
 - 
Распиливание зубной единицы на несколько частей с последующим извлечением из мягкой ткани, выполняется с целью облегчения экстракции массивной восьмёрки.
В случае когда корни сломаны в процессе извлечения, их удаляют по отдельности.
 - Очищение лунки от скоплений крови, её тщательный осмотр на предмет присутствия осколков зуба или корневой системы.
 - Установка дренажа для очищения раны от гноя (при его наличии) с последующей обработкой лунки антисептиком.
 - Зашивание рассечённой десны посредством наложения саморассасывающихся швов.
 
Возможные осложнения после удаления зачатка
В восстановительный период пациент может испытывать сильную боль и повышение температуры, что является естественной реакцией на хирургическое вмешательство.
Однако это не единственные осложнения после экстракции восьмёрки, сюда же относится:
- отёчность;
 - кровотечение из лунки или, напротив, сухая лунка;
 - потеря чувствительности участка челюсти;
 - альвеолит – воспалительный процесс в костной ткани.
 
Рекомендации на послеоперационный период
Во избежание долгого и болезненного заживления рекомендуется:
- вынуть тампон из раны через 15 – 20 минут после удаления зуба;
 - не есть 3 часа после операции;
 - для предупреждения отёка щеки использовать лёд;
 - не беспокоить лунку языком, не трогать руками, чистку зубов проводить максимально аккуратно;
 - не злоупотреблять горячими, перчёными блюдами, по возможности избегать твёрдых продуктов;
 - не курить, не употреблять алкоголь, воздержаться от посещения сауны на период восстановления.
 
Полезное видео
Посмотрите видео, в котором показан процесс сложного удаления зуба мудрости из нижней челюсти.
В заключение
Обращаясь в лечебное учреждение со своей проблемой, пациент рассчитывает на быстрый и безболезненный результат. Чтобы избежать горького опыта и предотвратить осложнения, необходимо тщательно подойти к вопросу поиска клиники и специалиста. Опытный хирург-стоматолог, его квалификация и профессионализм – вот залог успешного проведения этой непростой хирургической процедуры.
Вопрос-ответ
Как подготовиться к сложному удалению зуба мудрости?
Подготовка к удалению зуба мудрости. Сначала необходима консультация со стоматологом-хирургом, который проведет осмотр, сделает рентгеновский снимок челюсти, чтобы оценить расположение зуба и его корней. За день до операции рекомендуется избегать употребление алкогольных напитков, жирной и трудно перевариваемой пищи.
Чем может быть опасно удаление зуба мудрости?
Осложнения. После операции по удалению зуба мудрости иногда возникают осложнения — сразу или через время. Во время процедуры может отколоться кусок кости, возникнуть кровотечение. При некомпетентной работе врача может быть травмирован соседний зуб, произойти разрыв слизистой.
Больно ли удалять сложный зуб мудрости?
Сама процедура – безболезненная. Но назвать удаление зуба мудрости абсолютно безболезненно процедурой нельзя, потому что после того, как отойдет анестезия, могут возникнуть болевые ощущения, которые можно контролировать анальгетиками.
Советы
СОВЕТ №1
Перед операцией обязательно проконсультируйтесь с опытным стоматологом. Узнайте о всех возможных рисках и осложнениях, а также о том, как будет проходить процедура. Это поможет вам лучше подготовиться и снизить уровень тревожности.
СОВЕТ №2
Обязательно сообщите врачу о всех принимаемых вами лекарствах и имеющихся заболеваниях. Это важно для выбора безопасной анестезии и предотвращения возможных осложнений во время и после операции.
СОВЕТ №3
Подготовьте себя к восстановительному периоду. Узнайте, какие меры нужно предпринять после удаления зуба мудрости, чтобы минимизировать боль и ускорить заживление. Например, избегайте горячей пищи и напитков в первые дни после операции.
СОВЕТ №4
Не стесняйтесь задавать вопросы своему врачу. Если что-то непонятно или вызывает беспокойство, лучше прояснить это заранее. Чем больше информации вы получите, тем спокойнее будете себя чувствовать перед операцией.






